AOTRAUMA.ORG Центр Илизарова  

Ортопедия и травматология Общие вопросы/General questions Help Информационные технологии в медицине
 вверх
 отправить
 поиск
 админ
 главная
 Предыдущее
 Весь тред


Re: Новая механика тазобедренного сустава
Djoldas Kuldjanov, M.D. 05 Январь 2005, 13:42































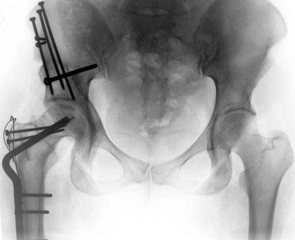
До операции #1




До операции #2



До операции #3



после операции при дисплазии тазобедренного
сустава #4



после операции при дисплазии тазобедренного
сустава #5



после операции при дисплазии тазобедренного
сустава #6


предоперационная пластмассовая модель #7



предоперационные снимки #8



предоперационные снимки #9



предоперационные снимки #10



послеоперационные, с учетом биомеханики
сустава #11



отдаленный результат #12


Уважаемый С.В. Архипов-Балтийский,

За отсутствием времени у Вас и меня, я не стал делать детальный разбор того, о чем Вы писали, за исключением маленькой детали - в западной литературе ”деформирующий артроз тазобедренного сустава” читается как "HIP ARTHRITIS", поэтому такая "неточность", в конце суффикс "ит".

Второе, Вы написали о нецелособразности, даже вредности остеотомии в проксимальном отделе бедра и в тазобедренном суставе.

Предлагаю несколько снимков для Вашего внимания и вашего "с 1946 года сложившегося активного достаточно прогрессивного коллектива”, а с доктором К.Креттеком при нашей встрече (не менее двух раз в год) на наших совместных конференциях найду возможность обьясниться с ним насчет остеотомии.

№ 1-3 до операции
№ 4-6 после операции при дисплазии тазобедренного
сустава
№ 7 предоперационная пластмассовая модель
№ 8-10 предоперационные снимки
№ 11-12 послеоперационные, с учетом биомеханики
сустава

Как Вы пишете, в Калининграде от остеотомии в проксимальном отделе бедра отказались, если у них или у вас имеется другие методы, кроме ртропластики сустава и "Морфомеханики" для молодых больных, то я могу уверить о своей готовности выехать в Калининград для стажировки, а для Вашего проекта создать всевозможные усилия для продолжения, включая вложение "свободно-конвертируемой валюты".

Прилагаю копию абстракта, представленного на конференции "Человек и Здоровье" в 2003 году в Санкт Петербурге.

=======================

ETIOLOGY OF HIP ARTHRITIS AND TREATMENT

Osteoarthritis of the hip in young adults is not a common problem. There are many conditions both developmental and acquired that can cause abnormally high intracapsular pressure and lead secondary changes in the joint.
A biomechanical basis for osteoarthritis of the hip in young adults exists in the majority cases. The excellent results seen with total hip arthroplasty in elderly population has not been reproducible in patents under 50 years of age.
Pauwels felt that the problem in certain cases, existed in the bone or cartilage, had lost to withstand pressures of normal magnitude. In many other cases ther existed mechanical abnormalities in the anatomical relationship of the joint leading to a decrease in articular contact surface. These abnormalities: from acetabular side: changes which leads to poor anterior or lateral coverage, steep inclination of soursil, lateralization of center rotation, decrease acetabular depth. From femoral side: shape of femoral head, increasing neck anteversion, neck shaft angle, proximally location of great trochanter. Result of these changes decrease contact area and increase contact stresses and eventually DJD.

Clinical presentation varies according to the patient's age and stage of disease in the affected hip. In an adolescent or young adult, early symptoms of DDH include poor exercise tolerance with muscle pain secondary to muscle fatigue of the hip's abductor muscles. Subluxation of the femoral head also may lead to pain. The pain may be in the groin, buttocks, anterior thigh, or over the area of the greater trochanter. The patient may have pain related to activity and experience difficulty performing activities of daily living.
Although total hip arthroplasty is a surgical option, it has been associated with a high rate of failure in younger, physically active patients. Both cemented and non-cemented prostheses have shown relatively poor survivor rates in young patients. Patients with DDH are at a high risk for developing early osteoarthritis because the weight supported by the hip joint is concentrated over a smaller surface area when the femoral head subluxates up over the rim of the acetabulum. The goal of treatment is to prevent osteoarthritis in these patients. Redirecting the acetabulum is the most acceptable physiological solution because it optimizes the articular congruency in the joint, increases the containment and coverage of the femoral head, and increases the surface contact area on the weight-bearing surface. The Bernese periacetabular osteotomy (PAO) procedure was developed in 1983 by Reinhold Ganz, MD, Jeffrey Mast, MD, and others in Bern, Switzerland. The procedure was first described in 1988. A Bernese PAO allows the surgeon to move the acetabulum freely in any direction (ie, anteriorly, laterally, medially) as necessary to obtain the best coverage. PAO Advantages: allows correction medially, laterally and anteriorly as needed performed through one incision without violation of the abductors pelvic ring and outlet not disrupted can perform capsulotomy to assess the labrum and check for impingement without compromising acetabular blood supply. Surgical correction of the deficiencies should be aimed at improving the mechanics of the joints so as to lower the intra-articular pressure and allow a reparative response to occur in the articular tissues. Application of the orthopedic surgical principles of planning followed by stable internal fixation are needed to able to offer the functional aftercare.

=======================


С уважением Джолдас Кульджанов,
предпочтительно "доктор", чем "господин"



  • Сообщения о Анонсы конференций, журналов и др.
  • Также Djoldas Kuldjanov, M.D.
  • Связаться с автором
  • Ответить

    Re: Новая механика тазобедренного сустава
    Alexander Chelnokov 05 Январь 2005, 21:51
    pls прокомментируйте, что и как было запланировано, и что же именно сделано? Получилось очень красиво, хотелось бы в деталях разобраться.
    Заранее спасибо.
    [ Ответить ]

    • Re: Новая механика тазобедренного сустава
      Отправитель: Djoldas Kuldjanov, M.D. 05 Январь 2005, 21:56
      Конечно, эту козырную карту (чему учился здесь у Маста и лечения дисплазии нетрадиционным методом,
      остеотомии и hip impingment, surgical dislocations, материал для малого круга по инициативе профессора Лирцмана был представлен в Москве и после этого у многих появился интерес, как на альтернативную к артропластике у молодых) держал для другого случая, открыть дисскусцию, например, с вопросом, что сделали бы?

      Конечно скоро напишу более подробно.

      На этой работе больше травмы. Не так много, как в Детройте, реконструкций в проксимальной части
      бедра и ацетабулум, это мой конек, где получаю
      удовольстие.
      Только что закончил один случай, пока свежо
      в памяти хочу представить на сайте, займет несколько минут подготовить снимки.

      Пока, Джолдас

      [ Ответить ]
    Re: Новая механика тазобедренного сустава
    С.В.Архипов-Балтийский 06 Январь 2005, 04:58
    Спасибо Глубокоуважаемый доктор Кульджанов, за ваши отзывы!

    Дискуссия, право слово, интересная получается, тема оказалась Вам все-таки не безразлична. Если не считать вопросов «кто Вы». Я действительно никому не известен, поэтому ничуть не обижаюсь. Вижу, что мои доводы касательно «Новой механики тазобедренного сустава» Вас не убеждают…, По-всей видимости Ваша диссертация основана на «старой» пока общепринятой механике. От своих убеждений естественно сразу нельзя отказываться. Тем более, что «переворот» учиняет какой-то «выскочка» из Российской провинции где ходят по улицам медведи, свергает «авторитетов» и т.п. Время нас рассудит, может действительно мои доказательства пока «малодоказательны», я по-работаю над этим.

    Касательно терминологии:

    Вы пишите: "HIP ARTHRITIS"…суффикс "ит". Да, у Renato Bombelli именно так и пишется.

    «Энциклопедический словарь медицинских терминов» Т.3, стр. 430, цитирую:
    - ит (греч. суффикс itis имен прилагательных женского рода, имеющий значение «относящийся к чему-либо») – обозначение воспалительных процессов и болезней; гастрит…


    «Артроз» достаточно хорошо известное заболевание опорно-двигательной системы, данный термин общепринят в русскоязычной литературе. Термин АРТРОЗ ДЕФОРМИРУЮЩИЙ предложен в 1913 г. на конгрессе в Лондоне (Клионер И.Л., 1962). «Энциклопедический словарь медицинских терминов» артроз трактует как: «общее название болезней суставов, в основе которых лежит дегенерация суставного хряща, приводящая к его истончению и разволокнению, обнажению подлежащей кости, костным разрастаниям и нарушению конгруэнтности суставных поверхностей». (Энциклопедический словарь медицинских терминов: В 3-х томах. / Гл. ред. Б.В.Петровский. - М.: Советская энциклопедия, 1984. - Т.3. - С.94.).

    В зарубежной литературе термин артроз так же активно используют Наши с Вами авторитеты:
    Pauwels F. Atlas zur Biomechanik der gesunden und kranken Hufte: Prinzipien, Technik und Resultate einer kausalen Terapie.- Berlin, Heidelberg, New York - Springer-Verlag, 1973. - 276 p. целый раздел книги озаглавлен «Coxarthrose»

    Chapchal G. Orthopädische chirurgie und traumatologie der Hüfte. – Stuttgart: Ferdinand Enke verlag, 1965. – 521 p. глава XII озаглавлена «Аrthrosis deformans coxae»

    Leonhardt H. Die Coxarthrose und ihre Behandlung mit der temporären Hängehüfte. Stuttgart – New York: F.K.Schattauer verlag, 1970. – 164.


    Н.С.Косинской (1958) выделяла «деформирующий артроз»… А еще коксартроз иногда называют «коксохондроостеоз» (Соков Л.П., 1987). Терминов много и других, но есть общепринятые, устоявшиеся, номенклатурные. Опять же в учебнике по травматологии (русскоязычный) говорится об артрозе (Травматология и ортопедия / Г.С.Юмашев, С.З.Горшков, Л.Л.Силин и др.: Учебник Под ред. Г.С.Юмашева. - 3-е изд. - М.: Медицина, 1990. - 576 с). «Артритис», как не крути, как-то больше похоже на воспалительное заболевание, если конечно говорить о русскоязычной литературе. Или Вы писали свою диссертацию на английском языке? Может действительно Вы не артроз лечите остеотомиями, а артрит?, в России обычно говорят артроз.


    Касательно остеотомий я Вам дословно писал следующее:
    «Вы ссылаетесь на Renato Bombelli (1982), остеотомии… в ортопедическом отделении Калининградской областной больнице от них давно отказались. В лучшем случае они дают кратковременный результат (1-3 года причем первый год из них человек ходит с дополнительной опорой, что явно исключает нагрузку на сустав) затем же коксартроз развивается с еще большей агрессией.»

    Это одно предложение, и составляя его мне казалось, понятным что речь идет о остеотомии при коксартрозе. Далее я писал:
    «Согласен, бываю исключения, когда остеотомия показана, но данные показания сейчас резко сужены. За два месяца в Высшей медицинской школе Ганновера (2003г.), я не видел ни одной остеотомии бедра по поводу коксартроза, а оперируют там ТБС очень широко».

    При дисплазиях, у лиц очень молодого и молодого возраста несколько иное дело. Грешен, я и сам заявки на изобретение подавал по поводу остеотомий и «догадываюсь» о показаниях к ним:

    Архипов С.В. Способ лечения врожденного вывиха бедра // Заявка на изобретение №96118875/14 (025201) от 20.09.1996.

    В данной заявке отмечал: «По показаниям, осуществляется … корригирующая остеотомия проксимального конца бедра» (цитата).

    Названия других заявок говорят сами за себя…

    Архипов С.В. Способ остеотомии таза // Заявка на изобретение №96118780/14 (025208) от 20.09.1996.
    Архипов С.В. Способ остеотомии таза // Заявка на изобретение №96120699/14 (026179) от 01.10.1996.
    Архипов С.В. Способ транспозиции вертлужной впадины // Заявка на изобретение №96120311/14 (027042) от 09.10.1996.

    Ваши рентгенограммы так же как и мои фотографии хромают качеством (специфика Интернета?), я все-таки постараюсь их подробно и внимательно изучить и представлю по ним свое мнение, если, конечно, оно Вам интересно.

    Если Вы не издеваетесь, мне думается, может получиться очень интересный совместный проект. У молодых лиц при диспластических процессах вполне возможно за счет остеотомий проксимального конца бедренной кости добиться частичного восстановления функции связки головки бедра (если она цела), и ТБС в целом. Есть идеи.

    С уважением Сергей Архипов.

    [ Ответить ]

    Re: Новая механика тазобедренного сустава
    Рашид Муртузалиевич Тихилов 07 Январь 2005, 17:53
    Глубокоуважаемый Джолдас,
    В период дискуссии с д-м Архиповым-Балтийским Вами были представлены рентгенограммы лечения дисплазии путем периацетабулярной остеотомии. К сожалению, имея опыт остеотомий таза по Хиари, созданию костного навеса над головкой бедренной кости, я так и не подошел к ПАО. В 1996 году на мастер-классе я видел эту операцию на пластиковых костях в исполнении д-ра Ganz'a, после этого попробовал в анатомическом театре. Мне показалась эта операцию очень сложной и без реальной клинической практике в виде ассистенции я не решился ее сделать. По современным представлениям эта операция является операцией выбора. Я собрал публикации по различным вариантам техники ПАО. Какую технику операции Вы предпочитаете и какие у Вас результаты? Если, на Ваш взгляд, этот вопрос не заслуживает обсуждения на Ортофоруме, то мой домашний адрес выглядит следующим образом - tikhilov(at)unitel.spb.ru
    с уважением, Рашид Тихилов
    [ Ответить ]

    Re: Новая механика тазобедренного сустава
    С.В.Архипов-Балтийский 08 Январь 2005, 08:42
    Глубокоуважаемый Джолдас Кульджанов!


    Спасибо за предоставленные для ознакомления слайды, и схему операции. Не скрою, готов снять шляпу перед Вами. Подобные вмешательства моя мечта, которой пока не суждено было сбыться. А какие винты!, чудо! в России таких, наверное не найдешь. По ряду признаков я сообразил, что Вы трудитесь в США, достойно уважения и это, осведомлен о некоторых нюансах работы хирургом в этой стране.
    Хорошее чутье механики ТБС и пространственное мышление, кроме хороших фиксаторов, хорошая интраоперационная рентгенподдержка, анестезиологическое обеспечение столь травматичных вмешательств.
    Эксперту изучая рентгенограммы практически не к чему придраться, да и не этично делать замечания при данной патологии.

    Я выскажу свое мнение исключительно из добрых побуждений, ни коем образом не пытаясь очернить Вашу работу.

    1. Исходные рентгенограммы это рентгенограммы пациентов с дисплазией ТБС и варусной деформаций ШБК. Строго говоря, коксартроз, у них в зачаточном состоянии (суставная щель в верхнем отделе достаточной ширины, как правило, симметрична). Выполненные Вами столь успешные операции скорее профилактика коксартроза, а не его лечение <артроз - общее название болезней суставов, в основе которых лежит дегенерация суставного хряща, приводящая к его истончению и разволокнению, обнажению подлежащей кости, костным разрастаниям и нарушению конгруэнтности суставных поверхностей>. Но профилактика хорошая, здравомыслящая. В своих мыслях высказанных ранее касательно остеотомий при коксартрозе я имел в виду именно, подобный (см. определение) уже развившийся артроз. У Вас все-таки несколько иное: Пациенты еще по-ходят, однако, коксартроза им все равно не избежать, к сожалению, в том числе и к моему сожалению.
    Отчасти о профилактике артроза пишется и в той работе, что Вы предоставили мне для ознакомления цитирую перевод одного из предложений <Цель лечения состоит в том, чтобы предотвратить остеоартрит у этих пациентов>. (курсив мой)

    2. О том, что можно <накатывать> вертлужную впадину на головку бедренной кости известно было и раньше. Издана в Минске интресная монография Соколовский А.М., Крюк А.С. Хирургическое лечение заболеваний тазобедренного сустав. - Мн.: Навука i тэхнiка, 1993. - 248 с., и вообще этим авторам принадлежит много интересных работ. Так в указанной монографии приведено достаточное число рисунков, иллюстрирующих известные варианты ПАО, есть там и нечто похожее. Но не в первенстве дело. С моей точки зрения ПАО при дисплазии не в полной мере является профилактикой коксартроза. Хитрость в том, что Вы используя данную методику не увеличиваете площадь опорных поверхностей, в частности верхнего сектора вертлужной впадины. Если сравнить центральный угол верхнего сектора со стороны патологии и с нормально стороны то он как был, так и остался меньшим, соответственно меньше и осталась площадь. Благоприятным явился разворот фрагмента в сторону головки этим уменьшается эффект краниального соскальзывания, центр нагрузки полулунной поверхности только смещается с наружного отдела на более внутренний. (Об этом говорил и Renato Bombelli) Нагрузка оказывается распределенной более равномерно, нет краевых концентраций напряжений. Однако хрящ изотрется все равно. Судя по рентгенограммам срок наблюдения у большинства менее года, в случае рис.0512 около двух лет (если судить по структуре кости). Соответственно это небольшой срок, с учетом изначально достаточной толщины хрящевого покрова, чтоб он истерся нужно время, а ходит пациент с нагрузкой, наверное, около года, может чуть больше. Поправьте, пожалуйста, если я ошибаюсь, уточните, если можно, ходят ли пациенты с доп. опорой какова их масса (примерно), судя по контуру мягких тканей масса пациенток (правильно?) не велика, что позволит существенно отсрочить артроз.
    3. Касательно механики ТБС. С моей точки зрения она полностью не восстановлена. Это заметно по деформации симфиза, перегрузки контралатерального сустава (так на рис.0512 заметно расширение края верхнего сектора вертлужной впадины). Явно должна быть некоторая дисфункция отводящей группы. При выполнении ПАО было изменена дистанция между крылом и большим вертелом, мышцы же сформировались при другой, удаться ли им компенсировать изменение длины. Думается некоторая хромота, ассиметрия походки у пациентов осталась, согласен, она менее выражена чем до вмешательств, особенно в случаях где укорочена шейка. Мною подмечено, так же и то, что на рис. 0511 и 0512 практически исчезла ямка вертлужной впадины, сама впадина углубилась. С течение времени она станет полностью сферичной, а ведь в ямке вертлужной впадины располагается СГБ. Если сбрасывать со счетов ее механическую функцию, то в ней есть нервы сдавление СГБ головкой будет явно вызывать болевой синдром, пока СГБ полностью не изотрется. В этом смысле эндопротез лучше, нет сустава и нет боли.
    Мне думается через определенное время у данных пациентов Вы получите рентгенологический результат похожий на тот, что предоставил профессор В.П.Волошин, см. его отзыв от 07.01.05. Там на снимках ямки вертлужной впадины нет и впомине, краевые остеофиты существенно увеличили площадь опорных поверхностей, однако это не значит, что у пациентов нет болей и достаточный объем движений, явно это не так.
    4. С моей точки зрения в подобных вмешательствах необходимо восстанавливать связку головки бедра. Это позволит значительно разгрузить верхний сектор ТБС, оптимизирует локомоторный акт, исключит хромоту, повысит устойчивость одноопорного ортостатического положения. Все это увеличит срок службы ТБС, значительно отдалит перспективу эндопротезирования. В Вашей стране, где труд ортопеда ценится по заслугам, а пациенты и их страховые компании готовые платить за повышение качества жизни вмешательства по восстановлению СГБ наиболее востребованы. В Росси же, пока самое распространенное утешение врача пациенту <ходишь?, ходи пока сможешь, когда не сможешь придешь, на эндопротезирование, пока копи деньги на протез>. Такая у нас пока медицина, такая забота государства о гражданах: Дай бог что-нибудь изменится в перспективе:
    5. Еще предложения, если позволите. Для уменьшения числа столь массивных винтов в крыле тазовой кости может использовать реконструктивную пластину по внутренней поверхности. Например, лобково-подвздошную это могло бы стабилизировать передний отдел развернутого фрагмента, известно, чем выше стабильность тем возможно раньше дать нагрузку, ЛФК, добиться более ранней консолидации, а ведь уменьшение сроков лечения в Вашей стране это живые деньги, точнее их экономия. Конечно я понимаю, технология, программа ведения, а все-таки?
    6 Клинковая пластина не совсем может симпатично, то, что пластина реконструктивная с выгибом в области большого вертела. Мне думается, этот выступ должен ощущаться неполными пациентами особенно в положении на боку. Опять таки для улучшения качества жизни после операции, может использовать обычную клинковую пластину с соответствующим углом, без означенного изгиба? Проволоку фиксирующую вертел вы ведь вводили в отверстие в кортикале бедра?, может ее лучше было бы фиксировать к пластине, например к шурупу, будет более надежно, кость ведь зачастую прорезается. Тем более, что тракция отводящих мышц за вертел достаточно велика:
    ??? Как вам удалось так далеко низвести большой вертел??? Сделано ли это одномоментно, или поэтапно?, удлиняли ли отводящие мышцы или их отсекли? Как удалось удлинить шейку бедра?, остеотрансплантация, тогда откуда? Доступ Смит-Петерсена? широкий с оголением наружной поверхности крыла или использовали рентгеннавигацию?

    Спасибо за внимание и предоставленные интересные рентгенограммы!, с уважением Сергей Архипов



    И еще Уважаемый Коллега не могу не задать вопрос, не по теме. Возможна ли организация совместного проекта по изучению СГБ. Если у Вас пока нет должных оснований со мной соглашаться, это еще не значит, что идея бесперспективна. Исследовательская база в Штатах, финансирование не идут ни в какое сравнение с Российскими. Наши страховые компании пока не заинтересованы в повышении качества жизни и вложениях в оригинальные проекты. По моим представлениям развитие идей связанных с СГБ позволит улучшить не только результаты лечения травм ТБС, заболеваний, конструкций эндопротезов, но существенно скажется на реабилитации и профилактике патологии этого сустава. Что нужно для обретения града, привлечения внимания серьезных научно-исследовательских учреждений и фирм, разрабатывающих эндопротезы в Вашей стране?
    Если сочтете возможным, прошу Вас ответить, хотя бы на этот вопрос.



    [ Ответить ]

    • Re: Новая механика тазобедренного сустава
      Отправитель: Ильдар Ф. Ахтямов 08 Январь 2005, 19:44
      Уважаемый Сергей!
      Внимательно слежу за Вашей с коллегами дискуссией. Возникли следующие вопросы:
      - насколько Вы знакомы с отечественной школой детской ортопедии, касающейся проблемы врожденного вывиха бедра-диспластического коксартроза?
      - знакомы ли Вы с работами по биомеханике ТБС Николаева, Гиммельфарба, Гафарова, Абакарова, Поздникина и т.д.?
      - знаете ли Вы способы пластики СГБ, возможно есть свои идеи на эту тему?
      - Считаете ли Вы внесуставные операции на ТБС и внутрисуставную пластику СГБ одинаковыми по воздействию на дальнейшее развитие процесса? АИФ.

      [ Ответить ]
      • Re: Новая механика тазобедренного сустава
        Отправитель: С.В.Архипов-Балтийский 08 Январь 2005, 22:51
        Глубокоуважаемый Ильдар Фуатович!

        Признателен Вам за вопросы и внимание к дискуссии.

        В начале своих исследований я достаточно пристально ознакомился со всем доступным пластом литературы касающейся коксартроза, в том числе диспластического. Я обращал особенно пристальное внимание, прежде всего на мнения об этиологии и патогенезе различных форм коксартроза. Классифицировал причины а так же мнения о первичных патоморфологических изменениях. Получилась достаточно объемная и, на мой взгляд, интересная работа, пока она лежит <под сукном>. Разноголосица наблюдается просто потрясающая. Проблема диспластического коксартроза мне известна, есть свои представления о его патогенезе.

        С работами указанных Вами авторов я знаком. Отдельные высказанные ими мысли и обнаруженные факты были мною использованы. Отдельные их идеи и подходы к лечению и профилактике мною поддерживаются. А.Л.Гимельфарб, Л.П.Николаев действительно авторитетны для меня. Работы Х.З.Гафарова в соавторстве с Вами, касающиеся механики пояса нижних конечностей и его развития очень интересны. Мне известны и Ваши работы касающиеся связки головки бедра и Ваше мнение о ее значении. Списки литературы, с указанием ссылок на источники имеются на моем сайте. Конечно, же это не все работы с которыми мне удалось ознакомиться. О чем я очень сожалею, находясь на периферии страны сложно быть в курсе всех высказанных идей и спектра мнений.

        О способах пластики связки головки бедра я размышлял. Изучал известные методики не только при врожденном вывихе. Использовал их как прототипы и аналоги при подготовке заявок на изобретения. Заявок с названием <Способ пластики связки головки бедра> у меня 4 шт. Всего же предложенных мною способов и устройств для лечения патологии тазобедренного сустава, в которых используется связка головки бедра 21 шт. С 2000 г. подача заявок на изобретения мною была прекращена, по финансовым причинам и необходимости завершения работы над <Рассуждением:>. Имеются и <свежие> идеи, которые родились уже после завершения написания <Рассуждения:> и анализа всего комплекса наработанного материала и фактов:

        <Считаете ли Вы внесуставные операции на ТБС и внутрисуставную пластику СГБ одинаковыми по воздействию на дальнейшее развитие процесса?>
        Последний Ваш вопрос чрезвычайно интересен и требует более пристального внимания, нежели чем ему сейчас уделяется в исследованиях. Внесуставные операции на ТБС и пластика СГБ по моим убеждениям, как правило, должны сочетаться особенно, это касается дисплазии и врожденного вывиха бедра. <Навскидку> скажу, что проблема в адекватном воссоздании СГБ и восстановлении нормальной анатомии костных структур. Касательно последнего ценен опыт Джолдаса Кульджанова и школы ортопедов, в которой он учился, хорошие наработки в Минске, институте Турнера.

        Надеюсь, что мне удалось, хотя бы отчасти ответить на заданные Вами вопросы. С готовностью отвечу, на последующие Ваши вопросы и замечания, если потребуется более подробно.

        Спасибо, с глубоким уважением Сергей Архипов.


        [ Ответить ]
        • Re: Новая механика тазобедренного сустава
          Отправитель: Ильдар Ф. Ахтямов 09 Январь 2005, 09:50
          Уважаемый Сергей Васильевич!
          "Зачем так много "треска", ты мне невестка или не невестка" (цитата из Сегея Никитина).
          Давайте конкретно!
          Влияние на развитие диспластического артоза, а скорее, на быстроту развития его терминальных стадий, зависит от внесуставности вмешательства. Т.н. прекоксартроз возникает тем быстрее, чем "ближе мы прикасаемся" к капсуле сустава.
          Говорить о "эффективности" сочетанного вмешательства по меньшей мере "неразумно", поскольку общеизвестно, что внутрисуставное вмешательство дает тот самый "100% артроз" о котором Вы так часто писали.
          Я не зря спрашивал Вас о знании работ детских ортопедов, они, как никто, доказали эффективность внесуставного вмешательства на ТБС.
          Поскольку мне "посчастливелось" или "пришлось" перейти из детской ортопедии во взрослую, то как редко кому выпала "судьба" почувствовать отсутствие приемственности между этими родными сестрами.
          Вы коментировали клинический пример Джолдаса Кульджанова, но задаёте вопросы, которые для "практического" или "претендующего на свою точку зрения" ортопеда несколько странны.
          -Доступы на сустав - смотри у Мовшовича,
          - Низведение большого вертела - отведи бедро после отсечения вертела (вдоль оси шеки бедра) и фиксируй его (по наружной поверхности метадиафизарной зоны). Вот и возможность "удлинить" шейку бедренной кости.
          - "Навигация" при дисплазиях не используется, поскольку она приемлема только для "стандартных случаев" эндопротезирования. (Или я со времени ААОС в Сан-Франциско отстал?).
          - Коррекция крыши вертлужной впадины двух или трехплоскостная должна сочетаться с деторсионно-варизирующей остеотомией проксимального отдела бедренной кости,
          поскольку резко увеличивает "компрессию" в сутставе (смотри работы Заградничека, Солтера, Тихоненкова, Андрианова и многих других).
          Случай у Д.К. не типичен для дисплазии, т.к. у больной была, скорее всего, варусная деформация шейки бедра, что не свойственно ВВБ. Это и позволило обойтись без варизации ШДУ. Однако данный пример является классическим для подражания и применения, с целью отсрочить время эндопротезирования при диспластическом КА.
          Уважаемый Сергей Васильевич, очень прошу Вас не уповать на количество заявок на изобретения, поскольку только "21" или хотя бы "4" вылеченных и
          отслеженных Вами больных до окончания периода "светлого промежутка", свойственных диспластическому КА, позволят доказать эффективность Вашей теории. Ваше "Под
          сукном" нужно только Вам, но не практике.
          Флаг Вам в руки, барабан на шею ! АИФ.

          [ Ответить ]
          • Re: Новая механика тазобедренного сустава
            Отправитель: С.В.Архипов-Балтийский 10 Январь 2005, 06:01
            Глубокоуважаемый Ильдар Фуатович!

            Буду без <трескотни>

            О том, что повреждение капсулы ТБС является первопричиной коксартроза говорите не только Вы. Однако имеются и другие мнения о первопричине: поражение синовиальной оболочке (Чепой В.М., 1990:), поражение параартикулярных тканей (Дегярев А.А. 1993:), хряща (Ревенко Т.А. и др., 1978:), кости (Коваленко Д.Г., 1969...). Кто прав?

            Как Вы думаете, неудача при внутрисуставных вмешательствах, не является ли доказательством разрушения и / или не восстановления СГБ адекватным образом?

            Вопрос о доступе, действительно интересен, по слайдам сложно сказать насколько широко обнажалась область ТБС и был ли <внутритазовый> этап операции.

            Низведение большого вертела, я хорошо себе представляю, однако при существенном укорочении отводящей группы возникает значительное усилие, стремящееся его оторвать: фиксаторы зачастую прорезываются, в этом и была суть вопроса к Д.К..

            А навигация сейчас на подъеме, может в штатах ее применяют уже и при остеотомиях:

            Слайд 051, 052 явно дисплазия вертлужной впадины:
            Слайд 058, 059 явно варусная деформация шейки:

            Операции Д.К. замечательные, никто не спорит. Отсрочить коксартроз ими можно, предотвратить нельзя: Почему? Вопрос не праздный. Задумываться над этим необходимо, разрабатывая и проверяя различные теории патогенеза: нельзя сходу отметать то, что на первый взгляд не укладывается в общепринятые представления:

            Спасибо, за вопросы и комментарии, Ваши замечания я обязательно учту в своей дальнейшей работе:

            С уважением Сергей Архипов.


            [ Ответить ]

     

    ( Ответить )

    Powered by Zope  Squishdot Powered MedLink
    Посетитель: 0095387
      "По форме правильно, а по существу - издевательство" В.И.Ленин
    ©2001-2019Orthoforum Coordinator.
    [ Главная | Отправить сообщение | Поиск | Админ ]