вверх
отправить
поиск
админ
главная
|
Многооскольчатый перелом костей голени |
 |
 |
 |
Отправлено Глеб Коробушкин 26 Май 2002, 01:44
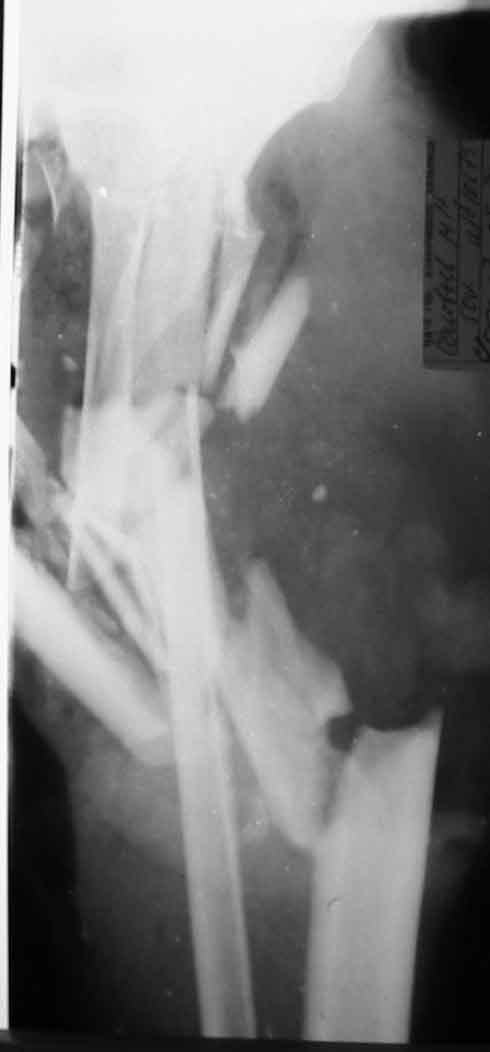
Больной С., 50 лет, строитель, поступил в 64 ГКБ 17.05.02., доставлен СП.Травма за 1 час до поступления на работе на ноги пострадавшего наехал трактор. При поступлении больного тяжелое, сознание спутаное, больной возбужден, не критичен. Кровотечения нет. Кожные покровы бледные. Пульсация на периферических артериях слабо определяется. АД 80/60 мм рт ст. Справа закрытый перелом большельшеберцовой без смещения.На Р-граммах левой голени многооскольчавый перелом костей с/3 в/3 голени (см 1)). Другие сегменты не пострадали.ДЗ. Открытый Многооскольчатый раздробленный перелом костей левой голени. Разможжениемягких тканей левой голени. Закрытый перелом с/3 большеберцовой кости правой голени со смещением. Вывих головки малоберцовой кости. Травматический шок 2-3 ст. Минуя приемное отделение больной поднят в экстренную операционную. После выведения больного из шока выполнена ПХО, и учитывая разможжение мягких тканей левой голени и многооскольчатый характер перелома - ампутация левой голени на границе в/3, экзартикуляция м/берцовой. Решено было максимально сохранить длину конечности. Ранане ушивалась, наложены провизорные швы (см 2, 3).На правую голень фиксирована разрезной гипсовой повязкой.Производились перевязки Н2 О2 , повязки с левомеколем, по мере спадения отека дозировано подтягивались провизорные швы. По состоянию на 24.05.02 Состояние больного удовлетворительное, субфибрильная лихорадка.Местно: в рану выстоят опил б/берцовой кости, кожный лоскут "болеет", некроз мышц иподкожной клетчатки в наружном углу раны (см 4).Вопросы:-Оправдана ли сберегательная тактика при поступлении?-В последующем имеет ли смысл постараться сберечь максимально возможную длинусегмента? -Если да то как заместить дефект тканей?-Если нет то какой вид ампутации выбрать и на каком уровне?Глеб КоробушкинАспирант Кафедры травматологии и ортопедии РГМУ, Москва
<
|
>
|
|
Ответить
|
Re: Многооскольчатый перелом костей голени
Alexander Chelnokov 26 Май 2002, 15:48
|
Г> Вопросы:
Г> -Оправдана ли сберегательная тактика при поступлении?
IMHO не очень, разве что операция была сокращена для экономии времени и снижения травматичности и заключалась лишь в отсечении конечности,
висящей на лоскуте. Опорная поверхность культи будет плохая, поскольку придется делать пластику. Все это может затянуться, и основное, ради чего оставлена часть голени - функция коленного сустава - может быть потеряно. Гипотетически можно порассуждать и про удлинение остатка большеберцовой кости, но представляется, что это понапрасну отнимет много сил, средств и времени.
Г> -В последующем имеет ли смысл постараться сберечь максимально
Г> возможную длину сегмента?
Такой ценой, мне кажется, не стоит. Хотя, говорят, сейчас можно изготовить протез при любой длине и форме культи, в любом случае чем
протезирование проще, тем лучше.
Г> -Если да то как заместить дефект тканей?
Если бороться за сохранение как сейчас есть - ничего лучше полнослойного лоскута на сосудистой ножке не придумать.
Г> -Если нет то какой вид ампутации выбрать и на каком уровне?
Выше коленного сустава, как раз тканей хватит нормально закрыть культю.
--
Best regards,
Alexander N. Chelnokov
|
[
Ответить ]
|
Re: Многооскольчатый перелом костей голени
Александр Артемьев 26 Май 2002, 15:53
|
Г> -Оправдана ли сберегательная тактика при поступлении?
- Да (если нет социальных противопоказаний).
Г> -В последующем имеет ли смысл постараться сберечь максимально возможную длину сегмента?
- Да.
Г> -Если да то как заместить дефект тканей?
Лучше всего - с использованием микрохирургической техники. В крайнем случае - хоть расщепленным лоскутом. Не рассматриваю достаточно еще экзотические методики (хотя очень
привлекательные), ткаке как экспандерная дермотензия. Ваше дело (или наше дело) - сохранить максимум культи и закрыть рану.
Пусть пациент сам потом решает с протезистами, что ему лучше и что ему по средствам.
Возможности протезирования сейчас чрезвычайно велики.
Г> -Если нет то какой вид ампутации выбрать и на каком уровне?
- В нижней трети бедра.
Вы проступили совершенно правильно - и в сберегательной тактике, и в том, что выполнили ампутацию по типу ПХО, т.е. без ушивания.
В прошлом году в и-те протезирования была конференция на эту тему, в Питере ежегодно проводится форум "Чел и здоровоье" - рекомендую, очень широко представлены проблемы протезирования.
В данном случае обратите внимание на профилактику контрактуры коленного сустава - вплоть до внешней фиксации.
Удачи .
Артемьев Александр Александрович
|
[
Ответить ]
|
Re: Многооскольчатый перелом костей голени
Отправитель: Глеб Коробушкин 26 Май 2002, 19:33
|
Спасибо за совет!
В нашей клинике мнения разделились на сторонников реампутации в н/3 бедра и сторонников сберечь возможную длину голени.
На 27.05.02 запланирова под проводниковой анестезией некректомия, санация.
В последующем решено ориентироваться на состояние мягких тканей, применить экстензию мягких тканей, возможно применение экспандерной дермотензии. Где можно приобрести дермато-эспандеры?
АА>Лучше всего - с использованием микрохирургической техники.
АА>В крайнем случае - хоть расщепленным лоскутом.
К сожалению микрохирургической техникой не обладаем.
АА>В данном случае обратите внимание на профилактику контрактуры
>коленного сустава - вплоть джо внешней фиксации.
Вы имеете ввиду гипс или АНФ?
АЧ>Если бороться за сохранение как сейчас есть - ничего лучше полнослойного лоскута на сосудистой ножке не придумать.
Вы имеете ввиду перемещенный кожный лоскут? Как его лучше выкроить?
С уважением Глеб Коробушкин.
|
[
Ответить ]
|
Re: Многооскольчатый перелом костей голени
Отправитель: Alexander Chelnokov 26 Май 2002, 20:05
|
Г> В нашей клинике мнения разделились на сторонников реампутации в н/3 бедра и
Г> сторонников сберечь возможную длину голени.
А с протезистами, к которым пациент будет направлен, не общались на этот предмет?
Г> На 27.05.02 запланирова под проводниковой анестезией некректомия, санация.
Г> В последующем решено ориентироваться на состояние мягких тканей, применить
Тогда бы еще с пластическими хирургами посоветоваться.
АА>>Лучше всего - с использованием микрохирургической техники.
АА>>В крайнем случае - хоть расщепленным лоскутом.
Это разве что как временная мера, поскольку на голую кость расщепленный лоскут не приживет, и если даже грануляций дождаться и на них посадить, для опорной поверхности это не годится.
Г> К сожалению микрохирургической техникой не обладаем.
Москва - большой город...
АА>>В данном случае обратите внимание на профилактику контрактуры
>>коленного сустава - вплоть джо внешней фиксации.
Г> Вы имеете ввиду гипс или АНФ?
Добиться надо ранней функции коленного сустава. и избежать развития сгибательной контрактуры. С такой коротенькой культей разрабатывать потом очень проблематично.
АЧ>>Если бороться за сохранение как сейчас есть - ничего лучше
Г> полнослойного лоскута на сосудистой ножке не придумать.
Г> Вы имеете ввиду перемещенный кожный лоскут? Как его лучше выкроить?
Лучше торакодорсальный лоскут с микрососудистым анастомозом. По Тычинкиной "нога к ноге" или филатовским стеблем уж больно тягостно.
Теоретически пожно сделать поперечный разрез по передней полуокружности сантиметро на 6-8 см проксимальнее края раны, мобилизовать эту полосу и сдвинуть на торец культи, закрыв ложе
расщепленным трансплантатом, но это может оказаться неудачной авантюрой.
--
Best regards,
Alexander N. Chelnokov
|
[
Ответить ]
|
Re: Многооскольчатый перелом костей голени
Отправитель: Алекандр Артемьев 29 Май 2002, 18:51
|
Г> В нашей клинике мнения разделились на сторонников реампутации в н/3 бедра и
Г> сторонников сберечь возможную длину голени.
реампутацию сдеалть никогда не поздно.
Г> На 27.05.02 запланирова под проводниковой анестезией некректомия, санация.
Проводниковая анестезия -здорово, в сермяжном здравоохранении такой объем некрэктомии обычно делают без анестезии.
А санация в данном случае в чем заключается? И так все вроде открыто.
Г> В последующем решено ориентироваться на состояние мягких тканей, применить
Г> экстензию мягких тканей, возможно применение экспандерной дермотензии.
Г> Где можно приобрести дермато-эспандеры?
Напишите мне завтра (напомните) на личный адрес, поищу рекламные проспекты и дам Вам 1-2 адреса. Лучше пользоваться импортными экспандерами.
Г> К сожалению микрохирургической техникой не обладаем.
Пусть об этом болит голова у больного. Найти микрохирурга в Москве не сложно.
>>коленного сустава - вплоть джо внешней фиксации.
Г> Вы имеете ввиду гипс или АНФ?
Внешние аппараты.
Гипс вряд ли будет состоятельным.
|
[
Ответить ]
|
Re: Многооскольчатый перелом костей голени
Отправитель: Глеб Коробушкин 29 Май 2002, 18:55
|
27.05.02. Выполнена Некректомия, вторичная хирургическая обработка раны
культи в/3 левой голени.
В условиях гнойной операционной произведена проводниковая анестезия бедренного, седалищного нервов Sol. Lidocaini 1%-50,0. Сняты провизорные
швы. При ревизии раны выявлено рана по передне-нижней поверхности культи левой голени, в рану выстоит опил большеберцовой кости, рана 17х7 см
веретенообразной формы. В наружном углу раны имеется краевой некроз остатков камбаловидной мышцы, краевой некроз кожного лоскута. Рана промыта перекисью водорода, водным раствором хлоргекседина, задний лоскут частично отделен от
места его прилежания, иссечены некротизированные мышечные ткани в пределах здоровых. Рана обработана ультразвуком, промыта водным хлоргекседином. Края раны ушиты, в середине раны наложены провизорные швы. Повязка с левомеколем.
АА> А санация в данном случае в чем заключается? И так все вроде открыто.
Иссечение некроза, а так же во время операции были сопоставлены лоскуты в углах раны, где не было натяжения.
Глеб Коробушкин
|
[
Ответить ]
|
|
( Ответить )
|
|