Ответить
|
Re: Polytrauma
Дедок Михаил 04 Апрель 2018, 00:11
|
3. УЗИ по протоколу fast — есть гемоперитонеум —в операционную. На лапаротомию. Там параллельно рентгенография грудной клетки, шеи, черепа и таза.
Гемостаз. Ex fix. Стабилизируем ад, кт головы и далее по необходимости.
2. В данном случае— операционная.
1. Если есть нарушение дыхания, то парамедик, нет— в приемном отделении.
|
[
Ответить ]
|
Re: Polytrauma
Иван 05 Апрель 2018, 20:00
|
1. Тяжелая травма с нестабильной гемодинамикой и утратой сознания - веские основания для контроля над проходимостью дыхательных путей. В России интубацию делает только врач; использованию более простых методов (ларингеальная маска к примеру) возможно обучить и не врача (парамедика).
2. Лучше, когда диагностический зал находится рядом с операционной. При нестабильном состоянии пациента диагностику и лечение проводим в операционной.
3. Нестабильная гемодинамика и подозрение на поддиафрагмальное кровотечение может служить показанием для временной баллонной окклюзии аорты, для стабилизации АД и контроля кровотечения. Далее, если есть условия, КТ, оценка возможности эндоваскулярного гемостаза/ открытая операция. ИЛИ (без КТ) FAST, РГ таза, груди - операция.
|
[
Ответить ]
|
Re: Polytrauma
Vlad Kozanchuk 06 Апрель 2018, 17:50
|
1.Невозможно исключить тяжёлую травму шейного отдела позвоночника и головы, поэтому, если больная дышит самостоятельно, на месте интубацию лучше не выполнять. Интубировать должен врач.
2. Лучше там, где есть возможность выполнить КТ
3. КТ шейного отдела позвоночника и головы.
|
[
Ответить ]
|
Re: Polytrauma
Djoldas Kuldjanov 07 Апрель 2018, 11:14
|
Травма хирург принял решение продолжать лечение в операционной. Срочная диагностическая лапаротомия с абдоминальной тампонадой, переливание 5 единиц крови. Irrigation & Debridement открытых ран с вакуумированием, попытка закрытой репозиции деформации сустава. По-прежнему состояние тяжелое, но давление стало стабилизироваться. Смогли получить первые диагностические данные.
Здесь перечислены ортопедические повреждения: Rt. femoral shaft fracture, Rt femoral head fracture-dislocation, Rt distal femur fracture, Rt. open patella fracture, Rt. talus fracture dislocation, Rt. open humerus fracture, Left 5th metatarsal fracture, Left dislocation 1st TMT.
Интенсивные реанимационные мероприятия продолжаются в ICU, на следующий день сделана Irrigation &Debridement раны живота с последующим ушиванием серозной оболочки, наружный фиксатор на правое бедро. В связи со стабилизацией состояния получили добро на короткую операцию. Каккое из повреждении является более приоритетным? С чего начать?
|
[
Ответить ]
|
Re: Polytrauma
Отправитель: Djoldas Kuldjanov 07 Апрель 2018, 22:26
|
Дорогие коллеги,
Конечно, продолжение следует, случай давнишний. Пост выставлен для поднятия уровня дискуссии на Форуме, иначе вместо глубокого анализа Форум становится местом для объявлений. Примерно такую форму дискуссии проводим на нашей квартальной конференции с Visiting Professor. Наши резиденты вот так устраевают “экзамен” приглашенному профессору.
|
[
Ответить ]
|
Re: Polytrauma
Отправитель: Иван 10 Апрель 2018, 20:19
|
Djoldas Kuldjanov, уточните как фиксировались переломы сразу после завершения лапаротомии?
|
[
Ответить ]
|
|
Re: Polytrauma
anatol 08 Апрель 2018, 19:07
|
Мое мнение - последовательность должна быть такова:
1.Вправление вывиха бедра, репозиция, остеосинтез перелома шейки бедра
2.Репозиция перелома таранной кости
3.После компенсации состояния внутренний остеосинтез диафиза и дистального метафиза правого бедра
|
[
Ответить ]
|
Re: Polytrauma
Дедок Михаил 11 Апрель 2018, 02:53
|
Вправить вывих тараной кости( вроде он есть). Затем вправить вывих бедра, и аппараты. И пока все.., на все уйдет минут 15.
|
[
Ответить ]
|
Re: Polytrauma
Alexander Artemiev 12 Апрель 2018, 12:12
|
Джолдас, добрый день.
Давно не получал удовольствия читать твои интересные комментарии.
Не совсем полно представлена информация по данному случаю.
Но ты же ведь не просто так спрашиваешь? Я так понимаю, продолжение последует?
> Пре-госпитальная служба в разных странах осуществляется по разному,
> например, в [...] авария в результате суицида, машина против дерева. На месте
> проведена интубация и начато переливание раствора
Ну нормально.
На месте происшествия оказывается соответствующий этому этапу объем помощи:
- обезболивание
- инфузионная терапия, возможно, через центральные вены
- транспортная иммобилизация.
- возможно, дренирование плевральной полости.
Вопрос об интубации - спорный.
-
>
> Беглый осмотр службой Травмы выявил: без сознания, подозрение на
> повреждение печени с гемоперитениумом, гематома брыжейки,
При беглом осмотре такие детали не диагностируются.
Основной показатель - пульс, давление.
При беглом осмотре можно поставить диагноз: закрытая травма живота, внутрибрюшное кровотечение, острая кровопотеря, шок.
множественные
> переломы ребер с ушибом легкого,
При чем здесь ушиб легкого - главный вопрос - есть пневмоторакс и гемоторакс.
Если есть пневомоторакс - срочное дренирование. Это диагностируется аускульттацией и дренируется
|
[
Ответить ]
|
Re: Polytrauma
Oleksiy Ladyzhev 12 Апрель 2018, 12:16
|
если у пациента ШКГ 4, то интубировать на месте обязаны даже парамедики используя приемы защиты шейного отдела.
Ср, 11 квіт. 2018 17:26 користувач Дедок Михаил пише:
Наиболее критичным на мой взгляд является вивх бедра и переломы длинных костей.
Как многие тут пишут. Стабилизировать переломы В exfix не займет много времени, а вот вывих бедра может быть проблемой.
|
[
Ответить ]
|
Re: Polytrauma
Djoldas Kuldjanov 13 Апрель 2018, 03:44
|
1.Вправление вывиха бедра, репозиция, остеосинтез перелома шейки бедра
2.Репозиция перелома таранной кости
3.После компенсации состояния внутренний остеосинтез диафиза и дистального метафиза правого бедра.
Во всех руководствах по политравмам рекомендуется подобный алгоритм, т.е. вправление вывиха и стабилизация длинных костей. В наших Травма центрах решение об ургентности операции принимает не Ортопед Травматолог, а ответственный Травма хирург!
В нашем случае с момента травмы прошло около 2 суток, и переломо-вывих бедра остается не вправленный. По нашим данным, риск осложнений при запоздалой репозиции остается высоким, и McKee 1998 также подтверждает, что репозиция вывиха бедра после 6 часов приводит к осложнению аваскулярным некрозом более чем 10%, а после 15.3 часов около 26%.
Кроме того, больная нестабильная и без сознания, INR (International Normalized Ratio) высокий и другие лабараторные данные показывают, что для для фиксации ортопедических повреждений отпускают мало времени.
Во время совместной операции с хирургами по I&D вакумированием раны живота и ран конечности, смогли быстро наложить наружный фиксатор на бедро.
Djoldas Kuldjanov, M.D.
Professor Dept. of Orthopedic Surgery
Saint Louis University
Chief of Ortho Trauma St. Louis University Hospital
|
[
Ответить ]
|
Re: Polytrauma
Отправитель: Maxim Agalakov 13 Апрель 2018, 12:13
|
По многим данным (Rockwood) вправление вывиха после 24 часов - почти неминуемый AVN. Стоит ли заморачиваться?
Учитывая тяжесть ExFix на длинные сегменты, попробовать поправить таран.
Если получится - в аппарате вправить закрыто бедро, но особо с этим не заморачиваясь.
|
[
Ответить ]
|
|
Re: Polytrauma
Djoldas Kuldjanov 17 Апрель 2018, 00:50
|
Курс реанимации продолжается, вливания кристаллоидов и эритроцитарной массы стали действовать положительно. Остается под интубацией, но стал отвечать на команду!
С интервалом 2 и 3 день Irrigation and Debridement со сменой вакуума.
6 день госпитализации-операция на таранной кости.
7 день госпитализации-Трахеотомия и Percutaneous endoscopic gastrostomy (PEG)

Результат раневого посева отрицательный на инфекцию. Остается фиксировать остальные повреждения: проксимальное бедро, открытые переломы бедра, плеча. Какие предложения?
|
[
Ответить ]
|
Re: Polytrauma
anatol 17 Апрель 2018, 01:38
|
Интрамедуллярный остеосинтез бедра PFN Long
Интрамедуллярный остеосинтез плеча лучше в одну операцию при стабильном общем состоянии
|
[
Ответить ]
|
Re: Polytrauma
Djoldas Kuldjanov 22 Апрель 2018, 21:07
|
>Интрамедуллярный остеосинтез бедра PFN Long. Интрамедуллярный остеосинтез плеча лучше в одну операцию при стабильном общем состоянии
Фиксировать одним интрамедулярным гвоздем несколько переломов неплохая идея, но это не всегда удается. Для репозиции перелома шейки с вывихом головки (кстати, часть головки до сих пор остается внутри суставной впадины), потребуется много времени. Здесь каждый перелом требует особого подхода: например, для сохранения сферичности головки потребуется обширный доступ, а для остальных переломов различные трюки, что затрудняет фиксацию одним имплантатом!
При подборе фиксатора необходимо ориентироваться на следующие моменты: максимальный бенефит при минимальной инвазивности, создание стабильности при многоуровневом переломе, и наличие опыта работы с имплантатом. А предложенный фиксатор (PFN Long) не отвечает требованиям, потому что фиксатор предназначен для чрез-под вертельных и для высоких переломов бедра. Сомнения по поводу толстого (11 мм) болта в головку, хотя более пожилым с агрессивными конструкциями в головку проблем не бывает, а для молодых без надобности большие конструкции не рекомендуются. Лучше менее агрессивные, например, тонкие параллельные или перекрестные винты в проксимальном отделе гвоздя.
При лечении ипислатеральных переломов шейки и бедра лучший биомеханический эффект обеспечивают независимые друг от друга имплантаты, например, винты или DHS, и отдельная фиксация диафиза бедра. Можно интрамедуллярную фиксацию, но тогда, закрывая диафиз, мы отрезаем возможности фиксировать перелома шейки и головки!
Раны в области коленного сустава и на плече до сих пор чистые, остаются открытыми. Отсутствует признаки инфекции, решили превратить недостаток в преимущество, т.е. фиксировать через открытые раны пластинами.
На 9й день фиксация дистального бедра, где фрагмент Hoffa и вертикальный перелом надколенника, зафиксированы винтами.
На 11й день фиксация плеча также пластиной.
Djoldas Kuldjanov, MD
|
[
Ответить ]
|
Re: Polytrauma
Djoldas Kuldjanov 24 Апрель 2018, 22:40
|
Из вариантов фиксации для проксимального и диафиза бедра выбрали пластину, а по поводу артропластики остается вопрос между тотальным или геми.
На всякий случай запланировали: короткий и длинный вариант ножки.
На 13й день госпитализации появилась высокая температура, посев из крови положительный на Enterococcus. CXR (Chest X-ray) показывает пульмонарный инфильтрат.
Операция отложена до разрешения температуры. Консультация инфекциониста, антибиотики Vancomycin и Zosyn внутривенно. На 2й день с начала терапии повторный посев крови показал отрицательный результат. Раны живота ушиты первично-отсроченными швами, и через две недели состояние улучшилось.
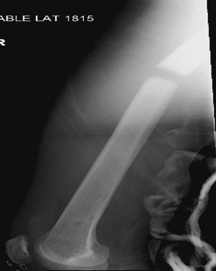
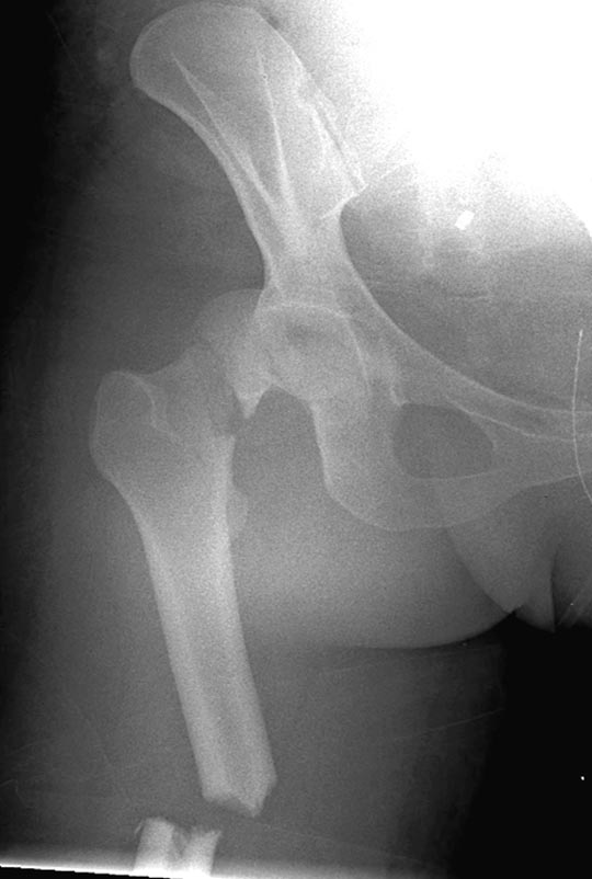
На 25 день с момента травмы операция на Jackson table с боковым обширным доступом. Удаление стержней с местной обработкой. В тазобедренном суставе удаление головки, на дне вертлужной впадины полная отслойка хряща. Вертлужный компонент с одним винтом и короткая ножка - Fitmore press fit stem. На второй день однократно доза радиации для профилактики гетеретопической оссификации. Послеоперационный период без температуры. Выписана. Нагрузку разрешили на левой стороне, а полная в 3 мес. Здесь снимки при амбулаторном наблюдении: послеоперационно, 2 мес, 3 мес и 6 мес. Нагрузка полная, отсутствует хромота, и нет жалоб.

Djoldas Kuldjanov, MD
Djoldas Kuldjanov, MD
Professor Dept. of Orthopaedic Surgery
Saint Louis University
Chief of Ortho Trauma, Mercy Hospital
|
[
Ответить ]
|
Re: Polytrauma
anatol 30 Апрель 2018, 21:17
|
Большое спасибо. Замечательное изложение. Интересный случай и необычное решение.
|
[
Ответить ]
|
( Ответить )
|
|