Ответить
|
Re: Деформация голеней
Alexey Mozgunov 11 Сентябрь 2005, 14:41
|
AC> Да, это больше отражает наше намерение ловко пересечь стенки, не
AC> повредив содержимое канала.
Ловкое пересечение как правило сводится к разрубанию переднего и боковых кортикалов, а задний элементарно надламывается вручную...
Чтобы не писалось в работах, но на этапах перерубания (пересечения) и надламывания интрамедулл. канал затрагивается. А учитывая его диаметр в верхн.3 - весьма существенно. Поэтому термин "кортикотомия" суть на практике определение, существующее в большинтсве случаев только на бумаге (протокол операции). Но это конечно же только мое личное мнение...
AVM>> Возможно и на ... в смысле ниже... более 4 см... а смысл?
AC> Добиться максимально точного воссоздания механической и анатомической
AC> осей.
Скорее всего речь должна идти о приемлемом косметическом уровне с точки зрения расположения мягких тканей верхней трети голени...
Но были бы кости - мясо нарастет, когда будет создан легкий вальгус - при ходьбе в процессе наружной девиации голени в одноопорную фазу внутренняя часть икроножной мышцы более контурируется... накачается...
AC>>> Стоит ли медиализировать дистальный фрагмент?
AVM>> А зачем?
AC> Для уменьшения западения на медиальной стороне голени. Мне кажется, не
AC> нужно, вроде тканей достаточно.
См. выше...
AC>>> Пданируется поперечная остеотомия и открытый клин - это приемлемо?
AVM>> Приемлимо... Но сроки созревания дистр. регенерата...?
AC> Вспоминали как-то работу Р.Бородайкевича (Курган) - при углах до 25
AC> градусов по срокам нет разницы, делать с клиновидным регенератом, или
AC> одномоментно.
Поперечная остеотомия и 25 гр. - это сколько в сантиметрах?
ПРи чистой шарнироной остеотоми сроки аппарата будут порябка 2,5-3
мес. В том смысле что аппарат сняли и больной 25 лет пощел "своими"
ногами. При остеотомии с клином на 25 гр. - плюс 1 мес. Примерно. А
работы это отдельный разговор... В другой плоскости...
AVM>> В данном случае (раз об удлиннении не идет речь) луше шарнирная (или
AC> Шарнирную через разрез 0,5 см не сделать.
А для поперечной/косой "кортикотомии" эти о,5 см- реальны? Или это
опять таки из разряда записей в истории болезни?
1,0-1,5-2,0 - вот на мой взгляд реально рабочие числа...
И то при этом после всех манипуляций по удлинению требуютя
косметические швы на рубец, через который рубили, и рубцы, которые
остались после спиц на фоне удлинения.
AVM>> Дело в том, что при фиксации в аппарате, любая дисконгуентность
AVM>> остеотомии прекрсно компенсируентся стабильностью в аппарате...
AC> Меня заботит не контакт отломков, скорее всего будет клиновидный
AC> дефект, и ладно. Стабильность фиксации - дело временное, а вот
AC> достигнутое положение - хотелось бы, чтобы насовсем. Вот и надо "семь
AC> раз отмерить".
ПРи genu varum сплошь и рядом бывает нулевая или внутренняя торсия
лодыжечной вилки... Соответвественно при коррекции варуса возникает
необходимость и в коррекции патологической торсии... И какую бы супер
пупер шарнирную остеотомию кто не делал при устранении торсии возникает тот
самый "дефект" между отломками. Поэтому речь о стопроцентом контакте и
не идет.
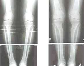
Судя по снимку у девушки имеется внутренняя установка надколенников...
Как у нее с торсионным статусом? Бедро? Голень? КТ? Торсиометры? А то, куда будут
смотреть надколенники после вашей коррекции - тоже существенный
косметический момент. Или не так?
AVM>> А что шарнирная или элипсовидня... особых различий нет... по крайней
AC> Можно шарнирную сводом вверх, или вниз, поперечную или косую выше,
AC> ниже, скосом туда или сюда - угол делаем один и тот же, но оси будут
AC> по разном располагаться из-за разного положения осей вращения и
AC> смещения по ширине. Вот и хотелось бы получить практический совет для
AC> данного случая. А то после прсмотра книжки D.Paley все пока еще в
AC> голове не улеглось, и только вопросов больше стало...
Александр, а не могли бы вы представить ваши схемы расчета? С учетом
осей?
|
[
Ответить ]
|
Re: Деформация голеней
Отправитель: Alexander Chelnokov 11 Сентябрь 2005, 15:12
|
AVM> Ловкое пересечение как правило сводится к разрубанию переднего и
Да в курсе я, конечно, и иллюзий не питаю. Но картинки с пересеченной костью и целыми внутрикостными сосудами видел, и вполне бесспорно, что если удается сохранить их, то заживает быстрее.
AVM> Скорее всего речь должна идти о приелемом косметическом уровне с точки
AVM> зрения расположения мягких тканей верхней трети голени...
Во-о-о-т. То есть правомочна такая мотивация. А то идеально с точки зрения биомеханики все может быть расположено иначе.
AVM> девиации голени в одноопорную фазу внутренняя часть икроножной мышцы
AVM> более контурируется... накачается...
Да, у меня те же препдополжения... Если Саша Артемьев не переубедит
;-)
AVM> Поперечная остеотомия и 25 гр. - это сколько в сантиметрах?
Тут должно быть менее 1 см.
AVM> ПРи чистой шарнироной остеотоми сроки аппарата будут порябка 2,5-3
[Шепотом] Не хочу аппаратом фиксировать, гвозди планирую...
AVM> А для поперечной/косой "кортикотомии" эти о,5 см- реальны? Или это
Ну близко к тому. 0,5-1 см.
AVM> ПРи genu varum сплошь и рядом бывает нулевая или внутренняя торсия
AVM> лодыжечной вилки... Соответвественно при коррекции варуса возникает
Клинически глядел - вроде нету большой торсии.
AVM> Судя по снимку у девушки имеется внутренняя установка надколенников...
AVM> Как у нее с торсионным статусом? Бедро? Голень? КТ? Торсиометры?
Похоже, немного есть. Думаю пренебречь.
AVM> смотреть надколенники после вашей коррекции - тоже существенный
AVM> косметический момент. Или не так?
Полагаю, останется куда сейчас смотрят. Для изменения надо надбугорковую остеотомию делать.
AVM> Александр, а не могли бы вы представить ваши схемы расчета? С учетом
Вот, с учетом и без учета, и на разных уровнях...
Саша Артемьев, может, для данного случая свой вариант нарисуешь?
|
[
Ответить ]
|
Re: Деформация голеней
Отправитель: Alexander Artemiev 11 Сентябрь 2005, 15:24
|
Приветствую.
AC> Во-о-о-т. То есть правомочна такая мотивация. А то идеально с точки
AC> зрения биомеханики все может быть расположено иначе.
AVM>> девиации голени в одноопорную фазу внутренняя часть икроножной мышцы
AVM>> более контурируется... накачается...
Усложняете вы всё.
Слова-то какие. Девиация, одноопорная фаза...
Оставьте...
AC> Да, у меня те же препдополжения... Если Саша Артемьев не переубедит
AC> ;-)
Чего изволите?
AC> {Шепотом} Не хочу аппаратом фиксировать, гвозди планирую...
Внутренний остеосинтез в таких ситуациях привлекателен.
Хотя есть аргументы ЗА и ПРОТИВ.
Точнее есть преимущества того или иного метода.
Основной недостаток внутреннего остеосинтеза - одномоментная коррекция с отсутствием возможности что-либо исправить потом.
Эти пациенты - очень специфический контингент. Что-то не понравится, будет предъява... Вдруг захочет из О сделать Х или наоборот.
AC> Клинически глядел - вроде нету большой торсии.
Читайте Пэлея...
AVM>> Судя по снимку у девушки имеется внутренняя установка надколенников...
AVM>> Как у нее с торсионным статусом? Бедро? Голень? КТ? Торсиометры?
Совсем-то уж усложнять не надо. Хуже чем есть не будет.
AC> Вот, с учетом и без учета, и на разных уровнях...
AC> Саша Артемьев, может, для данного случая свой вариант нарисуешь?
Из приведнной схемы не совсеим понял что означают разноцветные линии.
И зачем латерализация периферического фрагмента. Я всегда делаю медиализацию. См схему. И для данного случая медиализация подходит как нельзя лучше.
|
[
Ответить ]
|
Re: Деформация голеней
Отправитель: Alexander Chelnokov 11 Сентябрь 2005, 15:58
|
a> Усложняете вы всё.
a> Слова-то какие. Девиация, одноопорная фаза...
a> Оставьте...
Дак Палея начитавшись, еще и не про то заговоришь...
AC>> Да, у меня те же препдополжения... Если Саша Артемьев не переубедит
AC>> ;-)
a> Чего изволите?
Да не хочу я медиализацию тут делать. Если ты не переубедишь ;-)
AC>> {Шепотом} Не хочу аппаратом фиксировать, гвозди планирую...
a> Внутренний остеосинтез в таких ситуациях привлекателен.
А как же.
a> Основной недостаток внутреннего остеосинтеза - одномоментная коррекция
a> с отсутствием возможности что-либо исправить потом.
С чем и связано занудное желание все уточнить-прояснить.
a> Эти пациенты - очень специфический контингент. Что-тог не понравится,
a> будет предъява... Вдруг захочет из О сделать Х или наоборот.
Не хотелось бы. Но если что - тут аппарат и пригодится.
AC>> Клинически глядел - вроде нету большой торсии.
a> Читайте Пэлея...
Страницу укажи?
AVM>>> Как у нее с торсионным статусом? Бедро? Голень? КТ? Торсиометры?
a> Совсем-то уж усложнять не надо. Хуже чем есть не будет.
Согласен.
a> Из приведнной схемы не совсеим понял что означают разноцветные линии.
Черные - это нынешняя механическая ось. Красные - это планируемая правильная ось.
a> И зачем латерализация периферического фрагмента.
;-) Читайте Палея. Стр. 114-115.
a> Я всегда делаю медиализацию. См схему. И для данного случая
Медиализация - это чисто эстетический прием, как я понимаю. Поскольку если делать остеотомию ниже вершины деформации, для восстановления оси надо делать смещение по ширине, в данном случае как раз латерализацию.
А вот на схемке без осей - там на разных уровнях (который правильнее?) устранение варуса чисто открытым клином без медиализации-латерализации. Если как-то так сделать - этого недостаточно будет?
|
[
Ответить ]
|
|
Re: Деформация голеней
Alexander Artemiev 11 Сентябрь 2005, 15:00
|
Здравствуйте, коллеги.
AVM>> остеотомии, а кортико или там иной - отдельный вопрос...
AC> Да, это больше отражает наше намерение ловко пересечь стенки, не
AC> повредив содержимое канала.
Лукавство это.
AVM>> Эстетическая коррекция... Вообще о такой заявляли в Волгограде, Питере
Ну и в Москве, конечно:)
AC> Хотелось бы узнать мнение А.А.Артемьева, чья докторская диссертация
AC> посвящена корекции формы ног в эстетической и реконструктивной
AC> хирургии.
Хочешь - узнавай:)
AVM>> Возможно и на ... в смысле ниже... более 4 см... а смысл?
Чем дальше от сустава - тем проще и технически, и больным легче переносится.
AC>>> Стоит ли медиализировать дистальный фрагмент?
AVM>> А зачем?
Красива...
Это значительно улучшает эстетический эффект, придавая полноту ногам.
Мне лично нравится:)
Технически при отсутствии опыта может показаться немного сложным. При навыке занимает минут 10.
И при этом не выходит за пределы нормальной оси.
AVM>> Косая, на мой взгляд, это из того же самого раздела, что и поперечная
AVM>> (из которой,кстати,ПОПЕРЕЧНОЙ, возникает и открытый клин... или нгетак?)
Совершенно верно.
AC> Открытый клин - конечно, но линия длиннее, срастается на большей
AC> площади. Вершина может куда-то выстоять, влияя на внешний вид. Может,
AC> еще какие-то нюансы есть.
Не нужно вырубать клин, если, конечно об этом идет речь. Это пережитки доилизаровской эпохи.
AVM>> Дело в том, что при фиксации в аппарате, любая дисконгуентность
AVM>> остеотомии прекрсно компенсируентся стабильностью в аппарате...
Золотые слова
AC> Меня заботит не контакт отломков, скорее всего будет клиновидный
AC> дефект, и ладно. Стабильность фиксации - дело временное, а вот
AC> достигнутое положение - хотелось бы, чтобы насовсем. Вот и надо "семь
AC> раз отмерить".
Не нужно ничего отмерять, рисовать т.н скиаграммы. В аппарате всё можно довести до идеала в течение 1-1,5 мес, пока регенерат не сросся.
Возложите эту ответственность на пациентку. Проблема в том, что при наличии двух аппаратов невозможно сдвинуть ноги. Учитывая, что бедренно-берцовый угол открыт кнаружи (см. Пэлея) при отсуствии смыкания стоп может сложиться впечатление о гиперкоррекции. Особенно если широкий
таз. Поэтому пусть больная перед зеркалом в окружении родственников
сама принимает решение о том, что довольна.
AVM>> А что шарнирная или элипсовидня... особых различий нет...
А хочешь - жни, а хочешь - куй...
А все равно получишь... сращение...
AC> Можно шарнирную сводом вверх, или вниз, поперечную или косую выше,
AC> ниже, скосом туда или сюда - угол делаем один и тот же, но оси будут
AC> по разном располагаться из-за разного положения осей вращения и
AC> смещения по ширине.
AC> Вот и хотелось бы получить практический совет для
AC> данного случая.
ПОПЕРЕЧНАЯ
AC> А то после прсмотра книжки D.Paley все пока еще в
AC> голове не улеглось, и только вопросов больше стало...
Не принимайте всё близко к сердцу...
Что русскому хорошо, то американцу - смерть...
AC> И вот еще прочитал в книжке Л.Н.Соломина - остеотомию малоберцовой
AC> можно не делать! И американский коллега то же самое подсказывает.
AC> Интересненько...
В написании этой главы мне пришлось участвовать. Труд коллективный.
моё мнение, видимо, осталось в меньшинстве. Я остеотомию малоберцовки делаю ПРИНЦИПИАЛЬНО ВСЕГДА. Это занимает 2-3 минуты, на фоне перелома б/б кости травма ничтожная. На границе нижней и средней трети практически невозможно что-либо повредить.
Года 2-3 назад эта тема возникла в англоязычном Ортоподе. Даже я напрягся - дискутировал на ангельском языке, отправлял картинки.
Сейчас, я так понимаю, рецидив.
Смотри архивы.
Картинки - в приложении.Будут вопросы - готов ответить.

|

|
 Ещё картинка - схема. Хотя у Соломина всё написано.
|
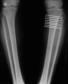
 Вот ещё картинки, которые отправлял в Ортопод. Коррекция кривизны и удлинение на 3 см.
|

|
Затеется дискуссия - буду счастлив.
Удачи всем.
Александр Артемьев
|
[
Ответить ]
|
Re: Деформация голеней
Отправитель: Alexander Chelnokov 11 Сентябрь 2005, 16:38
|
Ну наконец-то ты откликнулся, а то завтра оперировать уже.
AC>> повредив содержимое канала.
a> Лукавство это.
Ты знал! ;-)
AVM>>> Возможно и на ... в смысле ниже... более 4 см... а смысл?
a> Чем дальше от сустава - тем проще и технически, и больным легче
a> переносится.
Применительно к данному случаю - нарисуй, пожалста, линию сечения?
Или давай для простоты я картинку с несколькими вариантами прилагаю, которая линия, если считать сверху, тут оптимальна с высоты твоего немалого опыта? И имеет ли значение, как сечь - параллельно суставной щели, перепендикулярно диафизу или иначе как-то?
a> Это значительно улучшает эстетический эффект, придавая полноту ногам.
a> Мне лично нравится:)
В данном случае это насколько желательно?
AC>> площади. Вершина может куда-то выстоять, влияя на внешний вид. Может,
AC>> еще какие-то нюансы есть.
a> Не нужно вырубать клин, если, конечно об этом идет речь. Это
a> пережитки доилизаровской эпохи.
Нет, про вырубание и речи нет. Это про линию остеотомии. Chris Wilson вот советует делать косо, начать медиально см в 12 от суставной щели и направление на головку малоберцовой кости.
AC>> достигнутое положение - хотелось бы, чтобы насовсем. Вот и надо "семь
AC>> раз отмерить".
a> Не нужно ничего отмерять, рисовать т.н скиаграммы. В аппарате всё
a> можно довести до идеала в течение 1-1,5 мес, пока регенерат не сросся.
Хочется одномоментно сделать, и фиксировать не аппаратом. Поэтому чем дистальнее - тем удобнее. Так вот насколько дистально можно? И для исправления оси, чем дистальнее, тем больше надо латерально смещать периферический отломок для сохранения оси.
a> Возложите эту ответственность на пациентку. Проблема в том, что при
:-) Возьму на заметку.
a> А все равно получишь... сращение...
Это конечно. Но - сращение с такой, или другой, или третьей механической осью. И анатомической. Вот и пытаюсь уяснить диапазон приемлемости.
AC>> данного случая.
a> ПОПЕРЕЧНАЯ
Fixed.
AC>> голове не улеглось, и только вопросов больше стало...
a> Не принимайте всё близко к сердцу...
a> Что русскому хорошо, то американцу - смерть...
В общем, достаточно ли ориентироваться на клиническую оценку - ноги стали выглядеть приемлемо, и этим удовлетворяемся?
a> В написании этой главы мне пришлось участвовать. Труд коллективный.
a> моё мнение, видимо, осталось в меньшинстве. Я остеотомию
a> малоберцовки делаю ПРИНЦИПИАЛЬНО ВСЕГДА. Это занимает 2-3 минуты,
А оказывается, есть не единиччный опыт, что не делают, и проблем не видят. Как к этому относиться?
a> трети практически невозможно что-либо повредить.
Чем чревато неделание остеотомии малоберцовой при высокой вальгизирующей остеотомии большеберцовой? Есть ли данные таких наблюдений?
a> напрягся - дискутировал на ангельском языке, отправлял картинки.
a> Сейчас, я так понимаю, рецидив.
a> Смотри архивы.
Спорили именно делать - не делать остотомию малоберцовой?
a> Картинки - в приложении.Будут вопросы - готов ответить.
Спасибо!
a> Затеется дискуссия - буду счастлив.
Да вроде со вчерашнего дня идет.
Чего-то коллега Кудзаев давно никак не проявлялся здесь.
|
[
Ответить ]
|
Re: Деформация голеней
Отправитель: Alexander Artemiev 11 Сентябрь 2005, 18:23
|
Привет.
AC> Применительно к данному случаю - нарисуй, пожалста, линию сечения?
AC> Или давай для простоты я картинку с несколькими вариантами прилагаю,
AC> которая линия, если считать сверху, тут оптимальна с высоты твоего
AC> немалого опыта? И имеет ли значение, как сечь - параллельно суставной
AC> щели, перепендикулярно диафизу или иначе как-то?
Мне представляется оптимальным на уровне 3-4 линии (т.е. как раз посредине отмеченной зоны). Если рассчимтываешь делать медиализацию, то параллельно суставной поверхности, иначе просто не сдвинешь без джистракции - отломки зацепятся. Если без медиализации - то вообще не имеет значения.
a>> Это значительно улучшает эстетический эффект, придавая полноту ногам.
a>> Мне лично нравится:)
AC> В данном случае это насколько желательно?
Если опыт единичный, то не усложняй. И так будет хорошо.
AC> Нет, про вырубание и речи нет. Это про линию остеотомии. Chris Wilson
AC> вот советует делать косо, начать медиально см в 12 от суставной щели и
AC> направление на головку малоберцовой кости.
Картинку видел, а читать не стал - лишнее все это. Чем проще (поперечно), тем менее травматично и, соответственно, лучше.
AC> Хочется одномоментно сделать, и фиксировать не аппаратом. Поэтому чем
AC> дистальнее - тем удобнее. Так вот насколько дистально можно? И для
AC> исправления оси, чем дистальнее, тем больше надо латерально смещать
AC> периферический отломок для сохранения оси.
Ты же понимаешь, опыт эмпирический. Было дело - промахивался с метками - делал сантиметра на 2-3 ниже сустава - всё было хорошо.
Сложно только цеплять короткий фрагмент, особенно когда удлинение. Спускался ниже - 5-7 см ниже сустава - тоже всё хорошо. Ниже уже бессмысленно - диафиз, ломать труднее, срастается дольше.
AC> В общем, достаточно ли ориентироваться на клиническую оценку - ноги
AC> стали выглядеть приемлемо, и этим удовлетворяемся?
Ну конечно. Ведь и сейчас больная считает себя здоровой. О профилактике артроза не рассуждаем. Станет прямее - значит лучше.
AC> А оказывается, есть не единиччный опыт, что не делают, и проблем
AC> не видят. Как к этому относиться?
1. сначала опирался на опыт лечения ложных
суставов или замедленно сращения - пока малоберцовку не сломаешь - толку не будет.
2. Собственно кривизну по моей статистике исправляют процентов 30, не более. Остальные - либо удлинение, либо и то и другое. Так что уже
наблатыкался ломать - проблем нет.
3. Сломать малоберцовку - чего проще и безвреднее?
4. Если внимательно посмотришь на рентгенограммы, то в зоне перелома малоберцовой кости она втягиваетсмя внутрь, таким образом немного уменьшая объем тканей по внутреннему контуру. Причем чем выше - тем эффектнее. Не надо только совсем высоко лезть - там перонеус. Многих пайциенток это тоже смущает. Так что решаем проблему комплексно. На это, кстати, особо упирает Казбек Кудзаев.
AC> Чем чревато неделание остеотомии малоберцовой при высокой
AC> вальгизирующей остеотомии большеберцовой? Есть ли данные таких
AC> наблюдений?
Я делаю всегда, проблем не знал. Почему - объяснил выше. Если не делать - предвижу трудности с перемещением отломков, особенно по ширине, когда могут быть зубчики при остеотомии.
AC> Спорили именно делать - не делать остотомию малоберцовой?
Совершщенно беспредметный спор. Лучше бы спорили как менее травматично делать остеотомию большеберцовой.
Удачи
Александр Артемьев
|
[
Ответить ]
|
Re: Деформация голеней
Отправитель: Alexander Chelnokov 11 Сентябрь 2005, 18:26
|
a> Мне представляется оптимальным на уровне 3-4 линии (т.е. как раз
a> джистракции - отломки зацепятся. Если без медиализации - то вообще не
Понял, спасибо.
AC>> В данном случае это насколько желательно?
a> Если опыт единичный, то не усложняй. И так будет хорошо.
Если в медиализацию непременно планировать, то придется остеотомию делать проксимальнее, на гвозде иначе ничего не сдвинешь. В общем,
не буду медиализацию делать.
a> Картинку видел, а читать не стал - лишнее все это. Чем проще
a> (поперечно), тем менее травматично и, соответственно, лучше.
Наверно.
a> метками - делал сантиметра на 2-3 ниже сустава - всё было хорошо.
a> Сложно только цеплять короткий фрагмент, особенно когда удлинение.
a> Спускался ниже - 5-7 см ниже сустава - тоже всё хорошо.
Это сильно успокаивает.
AC>> стали выглядеть приемлемо, и этим удовлетворяемся?
a> Ну конечно. Ведь и сейчас больная считает себя здоровой. О
a> профилактике артроза не рассуждаем. Станет прямее - значит лучше.
Так и запишем.
a> 3. Сломать малоберцовку - чего проще и безвреднее?
Не ломать? ;-)
a> 4. Если внимательно посмотришь на рентгенограммы, то в зоне перелома
a> малоберцовой кости она втягиваетсмя внутрь, таким образом немного
a> уменьшая объем тканей по внутреннему контуру.
Уменьшая по внутреннему??
a> тоже смущает. Так что решаем проблему комплексно.
В общем, не рубить ее можно, когда надбугорковая остеотомия. Если делать на расстоянии 4-6 см от суставной поверхности - лучше сломать.
a> На это, кстати, особо упирает Казбек Кудзаев.
В чем его точка зрения состоит?
a> Я делаю всегда, проблем не знал. Почему - объяснил выше. Если не
a> делать - предвижу трудности с перемещением отломков, особенно по
Предпложим, преодолели их - интересно, есть ли связанные с целой малоберцовкой какие-то болевые синдромы ии еще что-то плохое.
AC>> Спорили именно делать - не делать остотомию малоберцовой?
a> Совершщенно беспредметный спор. Лучше бы спорили как менее травматично
Это я пытаюсь у тебя выспросить, о чем именно был в ортоподе разговор, про который ты вспомнил.
|
[
Ответить ]
|
Re: Деформация голеней
Отправитель: Alexander Artemiev 12 Сентябрь 2005, 00:18
|
Привет, Саша.
Дискуссия сошла в диалог, так что сворачиваемся...
a>> 4. Если внимательно посмотришь на рентгенограммы, то в зоне перелома
a>> малоберцовой кости она втягиваетсмя внутрь, таким образом немного
a>> уменьшая объем тканей по внутреннему контуру.
AC> Уменьшая по внутреннему??
По наружному, конечно.
AC> В общем, не рубить ее можно, когда надбугорковая остеотомия. Если
AC> делать на расстоянии 4-6 см от суставной поверхности - лучше сломать.
a>> На это, кстати, особо упирает Казбек Кудзаев.
AC> В чем его точка зрения состоит?
Про точку зрения не знаю, но малоберцовку ломал.
AC> Это я пытаюсь у тебя выспросить, о чем именно был в ортоподе разговор,
AC> про который ты вспомнил.
В архиве сохранилось.
Могу тебе переслать.
В-основном вокруг смысла жизни. Типа как это так можно у здорового человека...
Удачи на операции.
Пиши.
ААА
|
[
Ответить ]
|
|
( Ответить )
|
|