AOTRAUMA.ORG Центр Илизарова  

Ортопедия и травматология Общие вопросы/General questions Help Информационные технологии в медицине
 вверх
 отправить
 поиск
 админ
 главная
 Предыдущее
 Весь тред


Re: пластина или гвоздь?
А.Миронов 09 Декабрь 2006, 08:24
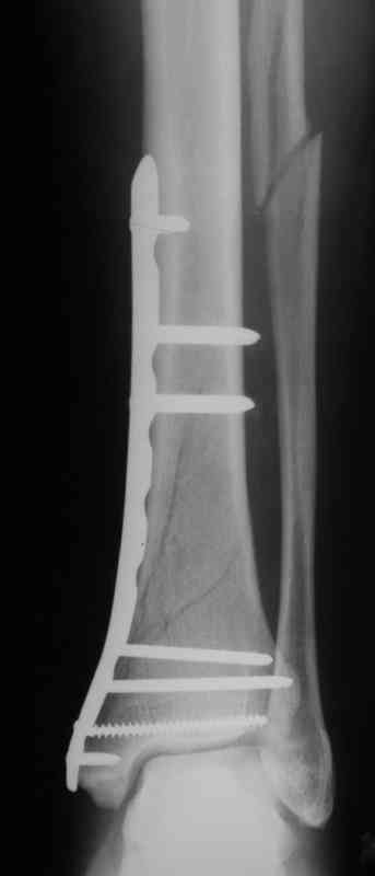
Выполнил MIPO предизогнутой метафизарной LCP


  • Сообщения о Ортопедия и травматология
  • Также А.Миронов
  • Связаться с автором
  • Ответить

    Re: пластина или гвоздь?
    Alexaander Chelnokov 09 Декабрь 2006, 16:29
    Красиво получилось, поздравляю. Насчет немедленной полной нагрузки, как на гвозде, про что Алексей Семенистый говорит - будете разрешать сразу?
    [ Ответить ]

    • Re: пластина или гвоздь?
      Отправитель: А.Миронов 09 Декабрь 2006, 18:00
      >Насчет немедленной полной нагрузки, как на гвозде, про что Алексей Семенистый говорит - будете разрешать сразу?

      У нас такого опыта нет.
      Подход индивидуальный, учитывая массу больного около 130кг, разрешу частичную нагрузку 15-20кг, через 4нед. Rg-контроль, при отсутствии признаков нестабильности полная нагрузка
      А. Миронов

      [ Ответить ]
    Re: пластина или гвоздь?
    Алексей Семенистый 10 Декабрь 2006, 02:32
    Вообщем, поздравляю!
    И все же немного критики:1) Вы добивались анатомичной репозиции, которая требует абсолютной стабильности, которая в свою очередь возможноа только в условиях межфрагментарной компрессии. Пластина уложена как мостовидная, не хватает стягивающнго винта. 2) есть укорочение малоберцовой кости, необхордимо восстановить ее длину! В таком виде я бы не стал разрешать раннюю нагрузку. Добавить самую малость: стягивающий винт и остеосинтез малоберцовой кости и больной может наступать сразу.
    С уважением А.Семенистый
    [ Ответить ]

    • Re: пластина или гвоздь?
      Отправитель: А.Миронов 10 Декабрь 2006, 11:08
      Спасибо за критику!
      >Вы добивались анатомичной репозиции, которая требует абсолютной стабильности, которая в свою очередь возможноа только в условиях межфрагментарной компрессии. Пластина уложена как мостовидная, не хватает стягивающнго винта

      Полностью с Вами согласен, если остеосинтез выполняется открыто, удаляется гематома с обл. перелома, требуется анатомиччная репозиция и аксиальная+межфрагментарная компрессия.
      В этом случае остеосинтез выполнялся малоинвазивно и я не добивался абсолютной стабильности преднамеренно. Стабильность относительная и ст. её зависит от механических свойств импланта;возможно, нужно было взять длиннее пластину, увеличив её рабочую длину

      > есть укорочение малоберцовой кости, необхордимо восстановить ее длину
      А Вы всегда оперируете м\берцовую кость? Здесь вроде г/стопный сустав напрямую незаинтересован.

      А при условии ранней нагрузки в какие сроки у Вас больные выписываются к труду? Насколько быстрее полностью восстанавливается функция?
      А.Миронов

      [ Ответить ]
      • Re: пластина или гвоздь?
        Отправитель: Алексей Семенистый 10 Декабрь 2006, 20:07
        Приветствую!

        >>межфрагментарной компрессии. Пластина уложена как мостовидная, не хватает стягивающнго винта

        >В этом случае остеосинтез выполнялся >малоинвазивно и я не добивался абсолютной >стабильности преднамеренно. Стабильность >относительная и ст. её зависит от механических >свойств импланта;возможно, нужно было взять >длиннее пластину, увеличив её рабочую длину

        Все справедливо для оскольчатого перелома, когда вы не добиваетесь анатомичной репозиции. При простом переломе адекватной будет анатомичная репозиция, и она у Вас получилась закрыто. Если Вы изначально предполагали относительную стабильность, то штифт позволил бы более раннюю и агрессивную реабилитацию

        >А Вы всегда оперируете м\берцовую кость?

        При переломах 43 - да, с нее и начинаем.

        >Здесь вроде г/стопный сустав напрямую незаинтересован.

        М\б кость укорочена, а это создает предпосылки к вторичной вальгусной деформации даже с LCP, спросите у Виталия Дрягина.

        >А при условии ранней нагрузки в какие сроки у >Вас больные выписываются к труду?

        Само по себе восстановление трудоспособности (закрытие б\листа) не очень объективный критерий, так ка условия труда у всех разные.
        Для служащих это 4-10 недель (с таким переломом),.. был акробат из цирка, у него 20 недель


        >Насколько быстрее полностью восстанавливается функция?

        На столько на сколько раньше начать полную безболезненную (и безбоязненную) нагрузку

        С уважением, А.Семенистый

        [ Ответить ]
        • Re: пластина или гвоздь?
          Отправитель: А. Миронов 11 Декабрь 2006, 18:40
          Здравствуйте Алексей Юрьевич!

          >>Все справедливо для оскольчатого перелома, когда вы не добиваетесь анатомичной репозиции. При простом переломе адекватной будет анатомичная репозиция, и она у Вас получилась закрыто.

          Раньше я так и поступал. При MIPO простых переломов при условии анатомичной репозиции стягивающий винт как правило через пластину проводил. Было несколько случаев замедленного сращения, приходилось выполнять динамизацию перелома(удалять стягивающий винт), после чего наступало сращение. Аналогичный пример приводил Dr. К.Rif на симпозиуме по LCP фиксаторам.
          В последствии стал выполнять мостовидную фиксацию не только при оскольчатых переломах, но и при простых, прооперировал около 30 голеней, сращение наступило у всех периостальной мозолью.


          > Если Вы изначально предполагали относительную стабильность, то штифт позволил бы более раннюю и агрессивную реабилитацию

          В губчатой кости, если винт не блокируется в импланте, что справедливо для гвоздей, ротационная и угловая стабильность, на мой взгляд, значительно хуже.

          >>А Вы всегда оперируете м\берцовую кость?
          При переломах 43 - да, с нее и начинаем.
          М\б кость укорочена, а это создает предпосылки к вторичной вальгусной деформации даже с LCP, спросите у Виталия Дрягина.

          Я с Вами согласен если речь идёт о переломах пилона, когда м/берцовую кость надо оперировать на любом уровне или внесуставных метаф.переломах с повреждением наружней лодыжки.

          С Уважением А.Миронов










          [ Ответить ]
          • Re: пластина или гвоздь?
            Отправитель: Алексей Семенистый 12 Декабрь 2006, 01:18
            А.М.>Было несколько случаев замедленного сращения, приходилось выполнять динамизацию перелома(удалять стягивающий винт), после чего наступало сращение. Аналогичный пример приводил Dr. К.Rif на симпозиуме по LCP фиксаторам.

            Да, LCP показывают иногда сверхстабильность особенно, если репозиция чуть-чуть неанатомичная, и динамизация в этом случае только на пользу.

            А.М.>В губчатой кости, если винт не блокируется в импланте, что справедливо для гвоздей, ротационная и угловая стабильность, на мой взгляд, значительно хуже.

            С тремя дистальными блокирующими винтами в гвозде ротационная и угловая стабильность самого отломка относительно дистальной же части имплантата ниже конечно, чем с 3-ми винтами в LCP, но вполне достаточна. А вот осевая стабильность штифта, особенно усталостная, значительно выше.

            А.М.>Я с Вами согласен если речь идёт о переломах пилона, когда м/берцовую кость надо оперировать на любом уровне

            Так речь и идет о переломе пилона. Пилон это не только 43С (С - это наиболее тяжелый вариант). Вспомните лекцию Дрягина.

            А.М.>или внесуставных метаф.переломах с повреждением наружней лодыжки.

            Не только перелом наружной лодыжки (это лишь часть м\б кости), но и любое повреждение м\б кости, сопровождающееся ее укорочением и\или ее ротационной нестабильностью, приводит к проблемам в голеностопном суставе.

            С уважением А.Семенистый




            [ Ответить ]
            • Re: пластина или гвоздь?
              Отправитель: А.МИронов 12 Декабрь 2006, 20:35
              >Не только перелом наружной лодыжки (это лишь часть м\б кости), но и любое повреждение м\б кости, сопровождающееся ее укорочением и\или ее ротационной нестабильностью, приводит к проблемам в голеностопном суставе.

              То есть Вы оперируете любой смещенный перелом м/берцовой кости, независимо от уровня перелома б/берцовой кости. Или я Вас не так понял.
              С Уважением А.Миронов

              [ Ответить ]
              • Re: пластина или гвоздь?
                Отправитель: Алексей Семенистый 13 Декабрь 2006, 00:41
                Приветствую!

                >То есть Вы оперируете любой смещенный перелом м/берцовой кости, независимо от уровня перелома б/берцовой кости. Или я Вас не так понял.

                Если это перелом 44 - да, 43-да, 41-нет, 42- со штифтом в б\б кости как правило нет, кроме: если определяется остаточная нестабильность г\ст сустава - да, оскольчатый б\б на одном уровне с м\б - да\нет. Общий алгоритм такой. Конечно м\б кость в верхней 1\3 - нет (если есть необходимость восстановления ее длины, то диафиксация позиционным винтом)

                С уважением А.Семенистый.


                [ Ответить ]
                • Re: пластина или гвоздь?
                  Отправитель: А.Миронов 13 Декабрь 2006, 19:54
                  Спасибо за дискуссию. Надеюсь встретимся в Москве в марте на симпозиуме.
                  А.Миронов

                  [ Ответить ]

     

    ( Ответить )

    Powered by Zope  Squishdot Powered MedLink
    Посетитель: 0201685
      "По форме правильно, а по существу - издевательство" В.И.Ленин
    ©2001-2019Orthoforum Coordinator.
    [ Главная | Отправить сообщение | Поиск | Админ ]