Ответить
|
Re: неправильно фиксированный перелом
Савранский Александр 31 Май 2009, 00:06
|
По Вашему намного реально стало лучше?
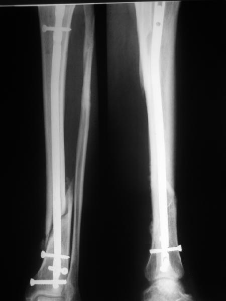
Большинство коллег высказалось против реостеосинтеза и представленные снимки этому подтверждение-данный кососпиральный перелом репонируется идеально только открыто,что при БИОС не так существенно.
В чем смысл полной нагрузки на ногу сразу после операции?Может дать сначала болям и отеку немного уменьшиться?
|
[
Ответить ]
|
Re: неправильно фиксированный перелом
Отправитель: adonin 31 Май 2009, 01:54
|
совершенно согласен с Доктором Савранским
|
[
Ответить ]
|
Re: неправильно фиксированный перелом
Отправитель: Alexander Chelnokov 31 Май 2009, 14:31
|
>СА> По Вашему намного реально стало лучше?
По-моему, стало так, как должно быть.
>СА> представленные снимки этому подтверждение-данный кососпиральный
СА> перелом репонируется идеально только открыто,что при БИОС не так существенно.
Здесь проблема не в идеальности репозиции, а в запасе усталостной прочности. Срастаться там может небыстро, диастазы довольно большие.
И когда еще и отломок короткий, и отверстие совсем рядом, это может привести к перелому стержня. За последние годы у нас было несколько пациентов, оперированных в других учреждениях с
подобным положением отломков, с такими переломами гвздей. И сейчас переделать куда как проще и легче, чем иметь дело со сломанным гвоздем.
Понятно, что точно рассчитать прогноз неблагоприятного поворота событий для конкретного пациент нереально (пока?), и приходится руководствоваться в т.ч. и интуицией.
СА> В чем смысл полной нагрузки на ногу сразу после операции?Может
СА> дать сначала болям и отеку немного уменьшиться?
Смысл в дуракоустойчивости. Лет 5-6 назад мы не раз наблюдали переломы запирающих винтов, а то и гвоздей, у пациентов, которые вопреки предписаниям врача рано полностью нагружали ногу.
Сейчас нет необходимости думать о том, послушный это пациент или не очень. Врач при диафизарных переломах просто нагрузку пациенту не ограничивает. Пациент сам дает ту нагрузку, какую может. Кто-то перейдет на трость через месяц, а кто-то уже через 3 дня на свадьбе пляшет пьяный - и проблем это не создает.
По крайней мере, при нынешнем положении фиксатора стал меньше риск того, что до сращения гвоздь сломается.
|
[
Ответить ]
|
Re: неправильно фиксированный перелом
Отправитель: Виноградский Александр 02 Июнь 2009, 15:24
|
Александр Николаевич! Если смотреть несколько пристрастно, можно увидеть риск (перелома фиксатора, вторичного смещения, диастаза, замедленной консолидации и др.) практически всегда. Стали бы Вы переделывать подобный остеосинтез, если он сделан в Вашей клинике?
Помоему, этот случай из тех "смотря с какой стороны посмотреть"
|
[
Ответить ]
|
Re: неправильно фиксированный перелом
Отправитель: Alexander Chelnokov 02 Июнь 2009, 19:54
|
ВА> увидеть риск (перелома фиксатора, вторичного смещения, диастаза,
ВА> замедленной консолидации и др.) практически всегда.
Есть и количественный аспект. Где-то риск выглядит неприемлемо высоким.
ВА> Стали бы Вы переделывать подобный остеосинтез, если он сделан в Вашей клинике?
Адназначна!
ВА> Помоему, этот случай из тех "смотря с какой стороны посмотреть"
Да. Когда уже случилось разрушение фиксатора, появилась подвижность, решение о реостеосинтезе принять проще. Но операция сложнее.
|
[
Ответить ]
|
Re: неправильно фиксированный перелом
Отправитель: Anton Kovalenko 03 Июнь 2009, 11:41
|
Дорогой Александр Николаевич!
> Есть и количественный аспект. Где-то риск выглядит неприемлемо высоким.
Вот именно количественный, т.е. сколько градусов в вальгусе допустимо и при каком диастазе в мм или в % от толщины диафиза.

> ВА> Помоему, этот случай из тех "смотря с какой стороны посмотреть"
> Да. Когда уже случилось разрушение фиксатора, появилась подвижность,
> решение о реостеосинтезе принять проще. Но операция сложнее.
Но почему решение динамизировать на сроке 8 недель с полным удалением всех проксимальных винтов даже не рассматривается Вами? Ведь тогда нагрузка с фиксатора будет снята, и переломов металла можно будет не бояться и наступать полной нагрузкой.
И еще. Вам не нравится когда предлагаемое решение аргументируют типа: "а у меня было 3 пациента и у всех у них (после такого то лечения) все харашо (или все плохо). Разносите таких аргументаторов в пух и прах. А сами этим приемом пользуетесь :(. Можете Вы сказать без глубокой статистики : в нашем учреждении пролечено N колво больных с оскольчатыми переломами в/3, с/3, н/3 диафиза ББК и с оставленным послеоперационном вальгусом менее 3 градусов и у всех них или у M числа пациентов были 1. переломы фисаторов до сращения 2. проблемы со сращением 3. проблемы с со смежными суставами на отдаленных сроках.
Все это к тому, что те, кто занимается гвоздями и Вы в том числе можете выложить не один снимок с подобными диастазами и вальгусами-варусами, где достигнуто сращение и не получено проблем. Тогда откуда такая "адназначность" врешении об реостеосинтезе?
С уважением, Коваленко А.Н.
|
[
Ответить ]
|
Re: неправильно фиксированный перелом
Отправитель: Alexander Chelnokov 03 Июнь 2009, 16:27
|
КА> Вот именно количественный, т.е. сколько градусов в вальгусе
КА> допустимо и при каком диастазе в мм или в % от толщины диафиза.
Антон, дорогой, важнее вальгуса тут близость верхнего отверстия к перелому и отсутствие уверенности в быстром сращении из-за большого
диастаза.
Какой процент сломанных гвоздей при подобном положении отломков считать пороговым, чтобы действие или бездействие считать оправданным?
|
[
Ответить ]
|
Re: неправильно фиксированный перелом
Отправитель: Anton Kovalenko 03 Июнь 2009, 16:37
|
> важнее вальгуса тут близость верхнего отверстия к
> перелому и отсутствие уверенности в быстром сращении из-за большого
> диастаза.
По ответам "за реостеосинтез" складывается впечатление, что все уперлось в вальгус и диастаз. Теперь позиция Ваша более понятная.То есть Вы считаете, что гвоздь с такой установкой может сломаться с высоким риском даже при полность проксимально отпертом гвозде? Вернее так, были у Вас пациенты с подобным положением отломков, у которых, несмотря на своевременную динамизацию, ломался фиксатор по отверстию?
> Какой процент сломанных гвоздей при подобном положении отломков
> считать пороговым, чтобы действие или бездействие считать оправданным?
Про количественную оценку Вы написали в посте Виноградскому, так я подумал, может и в цифре скажете(про пороговый вальгус, диастаз, близость отверстия к перелому и т.п.)
А вообще этот вопрос относится ко всем осложнениям.Какой процент инфекционных осложнений считать пороговым чтобы делать или не делать операции вообще никому по такой-то методике? Или какой процент несращений на пластинах для диафизарных переломов будет пороговым чтобы прекратить их использовать и ставить лишь гвозди и наоборот? Какой процент остановки сердца должен быть во время наркоза на плановых операциях чтобы его применять или не применять? И так далее до бесконечности.
Поэтому количесвенной оценки тут быть не может.Сделали реостеосинтез - хорошо. Вероятность перелома фиксатора стала меньше- отлично. Но насколько меньше в 2 раза, в 15? Сломался бы он до сращения? Может быть да, скорее всего да, может быть нет?
И если осложнение случается или может случиться, это не повод вмешиваться или не вмешиваться "адназачно". Только и всего.
С уважением ,Коваленко А.Н.
|
[
Ответить ]
|
Re: неправильно фиксированный перелом
Отправитель: Alexander Chelnokov 03 Июнь 2009, 16:41
|
КА> гвозде? Вернее так, были у Вас пациенты с подобным положением
КА> отломков, у которых, несмотря на своевременную динамизацию,
Были больные с переломами по ближайшему к перелому отверстию даже при лучшем положении отломков и гвоздя. Были и после динамизации. Есть и куда больший чужой опыт.
КА> Про количественную оценку Вы написали в посте Виноградскому,
КА> так я подумал, может и в цифре скажете(про пороговый вальгус,
В Кемпбелле можно прочитать, что Fractures in the distal third of the tibia had the highest frequency of nail breakage.
Вообще, этот вопрос обсуждался давно, и еще в статье R. Bucholz (1987) про переломы гвоздей указывалось, что расстояние от ближайшего отверстия до перелома должно быть не менее 5 см, иначе есть угроза усталостного перелома. По литературе переломы гвоздей в нижней трети
tibia достигают 4,3%.
КА> А вообще этот вопрос относится ко всем осложнениям.Какой процент
КА> инфекционных осложнений считать пороговым чтобы делать или не
КА> делать операции вообще никому по такой-то методике?
Осложнения есть предотвратимые и не. И у первых еще есть соотношение случившегося неблагоприятного события с затратами сил на его
профилактику. Смертельная тромбоэмболия встречается редко, даже реже, чем переломы
гвоздя. Однако мы стараемся "застраховать" всех, предпринимая некие не сильно трудные действия.
Если врач видит предотвратимый доступными мерами риск неблагоприятного события (пусть и нечастого, но куда как более огорчительного, чем маленькая операция), по-моему, есть смысл эти меры принять.
КА> Поэтому количесвенной оценки тут быть не может.
Может, просто ее трудно провести. И приходится принимать решение при недостатке информации, основываясь в т.ч. и на интуиции.
КА> Сделали реостеосинтез - хорошо. Вероятность перелома фиксатора стала
КА> меньше- отлично. Но насколько меньше в 2 раза, в 15? Сломался бы
КА> он до сращения? Может быть да, скорее всего да, может быть нет?
Хотя есть математическая эквилибристика насчет относительного риска, точные количественные ответы, наверно, на сегодня не получится дать.
При этом переломе, этом гвозде, с этой массой тела, с такой хромотой, с таким проходимым расстоянием...
Для конкретного пациента, у которого сломался гвоздь, не сильно важно, что это случилось в 0,6% или 3,2% случаев.
КА> И если осложнение случается или может случиться, это не повод
КА> вмешиваться или не вмешиваться "адназачно". Только и всего.
Есть осложнения непредотвратимые, т.е. все было сделано безупречно, а вот поди ж ты, сломалось, кто бы мог подумать!
А если бы этот пациент пришел уже с переломом гвоздя, я бы (да, наверно, и любой из нас) нисколько бы не удивился, и сразу бы перечислил, какие особенности перелома и остеосинтеза стали почвой этих неприятностей.
|
[
Ответить ]
|
Re: неправильно фиксированный перелом
Отправитель: Alexander Chelnokov 04 Июнь 2009, 11:04
|
КА> Но почему решение динамизировать на сроке 8 недель с полным

В приложении картинка пациента со сломанным внизу гвоздем. Начал лечение в другом учреждении. Еще и адвокат к тому же.
Динамизировали через 8 недель, а оно поползло больше, чем хотелось бы.
|
[
Ответить ]
|
Re: неправильно фиксированный перелом
Отправитель: Evgeuny Tchekashkine 04 Июнь 2009, 16:04
|
Уважаемые Коллеги,
Посмотрев на клинический случай с винтообразным переломом ББ и МБ костей, возник вопрос о целесообразности динамизации фиксатора при подобном типе перлома.
Винтообразный перелом создает обширную зону межфрагментарного контакта, что является благоприятным условием для консолидации, если в ожидаемые 8-10 недель мозолеообразования не наблюдается, то динамизация приводит к *соскальзыванию* проксимального фрагмента- вторичному смещению, величина которого и определяется размером овального окна гвоздя.
Логичным, на мой взгляд, в подобной ситуации является не динамизация гвоздя, а смена гвоздя на больший размер с рассверливанием.
Динамизация скорее показана при поперечных/ short oblique типах, когда зона межфрагментарного контакта ограничена, нет риска вторичного смещения отломков.
Евгений Чекашкин
|
[
Ответить ]
|
|
( Ответить )
|
|