Ответить
|
Re: Синтез ор нот синтез?
Никита Заднепровский 09 Апрель 2008, 20:53
|

Если и оперировать, то, наверное, целесообразно бы поставить IP-XSL (long nail). И косметический дефект минимальный, и нагрузка сразу и удалять нет особой необходимости.
У нас бы не оперировали. Кость неопорная, пусть даже и псевдоартроз сформируется, на осевую нагрузку это не повлияет. С другой стороны, дувушка спортсменка, реабилитация должна быть как можно скорее.
Девушка профессиональная спортсменка?
С уважением, Заднепровский Никита Николаевич
|
[
Ответить ]
|
Re: Синтез ор нот синтез?
Alexander Artemiev 09 Апрель 2008, 21:03
|
Здравствуйте.
1. на западе подобные повреждения синтезируются, кроме того на сроке 3
> недели отсутсвуют признаки сращения;
На Запвде другая мотивация. Снимок жесткий, признаков консолидации можно и не увидеть. Повторите ещё через три недели, пока пусть
ограничит занятия спортом
> 2. излечится болевой синдром, пациентка получит
> максимальную свободу движений. в коих очень нуждается.
В чем причина болевого синдрома? Может быть, неврит, может быть, сопутствующая травма.
> Противники синтеза
> противоставляют этому: 1. целесообразность синтеза;
спорная. Эта кость срастется через 2-4 недели
Как раз столько составит пред- и послеоперационный период
> 2.косметический деффект,
Не очень принципиально, хотя лишние шрамы женщине не нужны
3. Можете повредить малоберцовый нерв
4. Жалобы могут и не исчезнуть...
5. необходимость удаления - повторная операция.
> В руководствах по синтезу разделы по синтезу
> изолированного повреждения малоберцовой кости выше дистальной трети осутствуют.
В старых руководствах даже гипс не рекомендуют...
С уважением Александр Артемьев
|
[
Ответить ]
|
Re: Синтез ор нот синтез?
Maxim Agalakov 09 Апрель 2008, 22:51
|
>отмечает боли в правом голеностопном суставе,патологической подвижности правой стопы нет
Может имеет смысл сделать снимки с центрацией на голеностопный сустав и стрессовые рентгенограммы его же? Если механизм травмы непрямой. то возможны сопутствующие повреждения г/с
|
[
Ответить ]
|
Re: Синтез ор нот синтез?
Алексей Семенистый 10 Апрель 2008, 12:42
|
Перелом малоберцовой кости есть, понятно. Но боли в голеностопном суставе! А как вы изучали патологическую подвижность стопы? Есть стрессовые снимки?
Вопрос, который возникает у меня при виде таких снимков,- "Какой механизм травмы?"
Если это прямой удар, то кроме перелома м,б кости и ушиба мягких тканей ничего нет.
Если механизм непрямой, т.е. подворачивание (ротация) стопы, то это повреждение надо классифицировать как нестабильный перелом лодыжек (44 С.2) с повреждением синдесмозных связок.... Да, на обычных рентгенограммах можно
видеть идеальный голеностопный сустав
. Стороники оного аргументируют
> свою позицию так: 1. на западе подобные повреждения синтезируются,
Какие повреждения? Изолированный перелом диафиза м\берцовой кости - НЕТ, даже гипс не наложат.
Надсиндесмозный перелом м\берцовой кости при поврежденнии 44 С. - ДА! но конечно трех недель не ждут.
Противники синтеза
противоставляют этому: 1. целесообразность синтеза;
Зависит от типа повреждения.
2.косметический дефект,
Это субъективно.
необходимость удаления - повторная операция.
А зачем удалять???
В руководствах по синтезу разделы по синтезу
изолированного повреждения малоберцовой кости выше дистальной трети отсутствуют.
Там даже нет разделов "Изолированные повреждения диафиза малоберцовой кости", а в разделе "переломы лодыжек" все показания и рекомендации присутствуют. Не рекомендуется делать остеосинтез еще более проксимальных переломов м\б кости из-за риска повреждения нерва, но малоберцовая кость должна быть восстановлена по длине, ротации, правильно сочленяться в малоберцовой вырезке с б\берцовой кости и в этом положении фиксирована
позиционным межберцовым винтам (одним или двумя).
С уважением, А.Семенистый.
ГКБ № 13, Москва.
|
[
Ответить ]
|
Re: Синтез ор нот синтез?
В.Машталов 10 Апрель 2008, 13:42
|
Проблема здесь не в переломе м/берцовой кости.
У больной есть боли в г/стопном суставе, возможно механизм травмы не прямой, тогда данное повреждение надо рассценивать как надсиндесмозное повреждение м\берцовой кости, пусть и такое высокое при Дюпиетреновском механизме травмы.
Поэтому :
1. при изолированном переломе м/берцовой кости не оперировать, иммобилизация не нужна, консолидация через 3 недели на Р- граммах можен быть
и не видна
2. при повреждении г/стопного сустава тактика описана в руководствах, и учитывая повышенные функциональные требования возможно и операция, как
вариант БИОС м/берцовой кости и позиционный винт на синдесмоз, оценить состояние дельтовидной связки.
с ув. В Машталов
|
[
Ответить ]
|
Re: Синтез ор нот синтез?
Djoldas Kuldjanov, M.D. 10 Апрель 2008, 14:25
|
здесь пропускаем повреждение Maisonneuve...
Здесь как раз тот случай, когда рентгеновский снимок скрывает главную проблему. "Ходит, прихрамывая на правую ногу, отмечает боли в правом голеностопном суставе" По описанию клиника типичная для повреждения голонестопного сустава - синдесмоза.
При проксимальных переломах малоберцовой автоматически необходимо подозревать повреждение синдесмоза - Maisonneuve Fracture.
"На западе", как правило, при переломах голеностопа требуются снимки проксимальной части голени.
Описанное в 1840 году Maisonneuve повреждение характеризуется тем, что при фиксированной наружной ротации стопы повреждается передняя фибуло-тибиальная связка, часть синдесмоза, с переломом медиальной лодыжки и без, дальше разрыв продолжается по межкостной мембране и спиральный или косой перелом малоберцовой происходит выше.
Для уточнения диагноза надо сделать все стандартные снимки голеностопа, (несмотря на необходимость при любых повреждениях голеностопа, почему-то очень трудно воспроизводится коллегами из СНГ?)
На прямой проекции можно увидеть расширенную медиальную щель, и на мортизе укорочение малоберцовой.
Невозможно устранить проблему фиксацией малоберцовой пластиной или другими методами, потому что главная проблема - разрыв межберцовой мембраны, которая находится между костями и внизу в голеностопе в синдесмозе.

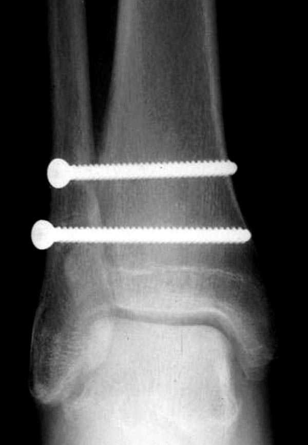
Две параллельных шурупа создают условия для сращения мембраны и синдесмоза, 8 недельный срок достаточен, и можно удалить фиксаторы.
Без оперативного лечения Межкостная мембрана будет источником боли у спортсменов.
|
[
Ответить ]
|
Re: Синтез ор нот синтез?
Моисеев Ю.И. 11 Апрель 2008, 01:02
|
Спасибо за активное участие. Механизм травмы прямой - удар бампером по голени в проекции перелома малоберцовой кости. Патологической подвижности, характерной для повреждения дистального синдесмоза, в голеностопном суставе нет. Снимки голеностопа пока не отцифрованы.
|
[
Ответить ]
|
Re: Синтез ор нот синтез?
Отправитель: Леспович 11 Апрель 2008, 18:33
|
Может банальная межмышечная гематома?
|
[
Ответить ]
|
|
Re: Синтез ор нот синтез?
Бехтерев Антон 11 Апрель 2008, 23:44
|
> Механизм травмы прямой - удар бампером
> по голени в проекции перелома малоберцовой кости.
А больная в момент травмы что, ногой болтала? Вот и непрямой механизм повреждения голеностопного сустава: сильный удар по наружной поверхности голени опорной ноги. Здесь может иметь место повреждения, описанные г-ном Кулджановым, повреждения связок голеностопного сустава (стресс-тесты проводили?), могут иметь место повреждения хряща и субхондральной пластинки крыши тела таранной кости (osteochondral talar dome
lesion), для выявления которых необходимо проведение компьютерной томографии голеностопного сустава (AMERICAN FAMILY PHYSICIAN www.aafp.org/afp VOLUME 63, NUMBER 1 / JANUARY 1, 2001 "Management of Ankle Sprains")
|
[
Ответить ]
|
Re: Синтез ор нот синтез?
Отправитель: Коваленко А.Н. 15 Апрель 2008, 03:32
|
Вы, в данном случае, путаете механизмы травмы. Речь не о повреждении голеностопного сустава непрямым механизмом травмы, а о повреждении в/3 малоберцовой кости. Кость сломалась от удара в нее бампера автомобиля. При непрямом механизме травмы энергия удара должна приложится куда угодно, только не в область перелома, вызвать ротацию голени при фиксированной стопе. Далее произойдет разрыв дистального межберцового синдесмоза, межкостной мембраны, и все закончится переломом в в/3 малоберцовой кости. По Вашему же объянению все произойдет в обратном порядке.
|
[
Ответить ]
|
Re: Синтез ор нот синтез?
Отправитель: Антон Бехтерев 16 Апрель 2008, 19:55
|
> Вы в данном случае путаете механизмы травмы.
Я ничего не путаю. Лишь только обратил внимание на возможность непрямого механизма травмы голеностопного сустава в конкретном случае. Спасибо за цитирование Шабанова. Спасибо, что растолковали:
> Речь не о повреждении
> голеностопного сустава непрямым механизмом травмы, а о повреждении в/3
> малоберцовой кости.
А то все недосуг, знаете ли, почитать ортофорум. Вот только где Вы усмотрели:
> По Вашему же объянению все произойдет в обратном
> порядке.?
> Спасибо за указание возможного повреждения голеностопа, но напомню,
> что главный вопрос топика о неоходимости синтеза малоберцовой кости ПЛАСТИНОЙ.
Поправьте меня, если не прав: ГЛАВНЫЙ ответ топику состоит в том, что вместо рассуждений о необходимости оперировать малоберцовую кость, нужно искать повреждение голеностопного сустава. Ведь больная ясно же жалуется на боли в
ГОЛЕНОСТОПНОМ суставе.
|
[
Ответить ]
|
Re: Синтез ор нот синтез?
Отправитель: Антон Коваленко 16 Апрель 2008, 20:04
|
Уважаемый Бехтерев Антон
> Вот только где Вы
> усмотрели:
> > По Вашему же объянению все произойдет в обратном
> > порядке.?
Прочтите внимательно свой пост.
> Поправьте меня, если не прав: ГЛАВНЫЙ ответ топику состоит в том, что
> вместо рассуждений о необходимости оперировать малоберцовую кость, нужно искать
> повреждение голеностопного сустава.
Поправляю. Не Вы ставили вопрос к теме, знать и не Вам решать что главное. На мой взгляд, уберечь пациентку от ненужной операции занятие отнюдь не бессмысленное.
Понятие у пациентки о болях в голеностопе довольно смутное. При более детальном клиническом обследовании выяснилось, что отмечает дискомфорт при нагрузку на стопу и тянушие ощущения в области ахилла, что вероятно связано с 3 недельным пребыванием в гипсе. Еще раз обращу внимание на то, что патологической подвижности стопы нет.
С уважением, Коваленко А.Н.
|
[
Ответить ]
|
Re: Синтез ор нот синтез?
Отправитель: Alexander Chelnokov 16 Апрель 2008, 20:09
|
КА> Поправляю. Не Вы ставили вопрос к теме, знать и не Вам решать
Большая просьба общаться менее агрессивно.
|
[
Ответить ]
|
|
Re: Синтез ор нот синтез?
Odessky Jacob M.D. 14 Апрель 2008, 18:03
|
Уважаемый доктор Моисеев!
Не соблговолите ли Вы выставить снимки голеностопного сустава прямой , боковой и Мортис.
так нам будет легсе лтветит на Ваш вопрос.
Я полностью согласен с коллегами, предостерегающими от Maisonneuve Fracture.
В случае, если это подтвердиться надо оперироват, как показал Джолдас.
Если нет, увы, но я бы не рекомендовал операцию.
С уважением!
|
[
Ответить ]
|
Re: Синтез ор нот синтез?
Отправитель: Коваленко А.Н. 15 Апрель 2008, 03:49
|
Глубокоуважаемый Якоб Одесскиий! Увы, но из снимков голеностопа возможно предоставить только приложенный, боковая проекция в первичном сообщении. Спасибо за указание возможного повреждения голеностопа, но напомню, что главный вопрос топика о неоходимости синтеза малоберцовой кости ПЛАСТИНОЙ. В примерах показанных Джолдасом Кульджановым пластина и вообще вмешательство в область перелома не используется, т.е. его позиция ясна. Вы можете что-то добавить?
С уважением,
Коваленко А.Н.
IMG_0211.JPG
12KB (12882 bytes)
|
[
Ответить ]
|
|
( Ответить )
|
|