Ответить
|
Re: Ложный сустав бедра или..?
Докторов Алексей 07 Апрель 2017, 03:47
|

Хорошо, а что по поводу костылей? Плечо не опороспособно!
|
[
Ответить ]
|
Re: Ложный сустав бедра или..?
Отправитель: Alexander Chelnokov 08 Апрель 2017, 23:35
|
Да пусть без костылей ходит, тем более. Или сначала с одним коcтылем в противоположной руке.
|
[
Ответить ]
|
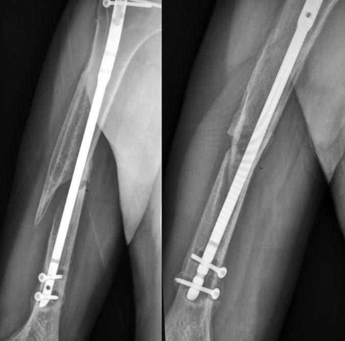
Re: Ложный сустав бедра или..?
Отправитель: Paul 10 Апрель 2017, 09:45
|
На бедре - поможет только интрамедуллярный реостеосинтез, с рассверливанием.
На плече - классическое несращение с формированием ложного сустава (все признаки нестабильности импланта). Лечить как ложный сустав исходя из ситуации. Обязательна костная пластика или другая стимуляция и восполнение дефекта. Накостным остеосинтезом лучше не пользоваться - оставшееся кровоснабжение кости будет повреждено.
|
[
Ответить ]
|
|
( Ответить )
|
|