Ответить
|
Re: Опухоль 1 пястной кости.
олег шепета 15 Ноябрь 2013, 17:10
|
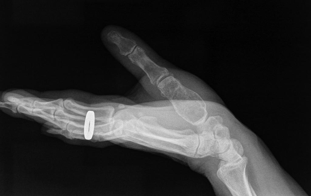
Где снимки???
|
[
Ответить ]
|
Re: Опухоль 1 пястной кости.
Sergiy Nesterenko 16 Ноябрь 2013, 06:16
|
Сколько лет пациенту? Есть ли ранние снимки для сравнения? Когда началась боль? Постепенно или внезапно?
Есть несколько вариантов: энхондрома, гигантоклеточная опухоль, аневризмальная киста, метастаз и еще несколько крайне редких опухолей.
Если развивается в течение года, то вряд ли метастаз.
Энхондрома обычно не болит; разве что только при патологическом переломе. Снимок очень похож на энхондрому.
Гигантоклеточная опухоль и аневризмальная киста: обычно развиваются более динамично, чем энхондрома.
Я бы иммобилизировал на неделю-две и посмотрел, прошла ли боль. Если да - то это скорее всего энхондрома.
Если нет - скорее всего гигандоклеточная опухоль.
В любом случае, я не набрасывался бы сразу с операцией, а понаблюдал бы, сделал бы снимок через 3 месяца (какая динамика?)
У вас будет возможность сделать замороженный срез во время операции? Если это гигантоклеточная опухоль, нужно делать кюретаж плюс обработку стенок полости (фенол, жидкий азот, аргон - что-то из этого), т.к. риск рецидива очень высок. Полость заполните ауто-, алло-трансплантатом или костным цементом.
|
[
Ответить ]
|
Re: Опухоль 1 пястной кости.
Отправитель: Наталья 07 Март 2014, 10:27
|
добрый день!
А каким образом диагностировать гигантоклеточную опухоль? можно ли это определить по снимку?
спасибо большое
|
[
Ответить ]
|
Re: Опухоль 1 пястной кости.
Отправитель: Sergiy Nesterenko 07 Март 2014, 18:12
|
Только биопсия даст гарантированный диагноз. На снимке может выглядеть также, как и энхондрома.
|
[
Ответить ]
|
|
Re: Опухоль 1 пястной кости.
Андрей Кияночкин 16 Ноябрь 2013, 12:54
|

пациентки 51г вр.дерматолог.Боли около года.Рентгенографию сделала первый раз.
|
[
Ответить ]
|
Re: Опухоль 1 пястной кости.
Отправитель: Sergiy Nesterenko 16 Ноябрь 2013, 18:29
|
Я бы обсудил с ней варианты того, что это может быть, иммобилизировал бы и понаблюдал несколько недель, повторил бы снимки.
Но главное, нужно ей дать понять, что без биобсии сложно сказать однозначно. По снимку очень похоже на хрящ. Но если так, то можно постараться обойтись и без операции.
Напишите мне на емайл. Пришлю отличную обзорную статью именно по этому вопросу.
Удачи!
|
[
Ответить ]
|
Re: Опухоль 1 пястной кости.
Отправитель: SAGo 16 Ноябрь 2013, 18:39
|
Похоже на остеобластокластому. Чего тянуть с операцией - не понимаю. Ждать патологического перелома? Сама тоже не "рассосется".
|
[
Ответить ]
|
Re: Опухоль 1 пястной кости.
Отправитель: Sergiy Nesterenko 16 Ноябрь 2013, 19:26
|
Зачем оперировать, если боль может пройти?
Понимаю, что энхондрома "сама не рассосется", но вы предлагаете оперировать на всем, что само не рассосется?
Оперировать нужно если состояние угрожает жизни, симптомы не проходят, болезнь может прогрессировать и угрожать конечности.
При доброкачественной опухоли у нас есть возможность понаблюдать и лечить симптомы, пытаясь выяснить, что это такое.
Гигантоклеточная опухоль - сравнительно агрессивная опухоль с высоким процентом рецидива после удаления. Плюс, я не уверен, что это оно и есть.
Как по мне - очень похоже на энхондрому по характеру кальсификации. Если боль будет продолжаться, операция при энхондроме будет очень эффективной, но я все же постарался бы понаблюдать.
Плюс, пациент должен дозреть до решения оперироваться.
|
[
Ответить ]
|
Re: Опухоль 1 пястной кости.
Отправитель: SAGo 17 Ноябрь 2013, 04:52
|
"Зачем оперировать, если боль может пройти?" -
А что, только боль мешает пациентке жить? Надо довести больную до патологического перелома (от компактного слоя почти ничего не осталось!) или до того, что опухоль полностью "съест" всю кость, включая суставные поверхности?
А что, если это действительно хондросаркома? Будем чего-то ждать и в этом случае?
"Понимаю, что энхондрома "сама не рассосется", но вы предлагаете оперировать на всем, что само не рассосется?" -
Я предлагаю оперировать только то, что я вижу на снимке. Тянуть кота за хвост в этом случае незачем, а может даже и преступно.
"Оперировать нужно если состояние угрожает жизни, симптомы не проходят, болезнь может прогрессировать и угрожать конечности." -
Если Вы об этом случае, то симптомы при такой громадной опухоли не пройдут точно: не "рассосется" опухоль, сколько ее не наблюдай. Если это - хондросаркома или малигнизирующаяся энхондрома-ОБК, то промедление с установлением точного ( гистологического) диагноза и с операцией именно и угрожает жизни пациентки. Если при таких тонких стенках пястной кости произойдет в любой момент патологический перелом, то это угрожает функции конечности. Регрессировать опухоль точно не будет. Так что все показания к операции - налицо.
А если Вы о других ситуациях с показаниями к операции, то я могу напомнить, что операции проводятся даже просто с косметической целью, а не только для спасения жизни или конечности.
"Гигантоклеточная опухоль - сравнительно агрессивная опухоль с высоким процентом рецидива после удаления. Плюс, я не уверен, что это оно и есть.
Как по мне - очень похоже на энхондрому по характеру кальсификации." -
Я тоже не уверен, что это - точно ОБК. На первом снимке - не видно, а на втором просматриваются "мыльные пузыри". Если интраоперационная диагностика будет больше указывать на энхондрому, то можно такую большую полость заместить чем угодно. А если будет все-таки ОБК, то я бы выполнил сегментарную резекцию и заместил дефект малоберцовой костью.
|
[
Ответить ]
|
Re: Опухоль 1 пястной кости.
Отправитель: Sergiy Nesterenko 17 Ноябрь 2013, 05:39
|
Да, я вижу логику в ваших словах.
Нужно выложить все это пациентке и посмотреть, как она хочет поступить.
Насчет резекции и замещением малоберцовой костью - это интересный вариант, но я думаю, что можно заместить и костью. При гигантоклеточной опухоли главное, все же, профилактика рецидива. Пациентку обязательно нужно предупредить о высоком проценте резидива.
Что вы думаете об МРТ перед операцией?
|
[
Ответить ]
|
|
Re: Опухоль 1 пястной кости.
Олег Шепета 16 Ноябрь 2013, 18:29
|
Мне тоже похоже на энхондрому больше всего
Болевой синдром может быть связан с увеличением внутрикостного давления на надкостницу из-за прогрессирования роста опухоли
Лечить или не лечить - не знаю, в любом случае нужно брать на диспансеризацию с этапным рентген-контролем
Для лечения болевого синндрома, как по мне, нужно сделать маленькое отверстие в фаланге для декомпрессии опухоли (под проводником, может сверлом)
А лучше действительно понаблюдать с недельку, и если болевой синдром не пройдет, то удалить содержимое фаланги (кюретаж) и заполнить трансплантатом (кстати, бюджетным вариантом в даном случае может быть коллапан-гранулы)
В любом случае удачи в лечении...
|
[
Ответить ]
|
Re: Опухоль 1 пястной кости.
Отправитель: Варганов Евгений Владимирович 16 Ноябрь 2013, 22:42
|
Здравствуйте! Рентгенологически необходимо дифференцировать между энхондромой и хондросаркомой! Оперировать необходимо обязательно, так как случаи малигнизации энхондром (особенно у женщин) нередки. Относительно биопсии - может быть не стоит?! Поражена ведь практически вся кость. Мы в таком случае удаляем всю кость с проведением первичной остеопластики. Даже при наличии гистологического ответа: энхондрома - ошибки не будет. В нашей практике встретилось достаточное количество хондросарком! Можете даже прислать к нам пациентку. С уважением, Е. Варганов.
|
[
Ответить ]
|
Re: Опухоль 1 пястной кости.
Отправитель: Sergiy Nesterenko 17 Ноябрь 2013, 01:37
|
Прошу простить мое искреннее удивление, но откуда эта информация о высоком проценте малигнизации энхондром?
При синдроме Олье малигнизация - 25-30%, при синдроме Маффучи - до 100%, при изолированной энхондроме - менее одного процента.
У этой пациентки есть какие-либо признаки этих синдромов?
Скажу больше - даже наличие атипии на гистологии энхондромы в кисти не дает основания считать это образование остеосаркомой. Радиографические признаки малигнизации являются показанием для хирургического лечения.
J Hand Surg Am. 2012 Jun;37(6):1229-34. doi: 10.1016/j.jhsa.2012.03.019. Epub 2012 Apr 27.
Enchondromas of the hand: factors affecting recurrence, healing, motion, and malignant transformation.
Sassoon AA, Fitz-Gibbon PD, Harmsen WS, Moran SL.
Tumorlike Lesions and Benign Tumors of the Hand and Wrist
Ann-Marie Plate, Steven J. Lee, German Steiner, and Martin A. Posner J Am Acad Orthop Surg March/April 2003; 11:129-141
|
[
Ответить ]
|
Re: Опухоль 1 пястной кости.
Отправитель: Sergiy Nesterenko 17 Ноябрь 2013, 04:02
|
Согласен, что у энхондромы есть риск малигнизации, но он крайне низкий. При синдроме Олье малигнизация - 25-30%, при синдроме Маффучи - до 100%, при изолированной энхондроме - менее одного процента. У этой пациентки есть какие-либо признаки этих синдромов?
Скажу больше - даже наличие атипии на гистологии энхондромы кисти не дает основания считать это образование хондросаркомой. Радиографические признаки малигнизации являются показанием для хирургического лечения.
Учитывая, что появилась боль, необходимо пациентку наблюдать. Боль может быть связана с переломом, а может - с ранним артрозом первого запястно-пястного сустава.
Если речь будет заходить об операции, нужно сделать МРТ. Если вы подозреваете хондросаркому, то нужно знать, выходит ли опухоль за пределы кости.
J Hand Surg Am. 2012 Jun;37(6):1229-34. doi: 10.1016/j.jhsa.2012.03.019. Epub 2012 Apr 27. Enchondromas of the hand: factors affecting recurrence, healing, motion, and malignant transformation. Sassoon AA, Fitz-Gibbon PD, Harmsen WS, Moran SL.
Tumorlike Lesions and Benign Tumors of the Hand and Wrist
Ann-Marie Plate, Steven J. Lee, German Steiner, and Martin A. Posner J Am Acad Orthop Surg March/April 2003; 11:129-141
|
[
Ответить ]
|
Re: Опухоль 1 пястной кости.
Отправитель: SAGo 17 Ноябрь 2013, 21:22
|
"Согласен, что у энхондромы есть риск малигнизации, но он крайне низкий." -
Я тоже согласен, что энхондрома является доброкачественной опухолью с очень низким процентом малигнизации, хотя я и видел пару-тройку раз такую картину. Но вот, например,в книге Трапезников Н.Н. с соавт. Опухоли костей. - М.:Медицина,1986 на странице 127 пишется, что из-за возможности рецидива и последующего озлокачествления опухоли "При энхондромах мелких костей (фаланги пальцев, пястные и плюсневые кости) показано удаление всей кости". Круто, ничего не скажешь!
"Боль может быть связана с переломом, а может - с ранним артрозом первого запястно-пястного сустава." -
Ни перелома, ни раннего ризартроза у описываемой больной не видно.
|
[
Ответить ]
|
Re: Опухоль 1 пястной кости.
Отправитель: Sergiy Nesterenko 16 Ноябрь 2013, 23:07
|
Самым бюджетным вариантом может быть ауто-кость из дистального луча или проксимальной большеберцовой кости.
|
[
Ответить ]
|
Re: Опухоль 1 пястной кости.
Отправитель: Бережной Сергей 16 Ноябрь 2013, 23:59
|
Не переоцениваете ли Вы возможности коллапана? Для заполнения такой большой полости при оставшихся после кюретажа тонюсеньких стенках, как минимум, нужно смешать его с костной аутостружкой. Лучше всего из крыла подвздошной кости. Это сделает операцию надежнее и еще бюджетнее.
|
[
Ответить ]
|
Re: Опухоль 1 пястной кости.
Отправитель: Варганов Евгений Владимирович 17 Ноябрь 2013, 10:56
|
Добрый день! Повторю своё предложение - вне зависимости от послеоперационного гистологического ответа необходимо абластическое удаление опухоли в пределах здоровых тканей, то есть всей кости с прилежащими поражёнными мягкими тканями (они чаще всего не поражены при отсутствии патологического перелома),с проведением первичной аутоостеопластики. Коллапан в этой ситуации, к сожалению, не эффективен - имеется собственный отрицательный опыт. Коллапан - прекрасный препарат для замещения полостей с достаточными по толщине стенками или небольших костных дефектов - в этом случае результаты практически всегда радуют. Повторю предложение к лечащему врачу - наш Центр хирургии кисти ЦМУ "Парацельс" г. Челябинска готов принять пациентку для проведения оперативного лечения.
|
[
Ответить ]
|
Re: Опухоль 1 пястной кости.
Отправитель: Sergiy Nesterenko 18 Ноябрь 2013, 06:47
|
Евгений Владимирович, я все же не понимаю, на чем основывается настолько радикальный подход.
Пожалуйста, объясните.
|
[
Ответить ]
|
Re: Опухоль 1 пястной кости.
Отправитель: Варганов Евгений Владимирович 18 Ноябрь 2013, 15:48
|
(Word, )
Здравствуйте, уважаемый Sergiy Nesterenko! Радикальный подход основывается на объективных данных - кость у пациентки поражена практически полностью,а принципы абластики никто в мире пока не отменял. К сожалению, за длительный период нашей работы, мы прошли через определённое количество ошибок и осложнений, которые встречаются при лечении онкологической патологии кисти. Основные ссылки:
1. Варганов, Е.В. Тактика лечения злокачественных опухолей кисти / Е.В. Варганов // Современные проблемы хирургии кисти : Материалы Первой региональной конференции хирургов кисти Урала. – Екатеринбург, 2008. – С.64-66.
2. Варганов Е.В. Чрескостный остеосинтез при лечении больных с опухолями костей кисти / Е.В. Варганов // Современные проблемы хирургии кисти : Материалы Первой региональной конференции хирургов кисти Урала. – Екатеринбург, 2008. – С.71-73.
3. Варганов, Е.В. Органосберегательная тактика лечения опухолей кисти / Е.В. Варганов // Совершенствование онкологической помощи в современных условиях : Материалы Российской научно-практической конференции с международным участием. – Барнаул, 2008. – С.251-252.
4. Варганов, Е.В. Применение аппаратов чрескостного остеосинтеза при лечении больных с опухолями костей кисти / Е.В. Варганов // Совершенствование онкологической помощи в современных условиях : Материалы Российской научно-практической конференции с международным участием. – Барнаул, 2008. – С.252-253.
5. Варганов, Е.В. Чрескостный остеосинтез как основа органосберегательной тактики лечения больных с опухолями костей кисти / Е.В. Варганов // Тезисы докладов II съезда травматологов-ортопедов Уральского федерального округа, Курган/Гений ортопедии. – 2008. - №3. – Приложение. – С.140-141.
6. Варганов, Е.В., Ультрасонографическая диагностика опухолей кисти / Е.В. Варганов, Е.А. Жуков // Тезисы докладов II съезда травматологов-ортопедов Уральского федерального округа, Курган/Гений ортопедии. – 2008. - №3. – Приложение. – С.141-142.
7. Варганов, Е.В. Результаты применения гидроксиапатитных соединений при замещении пострезекционных дефектов костей кисти опухолевой этиологии / Е.В. Варганов // Применение искусственных кальциево-фосфатных биоматериалов в травматологии и ортопедии : Всероссийская научно-практическая конференция (11-12 февраля 2010)/Материалы конференции. – Москва, 2010. – С.14.
8. Варганов, Е.В. Особенности репаративной регенерации костей кисти при замещении пострезекционных дефектов пористой гидроксиапатитной керамикой / Е.В. Варганов // Актуальные вопросы тканевой и клеточной трансплантологии : IV Всероссийский симпозиум с международным участием (21-22 апреля 2010)/Сборник тезисов симпозиума. – Санкт-Петербург, 2010. – С.219-220.
9. Варганов, Е.В. Система сохранно-восстановительных мероприятий в условиях чрескостного остеосинтеза при лечении больных с опухолями костей кисти / Е.В. Варганов // IX съезд травматологов-ортопедов России : Сборник тезисов. – Т.II. – Саратов, 2010. – С.727.
10. Варганов, Е.В. Аппараты чрескостного остеосинтеза при лечении онкологической патологии кисти / Е.В. Варганов // Современные наукоемкие технологии. – Москва. – 2010. - №12. – С.24-26.
11. Варганов, Е.В. Чрескостный остеосинтез при органосохраняющем реконструктивно-восстановительном лечении пациентов с опухолями костей кисти / Е.В. Варганов, А.Б. Балахнин, Д.И. Бикмуллин : ARS MEDICA. – Минск. - 2012. - №4(59). – С.51-55.
12. Варганов, Е.В. Использование аппаратов чрескостного остеосинтеза при лечении онкологической патологии костей кисти / Е.В. Варганов // Материалы XVI Российского онкологического конгресса/The Journal Malignant Tumours. – Ноябрь 2012, Т.2, №2, Русскоязычное издание. – С.156-157.
13. Варганов, Е.В. Вопросы первичного реконструктивно-восстановительного лечения травм и заболеваний кисти / Е.В. Варганов, А.Б. Балахнин, Д.И. Бикмуллин // Современное искусство медицины. – Казань. – 2012. - №3(5). – С.25-32.
14. Волкова, А.М. Хирургия кисти / А.М. Волкова. – Екатеринбург: ИПП «Уральский рабочий», 1993. – Т. 2. – 256 с.
15. Зацепин, С.Т. Костная патология взрослых / С.Т. Зацепин. – М.: Медицина, 2001. – 640 с.
16. Махсон, А.Н. Адекватная хирургия опухолей конечностей / А.Н. Махсон, Н.Е. Махсон. - М.: Реальное Время, 2001. – 168 с.
17. Рентгенологический атлас патологии кисти / В.В. Кузьменко, Е.С. Айзенштейн, А.А. Лазарев, А.В. Скороглядов. – М.: Медицина, 1987. – 128 с.
18. Серб, С.К. Хирургическое лечение доброкачественных опухолей костей кисти / С.К. Серб // Дисс. … канд. мед. наук. – Санкт-Петербург, 2007. – 141 с.
19. Трапезников, Н.Н. Опухоли костей / Н.Н. Трапезников, Л.А. Ерёмина, А.Т. Амиросланов. – М.: Медицина, 1986. – 301 с.
20. Усольцева, Е.В. Хирургия заболеваний и повреждений кисти / Е.В. Усольцева, К.И. Машкара. – Л.: Медицина, 1986. – 352 с.
21. Хабибуллин, Р.Ф. Внутрикостные опухоли кисти и их лечение / Р.Ф. Хабибуллин // Дисс. … канд. мед. наук. – Казань, 2005. – 147 с.
22. Хирургия кисти и пальцев / Б. Бойчев, Вл. Божков, Ив. Матев, Е. Панева-Холевич, Д. Ранев, Я Холевич. – София, 1971. – 316 с.
23. Чаклин, В.Д. Опухоли костей и суставов / В.Д. Чаклин. – М.: Медицина, 1974. – 288 с.
24. Popkov, A.V. Organ salvage tactics for hand tumours / A.V. Popkov, E.V. Varganov // 5th MEETING of the A.S.A.M.I. INTERNATIONAL/ABSTRACT BOOK. – St. Petersburg, 2008. – P.152.
25. Varganov, E.V. Regeneration of hand tubular bones following osteotomy/ E.V. Varganov, A.V. Chubakov // 5th MEETING of the A.S.A.M.I. INTERNATIONAL/ABSTRACT BOOK. – St. Petersburg, 2008. – P.143.
26. Varganov, E.V. Hand bones tumours complex treatment with use of the Ilizarov method / E. V. Varganov // SICOT 2011 – XXV Triennial World Congress : Abstract Book – Oral Papers (Abstract no.: 29684), Prague, Czech Republic. – P.342.
27. Varganov, E.V. The use of Ilizarov fixator for treatment of patient with defects of hand bones / E. V. Varganov, A. V. Chubakov // SICOT 2011 – XXV Triennial World Congress : Abstract Book – Oral Papers (Abstract no.: 29724), Prague, Czech Republic. – P.343.
28. Varganov, E.V. Tactics of hand bones tumours treatment / E.V. Varganov E.V.13th EFFORT Congress 2012 : Abstract CD-ROM, Berlin, Germany: 23-25 May 2012. – EFORT12-5196.
29. Varganov, E.V. The system of external fixation in the treatment of hand pathologies / E.V. Varganov, D.I. Bikmullin // 24th Scandinavian Hand Society Meeting : Abstract Book, Copenhagen, Denmark, August 30 – September 1, 2012. – P.50.
30. Varganov, E.V. Plastic surgery in the oncology of hand / E.V. Varganov, A.B. Balakhnin // Combined 33rd SICOT & 17th PAOA Orthopaedic World Conference : Abstract Book – Oral Papers (Abstract no.: 32612), Dubai, United Arab Emirates, 28-30 November 2012. – P.645.
31. Varganov, E.V. Diagnostic ultrasound in the treatment of hand tumours / E.V. Varganov, E.A. Zhukov, N.L. Situnova // Combined 33rd SICOT & 17th PAOA Orthopaedic World Conference : Abstract Book – E-posters (Abstract no.: 32717), Dubai, United Arab Emirates, 28-30 November 2012. – P.886.
Чтобы не сильно загружать фотографиями клинических примеров - попробую в вордовском документе несколько из них приложить. Принцип онконастороженности очень важен при лечении пациентов с опухолями костей кисти!
|
[
Ответить ]
|
Re: Опухоль 1 пястной кости.
Отправитель: Mельников В.С. 19 Ноябрь 2013, 09:26
|
До определения точного диагноза речи о столь радикальной операции стоять не должна. Все приведенные публикации Е.В. Варгановым, особенно свои, имеют минимальную степень доказательности и могут рассматриваться только как информация к размышлению. L
|
[
Ответить ]
|
Re: Опухоль 1 пястной кости.
Отправитель: Варганов Е.В. 20 Ноябрь 2013, 00:05
|
"ВСЕ ПРИВЕДЁННЫЕ ПУБЛИКАЦИИ имеют минимальную степень доказательности" - не очень "сильно" сказано - ведь приведены работы классиков отечественной ортопедии, онкологии и хирургии кисти (в том числе ныне работающего в вашем городе главного онколога Москвы)!!? Ещё раз повторю - основные онкологические принципы в ортопедии и хирургии кисти в частности - никто не отменял! А книжка А.Н. Махсона продаётся в Москве в магазине "Медицинская книга" на Комсомольском проспекте 25, там же есть и итоговая книга всей жизни Сергея Тимофеевича Зацепина - ИНФОРМАЦИЯ К РАЗМЫШЛЕНИЮ... С уважением, Е. Варганов.
|
[
Ответить ]
|
Re: Опухоль 1 пястной кости.
Отправитель: Mельников В.С. 20 Ноябрь 2013, 10:56
|
Уважаемый Е.В. Варганов есть четкие критерии доказательности научной информации изложенные в монографиях по доказательной медицине и ортопедии, которые выкладывались на этом форуме. Для ознакомления с ними в Москву ехать не обязательно.
|
[
Ответить ]
|
Re: Опухоль 1 пястной кости.
Отправитель: Варганов Евгений Владимирович 20 Ноябрь 2013, 13:26
|
Уважаемый Виктор Сергеевич! Вполне согласен с Вами, что в Москву ехать не обязательно, но разговор изначально пошёл о тактике лечения конкретной пациентки с конкретной опухолевой патологией. Мы все находимся на Ортопедическом Форуме - иногда задаём вопросы, иногда отвечаем на них и не всегда ориентируемся при этом на "четкие критерии доказательности научной информации изложенные в монографиях по доказательной медицине и ортопедии". В данном случае речь идёт о благополучии и, может быть, жизни конкретного больного человека, тем более врача по специальности. Каждый пациент индивидуален и далеко не всегда подходит под определённые "четкие критерии". Необходимо общение врача и больного с целью определения возможностей и тактики лечения. В любом случае пациентке показано адекватное хирургическое пособие.
|
[
Ответить ]
|
Re: Опухоль 1 пястной кости.
Отправитель: Sergiy Nesterenko 18 Ноябрь 2013, 16:29
|
Спасибо.
Я согласен, что размер и боль могут являться косвенными признаками малигнизации.
Считаете ли вы необходимым МРТ кисти, учитывая подозрение на хондросаркому?
|
[
Ответить ]
|
Re: Опухоль 1 пястной кости.
Отправитель: Sergiy Nesterenko 18 Ноябрь 2013, 16:34
|
Спасибо.
Я согласен, что размер и боль могут являться косвенными признаками малигнизации.
Считаете ли вы необходимым МРТ кисти, учитывая подозрение на хондросаркому?
|
[
Ответить ]
|
Re: Опухоль 1 пястной кости.
Отправитель: Варганов Е.В. 18 Ноябрь 2013, 20:02
|
Добрый вечер! При наличии возможности проведения МРТ (мы не знаем до настоящего времени где наблюдается пациентка), конечно же можно сделать, так как будет определённая дополнительная информация о возможном распространении процесса на мягкие ткани. С уважением, спасибо за интерес к данной проблеме.
|
[
Ответить ]
|
|
Re: Опухоль 1 пястной кости.
Семенкин О.М. 17 Ноябрь 2013, 19:22
|
На мой взгляд, больше похоже на ОБК. Дефект лучше заполнить аутокостью.
|
[
Ответить ]
|
Re: Опухоль 1 пястной кости.
Sergiy Nesterenko 19 Ноябрь 2013, 18:00
|
Андрей, подводя итоги нашего бурного обсуждения, по крайней мере для себя, я сделал такие выводы.
С пациенткой нужно поговорить, и дать ей возможность поучаствовать в определении плана.
Она должна понимать, что ее опухоль - не смертельная; с уверенностью 99% - не злокачественная и ею не станет. Но для того, чтобы исключить всякую возможность малигнизации и для выработки оперативного плана нужно сделать МРТ (чтобы наверняка - с контрастом).
Скорее всего понадобится операция, но она сама должна решить, хочет ли она радикальную операцию или нет. Полная резекция кости с заменой ее малоберцовой костью приведет к нестабильности запястно-пястного сустава и практически полной потере функции большого пальца. Если она считает, что на это стоит идти ради исключения риска малигнизации (напоминаю: 1% !), то это должно быть ее решением.
Поэтому я рекомендовал бы иммобилизацию в течение нескольких недель, посмотреть на симптомы и повторить снимки. Если зайдет речь об операции, сделать МРТ и делать кюретаж и заполнение ауто- или алло-костью.
Я показал снимки своему профессору в Штатах, человеку, который занимается костной онкологией, и он согласен с таким планом.
Если хотите еще обсудить, пишите мне на емайл.
Удачи!
|
[
Ответить ]
|
Re: Опухоль 1 пястной кости.
Отправитель: SAGo 19 Ноябрь 2013, 19:42
|
"Полная резекция кости с заменой ее малоберцовой костью приведет к нестабильности запястно-пястного сустава и практически полной потере функции большого пальца." -
Простите, но я, кажется, говорил не о полной резекции пястной кости, а о сегментарной резекции как раз с сохранением суставных поверхностей. Во-вторых, даже при полной резекции пястной кости никакой нестабильности запястно-пястного сустава быть не должно. Да, палец будет находиться в положении оппозиции, но движения будут осуществляться в межфаланговом суставе. Это уже не ПОЛНОЕ НАРУШЕНИЕ функции. А если невозможно будет сохранить суставную поверхность основания пястной кости, то головка выглядит вполне "здоровой", поэтому при резекции даже проксимальных 2/3 1 пястной кости движения сохранятся как в пястно-фаланговом, так и в межфаланговом суставах. Вы считаете, что при артродезе запястно-пястного сустава во всех случаях имеет место "ПОЛНАЯ ПОТЕРЯ ФУНКЦИИ БОЛЬШОГО ПАЛЬЦА"? Что-то Вы сгущаете краски.
Объясните мне, что Ваш американский профессор думает получить в результате нескольконедельной иммобилизации? Самоизлечения такой громадной опухоли? Другие американские профессора почему-то придерживаются другого мнения.
|
[
Ответить ]
|
Re: Опухоль 1 пястной кости.
Отправитель: Варганов Е.В. 20 Ноябрь 2013, 00:27
|
"Полная резекция кости с заменой ее малоберцовой костью приведет к нестабильности запястно-пястного сустава и практически полной потере функции большого пальца." - действительно фраза ВПОЛНЕ НЕУДАЧНАЯ. Приходилось неоднократно пластировать утраченную в результате травмы или опухолевого поражения I пястную кость, но наблюдать ПОЛНУЮ ПОТЕРЮ ФУНКЦИИ пальца не удалось...
Ещё бы озвучили фамилию Вашего профессора из США - очень хочется узнать, кто же там такой "продвинутый". Полностью согласен с уважаемым SAGo - ждать в этой ситуации совершенно нечего! Опухоль не сможет "самоликвидироваться".
|
[
Ответить ]
|
Re: Опухоль 1 пястной кости.
Отправитель: Sergiy Nesterenko 20 Ноябрь 2013, 03:55
|
"я, кажется, говорил не о полной резекции пястной кости, а о сегментарной резекции" - а зачем? зачем делать сегментарную резекцию при энхондроме?
Насчет неоперативного лечения даже не стоит продолжать говорить. О нем я упомянул только для того, чтобы показать, что ничего ургентного в этой патологии нет. Конечно, вы правы, что само оно не рассосется и оперировать нужно будет.
|
[
Ответить ]
|
Re: Опухоль 1 пястной кости.
Отправитель: Варганов Евгений Владимирович 20 Ноябрь 2013, 07:55
|
Тянуть с проведением операции в любом случае не нужно! Необходимо предварительно побеседовать с пациенткой относительно возможных вариантов оперативного пособия.
Всё же кто из профессоров США, занимающихся вопросами костной онкологии, рекомендовал Вам выжидательную тактику? С уважением, Е. Варганов.
|
[
Ответить ]
|
Re: Опухоль 1 пястной кости.
Отправитель: Sergiy Nesterenko 20 Ноябрь 2013, 16:29
|
Наша дискуссия фокусируется немного не на том вопросе: оперировать придется в любом случае, сомнений в этом нет. Сколько времени вы хотите дать пациентке на раздумья - это ваша личная философия. Ничего ургентного в ее состоянии нет. С профессором этот вопрос я даже не обсуждал. Учитывая, что я не получал его согласия, имя упоминать не буду. Даже не стоило было на него ссылаться.
Что стоит обсуждать - это хирургическую тактику.
Я - выкормыш постсоветской школы ортопедии и знаю, что мы боимся ошибиться в случаях опухолей. Если есть риск злокачественного процесса - будем резать по живому.
Но в современной мировой медицине акценты немного сместились:
1. больший акцент делается на органосохраняющих операциях и качестве жизни пациента;
2. пациент имеет право знать, на чем базируется принятие нашего решения, и иметь в нем право голоса;
3. наше решение должно базироваться на серьезной доказательной базе. Я нисколько не умаляю важности личного опыта, но для этого мы здесь и собрались на форуме, чтобы использовать наш коллективный, а не только личный опыт.
Литература показывает, что одиночная энхондрома - опухоль с крайне низким риском малигнизации, что позволяет нам провести наименее инвазивное вмешательство.
МРТ является не желательным, а обязательным этапом предоперационного планирования при любом подозрении на злокачественный процесс.
|
[
Ответить ]
|
Re: Опухоль 1 пястной кости.
Отправитель: Варганов Е.В. 20 Ноябрь 2013, 23:00
|
Добрый вечер! Я, по-видимому, опоздал сформироваться как ортопед и травматолог в постсоветское время, всё получилось несколько раньше - в советское. Так вот в советское время,уже в 50-60-х годах прошлого теперь столетия, сформировалась чёткая направленность ортопедов на проведение органосохраняющих операций при любой окологической патологии кисти (Чаклин В.Д., Трапезников Н.Н., Зацепин С.Т., Корж А.А, Махсон Н.Е., Волкова А.М., Горячев А.Н. и др.), а информации по состоянию мировой медицины тогда почти не было. С уважением, Е. Варганов.
|
[
Ответить ]
|
Re: Опухоль 1 пястной кости.
Отправитель: SAGo 21 Ноябрь 2013, 18:44
|
"информации по состоянию мировой медицины тогда почти не было." -
Не совсем так.
|
[
Ответить ]
|
Re: Опухоль 1 пястной кости.
Отправитель: Варганов Е.В. 21 Ноябрь 2013, 23:11
|
Добрый вечер, уважаемый SAGo! Я после института тогда работал в "деревне", и информацию (минимальную)получал только на Областном обществе травматологов не чаще 1 раза в месяц. Другой источник - это заведующий отделением, имеющий значительно больший опыт практической деятельности (тогда про теорию на периферии даже и не говорили).
|
[
Ответить ]
|
Re: Опухоль 1 пястной кости.
Отправитель: SAGo 23 Ноябрь 2013, 13:35
|
Да, я Вас прекрасно понимаю. Но все-таки информация о мировой медицине в страну поступала: иностранные книги, журналы. Конечно, сравнивать те времена с нынешним изобилием просто глупо.
|
[
Ответить ]
|
Re: Опухоль 1 пястной кости.
Отправитель: SAGo 20 Ноябрь 2013, 21:45
|
"а зачем? зачем делать сегментарную резекцию при энхондроме?" -
И я не знаю, зачем делать сегментарную резекцию при энхондроме. Разве я об этом говорил? Читать надо внимательнее, чтобы не было недоразумений.
|
[
Ответить ]
|
|
Re: Опухоль 1 пястной кости.
Дмитрий Суринков 20 Ноябрь 2013, 20:12
|
Это эн-хондрома. Внутриочаговая резекция и костная пластика
|
[
Ответить ]
|
Re: Опухоль 1 пястной кости.
Отправитель: Александр Жужнев 02 Декабрь 2013, 16:31
|
Согласен с Д.Суринковым, очень похоже на энхондрому. Любимая опухоль астраханских ортопедов. Раньше даже банк костной ткани свой был. Сейчас есть ещё или уже похерен?
|
[
Ответить ]
|
|
Re: Опухоль 1 пястной кости.
Лушников С.П. 14 Декабрь 2013, 19:26
|
Показано оперативное лечение: экскохлеация опухоли, экстренная микроскопия,костная пластика аутотрансплантатом. При выявлении злокачественного роста удаление 1 луча с последующей реконструкцией 1 пальца по желанию пациента.
|
[
Ответить ]
|
Re: Опухоль 1 пястной кости.
Sergiy Nesterenko 19 Август 2014, 16:09
|
Скажите пожалуйста, какое было продолжение истории этой пациентки?
|
[
Ответить ]
|
( Ответить )
|
|