Ответить
|
Re: перелом проксимальной тибии + вывих бедра
Mikhail Gilev 02 Июль 2015, 22:08
|
Здравствуйте, уважаемые коллеги.
Перелом гиперэргический (тибия), в основном, метадиафизарный, без значимой импрессии (6 тип по Schatzker), то есть плато, как таковое, собрать будет не так сложно. Медиальный мыщелок цел и не импрессирован, а наружный сломан значительно сложнее. Если делать доступ, то латеральный и собирать наружный мыщелок к внутреннему. Другое дело, что если пойти на погружной синтез, то велик риск инфекционно-воспалительных осложнений (так как изначально перелом открытый). Мне думается, попытаться собрать плато закрыто под эопом (сдавить тазовыми шипцами мыщелки в медиалатеральном направлении и провести два-три стягивающих винта субхондрально), после чего смонтировать шарнирный АВФ с дистальной опорой на бедре и в этом же АВФ попытаться "поймать" бугристость ББК или зафиксировать ее отдельным винтом с шайбой.
В приложении статья с похожим переломом.
С уважением, Михаил Гилев.
Bicondylar tibial plateau fractures treated with fine-wire circular.pdf
354KB (362619 bytes)
|
[
Ответить ]
|
Re: перелом проксимальной тибии + вывих бедра
Бережной Сергей 03 Июль 2015, 01:07
|
При наличии такой большой поперечной раны планировать операцию из двух дополнительных доступов более, чем рискованно. Аппаратному методу здесь самое место.
Удачи.
|
[
Ответить ]
|
Re: перелом проксимальной тибии + вывих бедра
Отправитель: Maxim Agalakov 03 Июль 2015, 08:50
|
на самом деле небольшая рана спереди под швами, а по краямосаднение
|
[
Ответить ]
|
|
Re: перелом проксимальной тибии + вывих бедра
Maxim Agalakov 04 Июль 2015, 08:49
|

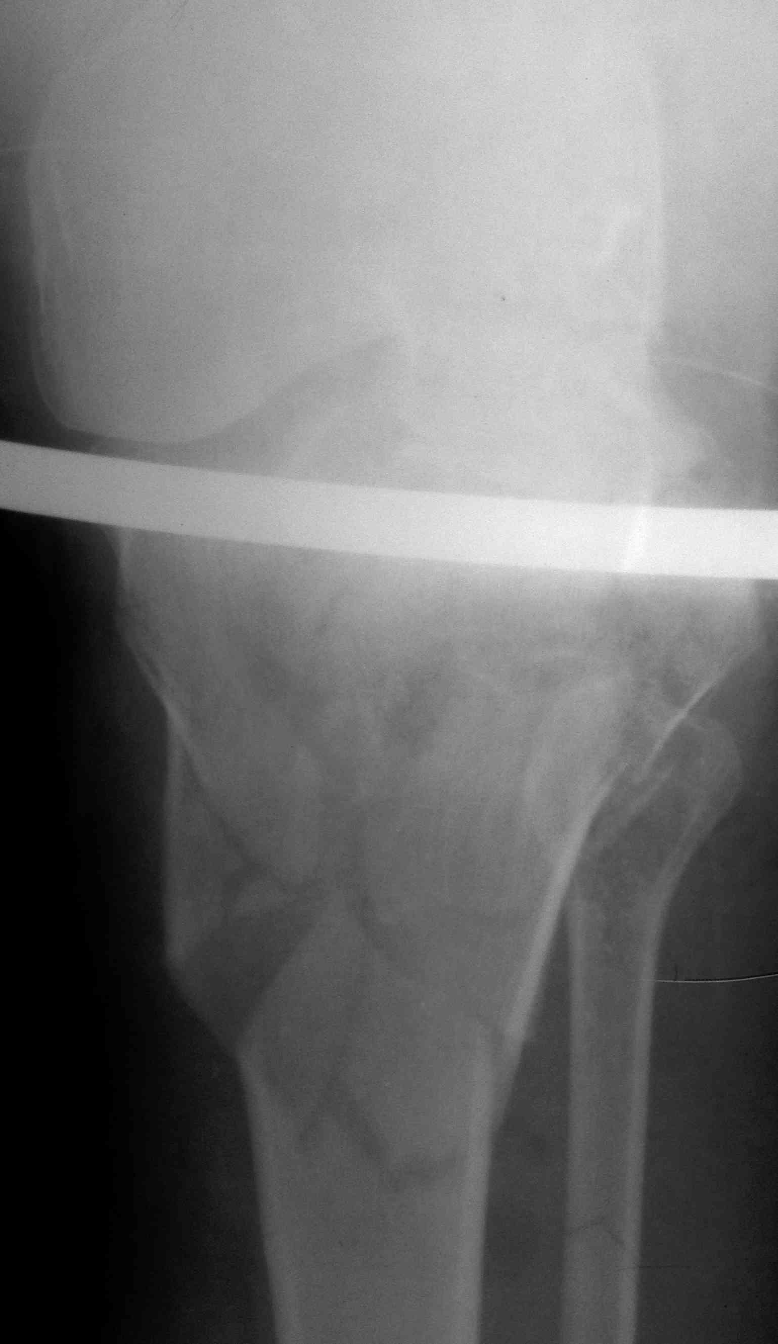
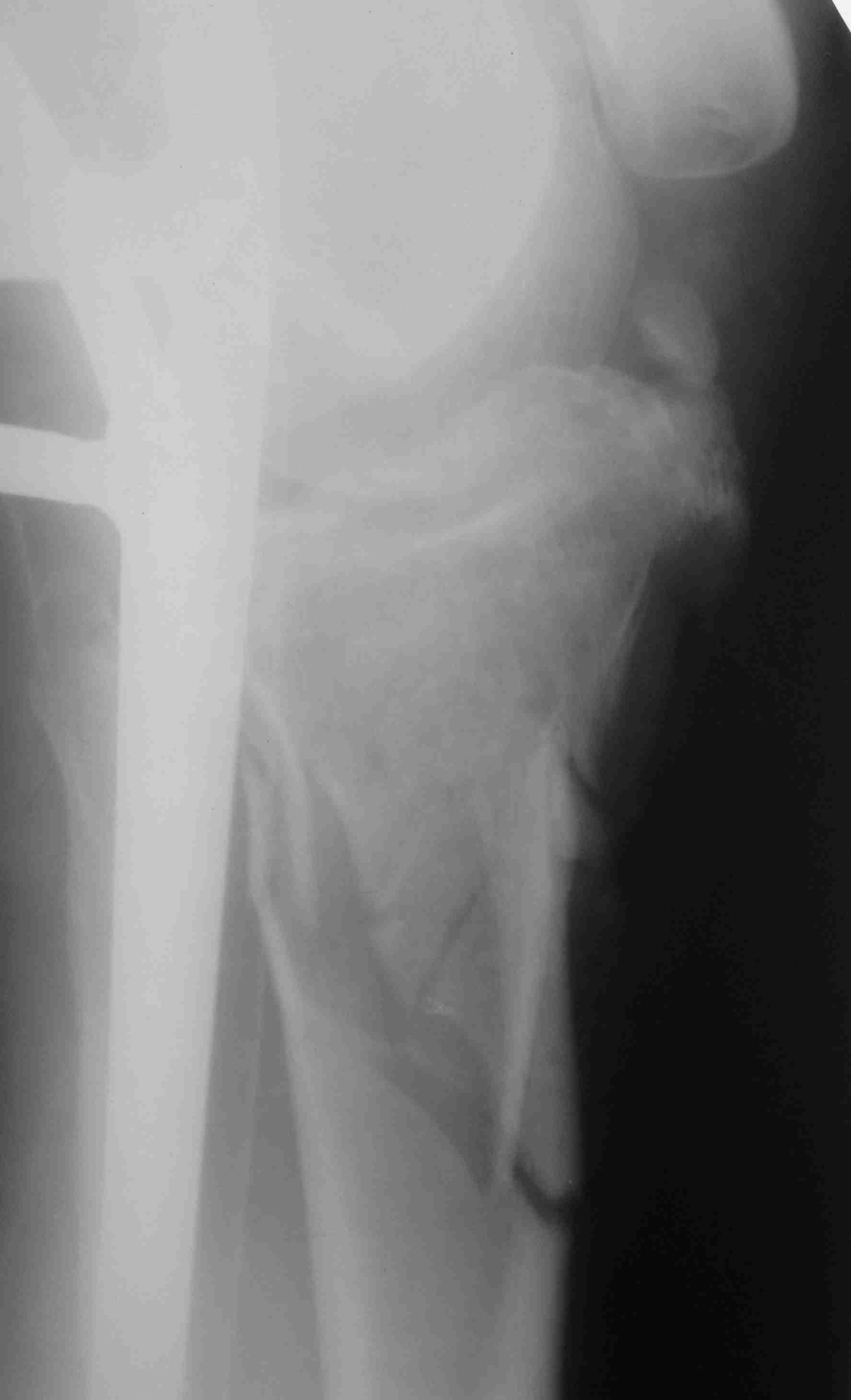
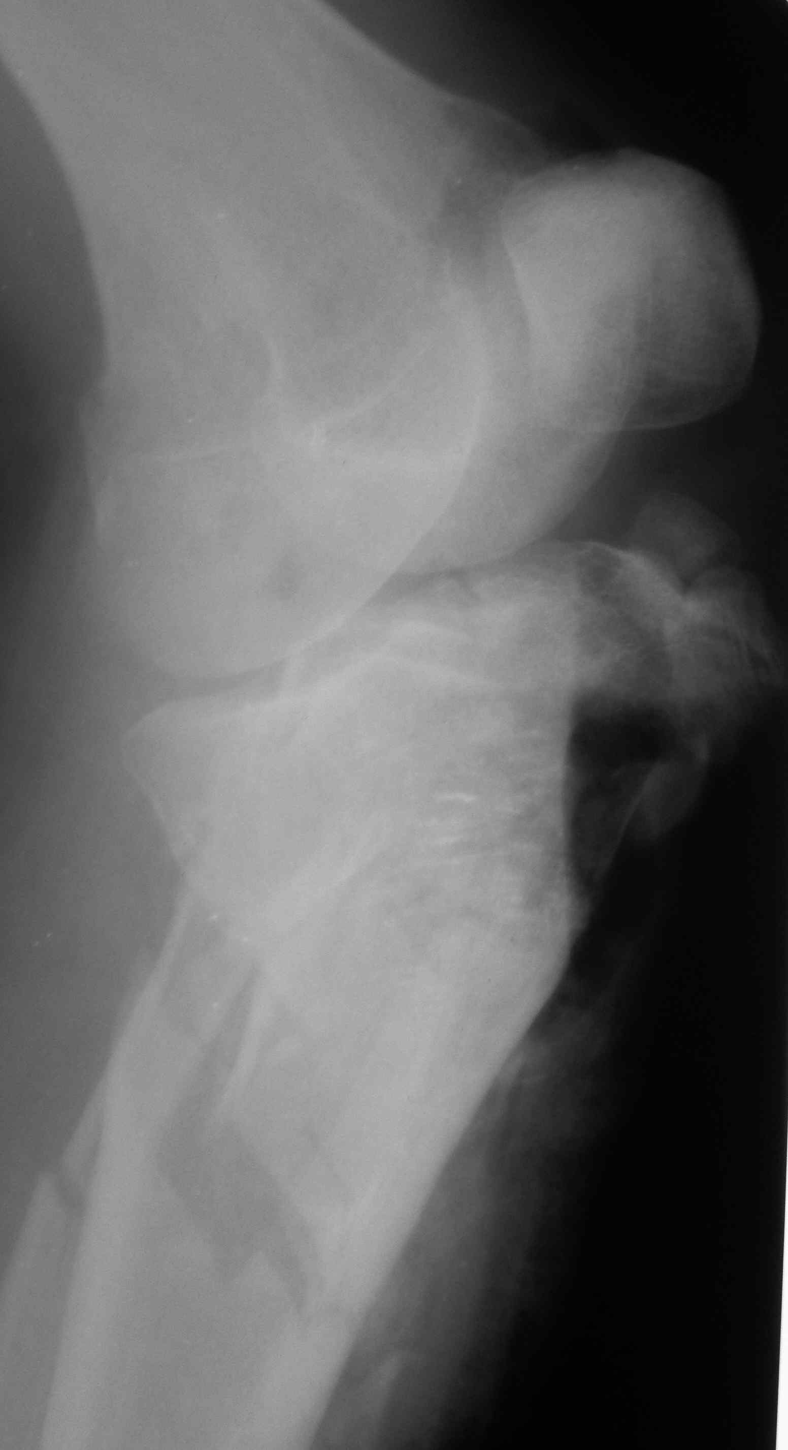
скан, который, на мой взгляд наиболее интересен
|
[
Ответить ]
|
Re: перелом проксимальной тибии + вывих бедра
Paul 06 Июль 2015, 10:31
|
На голени приемлемую репозицию можно сделать закрыто. Фиксация может быть спицами и аппратом или винтами и аппаратом (разгрузка сустава). На бедре для полноценного восстановления функции необходима артротомия и остеосинтез (доступ Кохера, похоже фрагмент заднего края вертлужной впадины).
|
[
Ответить ]
|
Re: перелом проксимальной тибии + вывих бедра
Nikita Zadneprovsky 07 Июль 2015, 01:16
|
Максим, приветствую!
Фрагмент в полости тазобедренного сустава большой. Мы бы оперировали. В похожем случае, но уже у нас, (см. приложение) внутрисуставной осколок был значительно больше предполагаемого.
pdf, 770 Kb
Что касается CAM и FAI, то долотом срезали бы участок который соударяется с краем впадины.
С уважением, Никита Николаевич
|
[
Ответить ]
|
Re: перелом проксимальной тибии + вывих бедра
Отправитель: Maxim Agalakov 09 Июль 2015, 20:05
|
Никита, фрагмент в вашем случае несколко в иной локализации и он реально "пережует" впадину, здесь он в ямке.
|
[
Ответить ]
|
|
Re: перелом проксимальной тибии + вывих бедра
Maxim Agalakov 09 Июль 2015, 19:40
|
первым этапом сделали синтез задней стенки, дистракционный аппарат на ногу, снимки низкого качества, завтра постараюсь приложить нормальный рентген и КТ
|
[
Ответить ]
|
|
|
Re: перелом проксимальной тибии + вывих бедра
Maxim Agalakov 10 Июль 2015, 13:50
|

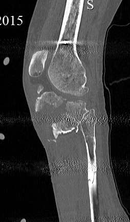
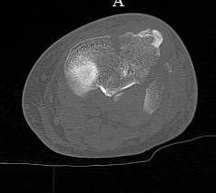
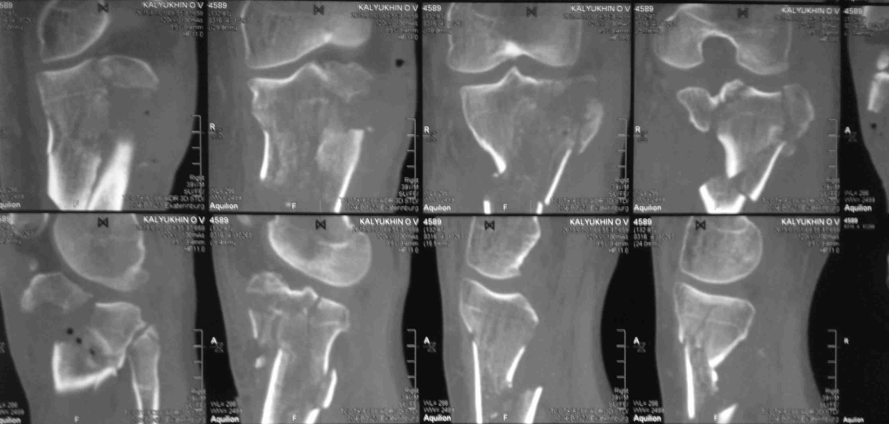
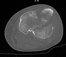
Серия КТ сканов в аппарате
|
[
Ответить ]
|
Re: перелом проксимальной тибии + вывих бедра
Gilev Mikhail 10 Июль 2015, 20:15
|
Учитывая характер перелома (открытый и высокоэнергетический) , все же заканчивать лучше в полноценном ЧКО АВФ по Илизарову. Основная проблема - это крупный фрагмент бугристости вместе с участком переднего плато, который лучше низводить и ставить на место чем быстрее, тем лучше (с учетом контракции связки надколенника и квадрицепса). Если рассмотреть такой вариант: в нынешнем монолатеральном аппарате зафиксировать 2 (3) винтами (если есть, то лучше канюлированными по спицам) фрагмент латерального мыщелка к медиальному (проводить винты во фронтальной плоскости на уровне межмыщелкового возвышения и/или дорзальнее, чтобы оставить место и не помешать репозиции переднего отломка с бугристостью). Импрессионный компонент присутствует, но в данном контексте я бы им пренебрег и пластику не проводил. Далее низвести надколенник и чрескостно фиксировать его 2-3 2мм спицами к бедру. Как только надколенник низведен, можно репонировать крупный фрагмент бугристости (или винтами или в спицами в аппарате ). После чего собрать шарнирный АВФ с дистальной опорой на бедре и опорами на голени (причем спицы чрескостные в надколеннике я бы оставил на недели 2-3, а через 4-6 недель демонтировал базу с бедра). Как-то так.
С уважением, Гилев Михаил.
|
[
Ответить ]
|
Re: перелом проксимальной тибии + вывих бедра
Отправитель: Maxim Agalakov 11 Июль 2015, 10:42
|
большое спасибо, постараюсь учесть ваши рекомендации
|
[
Ответить ]
|
Re: перелом проксимальной тибии + вывих бедра
Отправитель: Ушаков Сергей 13 Июль 2015, 20:30
|
Добрый день, коллеги! Повреждение вертлужной впадины вероятнее всего 62-А1.2 чистый переломовывих, оскольчатый перелом задней стенки, при этом внутрисуставной фрагмент, является частью артикулирующей поверхности ацетабулюм, а следовательно его необходимо извлечь и поместить на место, иначе мозаика может не собраться. Про FAI временно можно не вспоминать (не до него), поскольку наиболее тяжелое повреждение голени требует адекватного вмешательства.На представленных рентгенограммах таза после операции все отлично, полную картину даст КТ.
Голень-41-С3.1 - полный внутрисуставной и метафизарный оскольчатый перелом с доминантным повреждением наружного мыщелка, с импрессией центральной части плато. Первичная тактика полный респект по АО и ОТА. на фоне лигаметотаксиса выполнено КТ, которое четко детализирует повреждение и определяет дальнейшую тактику.
Основная проблема не бугристость, а внутрисуставное повреждение латерального мыщелка с импрессией центральной части. С большей вероятностью, есть паракапсуллярное продольное повреждение наружного мениска.
АВФ Илизарова не даст возможности адекватной репозиции суставного копонента, не питайте иллюзий, и не заблуждайте окружающих. Трансартикулярная фиксация надколенника на 2-3 нед. закончится переломом спиц и феморопателлярным артрозом. Функциональность шарнирного АВФ - утопия. Врачу некогда, шарниры не на уровне, пациент не умеет и болит.
Поэтому, после монолатерального АВФ, мы выполняем открытую реконструкцию. Медиальный мыщелок - 1, поскольку простой внутрисуставной перелом. Латеральный мыщелок -2 , с костной аутопластикой, из этого же доступа и бугристость. С большей вероятностью наружный мениск будет оторван паракапсуллярно, но это облегчит элевацию латерального плато. По окончанию операции его небходимо подшить.
Итак: изнутри 1\3 трубка или Т-обраная пластина, снаружи PTP LCP БУГРИСТОСТЬ - 2 мя винтами бикортикально
С Уважением Ушаков СА
|
[
Ответить ]
|
|
Re: перелом проксимальной тибии + вывих бедра
Gilev Mikhail 14 Июль 2015, 18:56
|
Уважаемые коллеги, уважаемый Сергей Александрович! Доброго времени суток!
Я полностью согласен с описанной Вами тактикой, если перелом был бы закрытым, тем более, что она подробно написана в любом приличном руководстве (Кэмпбел, Роквуд и Грин...). Однако перелом был открытый, гиперэргичный с явным повреждением мягкотканного компонента вокруг сустава и голени, с выполненной ПХО в области бугристости и ни в одном руководстве не отдается предпочтению погружному остеосинтезу при открытых переломах проксимального отдела большеберцовой кости типа С. Тем более уж если фиксировать фрагмент бугристости, то нужно обязательно разгружать этот фрагмент формированием петли через надколенник, иначе ни один винт не удержит. У меня был подобный пациент, прооперированный погружным синтезом из двух доступов, но закончилось все не сильно хорошо, пошли некрозы именно в области бугристости.
С уважением, Михаил Гилев
|
[
Ответить ]
|
Re: перелом проксимальной тибии + вывих бедра
Ушаков Сергей 16 Июль 2015, 17:05
|
Добрый день, коллеги! Чем пугает открытое повреждение при наличии адекватной хирургической обработки раны. Пациент в "одних руках", ПХО адекватна. Наша клиника имеет опыт лечения нескольких тыс пациентов с открытыми переломами методом накостного остеосинтеза с хорошими результатами. Рана по описанию хоть и поперечно ориентирована, но не значительна в размерах (2-3 см). В настоящее время, по представленным данным, воспалительных явлений нет, компартменты не скомпроментированы. Хотелось бы акцентировать, что применение двух пластин подразумевает использование двух равноудаленных доступов: заднемедиального (по краю икроножной мышцы) и передне-латерального. При адекватном применении комплекса доступов никаких некрозов промежуточного лоскута не будет, поскольку ширина последнего будет не менее 10-12 см какую петлю вы предлагаете формировать или фиксировать? достаточно 2 винтов 3.5 мм введенных под углом 90 гр к оси сегмента с дивергенцией 45 гр к сагиттальной плоскости, но обязательно бикортикально. устранить импрессию наружного мыщелка и наиболее вероятный паракасуллярный продольный разрыв наружного мениска закрыто не удасться. Поэтому открытая реконструкция, на наш взгляд,приоритетна. С уважением Ушаков СА
|
[
Ответить ]
|
Re: перелом проксимальной тибии + вывих бедра
Ушаков Сергей 16 Июль 2015, 17:06
|
Добрый день, коллеги! Чем пугает открытое повреждение при наличии адекватной хирургической обработки раны. Пациент в "одних руках", ПХО адекватна. Наша клиника имеет опыт лечения нескольких тыс пациентов с открытыми переломами методом накостного остеосинтеза с хорошими результатами. Рана по описанию хоть и поперечно ориентирована, но не значительна в размерах (2-3 см). В настоящее время, по представленным данным, воспалительных явлений нет, компартменты не скомпроментированы. Хотелось бы акцентировать, что применение двух пластин подразумевает использование двух равноудаленных доступов: заднемедиального (по краю икроножной мышцы) и передне-латерального. При адекватном применении комплекса доступов никаких некрозов промежуточного лоскута не будет, поскольку ширина последнего будет не менее 10-12 см какую петлю вы предлагаете формировать или фиксировать? достаточно 2 винтов 3.5 мм введенных под углом 90 гр к оси сегмента с дивергенцией 45 гр к сагиттальной плоскости, но обязательно бикортикально. устранить импрессию наружного мыщелка и наиболее вероятный паракасуллярный продольный разрыв наружного мениска закрыто не удасться. Поэтому открытая реконструкция, на наш взгляд,приоритетна. С уважением Ушаков СА
|
[
Ответить ]
|
Re: перелом проксимальной тибии + вывих бедра
Ушаков Сергей 16 Июль 2015, 17:07
|
Добрый день, коллеги! Чем пугает открытое повреждение при наличии адекватной хирургической обработки раны. Пациент в "одних руках", ПХО адекватна. Наша клиника имеет опыт лечения нескольких тыс пациентов с открытыми переломами методом накостного остеосинтеза с хорошими результатами. Рана по описанию хоть и поперечно ориентирована, но не значительна в размерах (2-3 см). В настоящее время, по представленным данным, воспалительных явлений нет, компартменты не скомпроментированы. Хотелось бы акцентировать, что применение двух пластин подразумевает использование двух равноудаленных доступов: заднемедиального (по краю икроножной мышцы) и передне-латерального. При адекватном применении комплекса доступов никаких некрозов промежуточного лоскута не будет, поскольку ширина последнего будет не менее 10-12 см какую петлю вы предлагаете формировать или фиксировать? достаточно 2 винтов 3.5 мм введенных под углом 90 гр к оси сегмента с дивергенцией 45 гр к сагиттальной плоскости, но обязательно бикортикально. устранить импрессию наружного мыщелка и наиболее вероятный паракасуллярный продольный разрыв наружного мениска закрыто не удасться. Поэтому открытая реконструкция, на наш взгляд,приоритетна. С уважением Ушаков СА
|
[
Ответить ]
|
( Ответить )
|
|