AOTRAUMA.ORG Центр Илизарова  

Ортопедия и травматология Общие вопросы/General questions Help Информационные технологии в медицине
 вверх
 отправить
 поиск
 админ
 главная


блок.гвоздь
Ортопедия и травматология Отправлено Алишер Хамраев 06 Март 2004, 19:23
12
Посоветуете пожалуйста по поводу одного случая. Мужчина 46 лет. В 2001 году в авто аварии получил переломы с/3 обоих бедер, костей правой голени, правой плечевой кости и перелом шейки правого бедра.
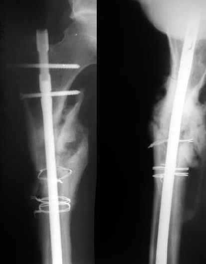
В районной больнице больному выполнен остеосинтез обоих бедер штифтом Кюнчера и накостный остеосинтез правой плечевой кости. Через год больной поступил к нам с ложным суставом шейки левого бедра, обеих бедер и правой б/б кости. Нами выполнено остеосинтез правой голени и левого бедра пластиной Абдуразакова (угольникообразная пластина) с аутокостной пластикой (трансплантат 1/3 ширины малоберцовой кости, длиной 12-14 см.). Через 6 месяцев в связи жалоб больного на хруст, боль и не возможность сидеть, больному произведено цервикокапитальное эндопротезирование головки левого бедра. Больной не посоветовавшись с нами, активно стал разрабатывать левый коленный сустав, в результате через 3 месяца после последней операции поступил с изломом пластины (рис.1). На наш взгляд, оптимальным решением было выполнение остеосинтеза блокирующими гвоздями обеих бедер (рис2). Это первые операции с использованием подобных гвоздей (получили по гум.помощи), поэтому практики по использованию их у нас нет.1. используются ли эти гвозди при ложных суставах?2. Больной в течение этих лет не ходит, можно ли его ставить на ноги?3. Как вести дальше этого больного?4. Какие возможно были варианты остеосинтеза, кроме реэндопротезирования ревизионной ножкой?Заранее благодарю, Алишер.

<  |  >

 

  • Сообщения о Ортопедия и травматология
  • Также Алишер Хамраев
  • Связаться с автором
  • Ответить

    Re: блок.гвоздь
    Alexander Chelnokov 06 Март 2004, 19:27
    ХА> пластины (рис.1). На наш взгляд оптимальным решением было выполнение
    ХА> остеосинтеза блокирующими гвоздями обеих бедер (рис2).

    Красиво сделано, молодцы! Такой короткий гвоздь уже готовый был, или отпилить пришлось?

    ХА> Это первые операции с использованием подобных гвоздей (получили
    ХА> по гум.помощи),

    Это фиксатор SIGN?

    ХА> поэтому практики по использованию их у нас нет.
    ХА> 1. используются ли эти гвозди при ложных суставах?

    Да. Конечно, в технике операции могут быть значительные отличия от ситуации при свежих повреждениях - бывает значительное смещение на фоне тугоподвижности, канал может быть запаян.

    ХА> 2. Больной в течение этих лет не ходит, можно ли его ставить на ноги?

    Не совсем понял, почему он не ходил - рука срослась, с костылями можно ходить. Ну и сейчас надо активизировать больного - усаживать, ставить с костылями.

    ХА> 3. Как вести дальше этого больного?

    Второе бедро у него уже стабилизировано гвоздем? Большеберцовая кость срослась? Движения в коленных суставах есть?
    В любом случае надо ставить его на костыли, пусть ходит.
    Если торцового упора нет, и осевая устойчивость отломков обеспечивается только запирающими винтами в гвоздях, то полная нагрузка будет безопасна не раньше, чем месяца через 2-3, и то с оглядкой на появление признаков сращения на рентгенограммах.

    ХА> 4. Какие возможно были варианты остеосинтеза, кроме реэндопротезирования
    ХА> ревизионной ножкой?

    Например, пластинкой, там места вполне было. Существуют и пластины Mennen с охватывающими диафиз "ножками".
    [ Ответить ]

    Re: блок.гвоздь
    Алишер Хамраев 07 Март 2004, 17:27





    3

    4



    Глубокоуважаемый Александр, спасибо за ответ.

    AC>Такой короткий гвоздь уже готовый был, или
    отпилить пришлось?

    Гвоздь был почти такой длины, отпилили 5 мм от проксимального конца (точнее, никакая ножовка не взяла, сточили на обычном точильном станке).

    AC>Не совсем понял, почему он не ходил - рука срослась, с костылями можно ходить.

    До нашей операции не ходил в связи с ложным суставом костей правой голени и шейки левого бедра.
    После наших операций, не смотря на стимуляцию регенерации костной мозоли медикаментозной (остеогенон, кальций Д3, мумиё, фитин) терапией и введением в зону перелома алоэ с аутокровью элементы срастания в динамике очень слабые.

    AC> Ну и сейчас надо активизировать больного - усаживать, ставить с костылями. Второе бедро у него уже стабилизировано гвоздем? Большеберцовая кость срослась? Движения в коленных суставах есть?
    AC> В любом случае надо ставить его на костыли, пусть ходит.

    На данный момент правая голень срослась, больной активен в пределах постели. Второе(правое) бедро стабилизированное (рис. до и после). движения в коленном суставе: сгибательная контрактура правого коленного сустава 90, левого 145.
    Наверное, мы привыкли, что штифт должен сидеть в костномозговом канале плотно. Гвоздь же этот, сидит относительно свободно, и это нас настораживает, не будет ли микроподвижность которая приведет к рецидиву ложного сустава.

    Еще раз спасибо, с прекрасным праздником всех Вас, желаю всех благ.

    Алишер.
    [ Ответить ]

    • Re: блок.гвоздь
      Отправитель: Alexander Chelnokov 07 Март 2004, 19:50
      Глубокоуважаемый Алишер,

      Sunday, March 7, 2004, 4:42:36 PM, you wrote:

      ХА> --гвоздь был почти такой длины, отпилили 5 мм от проксимального конца
      ХА> (точнее никакая ножовка не взяла, сточили на обычном точильном станке).

      А какова его длина? Вообще, какой диапазон диаметров и длин бедренных гвоздей оказался в Вашем распоряжении? И повторно вопрос про гвозди эти - это все-таки SIGN, разработка доктора L.Zirkle, или какая-то другая модель?

      ХА> после наших операций, не смотря на стимуляцию регенерации костной мозоли
      ХА> медикаментозной (остеогенон, кальций Д3, мумиё, фитин) терапией и введением
      ХА> в зону перелома алоэ с аутокровью элементы срастания в динамике очень

      К сожалению, все эти способы "стимуляции" скорее выражают наши устремления и пожелания, чем обладают реальной воспроизводимой положительной эффективностью.

      ХА> в коленном суставе: сгибательная контрактура правого коленного сустава 90,
      ХА> левого 145.

      Но выпрямить колени он может?

      ХА> Наверное мы привыкли, что штифт должен сидеть в костномозговом канале
      ХА> плотно.

      В области сужения костно-мозгового канала он так и сидит. А в дистальной зоне, где канал расиряется, это возможно за счет запирающих (locking) винтов, а также за счет приемов искусственного сужения костно-мозгового канала - блокирующих (blocking) винтов, вводимых мимо гвоздя, или введения заклинивающих плоских стержней, или еще каких-то действий в том же духе.

      ХА> Гвоздь же этот, сидит относительно свободно, и это нас
      ХА> настораживает, не будет ли микроподвижность которая приведет к

      Микроподвижность присуща любому закрытому интрамедуллярному остеосинтезу с блокированием, как методу фиксации с относительной стабильностью.
      Если говорить про данный случай, то способствовать неудаче могут следующие моменты:
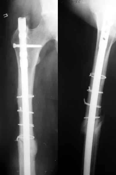
      1) Мы бы не убирали проволоку, и вообще не вмешивались открыто на очаге - это ничего не даст, кроме ухудшения кровоснабжения концов отломков. Если просто закрыто перештифтовать при подобной картине, лучше с рассврливанием - это по нашему опыту дает сращение в 100%. В приложении пример - болезненное несращение более года, результат через полгода.





      1

      2



      2)запирающие винты выглядят чрезмерно короткими. А им бы тут надо хорошо держаться за оба кортекса. Это в проксимальном отломке можно ввести было только динамический винт, или вообще винты не вводить.

      ХА> Еще раз спасибо, с прекрасным праздником всех Вас,

      Женщины обидятся - это ж только для них праздник ;-)


      [ Ответить ]
      • Re: блок.гвоздь
        Отправитель: Алишер Хамраев 08 Март 2004, 13:22
        Начну с главного, конечно праздник женский, но благодаря этому прекрасному полу отдыхаем и мы, доставлять им радость согласитесь нам тоже приятно.

        AC> А какова его длина? Вообще, какой диапазон диаметров и длин бедренных гвоздей оказался в Вашем распоряжении?
        AC> И повторно вопрос про гвозди эти - это все-таки SIGN, разработка доктора L.Zirkle, или какая-то другая модель?

        Это действительно SIGN.
        Длина (мм)- Диаметр (мм):
        190 -9,10,11,12
        280,300,320,340,360,380- 8,9

        AC>К сожалению, все эти способы "стимуляции" скорее выражают наши устремления и пожелания, чем обладают реальной воспроизводимой положительной эффективностью.

        Как тогда можно воздействовать на остеорегенерацию?

        AC> Но выпрямить колени он может?

        Колено выпрямить он может.
        С целью скорейшего поднятия больного на ноги мы и использовали эти гвозди (опираясь на данные литературы), однако некоторые тонкости мы не знали, которые частично прояснились в ходе Ваших советов, спасибо.

        AC 1) Мы бы не убирали проволоку, и вообще не вмешивались открыто на очаге - это ничего не даст, кроме ухудшения кровоснабжения концов отломков.

        AC>Если просто закрыто перештифтовать при подобной картине, лучше с рассврливанием - это по нашему опыту дает сращение в 100%. В приложении пример - болезненное несращение более года, результат через полгода.

        Проволоку убрали с соображений: исключить срангулюцию, освежить концы отломков, удалить интерпозицию (рубцовая ткань), окутать место перелома костной стружкой. Как правило, концы костных отломков склерозированны, перед сшиванием раны, перфорирую участки склероза сверлом d=2-2,5мм (должно быть хорошо заточенное и на малых оборотах), расстояние между отверстиями 5-6мм (стружку не удаляем). Попробовал у 3 больных, образуется прекрасная мозоль теоретически можно обосновать).

        AC> 2)запирающие винты выглядят чрезмерно короткими. А им бы тут надо хорошо держаться за оба кортекса.
        AC> Это в проксимальном отломке можно ввести было только динамический винт, или вообще винты не вводить.

        Конечно с Вами согласен. Это наша 3 операция по счету (только набираемся опытом), и, к сожалению, у нас нет ЭОП, работаем почти вслепую.

        С большой признательностью, Алишер.

        [ Ответить ]
        • Re: блок.гвоздь
          Отправитель: Alexander Chelnokov 08 Март 2004, 14:55
          ХА> полу отдыхаем и мы, доставлять им радость согласитесь нам тоже приятно.

          А как же ;-) Еще раз всех дам уже с наступившим прадзником!

          ХА> Это действительно SIGN.
          ХА> Длина (мм)- Диаметр (мм):
          ХА> 190 -9,10,11,12

          Интересно. Это по типу supracondylar nail, для переломов дистального отдела бедра? Такой длины мы индустриальных не получали, пилить приходится, если случай типа такого, с ножкой протеза или еще каким-то имплантатом.

          ХА> 280,300,320,340,360,380- 8,9

          Тонковаты, даже для голени. Мы на бедре перешли на диаметры 10, 11.5, 13 мм.

          ХА> Как тогда можно воздействовать на остеорегенерацию?

          Если говорить не о вообще о фундаментальной проблеме управления регенерацией, а лишь о диафизарных несращениях без дефектов кости и укорочений, с хорошим контактом - достаточно закрытого реостеосинтеза с блокированием. Лучше с рассверливанием - больше для своего рода костной аутопластики стружкой и гематомой. Затем сразу переход к полной функции и хотя бы частичной осевой нагрузке. Гвоздь при наличии торцового упора запирать сразу динамически. Если сращение не наступило через 6-9 мес., есть признаки нестабильности - реостеосинтез следующим по диаметру стержнем. Но это редкость. У нас за 3 года была по этим показаниям только одна такая операция на бедре из примерно 150.

          ХА> Колено выпрямить он может.

          Тогда на костыли.

          ХА> С целью скорейшего поднятия больного на ноги мы и использовали эти гвозди
          ХА> (опираясь на данные литературы),

          Запираемые гвозди - современный "золотой стандарт" в лечении переломов бедра, особенно диафизарных. В условиях повсеместного в xUSSR увлечения пластинами - еще и вариант решения проблемы несращений после пластин.

          ХА> однако некоторые тонкости мы не знали, которые частично

          Давайте прояснять дальше.

          ХА> Проволоку убрали с соображений: исключить срангулюцию, освежить концы
          [...]
          ХА> (стружку не удаляем). Попробовал у 3 больных, образуется прекрасная мозоль
          ХА> (теоретически можно обосновать).

          Соображения выглядят вполне здраво, и теоретически, конечно, можно обосновать практически любые наши действия. Однако практика ("критерий истины") показывает, что и без вмешательства на очаге, и с оставленной проволокой сращение происходит. А если желаемый результат достигается без неких действий - то эти действия лишние, скорее всего. Если можно избежать лишних затрат сил, средств, времени, уменьшить инвазивность - стоит ли этим пренебрегать?
          Еще один пример - несращение через полгода после несостоятельного остеосинтеза, и через полгода после реостеосинтеза с блокированием.






          1

          2


          ХА> Конечно с Вами согласен. Это наша 3 операция по счету (только
          ХА> набираемся опытом), и, к сожалению, у нас нет ЭОП, работаем почти
          ХА> в слепую.

          Попасть в отверстие в стержне было сложнее, чем подобрать винт правильной длины. Может быть, подумать об этом сейчас - тогда про нагрузку можно не беспокоиться.


          [ Ответить ]
          • Re: блок.гвоздь
            Отправитель: Алишер Хамраев 09 Март 2004, 23:27
            AC> Если можно избежать лишних затрат сил, средств, времени, уменьшить инвазивность - стоит ли этим пренебрегать?

            Согласен, попробуем.

            Эти гвозди мы получили без методических пособий по их установке. Если у Вас имеется схема и методика имплантации этих гвоздей, большая просьба выслать.

            [ Ответить ]
            • Re: блок.гвоздь
              Отправитель: Alexander Chelnokov 09 Март 2004, 23:29
              Все, что я нашел, в приложении - там небольшая презентация про остеосинтез большеберцовой кости. Вообще, как у участников проекта, у Вас должен быть доступ к материалам на сайте www.sign-post.org, в частности, к http://www.sign-post.org/manuals-forms.htm, то есть должны быть логин и пароль. Спишитесь с тамошними администраторами, как там указано:
              Please contact us at signcom@sign-post.org to obtain your user name and password.

              Кликните для загрузки файла SIGN.zip
              741KB (759259 bytes)

              [ Ответить ]

     

    ( Ответить )

    Powered by Zope  Squishdot Powered MedLink
    Посетитель: 0000023
      "По форме правильно, а по существу - издевательство" В.И.Ленин
    ©2001-2019Orthoforum Coordinator.
    [ Главная | Отправить сообщение | Поиск | Админ ]