AOTRAUMA.ORG Центр Илизарова  

Ортопедия и травматология Общие вопросы/General questions Help Информационные технологии в медицине
 вверх
 отправить
 поиск
 админ
 главная


Нестабильность локтевого сустава
Ортопедия и травматология Отправлено Alexander Chelnokov 19 Май 2002, 20:29
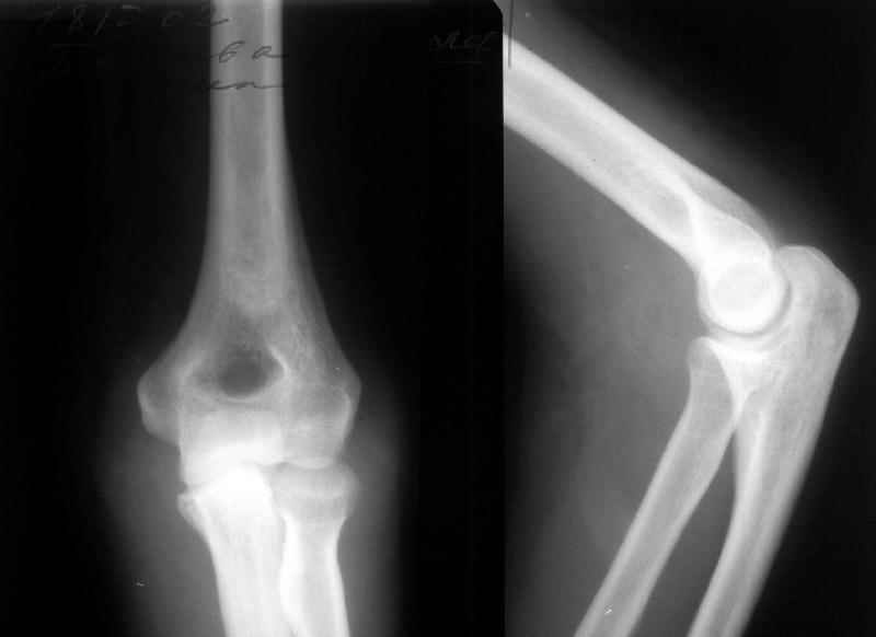
Пациентка 48 лет при падении с 5 этажа получила травму 28.04.02. Среди прочих повреждений был открытый задний вывих предплечья (см. снимок). Он был сразу вправлен, рана 6 см по внутренней поверхности
области локтевого сустава была обработана по месту первичного поступления. К нам поступила 7.05.02. Рана зажила первичным натяжением. Вчера, то есть через три недели после вправления, сняли повязку для разработки движений. Выявлено, что предплечье легко смещается медиально, и вправляется. Движения в локтевом суставе покаплохие. Свежие снимки и в правильном положении, и в подвывихе прилагаются. Вопрос - что делать? Продлить иммобилизацию гипсом? Идти на ревизию и восстановление внутренней боковой связки? Наложить шарнирный аппарат?Заранее спасибо.-- Best regards, Alexander N. Chelnokov

<  |  >

 

  • Сообщения о Ортопедия и травматология
  • Также Alexander Chelnokov
  • Связаться с автором
  • Ответить

    Re: Нестабильность локтевого сустава
    Леонид Н. Соломин 20 Май 2002, 15:55
    Восстанавливать связку очевидно, придется. Но полагаю, в соответствии с классической ортпедией, вначале необходимо по-возможности восстановить движения в суставе. Для предотвращения боковой "болтанки" при этом можно использовать шарнирный ортез. Шарнирный чрескостный аппарат (при небольшом сроке после травмы) полезен в тех случаях, когда пациент, показывая врачу, как он здорово разрабатывает движения в локтевом суставе, вовсю качает только плечом и кистью... На всякий случай привожу обкатанную у нас в клинике компоновку - на основе всего двух спице-стержневых модулей:
    VI,7,120; VII,9-3 --о-- III,3-9; IV,6,70
    Удачи.

    Леонид Н.Соломин
    РосНИИТО, СПб
    [ Ответить ]

    • Re: Нестабильность локтевого сустава
      Отправитель: Alexander Chelnokov 21 Май 2002, 23:45
      ЛНС> разрабатывает движения в локтевом суставе, вовсю качает только
      ЛНС> плечом и кистью...

      Такая "разработка" действительно если и даст какой-то эффект, то в виде воспаления тканей у спиц от многочисленных циклических движений. Какой ритм разработки все-таки лучше? По одному или несколько раз за минуту/час/день достигать крайнего сгибания/разгибания? Оставлять в полном сгибании/разгибании на несколько минут, полчса, час, несколько часов?

      ЛНС> На всякий случай привожу обкатанную у нас в
      ЛНС> клинике компоновку - на основе всего двух спице-стержневых
      ЛНС> модулей: VI,7,120; VII,9-3 --о-- III,3-9; IV,6,70

      А нельзя ли рисунок или фото глянуть, уж больно мудрено выглядят обозначения...

      --
      Best regards,
      Alexander N. Chelnokov

      [ Ответить ]
    • Re: Нестабильность локтевого сустава
      Отправитель: Леонид Н. Соломин 22 Май 2002, 00:08
      В целом наша тактика основана на рекомендациях, приведенных в "старом-добром" руководстве Волкова-Оганесяна "Восстановление формы и функции суставов и костей" (М., 1986). Основное правило - боли не должно быть! Для этого работа с поворотным шарниром должна быть дискретная - не менее 6-8 манипуляций за день. По сколько? Очень индивидуально (степень выраженности контрактуры, психоэмоциональное состояние, болевой порог и т.д.). В градусах считать, конечно, правильнее, но неудобно. Поэтому "углы
      считаем в мм". Начинать лучше в сторону среднефизиологического положения и далее - до выработки амплитуды в этом направлении, т.е. до полного сгибания (разгибания). Например, после максимально возможного сгибания (разгибания), с 1 мм за прием. И если (абсолютно) нет боли, напряжения, нейротрофических нарушений - через 2 часа - опять 1 мм. И сейчас все хорошо? Тогда через 2 часа - до 2-х мм. Появилась "что-то" - темп сбавляем.
      На 2-3 сутки пациент сам определит величину перемещения заветной гайки.
      Главное убедить пациента (и себя), что грубейшая ошибка - разрабатывать движения через боль, с использованием анальгетиков. Это не ускорит достижения результата. Через 2-10 (В целом наша тактика основана на рекомендациях, приведенных в "старом-добром" руководстве Волкова-Оганесяна "Восстановление формы и функции суставов и костей" (М., 1986). Основное правило - боли не должно быть! Для этого работа с поворотным шарниром должна быть дискретная - не менее 6-8 манипуляций за день. По сколько? Очень индивидуально (степень выраженности контрактуры, психоэмоциональное состояние, болевой порог и т.д.). В градусах считать, конечно, правильнее, но неудобно. Поэтому "углы
      считаем в мм". Начинать лучше в сторону среднефизиологического положения и далее - до выработки амплитуды в этом направлении, т.е. до полного сгибания (разгибания). Например, после максимально возможного сгибания (разгибания), с 1 мм за прием. И если (абсолютно) нет боли, напряжения, нейротрофических нарушений - через 2 часа - опять 1 мм. И сейчас все хорошо? Тогда через 2 часа - до 2-х мм. Появилась "что-то" - темп сбавляем.
      На 2-3 сутки пациент сам определит величину перемещения заветной гайки.
      Главное убедить пациента (и себя), что грубейшая ошибка - разрабатывать движения через боль, с использованием анальгетиков. Это не ускорит достижения результата. Через 2-10 (

      Кликните для загрузки файла flexion.jpg
      31KB (32224 bytes)

      [ Ответить ]
    Re: Нестабильность локтевого сустава
    В.Е.Казённов 20 Май 2002, 15:58
    По моему мнению, нужно начинать с первого из перечисленных Вами вариантов:
    продлить иммобилизацию. Возможно -- в виде так называемого динамического шинирования: с какой-то периодичностью, например, два раза в сутки, менять шины -- одну в положении сгибания, вторую -- в положении разгибания предплечья. Формирующиеся рубцы, возможно, стабилизируют сустав.
    Есть ли в Вашей клинике ЭОП? С использованием его контроль за положением в суставе упрощается.

    С уважением,
    В.Е.Казённов, доц.кафедры травматологии-ортопедии
    [ Ответить ]

    Re: Нестабильность локтевого сустава
    chris wilson 20 Май 2002, 15:59
    Our elbow specialist recommends open reconstruction of the MCL of the elbow, and protection with a hinged elbow fixator.He recommends a fixator made by Stratec, named after Mr Morey from the U.S.

    Chris Wilson
    Knee and Trauma Surgeon
    University Hospital
    Cardiff
    UK
    [ Ответить ]

    Re: Нестабильность локтевого сустава
    Dr. Shmuel Luboshitz 20 Май 2002, 16:01
    I would suggest to take in consideration the possibility of having damaged both MCL and Lateral ulnar coll. ligaments as otherwise I could not explain the medial shift of the ulna (how about varus stress under fluoroscopy ? ),
    thus I would consider now the reconstruction of both ligaments located at isometric points (I do not think you'll find now any substance to suture
    primarily) and start immediate motion under dynamic ex. fix. protection for 3-4 weeks and than hinged splint for another 2 mo; or if your reconstruction is strong enough (Palmaris longus or semimembranosus) augmented with synthetic heavy suture - ticron 5) one should be satisfied with the protection of an hinged splint too for three months.

    Good luck
    Dr. Shmuel Luboshitz
    Orthopedic & Hand Surgeon
    Head of Hand Surgery Unit
    Hillel-Yaffe Hosp.
    Israel
    [ Ответить ]

    Re: Нестабильность локтевого сустава
    James Carr 20 Май 2002, 19:36
    I agree with Chris. I would approach the elbow medially if it appeared primary medial instability. If it is true "global", needing some lateral work as well, everything can readily be reached by posterolateral approach next to olecranon.
    Be ready to do graft if needed medially. For the few cases I have used them, elbow fixators have worked well. I think EBI has one too.

    James B. Carr, MD
    Palmetto Health Orthopedics
    [ Ответить ]

    Re: Нестабильность локтевого сустава
    Thomas A. DeCoster 21 Май 2002, 08:42
    For recurrent elbow dislocation I suggest:

    1. Scrutinize the radiograph carefully for avulsion fractures and repair them.
    2. Assess for tendon avulsion.
    3. Exam under anesthesion with assessment of MCL and LCL
    4. Document stable ROM after initial reduction and try to stay within that range postop. Presumably this was done and the patient still re-dislocated. So repair the ligaments that are torn.
    5. Medially there are 3 components but the anterior band is most important and is usually torn from the humerus. Reattach it with drill holes or suture anchor.
    6. Laterally there are 4 components with the lateral humeral-ulna most important; again usually avulsed as a sleeve from the humerus and reattach the whole complex with drill holes or suture anchor.
    7. If still unstable then articulated XF. Olganesen had a ring frame decades ago.
    8. Commonly fractures participate in the instability(avulsions, proximal radius, coronoid, olecrenon,...) and need fixation; although not appearant in your case.

    Tom DeCoster
    [ Ответить ]

    Re: Нестабильность локтевого сустава
    Dr Minoo Patel 21 Май 2002, 20:54
    This is a classical series of events. It is unlikely to be the MCL (MUCL) that is damaged. It is more likely to be the LUCL (lateral ulnar collateral ligament), with the elbow pivoting on the radial head causing a subluxation of the humero-ulnar articulation.

    Exmination under anaesthesia using image intensifier will help as will an MRI scan. I would repair the LUCL (+/- the MUCL) using the global posterior approach (described by Greg Bain and Stuart Patterson in CORR 2001) and
    protect and mobilise the elbow in a Compass Hinge type Ilizarov (or an Ilizarov fixator with a hinge at the elbow). I prefer not to use the
    uniplanar Morrey Dynamic Joint Distractor, Mark 2 or Mark 1 (very bad with the distraction pin going through the centre of rotation of the elbow and therefore being intr-articular) or the EBI.

    Leaving the elbow in a cast will not achive anything, except making the elbow stiff. There is only one thing worse than a stiff elbow - a stiff unstable elbow. If th patient is averse to surgery, and if the elbow is stable in forearm pronation, try a hinged elbow brace with the forearm locked in pronation, though this is likely to fail in face of this gross instability.

    Please let us know the results of your treatment.

    Minoo Patel, MD, MS, FRACS
    Hand & Upper Limb Surgery; Limb Lengthening & Reconstruction.
    Senior Lecturer, Monash University, Melbourne, Australia.
    [ Ответить ]

    Re: Нестабильность локтевого сустава
    И.Воск 11 Октябрь 2002, 02:55
    Проблематика подвывиха, по-моему, в недостаточной по времени и очевидно по качеству первичной после вправления иммобилизации. Дополнительная иммобилизация бесполезна. Внутренняя локтевая связка, на мой взгляд, не причем.Оперативная ее поправка только усугубит нестабильность локтя.Кардинальный вопрос - был ли локоть вообще репозирован? Была ли восстановлена нормальная аппроксимация олекранона и трохлеа, которые являются замком сустава? Не является ли головка радиуса рычагом разворачивающим локтевой сустав при ротации?
    Меня учили много лет назад, что после 18-20 летнего возраста пациента, нужно гораздо больше доказательств и авантюризма для того чтобы оставить головку радиуса после вывиха или перелома, чем дальновидности заблаговременно ее удалить.
    И.В.

    [ Ответить ]


    ( Ответить )

    Powered by Zope  Squishdot Powered MedLink
    Посетитель: 0163756
      "По форме правильно, а по существу - издевательство" В.И.Ленин
    ©2001-2019Orthoforum Coordinator.
    [ Главная | Отправить сообщение | Поиск | Админ ]