вверх
отправить
поиск
админ
главная
|
Переломы плюсневых костей |
 |
 |
 |
Отправлено Сергей Анисимов 11 Декабрь 2017, 01:50
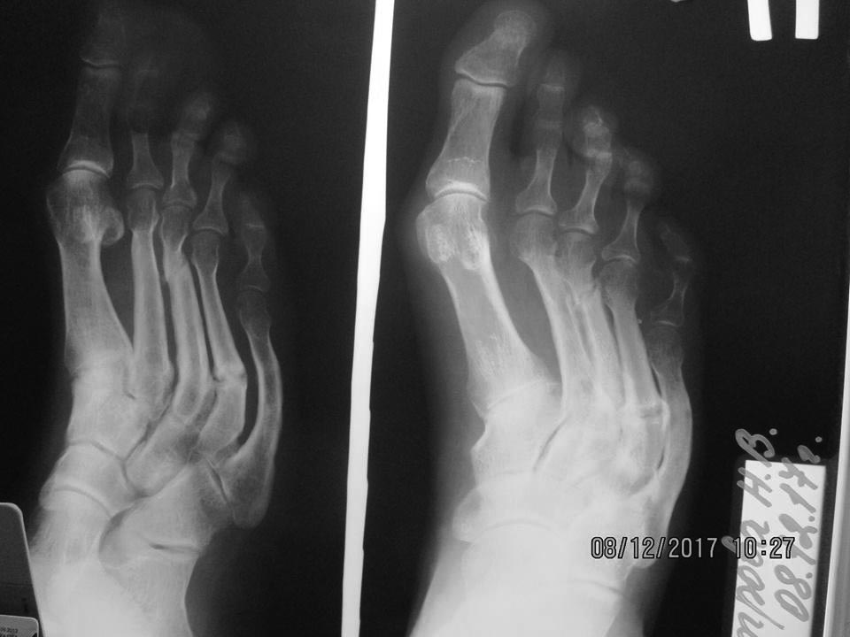
Пациентка 36 лет, несколько избыточного веса. За неделю до обращения почувствовала боль в правой стопе. В 2015 была аналогичная ситуация, тогда болевой синдром продолжался в течение 3-х месяцев. Местно: на тыльной поверхности переднего отдела - отёк, гиперемия и боль при пальпации; форма стоп – обычная. На рентгенограмме: перелом дистальной трети III-ей плюсневой кости со смещением, консолидированный перелом проксимальной трети IV-ой (V-ой?) плюсневой кости, дугообразная деформация III-V-ых плюсневых костей. От госпитализации отказалась. Наложена гипсовая лонгета, рекомендовано обратиться к эндокринологу (остеопороз?). Через 1,5 мес. – сращение перелома (рентгенография левой стопы – без особенностей). Лабораторное исследование у эндокринолога пока не выявило какой-либо патологии (УЗИ щитовидной и паращитовидных желез – 15.01.18).Три «незаметных» перелома! Что Вы думаете, господа, по этому поводу?
<
|
>
|
|
Ответить
|
Re: Переломы плюсневых костей
Игорь Копытин 11 Декабрь 2017, 01:54
|
Анамнез бы подробнее, профессия?
|
[
Ответить ]
|
Re: Переломы плюсневых костей
Отправитель: Сергей Анисимов 11 Декабрь 2017, 01:56
|
Даже не знаю, что и добавить.
|
[
Ответить ]
|
|
Re: Переломы плюсневых костей
Глеб Коробушкин 11 Декабрь 2017, 01:56
|
Интересная рентгенологическая картина! Стрессовые переломы различной давности... И все с одной стороны.
А фото ног нет?
|
[
Ответить ]
|
Re: Переломы плюсневых костей
Отправитель: Сергей Анисимов 11 Декабрь 2017, 01:57
|
Стопы, Глеб Владимирович, мне показались довольно обычными (снимки их не делал). Но возможность фотографирования осталась - уговорил её ещё неделю перед работой "посвятить" адаптации к передвижению без гипсовой лонгеты...
|
[
Ответить ]
|
|
Re: Переломы плюсневых костей
виталий 11 Декабрь 2017, 12:31
|
стопа шарко похоже
|
[
Ответить ]
|
Re: Переломы плюсневых костей
Бережной Сергей 11 Декабрь 2017, 16:48
|
Понятно, что речь идет о стрессовых переломах. Если отсутствуют симптомы периферической нейропатии, то наиболее вероятная причина - врожденные (или приобретенные) особенности строения стопы. Провоцирующими моментами могут быть непривычные нагрузки (в отпуске на экскурсии ходила?), ходьба в обуви на плоской тонкой подошве, ношение тяжестей. Нужно тщательно собрать анамнез, может и найдется какое-то изменение привычного образа жизни перед появлением болей. К остеопорозу стрессовые переломы редко имеют отношение. А лечение вполне может проводиться по тем же принципам, что и ведение пациентов после не фиксированных остеотомий латеральных плюсневых костей: ранняя нагрузка в реабилитационной обуви на плоской ригидной подошве в расчете на то, что кость срастется в благоприятном для стопы положении. Степень разгрузки (костыли или трость) должна определяться только интенсивностью болевого синдрома. Гипсовая иммобилизация и костыли (особенно если пациент дисциплинированный) приводят к сращению кости в первоначальном положении. В результате перелом может рецидивировать.
|
[
Ответить ]
|
Re: Переломы плюсневых костей
Андрей, военный госпиталь 13 Декабрь 2017, 01:07
|
Добрый вечер, очень похоже на Маршевую болезнь, (болезнь Дейчлендера). Чаще конечно бывает у срочников, но встречается данная патология и у женщин. Как правило, все начинается с болевого синдрома, рентген картина интактная, через 2 недели - рентгенологические признаки периостита, с последующим развитием стрессового перелома. Учитывая наличие старого перелома IV плюсневой кости - патологиеский процес перестройки костей стопы не завершен, возможны пояления новых стрессовых переломов. Причина- вялотекущий компартмент- синдром стопы из-за переизбыточной, длительной перенагрузки. Процесс запущен и классическая разгрузка стопы на 1,5 месяца недостаточна, необходимо соблюдать ограничение нагрузки на стопу как минимум 3-4 месяца, а то и полгода. В лечении: дезагреганты, спазмолитики, инфузионная терапия, физиотерапевтическое лечение- все, что мы используем при компартменте І степени. Рентген обоих стоп под нагрузкой для определения степени плоскостопия, коррекция ортопедическими стельками, коррекция веса. Есть докторская работа Савки И.С. где на клинических примерах использован хирургический метод лечения: фасциотомия пораженного футляра стопы, туннелизация плюсневой кости, металлоостеосинтез минипластиной, что сокращает длительность иммобилизации.Удачи!
|
[
Ответить ]
|
Re: Переломы плюсневых костей
Отправитель: Бережной Сергей 15 Декабрь 2017, 22:25
|
Конечно, военный врач маршевую болезнь чаще встречает у срочников. А гражданский - у женщин 4-6-го десятков на приеме в поликлинике. Работа Савки И.С., на которую Вы ссылаетесь, как раз посвящена стрессовым переломам у военнослужащих. Представить, что алгоритм обследования и лечения, описываемый в диссертации, будет предложен пришедшей на прием в поликлинику пациентке сложно. Ведь согласно рекомендациям диссертации, при проксимальных и дистальных переломах плюсневых костей показано оперативне втручання в об’ємі: фасціотомія, деперіостеотомія і тунелізація зони перебудови та металоостеосинтез (к сожалению, на русском языке найти работу не удалось, хотя диссертация и была написана на русском). Как я написал в предыдущем сообщении, стрессовые переломы у попадающих на прием пациенток возникают на фоне врожденных или приобретенных деформаций стопы. В данном случае деформация костей очевидна. Представим, что в 2015 г. пациентке было бы выполнено вмешательство даже в минимальном объеме фасциотомии с последующей длительной разгрузкой и мощной медикаментозной терапией, о которой Вы пишете. Но деформация как реальная причина перегрузки, осталась бы. Насчет того, относятся ли основание 4-й и дистальный конец 3-й плюсневой к одному компартменту - не знаю. То есть, предотвратила бы та фасциотомия последующее повышение давления в соседнем компартменте? Так что если уж думать об операции - то с устранением деформации. Но в данном случае деформация уж очень сложная. И самый надежный и простой способ - ранняя нагрузка. Кстати, про 3-6 месячную разгрузку при стрессовых переломах стопы в диссертации я ничего не нашел.
|
[
Ответить ]
|
|
Re: Переломы плюсневых костей
Paul 14 Декабрь 2017, 09:21
|
В своей практике, неоднократно встречал такие переломы... Считаю, что элементарного "сбора анамнеза" достаточно для постановки диагноза и лечения. Как говорится: "Нет Анамнеза - нет Диагноза!"
|
[
Ответить ]
|
( Ответить )
|
|