Ответить
|
Re: пластина или гвоздь?
А.Миронов 09 Декабрь 2006, 08:24
|
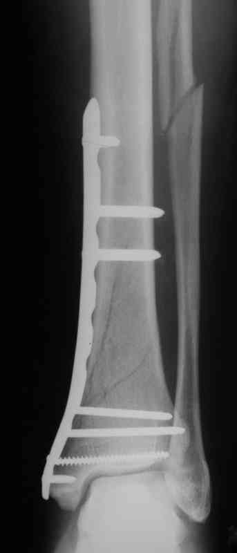
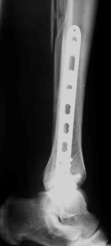
Выполнил MIPO предизогнутой метафизарной LCP

|
[
Ответить ]
|
Re: пластина или гвоздь?
Отправитель: Alexaander Chelnokov 09 Декабрь 2006, 16:29
|
Красиво получилось, поздравляю. Насчет немедленной полной нагрузки, как на гвозде, про что Алексей Семенистый говорит - будете разрешать сразу?
|
[
Ответить ]
|
Re: пластина или гвоздь?
Отправитель: А.Миронов 09 Декабрь 2006, 18:00
|
>Насчет немедленной полной нагрузки, как на гвозде, про что Алексей Семенистый говорит - будете разрешать сразу?
У нас такого опыта нет.
Подход индивидуальный, учитывая массу больного около 130кг, разрешу частичную нагрузку 15-20кг, через 4нед. Rg-контроль, при отсутствии признаков нестабильности полная нагрузка
А. Миронов
|
[
Ответить ]
|
Re: пластина или гвоздь?
Отправитель: Алексей Семенистый 10 Декабрь 2006, 02:32
|
Вообщем, поздравляю!
И все же немного критики:1) Вы добивались анатомичной репозиции, которая требует абсолютной стабильности, которая в свою очередь возможноа только в условиях межфрагментарной компрессии. Пластина уложена как мостовидная, не хватает стягивающнго винта. 2) есть укорочение малоберцовой кости, необхордимо восстановить ее длину! В таком виде я бы не стал разрешать раннюю нагрузку. Добавить самую малость: стягивающий винт и остеосинтез малоберцовой кости и больной может наступать сразу.
С уважением А.Семенистый
|
[
Ответить ]
|
Re: пластина или гвоздь?
Отправитель: А.Миронов 10 Декабрь 2006, 11:08
|
Спасибо за критику!
>Вы добивались анатомичной репозиции, которая требует абсолютной стабильности, которая в свою очередь возможноа только в условиях межфрагментарной компрессии. Пластина уложена как мостовидная, не хватает стягивающнго винта
Полностью с Вами согласен, если остеосинтез выполняется открыто, удаляется гематома с обл. перелома, требуется анатомиччная репозиция и аксиальная+межфрагментарная компрессия.
В этом случае остеосинтез выполнялся малоинвазивно и я не добивался абсолютной стабильности преднамеренно. Стабильность относительная и ст. её зависит от механических свойств импланта;возможно, нужно было взять длиннее пластину, увеличив её рабочую длину
> есть укорочение малоберцовой кости, необхордимо восстановить ее длину
А Вы всегда оперируете м\берцовую кость? Здесь вроде г/стопный сустав напрямую незаинтересован.
А при условии ранней нагрузки в какие сроки у Вас больные выписываются к труду? Насколько быстрее полностью восстанавливается функция?
А.Миронов
|
[
Ответить ]
|
Re: пластина или гвоздь?
Отправитель: Алексей Семенистый 10 Декабрь 2006, 20:07
|
Приветствую!
>>межфрагментарной компрессии. Пластина уложена как мостовидная, не хватает стягивающнго винта
>В этом случае остеосинтез выполнялся >малоинвазивно и я не добивался абсолютной >стабильности преднамеренно. Стабильность >относительная и ст. её зависит от механических >свойств импланта;возможно, нужно было взять >длиннее пластину, увеличив её рабочую длину
Все справедливо для оскольчатого перелома, когда вы не добиваетесь анатомичной репозиции. При простом переломе адекватной будет анатомичная репозиция, и она у Вас получилась закрыто. Если Вы изначально предполагали относительную стабильность, то штифт позволил бы более раннюю и агрессивную реабилитацию
>А Вы всегда оперируете м\берцовую кость?
При переломах 43 - да, с нее и начинаем.
>Здесь вроде г/стопный сустав напрямую незаинтересован.
М\б кость укорочена, а это создает предпосылки к вторичной вальгусной деформации даже с LCP, спросите у Виталия Дрягина.
>А при условии ранней нагрузки в какие сроки у >Вас больные выписываются к труду?
Само по себе восстановление трудоспособности (закрытие б\листа) не очень объективный критерий, так ка условия труда у всех разные.
Для служащих это 4-10 недель (с таким переломом),.. был акробат из цирка, у него 20 недель
>Насколько быстрее полностью восстанавливается функция?
На столько на сколько раньше начать полную безболезненную (и безбоязненную) нагрузку
С уважением, А.Семенистый
|
[
Ответить ]
|
Re: пластина или гвоздь?
Отправитель: А. Миронов 11 Декабрь 2006, 18:40
|
Здравствуйте Алексей Юрьевич!
>>Все справедливо для оскольчатого перелома, когда вы не добиваетесь анатомичной репозиции. При простом переломе адекватной будет анатомичная репозиция, и она у Вас получилась закрыто.
Раньше я так и поступал. При MIPO простых переломов при условии анатомичной репозиции стягивающий винт как правило через пластину проводил. Было несколько случаев замедленного сращения, приходилось выполнять динамизацию перелома(удалять стягивающий винт), после чего наступало сращение. Аналогичный пример приводил Dr. К.Rif на симпозиуме по LCP фиксаторам.
В последствии стал выполнять мостовидную фиксацию не только при оскольчатых переломах, но и при простых, прооперировал около 30 голеней, сращение наступило у всех периостальной мозолью.
> Если Вы изначально предполагали относительную стабильность, то штифт позволил бы более раннюю и агрессивную реабилитацию
В губчатой кости, если винт не блокируется в импланте, что справедливо для гвоздей, ротационная и угловая стабильность, на мой взгляд, значительно хуже.
>>А Вы всегда оперируете м\берцовую кость?
При переломах 43 - да, с нее и начинаем.
М\б кость укорочена, а это создает предпосылки к вторичной вальгусной деформации даже с LCP, спросите у Виталия Дрягина.
Я с Вами согласен если речь идёт о переломах пилона, когда м/берцовую кость надо оперировать на любом уровне или внесуставных метаф.переломах с повреждением наружней лодыжки.
С Уважением А.Миронов
|
[
Ответить ]
|
Re: пластина или гвоздь?
Отправитель: Алексей Семенистый 12 Декабрь 2006, 01:18
|
А.М.>Было несколько случаев замедленного сращения, приходилось выполнять динамизацию перелома(удалять стягивающий винт), после чего наступало сращение. Аналогичный пример приводил Dr. К.Rif на симпозиуме по LCP фиксаторам.
Да, LCP показывают иногда сверхстабильность особенно, если репозиция чуть-чуть неанатомичная, и динамизация в этом случае только на пользу.
А.М.>В губчатой кости, если винт не блокируется в импланте, что справедливо для гвоздей, ротационная и угловая стабильность, на мой взгляд, значительно хуже.
С тремя дистальными блокирующими винтами в гвозде ротационная и угловая стабильность самого отломка относительно дистальной же части имплантата ниже конечно, чем с 3-ми винтами в LCP, но вполне достаточна. А вот осевая стабильность штифта, особенно усталостная, значительно выше.
А.М.>Я с Вами согласен если речь идёт о переломах пилона, когда м/берцовую кость надо оперировать на любом уровне
Так речь и идет о переломе пилона. Пилон это не только 43С (С - это наиболее тяжелый вариант). Вспомните лекцию Дрягина.
А.М.>или внесуставных метаф.переломах с повреждением наружней лодыжки.
Не только перелом наружной лодыжки (это лишь часть м\б кости), но и любое повреждение м\б кости, сопровождающееся ее укорочением и\или ее ротационной нестабильностью, приводит к проблемам в голеностопном суставе.
С уважением А.Семенистый
|
[
Ответить ]
|
Re: пластина или гвоздь?
Отправитель: А.МИронов 12 Декабрь 2006, 20:35
|
>Не только перелом наружной лодыжки (это лишь часть м\б кости), но и любое повреждение м\б кости, сопровождающееся ее укорочением и\или ее ротационной нестабильностью, приводит к проблемам в голеностопном суставе.
То есть Вы оперируете любой смещенный перелом м/берцовой кости, независимо от уровня перелома б/берцовой кости. Или я Вас не так понял.
С Уважением А.Миронов
|
[
Ответить ]
|
Re: пластина или гвоздь?
Отправитель: Алексей Семенистый 13 Декабрь 2006, 00:41
|
Приветствую!
>То есть Вы оперируете любой смещенный перелом м/берцовой кости, независимо от уровня перелома б/берцовой кости. Или я Вас не так понял.
Если это перелом 44 - да, 43-да, 41-нет, 42- со штифтом в б\б кости как правило нет, кроме: если определяется остаточная нестабильность г\ст сустава - да, оскольчатый б\б на одном уровне с м\б - да\нет. Общий алгоритм такой. Конечно м\б кость в верхней 1\3 - нет (если есть необходимость восстановления ее длины, то диафиксация позиционным винтом)
С уважением А.Семенистый.
|
[
Ответить ]
|
Re: пластина или гвоздь?
Отправитель: А.Миронов 13 Декабрь 2006, 19:54
|
Спасибо за дискуссию. Надеюсь встретимся в Москве в марте на симпозиуме.
А.Миронов
|
[
Ответить ]
|
|
Re: пластина или гвоздь?
Дрягин 09 Декабрь 2006, 09:10
|
Я стараюсь не считать средства больного это его проблемы поэтому к российским фиксаторам отношусь с осторожностью.Даже к самым хорошим.Гвоздь будем давать меньшую стабильность."Эксперт" возможен и думаю даже показан, но сроки нетрудоспособности будут теже,а пластина лучше. Жду в Челебинск покажу наи результаты по пластинам. Попробую убедить Вас в обратном.С уважением Дрягин.
|
[
Ответить ]
|
Re: пластина или гвоздь?
Отправитель: Alexaander Chelnokov 09 Декабрь 2006, 21:18
|
Д> Я стараюсь не считать средства больного
Д> это его проблемы
То есть любой пациент должен дать карт-бланш тратить его средства без счета? Гм. Возможно, некоторые пациенты и будут возражать против снижения их личных расходов на лечение (при обеспечении желаемого результата), но вряд ли их будет большинство даже в Москве. Выражение "некрасиво считать деньги в чужом кармане" имеет, мягко говоря, другой смысл.
Д> поэтому к российским фиксаторам отношусь с осторожностью. Даже к самым
Д> хорошим.
Во-1-х, надо к любым относиться с осторожностью. Во-2-х, мало слепой веры в брэнд - надо знать свойства, особенности и недостатки применяемого фиксатора, в том числе недокументированные, а то и
умалчиваемые поставщиками, и соотносить их с требованиями ситуации.
В-3-х, реально имеющееся и вроде бы полезное свойство может не иметь клинического значения в конкретной ситуации. Качество полировки может быть критично для выживания ножки эндопротеза, но безразлично для штифта или пластины, которым работать всего несколько месяцев.
Д> Гвоздь будем давать меньшую стабильность.
Не меньшую - просто другой ее вид. Несостоятельность с разрушением фиксатора мы встречаем куда чаще с пластинками.
Д> "Эксперт" возможен и думаю даже показан, но сроки
Д> нетрудоспособности будут те же,
Эксперт тут вполне подойдет, действительно. Насчет сроков трудоспособности тех же - не уверен, может, и меньше. Ходить без ограничения нагрузки со штифтами мы разрешаем сразу (если суставная поверхность не повреждена) - с пластинами так же?
Д> а пластина лучше.
При внесуставном переломе гвоздь и требует меньших резрезов, и нет имплантата прямо под кожей, и можно не ограничивать нагрузку сразу, и расходы в разы меньше, и несращений меньше, а лучше пластина? И в чем ее "лучшесть" выражается?
Д> Жду в Челебинск покажу наши результаты по пластинам. Попробую
Д> убедить Вас в обратном.
Непременно увидимся. Только чур с оценкой эффективности, т.е. затрат сил, средств и времени.
|
[
Ответить ]
|
|
( Ответить )
|
|