Ответить
|
Re: травма голеностопа - мнения по тактике
Ostanin 27 Октябрь 2010, 23:42
|
Блокируемый стержень в малоберцовую, винт на внутреннюю лодыжку, позиционный винт (?) для синдесмоза (или один из блокирующих использовать в качестве позиционного)...
Задний край - непонятен размер фрагмента. Нуждается ли в фиксации?
При условии, что и с кожей все в порядке, и проблем с трофикой нет.
Получается угадайка)
|
[
Ответить ]
|
Re: травма голеностопа - мнения по тактике
Михаил 28 Октябрь 2010, 01:07
|
Неясен размер заднего края. Пластина с угловой стабильностью на малоберцовку, винт во внутреннюю лодыжку, позиционный винт на ДМС.
|
[
Ответить ]
|
Re: травма голеностопа - мнения по тактике
Отправитель: Александр Артемьев 28 Октябрь 2010, 02:04
|
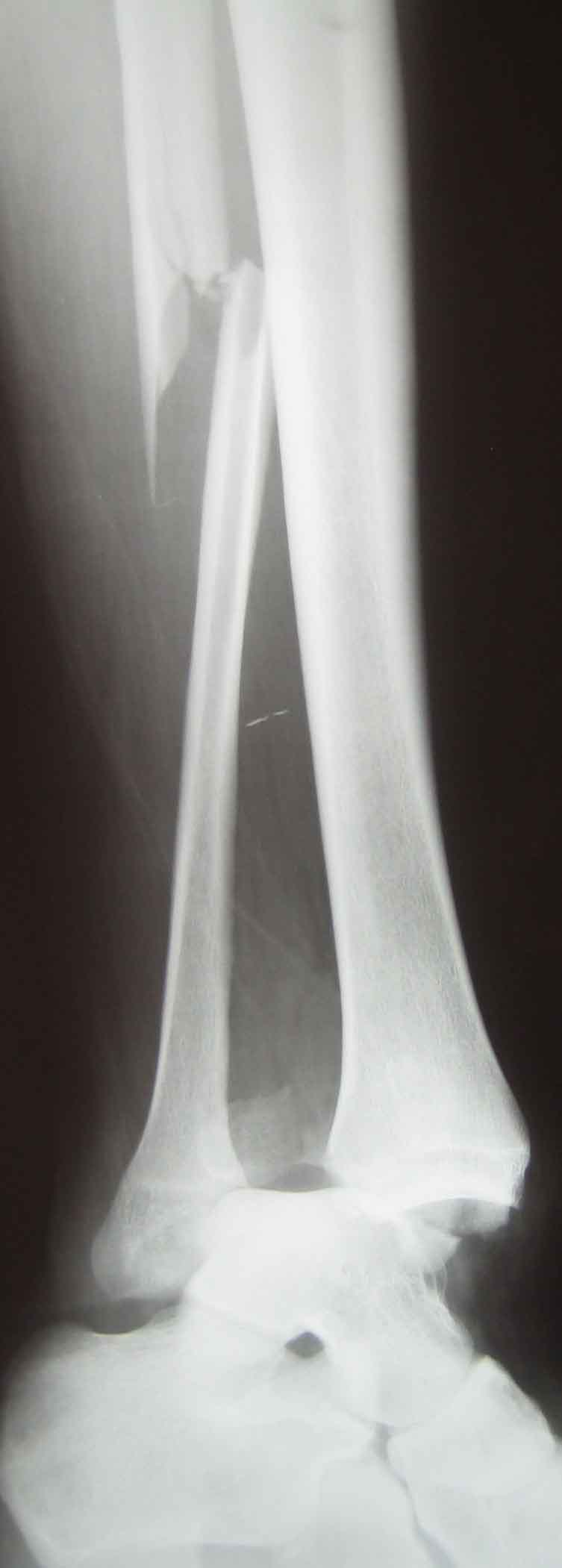
1. Насчет кожи и трофики - напоминаю - перелом ЗАКРЫТЫЙ, время от травмы - 40 МИНУТ. Какая здесь трофика - отек, деформация...
2. Насчет заднего края - как слышится, так и пишется... Другую рентгенограмму не нарисую, качество хорошее, фрагмент виден. Хотя никакого значения не имеет.
|
[
Ответить ]
|
|
Re: травма голеностопа - мнения по тактике
Алексей Минервин 28 Октябрь 2010, 02:47
|
Если есть возможность оперировать сразу при поступлении, то под ЭОПом закрыто бы вправил, далее, если получается закрыто восстановить длину и ротацию малоберцовой, то через ограниченные(ый) доступ(ы)- два позиционных винта, задний край скорее всего не так велик, поэтому не трогаем (ну, или после закрытой репозиции стандартно винт спереди-назад). Насчет внутренней лодыжки - в свежем случае можно поставить закрыто (джойстик), фиксация очевидна - компрессирующий винт. Стресс-тесты, если все устраивает, идем пить кофе, если не нравиться, то фиксируем пластиной (от треть-трубки до угловой стабильности, что доступно - не думаю, что здесь принципиально) малоберцовую. Не стал бы проводить стержень - трудно будет правильно установить позиционные винты - ИМХО.
Хуже, если операция в ближайшие 4-6 часов невозможна - компромисс от скелетного вытяжения до ex-fix (голень-стопа) и тогда ждем до улучшения трофики.
Я за первый вариант ;)
|
[
Ответить ]
|
Re: травма голеностопа - мнения по тактике
Alexander Chelnokov 28 Октябрь 2010, 02:57
|
Д-з: закрытый переломо-вывих правого голеностопного сустава, перелом
Травма тяжелая, ожидаем большой отек вскоре. Что сделать - сильно зависит от возможностей учреждения, и при поступлении. Можно и закрыто вправить, наложив гипс, или положить на вытяжение, а загипсовать по спадении отека. Можно вправить и фиксировать аппаратом временно или окончательно, а можно вправить и ввести под ЭОП несколько винтов через проколы.
Если при поступлении доступно все-все-все, то я бы предпочел последний пли предпоследний варианты.
|
[
Ответить ]
|
Re: травма голеностопа - мнения по тактике
Антон Андрианов 28 Октябрь 2010, 07:47
|
При поступлении - под общим обезболиванием ручное вправление вывиха, скелетное вытяжение на пяточную кость до 4-6 суток. Наблюдение за отеком-компартмент-синдром очень возможен.По появлению морщин на коже стопы плановая операция- пластина на малоберцовую, из медиального доступа возможны синтез медиальной лодыжки и фрагмента Фолькмана, позиционные винты.Подобная практика у нас уже более 15 лет, себя оправдала полностью. Пытались оперировать в первые часы, имели нарастающий отек и головную боль.
|
[
Ответить ]
|
Re: травма голеностопа - мнения по тактике
Адонин 28 Октябрь 2010, 08:23
|
3.5 mm 1/3 tubular пластина на малоберцовую ( с угловой стабильностью, как советовал Михаил - на мой взгляд, "деньги на ветер") длинный 4 мм шуруп в мед лождыжку ( если размеры фрагмента позволяют - два, если совсем маленький - киршнеровские спицы и серкляж), под эопром проверить стабильность сустава. скорее всего, будет под нагрузкой уходить в подвывих - тогда шуруп через синдесмоз.
|
[
Ответить ]
|
Re: травма голеностопа - мнения по тактике
Doc-android 28 Октябрь 2010, 19:55
|
Добрый день!
Классическая надсиндесмозная травма, соответственно классическое лечение: цапкой перкутанно за латеральную лодыжку тракция , внутренняя ротация, вставляем в вырезку малоберцовку, сжимаем, вводим позиционный винт через три кортикала , минидоступ на внутреннюю лодыжку, репозиция фиксация губчатым винтом. Рентген-контроль.Задний край малого размера, встанет сам на место. Оперировать можно сразу в первые 5 часов или через 5-6 дней по спадению отека, (держать на ДСВ). Пластину при желании можно простую треть трубки через два разреза на 4 винта, по малоинвазивной методике, а можно без пластины, перелом высоко, мышщ много.
С уважением Doc-android.
|
[
Ответить ]
|
Re: травма голеностопа - мнения по тактике
Дмитрий Бондарь 28 Октябрь 2010, 21:15
|
Добрый вечер, коллеги! Вначале, закрытая ручная репозиция , гипсовая лонгета,(уточнить сосудистый и неврологический статус) рентгенконтроль в стандартных проекциях. Это позволит более точно определить размеры и форму отломков.затем,по порядку, фиксация высокого перелома МБК 1\3 трубчатой пластиной ,(lCP на мой взгляд избыточна)фиксация синдесмоза позиционным винтом, фиксация внутренней лодыжки маллеолярным винтом. Необходимость , возможность и метод фиксации заднего края уточняется после промежуточной графии. По возможности прооперировал бы ургентно (но опять же, сосудистый статус и осторожность относительно компартмент- синдрома)
Малоинвазивно - заманчиво, я попытался бы выполнить минимально-возможными доступами, но без фанатизма, не в ущерб качеству репозиции
С уважением Д.Б.
|
[
Ответить ]
|
Re: травма голеностопа - мнения по тактике
Антон Жаглин 28 Октябрь 2010, 22:48
|
Надсиндесмозная травма с разрывом не только межберцового синдесмоза, но и межкостной мембраны на большом протяжении. По-этому ( кожа и ex-fix, повторяться не буду, фиксация малоберцовой открыто или минидоступом-по желанию хирурга), но я бы провел ДВА позиционных винта (кортикальных 3,5 мм) и через четыре кортикала.
Жаглин А.В.
|
[
Ответить ]
|
Re: травма голеностопа - мнения по тактике
Andrey Smirnov 29 Октябрь 2010, 00:22
|
Dobrii vetser kollegi !
Povrezdenije tipa "Maisonneuve" . Otsen plohoje . Kak vise kollega pisal povrezden ne tolko sindesmos no i mezkostnaja membrana . V dobavok ko vsemu povrezdenija v oblasti golenostopa vsegda VNUTRISUSTAVNIJE ! Po etomu vosstanovlenije anatomii vazno . I zakritije manipulatsii s malobertsovoi v etom slutsaje , na moi vzgljad, ne dopustimi .
Operiroval bi ekstrenno , no na samom dele snimok maloinformativnii . Bivajet tak sto perednjaja tsast sindesmosa otrivajetsja ot bolsebertsovoi s kusotskom kosti kotorii zavoratsivajetsja v virezku malobertsovoi i pri etom rasklade fibula nikak ne vstanet na mesto . Po etomu snatsala CT-obsledovanije golenostopa , sto bi imet bolse informatsii .
Snatsala polozenije bolnogo na spine . Lateralnii dostup na malobertsovuju . Tolko idealnaja repositsija iskljutsit problemi v oblasti sindesmosa. Skoreje vsego ispolzoval bi dva 2,0mm titanovih surupa (tipa lag-screw) i AO rekonstruktivnuju plastinu 3,5mm . Zatem peredne-lateralnii dostup na sindesmos i vosstanovil bi perednjuju svjazku sindesmosa skoree vsego s pomosju kostnogo jakorja ili jesli svjazka s kostnim fragmentom to 2,0mm titanovii surup . Zatem mini-dostup na medialnuju ladisku i fiksiruval bi spongiosnim surupom i derotasionnoi spitsei Kirshnera . Potom perevernul bi bolnogo na zivot i tserez zadnii dostup fiksiroval bi zadnii krai s pomosju dvuh 3,5mm kompressionnih surupa posle idealnoi repositsii konesno . I tolko togda posol bi pit kofe . A positsioonni nadsindesmoznii surup skoreje vsego ne stavil bi potomu kak u menja bil bi sindesmos stabilizirovan kak speredi ( vosstanovlena perednjaja svjazka) tak i szadi( reponirovan i fiksirovan zadnii krai).
Spasibo za vnimanije .
|
[
Ответить ]
|
Re: травма голеностопа - мнения по тактике
Павел 29 Октябрь 2010, 01:58
|
Уважаемые коллеги!
Глубоко убеждён, что вмешиваться агрессивно в первые часы после травмы мягко говоря рискованно: получить фликтены в области свежих ран - никто спасибо не скажет!
При поступлении - закрытая ручная репозиция без яростного воздействия на вилку синдесмоза, стопу на варус, задняя и U - образная лонгеты, СРАЗУ развести гипс по передней поверхности и ногу на шину, да повыше. И пускай остаётся небольшое расхождение вилки - главное восстановить трофику тканей и предотвратить нарастание отёка, а сдавливая синдесмозы, синтезируя лодыжки и малоберцовки ситуацию эту вы не улучшите! Вытяжение также не обеспечит хорошей стабильности - пациент вертится, стопа гуляет.
Через неделю отёк спадёт - фиксация синдесмоза позиционным винтом или болтом-стяжкой,через 2 месяца - удалить. Если будет необходимость - остеосинтез внутренней лодыжки. При правильной установке стопы смещения малоберцовки по длинне не будет, и лезть туда смысла не будет.
|
[
Ответить ]
|
Re: травма голеностопа - мнения по тактике
Александр Артемьев 29 Октябрь 2010, 20:11
|

Спасибо всем за комментарии.
В данном случае в качестве первичного и в последующем - основного метода фиксации выбрали широкую U-образную гипсовую повязку.
Определяющим в выборе метода первичной фиксации явилось то, что с момента травмы прошло менее часа. Анестезия - местная. Перелом из категории "трудновправимых, но неудержимых", поэтому скелетное вытяжение было бы неэффективным. Аппарат Илизарова стоял "под парами" на случай усугубления ситуации.
Через 10 дней повязку поменяли.
К исходу месяца обсуждали вариант перехода на фиксацию синдесмоза и лодыжки винтами, но пациента это не вдохновило. В гипсе - 2,5 мес., потом сразу поехал в отпуск, поэтому справа нога такая загорелая, хотя и немного отечная. Сейчас 10 мес., всё нормально. По осени сустав немного реагировал на смену погоды.
При выборе метода лечения в больнице выслушал мнения. Все оказались разными. По завершении лечения решил посмотреть, как обстоит с этим дело на форуме. Тенденции ясны.
Спасибо всем, кто высказался.
С уважением Александр Артемьев
Мытищи
|
[
Ответить ]
|
Re: травма голеностопа - мнения по тактике
Maxim Agalakov 29 Октябрь 2010, 23:16
|
Не очень понятна цель,в чем прикол? Решения известны, проекции косые, голеностоп многие вещи "прощает" и т.д.
|
[
Ответить ]
|
Re: травма голеностопа - мнения по тактике
Дмитрий Бондарь 30 Октябрь 2010, 00:54
|
приветствую! имел подобную травму, но к сожалению после закрытой репозиции всё было не так хорошо. На чём и базировался, учитывая свои ошибки.
С уважением Д.Б.
|
[
Ответить ]
|
Re: травма голеностопа - мнения по тактике
Отправитель: Борис Гуркин 30 Октябрь 2010, 03:30
|
Хорошо все то,что хорошо заканчивается. Видимо cвоевременно сделанная "йодовая сетка" помогла.
|
[
Ответить ]
|
|
Re: травма голеностопа - мнения по тактике
Антон Андрианов 30 Октябрь 2010, 08:54
|
Коллегу и пациента можно поздравить с отличным результатом.Победителей не судят! Но ведь хороший результат в данном случае скорее исключение из правила.Срастись малоберцовая с укорочением на пару миллиметров, стань несостоятельной передняя порция синдесмоза и через пару лет можно жалеть о невыполненной операции.Да и два с половиной месяца в гипсе,еще два месяца борьбы с отеками и остеопорозом - не слишком ли высока цена за отсутствие рубцов? Через три месяца после операции выполненной по канонам АО группы такие пациенты уже работают в полную силу!Сегодня мало кто может себе позволить 6-8 месяцев реабилитации после травмы ГСС.А именно столько мы лечили своих пациентов в 70-е, применяя аппарат Свердлова, продляя дважды больничные через ВТЭК.Профессор Сармиенто, апологет консервативно-функционального лечения переломов, изрек однажды, что в странах третьего мира выбор метода лечения перелома всегда диктуется низкой оплатой труда врачей. Естественно в сторону операции фиксатором из стола врача.Так на мой взгляд это сказано не про такие случаи.А как Вы сами бы, Александр, хотели лечить такой перелом, случись он,не дай Бог, у Вас?
|
[
Ответить ]
|
Re: травма голеностопа - мнения по тактике
Отправитель: Дедок Михаил 30 Октябрь 2010, 17:33
|
= = Через три месяца после операции выполненной по канонам АО группы такие пациенты уже работают в полную силу! = =
Не бывает этого. Все равно хромают, все равно посттромбофлебитический синдром.Заставить заниматься наших пациентов ЛФК ооочень сложно.Все ждут чудесную таблетку. С трудом их "выпинываешь" через 4 месяца на работу или легкий труд. Но, все таки, пораньше. Затем они приходят на удаление металла (он им мешает, правда, чаще в голове) и в сумме мы наберем те самые сроки временной нетрудоспособности.
|
[
Ответить ]
|
Re: травма голеностопа - мнения по тактике
Отправитель: Бережной С.Ю. 30 Октябрь 2010, 21:17
|
Удивительно отношение к отеку и фликтенам после такой банальной, в общем-то, травмы, как к чему-то нормально-неизбежному. Бесподкладочный гипс на голое тело и отсутствие эластичного бинтования от пальцев стопы. Вот и результат. К сожалению, это характерный пережиток нашей старой школы. Геморрагические фликтены и такой отек на 3-й день у поступившего через 40мин. после травмы молодого пациента ни у кого не вызывают вопросов. Фантастика.
|
[
Ответить ]
|
Re: травма голеностопа - мнения по тактике
Отправитель: Андрей 30 Октябрь 2010, 23:09
|
Использовали и эластическое бинтование и подкладку под гипс при аналогичных травмах, а отек и пузыри были всегда. Такая травма в 99% процентах случаев этим сопровождается. По крайней мере у нас.
|
[
Ответить ]
|
Re: травма голеностопа - мнения по тактике
Отправитель: Бережной Сергей 31 Октябрь 2010, 00:40
|
У нас в отделении 95% переломов лодыжек оперируется. Операцию рассматриваем как противоотечную меру (декомпрессия, удаление гематомы, нормализация взаимоотношений, стабилизация и т.д.), поэтому не ждем спадения отека и заживления фликтен. Аккуратно выполненная операция, как правило, приводит к быстрому спадению отека. Откладываем на время операцию только если пациент поступает с гнойными фликтенами. После операции вводим параартикулярно дексаметазон 1-2 раза. Всем назначаем непрямые антикоагулянты. Если есть риск трофических расстройств - актовегин и трентал внутривенно. При консервативном лечении тоже вводим дексаметазон. И обязательно - эластичное бинтование. Только бинтовать врач должен. Это все азы, конечно. Но проблемы фликтен у нас нет.
|
[
Ответить ]
|
Re: травма голеностопа - мнения по тактике
Отправитель: Андрей 31 Октябрь 2010, 01:06
|
Тоесть Вы оперируете при наличии фликтен. Я правильно Вас понял?
|
[
Ответить ]
|
Re: травма голеностопа - мнения по тактике
Отправитель: Бережной Сергей 31 Октябрь 2010, 01:27
|
Именно так. Если есть возможность обойти фликтену разрезом - хорошо. Если нет - не страшно. Крючками не пользуемся, чтобы не травмировать края.
|
[
Ответить ]
|
Re: травма голеностопа - мнения по тактике
Отправитель: Alexey Semenisty 31 Октябрь 2010, 15:57
|
Уважаемый Сергей, где Вы работаете? Возможно ли приехать к Вам на 2-3 дня и увидеть остеосинтез через флинтены своими глазами? Очень игтетресуюсь проблемой лечения переломов лодыжек.
С уважением, А.Семенистый.
|
[
Ответить ]
|
Re: травма голеностопа - мнения по тактике
Отправитель: Бережной Сергей. 31 Октябрь 2010, 17:19
|
Работаю в Мединцентре ГлавУпДК. Это в центре Москвы. Обязательно позову при случае. Даже и 2-3 дней не понадобится. Ваш игтерес к переломам лодыжек мне известен. И мне бы хотелось узнать, Вы тоже считаете, что фликтены и выраженный отек при переломе лодыжек неизбежны при поступлении больного сразу после травмы?
С уважением, С.Бережной.
|
[
Ответить ]
|
Re: травма голеностопа - мнения по тактике
Отправитель: Дедок Михаил 31 Октябрь 2010, 21:54
|
Гипсом пользуюсь все реже. Накладываю скелетное вытяжение, если прогнозируются пузыри, внутривенно глюкокортикоиды и маннитол. Помогает, правда не всегда.
|
[
Ответить ]
|
Re: травма голеностопа - мнения по тактике
Отправитель: Alexey Semenisty 31 Октябрь 2010, 22:01
|
> Работаю в Мединцентре ГлавУпДК. Это в центре Москвы.
Да, Москва очень большая деревня)
> Вы тоже считаете, что фликтены и выраженный отек при переломе лодыжек неизбежны при поступлении больного сразу после травмы?
Тут я с Вами полностью согласен - напряженный отек и фликтены это результат, скорее, неадекватного лечения, чем самой травмы. В нашем отделении фликтены при переломах лодыжек казуистика. Они наблюдаются только когда пациент поступает не сразу после травмы, т.е. уже с фликтенами. С тех пор, как мы перестали заниматься анестезией места перелома и гипсовой иммобилизацией переломов лодыжек в порядке оказания экстренной помощи, мы забыли что такое фликтены......
С уважением, А.Семенистый
|
[
Ответить ]
|
Re: травма голеностопа - мнения по тактике
Отправитель: ЕЛЕНА 21 Декабрь 2010, 00:17
|
Добрый вечер,Сергей.
У меня вопрос. Мой хороший одинокий 57-летний друг в Москве сломал лодыжку.Открытый перелом. Ему сделали операцию. Прошло 3 дня. Теперь решается вопрос о 2-й операции. Теперь уже платной с металлическими пластинами. Сколько стоит такая операция? Поскольку помочь могу ему только я, белоруска, цена вопроса для меня важна. Но конечно же , чтобы это не влияло на качество. Послезавтра я приеду к врачу в обычную городскую московскую клинику и мне хотелось бы знать сколько это у вас стоит.Как Вы понимаете с деньгами у меня напряженка.Я же не москвичка, и даже не россиянка. Возможно вопрос не к Вам,но если можете подсказать, буду благодарна.
|
[
Ответить ]
|
|
Re: травма голеностопа - мнения по тактике
Александр Артемьев 01 Ноябрь 2010, 01:17
|
Приветствую всех.
1. Не хочу чтобы данный случай воспринимали как рекомендацию лечить подобные травмы гипсовой (в данном случае фактически глухой) повязкой от момента поступления и до завершения. Репозиция и фиксация гипсом в приемном как временнеая иммобилизация с целью транспортировки в операционную - да. Не оставлять же такую ногу болтаться пока переложат, отвезут, дадут наркоз и пр. При лучших раскладах на это уйдет от 1 до 2 часов в разгар рабочего дня.
2. Развитие фликтен не очень связано с тяжестью перелома. Может быть раздробленный перелом пилона при отсутствии фликтен. Развитие пузырей связано с величиной смещения (в данном случае дальше некуда) и с временем, которое перелом находился в положении смещения или вывиха. Как раз относительно небольшой период (40 минут) и позволил оставить повязку. Кстати, выдимые на фото фликтены - это всё, что есть. Под гипсом их нет, это обнаружилось при смене повязки. И уж никоим образом развитие фликтен не связано с методом лечения или операции. Если бы наложили аппарат Илизарова при идеальном закрытом сопоставлении, картина была бы схожая, только фликены были бы в других местах. Есть типичные места их локализации - книзу и кзади от внутренней лодыжки, по передне-наружной поверхности голеностопа.
3. Если бы я сломал лодыжки и мне предложили на выбор операцию или гипс, то я без колебаний предпочел бы последний. На одной чаше весов - три месяца приятного времяпровождения с коллегами в инете:), а на другой - спиналка, операция, два месяца приятного общения с коллегами в инете:). И никто не докажет мне, что наркоз и операция очень полезны для организма и полностью лишены осложнений:(. Жаль, что сейчас гипсовая техника уже не культивируется.
|
[
Ответить ]
|
Re: травма голеностопа - мнения по тактике
Doc-android 11 Ноябрь 2010, 00:09
|
Бред какой то... У молодого мужика, через 40 мин после травмы, готового платить - фликтены, 3 месяца гипс. Он не заплатил или обидел чем ? Такой привет из 50-60х прошлого века, супер. Умиляет: фликтены должны быть! такая травма! Да фликтены здесь как роспись на теле больного о своей профнепригодности. Эти фото и снимки отдать бы опытному врачу-эксперту из страховой компании вот бы он поглумился над вами и клиникой. Я в трансе, больше no comment.
Doc-android.
|
[
Ответить ]
|
( Ответить )
|
|