Ответить
|
Re: Открытый "пилон"
Павел Иванов 05 Декабрь 2008, 00:20
|
Уважаемый Ерсин!
Пока ALEXEY готовит свой ответ на Ваши вопросы, включусь в разговор.
ЕЖ> дальнейшую тактику, но у меня вопрос: почему остеотомия
ЕЖ> малоберцовой кости произведена на уровне перелома б/б кости?
ЕЖ> Мне кажется надо было произвести косую остетомию в В/з м/б кости!
Я бы в похожей ситуации делал остеотомию малоберцовой кости на уровне перелома большеберцовой, как это сделал доктор ALEXEY. Ведь в верхней трети голени при остеотомии, и резекции особенно, высок риск повреждения малоберцового нерва или его крупных ветвей. А резекция на одном уровне с большеберцовой костью особых неприятностей не приносит ни во время операции ни после.
Еще один момент. При резекции костей голени на разных уровнях существенно затрудняется одномоментное укорочение и стыковка опилов большеберцовой кости, так как мешает натяжение неповрежденной межкостной мембраны между проксимльным отломком большеберцовой и дистальным отломком малоберцовой костей.
ЕЖ> Так как в данном случае зона вилки ГСС ослаблена (нестабильна), а
ЕЖ> она вам нужна будет при артродезирования и еще дистальный отломок
ЕЖ> м/б кости не фиксирована спицей? при билокальном остеосинтезе
ЕЖ> особенно во время дистракции будут проблемы в данной зоне!
Мы обычно не фиксируем малоберцовую кость. Просто стараемся сопоставить ее концы за счет хорошей репозиции. В представленном случае имеется некоторое смещение дистальных фрагментов кнаружи, и, как мне кажется, ротация их вместе со стопой кнутри (ротация хорошо заметна на прямом снимке по форме таранной кости и на боковом по соотношению отломков малоберцовой). Если это действительно так, то это несложно сейчас постепенно устранить в аппарате. И тогда концы малоберцовой кости будут находиться поближе друг к другу.
Интересно, а о каких проблемах при дистракции в данной зоне вы предупреждаете?
И еще. Если доктора решат делать артродез, то при артродезировании штифтом через пятку особых проблем с нестабильностью дистального отломка большеберцовой кости не возникает. Даже при том обстоятельстве, что уже где-то через месяц после операции пациент ходит почти с полной нагрузкой на ногу. Такого рода проблемы чаще бывают при лечении спице-стержневым аппаратом. Переломы в нижней трети голени в аппаратах частенько срастаются с большой неохотой. Правда в этой ситуации наша совесть абсолютно чиста - мы не повреждаем таранно-пяточный сустав. Пока лежит аппарат этот сустав приходит в полную негодность самостоятельно, всего лишь за 4-6 месяцев.
Ерсин, рад нашей дискуссии. Ведь мне, политравматологу, всегда приятно поговорить с Вами - политравматологом.
С уважением.
Best regards,
Pavel Ivanov
Sklifosovsky Clinical and Research Institute for Emergency Medicine
Polytrauma Department
3, Bolshaya Sukharevskay sq.
Moscow, 129090 Russia
|
[
Ответить ]
|
Re: Открытый "пилон"
Отправитель: Ерсин Жунусов 05 Декабрь 2008, 21:26
|
Уважаемый Павел здравствуйте! Взаимно, мне так же приятно общаться с Вами.
По данному клинческому случаю, я имел ввиду, что до ретроградного артродезирования штифтом нашим коллегам необходимо же устранить укорочение сегмента?, вскорее всего путем кортикотомии проксимального метафиза б/б кости.
Так при перемещении промежуточного фрагмента вместе с дистальным не возникнут проблемы с малоберцовой так как уровни остетомии разные?. или коллеги будут прводить монолокальную дистракцию?
Тогда могут возникнут проблемы с мягкими тканями. Вообще замещение дефектов мягких тканей при открытых переломах с одномоментным замещением кости хорошо описано в дисс. работе Мартель И.И. (Курган), 2006 г.
Насчет проблем с м/б нервом я с Вами полностью согласен. У меня подобных случаев ятрогенного повреждения не было, мне наверное пока везет.
Я не имею опыта ретрогардного введения штифта, было всего два случая закрытого артродезирования ГСС, но в обеих случаях штфит устанавливал антеградно (классическим ввдением) и у этих паицентов не было необходимости удлинения, а блокирующие винты ввинчивал в таранную кость (таранно-пяточное сочленение был интактным), при этом проксимальное отверстие атакующего конца штифта совпадал с уровнем межберцового синдесмоза и получалось синостозирование синдесмоза. Может этого не надо было делать? по крайней мере малое количество больных не позволяет мне делать выводы.
Иван я хотел спросить: при ретроградном ввдении штифта атакующий конец проходит в толще проксимального регенерата? (при случаях удилнения сегмента) или не доводите до уровня регенерата?
по поводу судьбы таранно-пяточного сустава также согласен с Вами, если даже перелом срастается, то длительно фиксированный в аппарате ГСС и т/п сочленение создает проблемы. Обычно пациенты часто повторно обращаются и жалуются именно на боль в ГСС или таранно-пяточного сочленения.
Жду от Вас ответа с нетерпением. Кстате, я тоже недавно прочитал Ваше обсуждение со своей коллегой этого же паицента, также был приятно удивлен настолько травматологи могут быть оригинальными в изложении своих мыслей. Можно претендовать на номинацию лучший "травматологический бестселлер". С уважением Ерсин Жунусов зав отд множеств травмы НИИТО Астана.
|
[
Ответить ]
|
Re: Открытый "пилон"
Отправитель: Павел Иванов 10 Декабрь 2008, 19:58
|
Ерсин, здравствуйте.
You wrote 5 декабря 2008 г., 19:26:24:
ЕЖ> случая закрытого артродезирования ГСС, но в обеих случаях штфит
ЕЖ> устанавливал антеградно (классическим ввдением) и у этих паицентов
ЕЖ> не было необходимости удлинения, а блокирующие винты ввинчивал в
ЕЖ> таранную кость (таранно-пяточное сочленение был интактным), при
ЕЖ> этом проксимальное отверстие атакующего конца штифта совпадал с
ЕЖ> уровнем межберцового синдесмоза и получалось синостозирование
ЕЖ> синдесмоза. Может этого не надо было делать? по крайней мере малое
ЕЖ> количество больных не позволяет мне делать выводы.
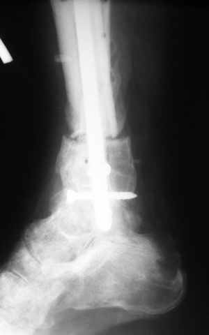
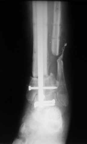
Ерсин, мы тоже имеем опыт такой фиксации. Подобную операцию за последние 3 года мы сделали трем пациентам. Снимки одного из них я прилагаю.

К сожалению, ни в одном из этих 3-х случаев мы не получили удовлетворяющего нас результата. Очень трудно провести штифт, введенный антеградно ровно по центру таранной кости. Отсутствие подвижности между диафизом и дистальным отломком большеберцовой кости (после фиксации в аппарате в течение 1-2 мес) очень усложняет проведение штифта в центр блока таранной кости. Поэтому мы от этого пока отказались, и проводим штифт через пятку. При данном варианте фиксации подобных проблем не возникало ни разу.
--
Best regards,
Pavel Ivanov
Sklifosovsky Clinical and Research Institute for Emergency Medicine
Polytrauma Department
3, Bolshaya Sukharevskay sq.
Moscow, 129090 Russia
|
[
Ответить ]
|
Re: Открытый "пилон"
Отправитель: Ерсин Жунусов 10 Декабрь 2008, 20:08
|
Здравствуйте Павел! Спасибо за информацию, оказывается нам надо учесть эти моменты. В Москве на выставке (на конференции по сочетке)я у "остеомеда" видел ретроградные штифты для артродеза ГСС, этими имплантами пользуйетесь?
Павел! как часто оперируете лучи в типичном месте? Буквально вчера прооперировал перелом луча в типичном месте (LCP от схм) ладонным доступом. Получилось неплохо, понравилось, самое главное время операции составил всего 35 мин., сами знаете как важно длительность операции при политравме. У нас неуверенность в плане послеоперационного ведения т.е. раннюю реабилитацию можно или нет? спорим. характер перелома оскольчатый (Коллеса), синтез стабильный, ведем без внешней иммобилизации (это понятно), но хотел узнать со 2 дня ПДС проводить не противопоказано? Я как приверженес функционального подхода назначил, но мои ребята (леч врач) уговраивают меня ссылаясь на то, что все таки первая операция может подождем недели 2. Отсутствие большого опыта не позволяет четко оперделить тактику ведения. С уважением Ерсин Жунусов зав отд множеств травмы НИИТО Астана.
|
[
Ответить ]
|
|
( Ответить )
|
|