вверх
отправить
поиск
админ
главная
|
БИОС шейки и диафиза бедра |
 |
 |
 |
Отправлено Абдурашид Тураев 15 Март 2012, 02:40
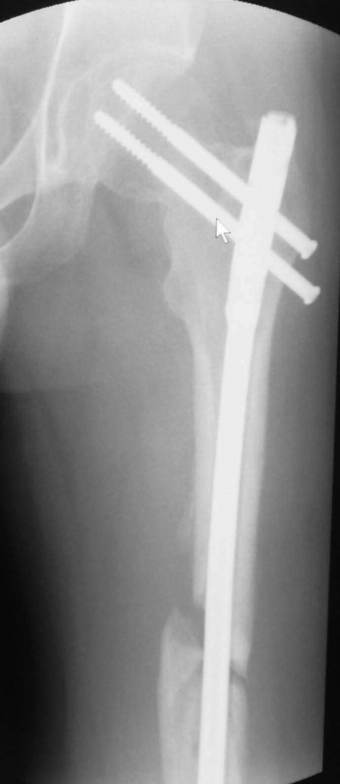
Добрый вечер уважаемые коллеги. На днях оперировал б-ного 36лет, с переломом шейки и диафиза бедра, травма высокоэнергетическая, ЭОП нет, оперируем под рентген контролем закрытым способом,т.е зона перелома не открывается, правда, получается долго. В общем в ходе операции все было хорошо и рентген контроль тоже, осталось только докрутить до конца винты, и после операции контроль.рентген ни делал, устал, и был уверен, что все нормально. На второй день у б-ного резко начали подниматься печеночные ферменты(АЛТ,АСТ)до 5-6 раз, ИФА-отр, гепатологи хотят перевести, и сделал Р-графию перед переводом. Осталcz варус, верхний винт упирается в сустав, что делать пока не знаю, может быть? винт немножко отвинтить и ждать! И тут же обратиться к Вам уважаемые коллеги! С уважением Абдурашид.
<
|
>
|
|
Ответить
|
Re: БИОС шейки и диафиза бедра
Ostanin 15 Март 2012, 22:08
|
Снимок на отведении нечитаемый или оба винта ужасно стоят в шейке, упираясь (нижний) и перфорируя (первый) задний край головки?
А первый снимок - итоги репозиции или Отдельная благодарность А.Н.Челнокову за методику использования дистрактора?)))
|
[
Ответить ]
|
Re: БИОС шейки и диафиза бедра
Игорь 15 Март 2012, 22:54
|
Что делать??? Конечно ресинтез - винты прошли мимо шейки и головки. И почему они еще не параллельны друг другу...
|
[
Ответить ]
|
Re: БИОС шейки и диафиза бедра
armen 16 Март 2012, 00:37
|
Да,ситуация наинеприятнейшая.Если нет ЭОПа ,думаю винт надо не немножко открутить ,а полностью выкрутить(т.к. если его хоть на 0,5см открутить,то "резьба" разрушится и со временем винт будет просто "гулять") и "загипсовать".В идеале конечно ,надо оба выкрутить,устранить "варус" и тогда "блокировать"( хотя будет очень разрушительно).А ЖЭ исключили?
|
[
Ответить ]
|
Re: БИОС шейки и диафиза бедра
VlaD 16 Март 2012, 00:57
|
Здравствуйте, уважаемые коллеги.
В лечении ипсилатеральных переломов шейки и диафиза бедренной кости приоритетное значение имеет точная репозиция и надёжная фиксация перелома шейки бедренной кости. Именно сращение шейки бедренной кости имеет превалирующее значение в конечном исходе лечения таких переломов. С моей точки зрения фиксация перелома шейки бедренной кости только двумя блокирующими винтами при использовании реконструктивного стержня не является оптимальным выбором. Помимо этого, как правило, возникают трудности технического плана при репозиции перелома шейки бедренной кости из-за невозможности управлять вертельной частью в связи с остающейся ротационной нестабильностью в месте перелома диафиза после введения стержня. Мне представляется, что оптимальным способом лечения таких переломов является ретроградный остеосинтез перелома диафиза с последующим остеосинтезом перелома шейки бедренной кости тремя канюлированными винтами. Что касается вашего случая. Безусловно, так оставлять нельзя. Больному 36 лет. После стабилизации состояния больного мы бы удалили реконструктивный стержень, выполнили ретроградный остеосинтез. Однако в данном случае остеосинтез шейки бедренной кости предпочтительнее выполнить пластинкой DHS, учитывая наличие отверстий в подвертельной области и дефектов кости в шейке и головке от проксимальных блокирующих винтов.
С уважением, VlaD.
|
[
Ответить ]
|
Re: БИОС шейки и диафиза бедра
Отправитель: Бережной Сергей 17 Март 2012, 03:53
|

У Синтеза специально для таких двойных переломов есть латеральный бедренный гвоздь, позволяющий увеличить расстояние между гвоздем и линией перелома шейки за счет смещения кнаружи точки введения гвоздя. Во вложении - трехлетней давности пример: остеосинтез выполнен через полтора месяца после травмы, вполне удалась закрытая репозиция проксимального перелома. Единственный непонятный для меня момент такой операции - невозможность динамизации диафизарного перелома без удаления фиксаторов из головки. В представленном случае шейка срослась быстро, а вот диафиз - только после удаления верхних винтов и установки винта в динамическое отверстие в подвертельной области.
|
[
Ответить ]
|
Re: БИОС шейки и диафиза бедра
Отправитель: Alexander Chelnokov 18 Март 2012, 01:52
|
У Синтеза специально для таких двойных переломов есть латеральный бедренный гвоздь, позволяющий увеличить
Вряд ли дизайн реконструкционного стержня тут играл бы ключевую роль.
Действительно, риск неудачи меньше, если делать раздельно (шейку - винтами или DHS, диафиз ретроградно). Одной жеезкой делать труднее, а еще и без ЭОП. Но можно.
Здесь судя по снимку с дистрактором (действительно, знакомый ;-) начало было хорошее, а вот дальше... Мы бы не накладывали дистрактор таз бедро. А ввели бы спицу в области малого вертела. закрепели в дуге, сделали репозиию шейки, и сначала ее фиксировали спицами, оставив место для гвоздя. Дистрактор наложили бы за эту же спицу и в в дистальном бедре. Точку входа для этого гвоздя надо было сделать медиальнее. Чтобы знать плоскость антеверсии шейки (особенно без ЭОП это нужно, понятное дело) нужно было ввести спицу, скользя по передней поверхности шейки.
Гвоздь ввести поглубже немного, тогда и винты бы прошли в головку. А тут, похоже, варус появился еще на этапе остеосинтеза.
Тут надо переделать, конечно. Можно даже перештифтовать, но без ЭОП это очень медленно и печально, постоянно надо ждать снимки. Главное снова добиться репозиции, не торопиться, и может быть сделать раздельно.
Единственный непонятный для меня момент такой операции - невозможность динамизации диафизарного перелома без удаления фиксаторов из головки.
Динамизация диафизарного перелома может быть проведена за счет дистального конца старжня, многие модели сейчас имеют там овальное отверстие.
|
[
Ответить ]
|
|
Re: БИОС шейки и диафиза бедра
Лапидус Дмитрий 16 Март 2012, 21:52
|
Добрый вечер!
Как вариант, удалить винты из шейки, выполнить проксимальное блокирование как при переломе диафиза. Репозиция перелома шейки бедра и остеосинтез винтами мимо стержня.
Выполнялась ли Rg-графия бедра в боковой проекции? Дистальные блокирующие винты попали в отверстия стержня?
|
[
Ответить ]
|
Re: БИОС шейки и диафиза бедра
Максим Королев 17 Март 2012, 02:14
|
Здравствуйте, Абдурашид!
Судя по снимкам конструкцию надо удалять и делать реостеосинтез пластинами. Идея у Вас была хорошая и правильная, но по моему без ЭОПа делать синтез гвоздем как-то неправильно и нецелесообразно. Настаивайте на покупке и удачи Вам!
|
[
Ответить ]
|
Re: БИОС шейки и диафиза бедра
Отправитель: Ушаков Сергей 18 Март 2012, 20:36
|
Добрый день коллеги! судя по представленным ренгенограммам имеет место базальный перелом шейки бедренной кости и спиральный клин с промежуточным фрагментом в области диафиза. имеется ряд проблем:
1)неадекватная репозиция и несоответсвующий фиксатор, при введении которого и появился варус.
2)Для остеосинтеза шейки выбраны неадекватные винты, один из котрых полнорезьбовой,а резьба второго перекрвает зону перелома.Поэтому ни о какой компрессии в зоне перелома речи быть не может
3) не исключено, что один из винтов введен мимо блокирующего отверстия, это объясняет асимметричное положение винтов в шейке, либо полнорезьбовой винт не соответствует величине отверстия гвоздя.
на наш взгляд путей решения проблемы несколько:
1)Удаление имеющейся конструкции, реостеосинтез длинной версией GN,PFN, латеральным бедренным гвоздем. обязательным условием проксимального блокирования является сохранение спиц в шейке до окончания блокирорвания.
2)Ретроградный БИОС и винты в шейку
3)Накостный остеосинтез с применением длинной пластины с винтом DHS+антиротационный винт в шейку бедра.Применение двух пластин может быть проблематичным технически и создать нежелательную зону напряжения в в/3 диафиза вплоть до периимплантного перелома в последующем.
С уважением Сергей.
|
[
Ответить ]
|
|
Re: БИОС шейки и диафиза бедра
Евгений 26 Март 2012, 22:21
|
оффтоп. А можно поподробнее про вышеописанный дистрактор?
|
[
Ответить ]
|
Re: БИОС шейки и диафиза бедра
Отправитель: Alexander Chelnokov 11 Июль 2012, 00:10
|
Прошу прощения за поздний ответ. Вот тут лежит методичка. Если будут вопросы - буду рад ответить.
|
[
Ответить ]
|
|
Re: БИОС шейки и диафиза бедра
Плиев Марат 20 Июнь 2012, 13:33
|
Уважаемый Абдурашид, расматривая Вашу проблему, мне представляется реостеосинтез: БИОС бедра анатомическим бедренным стержнем. Но без ЭОП крайне тяжело делать эту операцию
|
[
Ответить ]
|
( Ответить )
|
|