Ответить
|
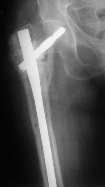
Re: Ложный сустав вертельной области бедра.
Абдрахманов Алибек 28 Февраль 2009, 07:56
|
Где снимки,Зин..?
|
[
Ответить ]
|
Re: Ложный сустав вертельной области бедра.
Отправитель: Антон Жаглин 28 Февраль 2009, 09:28
|
Во вложенном файле справа, Вань...
|
[
Ответить ]
|
Re: Ложный сустав вертельной области бедра.
Отправитель: Абдрахманов Алибек 01 Март 2009, 10:38
|
Не могу открыть.Подскажите пожалуйста, как? Я,действительно,ваня!
|
[
Ответить ]
|
Re: Ложный сустав вертельной области бедра.
Отправитель: Alexander Chelnokov 01 Март 2009, 14:24
|
Снимки были в приложенном pdf файле. Сейчас они выложены отдельно, вверху исходного сообщения. Если их не видно, перезагрузите страничку.
|
[
Ответить ]
|
|
Re: Ложный сустав вертельной области бедра.
Djoldas Kuldjanov 28 Февраль 2009, 23:52
|
Во-первых, большое спасибо за представленный случай с полным исследованием больного и во-вторых, надеюсь, что Вы не останетесь посторенним наблюдателем со стороны, а примете активное участие при разборе Вашего случая.
А насчет предложенных, все варианты в зависимости от опыта специалиста подходят для лечения ложного сустава проксимального бедра.
В реконструкционных случаях, кроме механической стабильности импланта, важную роль играет состояние мягких тканей. Контрагированные рубцовые ткани создают трудности для восстановления, и могут осложниться при открытых процедурах. Поэтому поэтапное восстановление считаю более щадящим методом.
Перед выбором метода сперва надо определить свободу движения в проксимальной части бедра. Метод-тракция за конечность с рентгенограммой сустава подскажет, насколько можно низвести бедро.
Если на рентгенограмме отсутствует свобода движения в проксимальной части бедра, что затруднит одномоментное низведение во время операции, тогда можно применить гибридный аппарат “a la Yekaterinburg”.
Аппарат “таз-бедро” удобен из-за отсутствия стержней в фокусе ложного сустава. Также при наличии стержней, я бы воздержался от спиц с упорной площадкой в дистальное бедро, менее стабильные спицы на бедре осложняется чаще, чем стержни.
При наличии других, менее щадящих методов у активных молодых больных, вариант окончательного лечения в аппарате считаю более агрессивным вариантом.
Наличие ортопедического тракционного стола облегчит применение Gamma 3, но для костной пластики необходимо открывать место ложного сустава. Идеальный имплант для свежих чрезвертельных переломов в этом случае может подвести.
Из-за короткого периода низведения не обязательно применение аппарата внешней фиксации, а простое скелетное вытяжения на несколько дней решит проблему меньшими усилиями.
Персонально я бы применил 95-градусную Blade Plate, конструкция которого в головке бедра создаст большую стабильность, чем DHS или другие цефало- медуллярные конструкции. Латеральный внесуставной подвастусный доступ создаст отличное обозрение и костная пластика из крыла таза облегчит сращение.
Djoldas Kuldjanov, MD
Department of Orthopedic Surgery
St. Louis University Medical Center
|
[
Ответить ]
|
Re: Ложный сустав вертельной области бедра.
Igor 01 Март 2009, 08:28
|
Я думаю в данном случае для начала необходимо наложить спице - стержневой аппарат таз - бедро с низведением проксимального отломка. Во-вторых открытый остеосинтез DHS c костной аутопластикой. Доступ чрезъягодичный. В даанном случае возможны большие трудности при введения gamma.
|
[
Ответить ]
|
Re: Ложный сустав вертельной области бедра.
Alexander Chelnokov 01 Март 2009, 14:41
|
По опыту подобных случаев, аппарат лучше на бедро, без таза пока. В проксимальный фрагмент 3 стержня по оси шейки. Дистальный - хватит 1 стержня или 2 спиц в дистальном метафизе и 1 стержня вверху. Если планируете гвоздь, надо с гиперкоррекцией восстановить длину и ось, т.е. вальгизировать проксимальный отдел. При наложении аппарата сделать остеоклазию, добиться уверенной подвижности. Регенерат не нужен, тяните на пределе переносимости пациентом - хоть 2 см/сут. Обычно меньше.
Второй этап - на следующий день после окончания коррекции.
Если все получилось, т.е. закрыто сопоставить с гиперкоррекцией, накладываете дистрактор таз-бедро или используете тракционный стол, и гвоздь можно делать закрыто. Пластика то есть не нужна. Если клинковая пластина - может получиться как при меежвертельной остеотомии, боковая компрессия by mismatch. Тогда тоже пластика не нужна. Если не получатся, можно и сделать.
Одномоментно сделать можно, но это может быть травматичнее, и лучше дистрактор какой-то все равно. Если будет оставаться варус, с ним лучше
справиться можно с помощью пластины, не гвоздя.
|
[
Ответить ]
|
Re: Ложный сустав вертельной области бедра.
Попов Виктор. 02 Март 2009, 18:12
|
Alexander Chelnokov :
1. ...В проксимальный фрагмент 3 стержня по оси шейки...
Почему 3 стержня по оси шейки, а не один в ось, а два других с разбросом в 35-45 град. и на разных уровнях?
2. ...При наложении аппарата сделать остеоклазию, добиться уверенной подвижности...
Имеется в виду закрытая остеоклазия или пройти между отломками узким долотом через прокол?
Igor:
… открытый остеосинтез DHS c костной аутопластикой…. возможны большие трудности при введение gamma…
Djoldas Kuldjanov
… я бы применил 95-градусную Blade Plate, конструкция которого в головке бедра создаст большую стабильность, чем DHS или другие цефало-медуллярные конструкции…
… и костная пластика из крыла таза облегчит сращение…
95-градусную Blade Plate с костной пластикой уже применял при ложных суставах вертельной области с хорошими результатами. Гамма-гвоздь посчитал как более продвинутую успешную технологию. Согласен, что установка Гамма-гвоздь вызовет трудности. Принимаю вариант с Blade Plate с костной пластикой, это будет более надежно, да и проще технически и материально.
Djoldas Kuldjanov
… Аппарат “таз-бедро” удобен из-за отсутствия стержней в фокусе ложного сустава. Также при наличии стержней, я бы воздержался от спиц с упорной площадкой в дистальное бедро, менее стабильные спицы на бедре осложняется чаще, чем стержни…
Дистракция в аппарате «таз-бедро» должна привести к «запрокидыванию» центрального отломка. Кроме того, планирую вести больного амбулаторно, а в аппарате «таз-бедро» есть риск нагноения мягких тканей в области крыла подвздошной кости. Учитывая замечания, склоняюсь к мысли о бедренной компоновке « чисто» стержневого аппарата.
Виктор
|
[
Ответить ]
|
Re: Ложный сустав вертельной области бедра.
Отправитель: Alexander Chelnokov 02 Март 2009, 20:36
|
ПВ> Почему 3 стержня по оси шейки, а не один в ось, а два других с
ПВ> разбросом в 35-45 град. и на разных уровнях?
Отломок короткий, и стержни по оси шейки будут наибольший рычаг обеспечивать.
>>2. ...При наложении аппарата сделать остеоклазию, добиться уверенной подвижности...
ПВ> Имеется в виду закрытая остеоклазия
Да, ротацией.
ПВ> Дистракция в аппарате «таз-бедро» должна привести к «запрокидыванию»
ПВ> центрального отломка.
Здесь мало дистракции, надо смещение по ширине устранять, и при нефиксированном центральном отломке он будет в тазобедренном суставе поворачиваться, оставаясь в том же положении по отношению к периферическому отломку.
|
[
Ответить ]
|
|
Re: Ложный сустав вертельной области бедра.
Leonid Solomin 03 Март 2009, 22:07
|
Уважаемый Попов Виктор!

Возможно, пример (в приложении) поможет Вам определиться с выбором тактики лечения (у нашего пациента, кроме тугого ложного сустава вертельной области, сложная деформация н/3 бедренной кости; т.к. это не имеет значения к обсуждаемой теме - оставил "за кадром"). Как Вы видите, мы в данном случае не вводили чрескостные элементы в зону установки имплантата. При отказе от наложения опоры на таз (кстати, она не обязательно может быть громоздкая спицевая; арки со стержнями-шурупами, введенными в крыло подвздошной вполне достаточно) "не удивляйтесь", если опора со стержнями-шурупами, введенными в вертельной области в скором времени дестабилизируется, возникнет воспаление мягких тканей у чрескостных элементов. Такая опора "имеет на это право": нагрузка конечности от вершины дистального фрагмента до кончиков пальцев ляжет на нее. А двух-трех введенных рядом стержней-шурупов, как их не разноси от фронтальной плоскости, в данном
случае явно недостаточно для адекватной фиксации. + для того, чтобы выбрать оптимальные чрескостные элементы для промежуточной и дистальной опор, можете воспользоваться атласом
Всего наилучшего,
|
[
Ответить ]
|
Re: Ложный сустав вертельной области бедра.
Отправитель: Alexander Chelnokov 03 Март 2009, 23:32
|
LS> видите, мы в данном случае не вводили чрескостные элементы в зону
LS> установки имплантата. При отказе от наложения опоры на таз (кстати,
LS> она не обязательно может быть громоздкая спицевая; арки со
LS> стержнями-шурупами, введенными в крыло подвздошной вполне достаточно)
Дорогой Леонид, спасибо за интересный пример.
В этом случае, по-моему, аппаратный этап не был уж настолько важен. При использовании DHS или клинковой пластины при таком исходном положении отломков можно было делать и одномоментную коррекцию.
Срубить латеральную стенку периферического отломка для облегчения вальгизации.
LS> вертельной области в скором времени дестабилизируется, возникнет
LS> воспаление мягких тканей у чрескостных элементов. Такая опора "имеет
LS> на это право": нагрузка конечности от вершины дистального фрагмента до
LS> кончиков пальцев ляжет на нее.
Здесь ожидаемо прорезание тканей. Благодаря нагрузке опора напряжена, и оттого стабильна, как танк. Соответственно, в период коррекции воспаление менее вероятно, чем в период фиксации аппаратом, когда все и начинает расшатываться.
Если, конечно, стержни проведены так, что усилие не реализуется в виде их проворачивания в кости.
В приложении пример пациента, близкого по картине к тому, что представил Виктор (варус и смещение периферического отломка на поперечник кзади). Сделали как раз то, что Виктор исходно намеревался - аппаратная коррекция и затем гамма.

|
[
Ответить ]
|
|
Re: Ложный сустав вертельной области бедра.
Васецкий Александр 05 Март 2009, 02:15
|
1. Аппаратное лечение не нужно.
2. Провести оперативное лечение: закрытый металоостесинтез DHS с костной аутопластикой (максимально восстановив длину конечности на ортопедическом столе). Костный трансплантант взять с диафиза боьшеберцовой кости и ввести его выше винта DHS. В течении 3 мес наступит сращение.
|
[
Ответить ]
|
Re: Ложный сустав вертельной области бедра.
Отправитель: Djoldas Kuldjanov, M.D. 05 Март 2009, 18:43
|
"Аппаратное лечение не нужно."
Согласен, не обязательно аппарат, дистракцию можно создать засчет скелетного вытяжения в течение нескольких дней или одномоментно во время операции на ортопедическом столе.
Провести оперативное лечение: "закрытый" металоостесинтез DHS
Наверное здесь оговорка "открытый" остеосинтез с DHS.
"Костный трансплантант взять с диафиза боьшеберцовой кости и ввести его выше винта DHS. В течении 3 мес наступит сращение."
Интересная рекомендация ввести винты выше винта DHS. Каким образом кортикальный трансплантант действует при чрез-вертельном ложном суставе?
Где можно ознакомится описанием технологии забора трансплантанта из голени, например размер, разрез и сколько?
Доказательные снимки и ссылки на источник снимут все вопросы оппонентов.
|
[
Ответить ]
|
Re: Ложный сустав вертельной области бедра.
Отправитель: Alexey Semenisty 06 Март 2009, 01:52
|
1. Аппаратное лечение не нужно.
2. Провести оперативное лечение: закрытый металоостесинтез DHS с костной
Как у Вас, Васецкий Александр, все просто!!!
. В течении 3 мес наступит сращение.
...И катеорично оптимистически!!!((((
С уважением, А.Семенистый.
ГКБ № 13, Москва.
|
[
Ответить ]
|
|
Re: Ложный сустав вертельной области бедра.
Попов Виктор 05 Март 2009, 03:44
|
Провести оперативное лечение: закрытый металоостесинтез DHS с костной аутопластикой (максимально восстановив длину конечности на ортопедическом столе).
Как понять "максимально восстановив длину конечности на ортопедическом столе", а остальное куда - резецировать или приложить бок в бок?
Костный трансплантант взять с диафиза большеберцовой кости и ввести его выше винта DHS. В течении 3 мес наступит сращение
Выше винта - это в шейку бедра? зачем?
|
[
Ответить ]
|
Re: Ложный сустав вертельной области бедра.
Попов Виктор 06 Март 2009, 02:05
|
Djoldas Kuldjanov, M.D.
….Согласен, не обязательно аппарат, дистракцию можно создать засчет скелетного вытяжения в течение нескольких дней или одномоментно во время операции на ортопедическом столе…
Ваш опыт позволяет думать, что это должно получиться, но как объективно проконтроливать наступающие в момент тракции неврологические и сосудистые нарушения? Мой горький опыт: в одном случае после операции навсегда «зависла» стопа; в другом удлинял бедро, после того как коллеги вынуждены были резецировать зону ложного сустава для адаптации отломков. Уверенно, без «гусарства» и неожиданностей, сделать одномоментную операцию и не возиться с аппаратом в моей ситуации, а я работаю в частной клиники, был бы праздник. А если открою, а сопоставить не удается, останется одно – резекция и последующее удлинение, что я скажу больному? Или тянуть до победы в надежде что «господь нас уважает».
Виктор.
|
[
Ответить ]
|
Re: Ложный сустав вертельной области бедра.
Абдрахманов Алибек 08 Март 2009, 09:41
|
Виктор! Судя по снимкам,укорочение не более 2-3 см (даже линия Шентона сохранена). При таком укорочении дистракционный остеосинтез аппаратом внешней фиксации на конкретном сегменте,действительно представляется агрессивным.Может быть,как предлагает D.Kuldjanov,ограничиться предоперационным скелетным вытяжением и после рентгенконтроля использовать Blade Plate или Гамму с губчатой аутопластикой.Возможна миотомия приводящих мышц.Смещение не столь велико,чтобы его форсированное устранение грозило неврологическими осложнениями.Даже остаточное укорочение в пределах 1см вряд-ли усложнит операцию и существенно повлияет на исход.Учитывая статус клиники,для пациента не менее важны комфортность в послеоперационном периоде,возможность полноценно жить и работать в период реабилитации, максимальное снижение вероятности послеоперационных осложнений.А этим условиям аппарат Илизарова не отвечает.
|
[
Ответить ]
|
Re: Ложный сустав вертельной области бедра.
Отправитель: Alexander Chelnokov 08 Март 2009, 11:14
|
АА> ограничиться предоперационным скелетным
АА> вытяжением и после рентгенконтроля использовать Blade Plate или
АА> Гамму с губчатой аутопластикой.
Если перед остеосинтезом остается варус, гамму или другой проксимальный гвоздь правильно установить не получается.
АА> жить и работать в период реабилитации, максимальное снижение
АА> вероятности послеоперационных осложнений.А этим условиям аппарат Илизарова не отвечает.
Аппарат не предлагается использовать для окончательной фиксации, только для малоинвазивного восстановления длины и оси. После чего перейти на внутреннюю фиксацию.
|
[
Ответить ]
|
Re: Ложный сустав вертельной области бедра.
Отправитель: Aлибек Абдрахманов 08 Март 2009, 15:06
|
По поводу послеоперациооного периода и ребилитации Вы правы. Но ,мне кажется,при таком укорочении варус устраним во время операции,тем более после миотомии.
|
[
Ответить ]
|
|
Re: Ложный сустав вертельной области бедра.
Виктор Попов 08 Март 2009, 16:49
|
Если судить по снимкам, то укорочение кажеться не критическим, но обьективно и на 3D - укорочение на 6-7 см.
Думаю сделать так: под адекватной анестезией на тракционном столе попробую максимально низвести бедро. Если получится, рентгенконтроль/оценка ситуации и Blade Plate с костной пластикой (помню предостережение Александра Николаевича о возможной варусно-антекурвационной установке центрального отломка и трудности в использовании Гамма-гвоздя). Если останется укорочение на 3-4 см придется на короткое время (2-2,5 недели) наложить стержневой аппарат "бедро-бедро" и дробно, но форсированно, ориентируясь на ощущения больного и поведение дистальных отделов конечности адаптировать отломки (больной на это период останется в стационаре). Если же появятся первые признаки воспаления мягких тканей в области проксимальных стержней, аппарат снимаю, перевожу на скелетное вытяжение и готовлю больного ко второму этапу.
Спасибо всем за добрые советы, которые помогли мне определиться.
Виктор.
|
[
Ответить ]
|
Re: Ложный сустав вертельной области бедра.
Корнеев Ф.А. 08 Март 2009, 17:55
|
я бы вам предложил рассмотреть вариант одномоментной операции. томия, и остеосинтез DHC, возраст сработает на пациента
|
[
Ответить ]
|
( Ответить )
|
|