Ответить
|
Re: неправильно фиксированный перелом
chuker 27 Май 2009, 21:51
|
Стержень с большим диаметром и подлиннее?
С ходу не могу понять, почему неправильно фиксирован перелом.
Внизу стержень всего один статический винт держит?
|
[
Ответить ]
|
Re: неправильно фиксированный перелом
Отправитель: Alexander Chelnokov 27 Май 2009, 22:03
|
Вальгус, стержень в дистальный отломок введен не на оптимальную длину. Такой диастаз будет долго заполняться, что чревато переломом стержня по ближайшему отверстию.
|
[
Ответить ]
|
Re: неправильно фиксированный перелом
Отправитель: Виноградский Александр 27 Май 2009, 23:44
|
Александр Николаевич! "а как Вы померили точные градусы вальгуса?", ",а сколько допустимо?, а насколько вальгус клинически значим?" Помоему на эти вопросы Вы всегда отвечали - если есть вальгус клинически, надо исправлять.
В представленном случае стержень мог быть и подлиннее, могли и передне-задний винт ввести. Но переделывать в сроке один месяц? Да и диастаз уйдет после динамизации и нагрузки. И стержень не сломается за 3-4 месяца.
|
[
Ответить ]
|
|
Re: неправильно фиксированный перелом
Салимов Руслан 27 Май 2009, 22:17
|
Вальгус сам по себе небольшой. Имеется промежуточный отломок, который не притянулся, так как отломки до конца не растянули. Сейчас наверное стоит подождать 2-3 мес. и посмотреть как пойдет срастание.
|
[
Ответить ]
|
Re: неправильно фиксированный перелом
адонин 28 Май 2009, 00:36
|
как по мне - так вполне неплохой синтез, не надо придираться. Соответственно и совет - ничего не делать.
|
[
Ответить ]
|
Re: неправильно фиксированный перелом
Djoldas Kuldjanov 28 Май 2009, 11:07
|
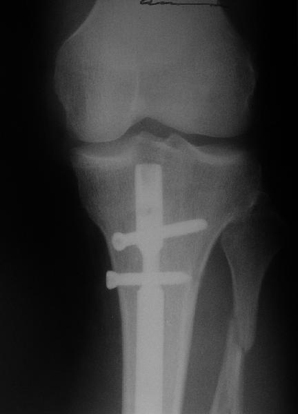
"Ходит с ограниченной нагрузкой на ногу. Направлен из травмпункта по поводу оставшегося смещения отломков. У нас разделилось мнение коллег по вопросу - есть ли необходимость в закрытом интрамедуллярном реостеосинтезе с исправлением оси или только ограничиться динамизацией гвоздя"
Техника введения штифта в дистальные переломы голени отличается от введения в c/3 диафиз. В дистальном отделе штифт надо ввести поглубже и блокировку внизу сделать на все возможные дистальные отверстия. В верхней части короткий штифт создает запас для будущей динамизации.
Одним из идеальных штифтом для лечения дистальных переломов голени является от Synthes Expert Nail, где имеется 4 возможные отверстия для дистальной блокировки, которые в различных направлениях создают дополнительную стабильность.
На снимке сохранен небольшой вальгус, но имеется нормальная аппозиция медиального кортикального слоя и поэтому трудно согласится что здесь имеется неправильно фиксированный перелом. Для идеального сопоставления таких косых переломов надо открывать фокус травмы, но тогда меняется философия фиксации.
Навряд ли рискованные манипуляции в фокусе травмы или ре-остеосинтез улучшит результат кроме рентгенологической картины.
Для предупреждения осложнении можно оставить как есть, потому что всего месяц с момента операции и не видно признаков несостоятельности остеосинтеза.
Отсутствие болей показания к нагрузке и после восстановления движения в суставе через пару-три недели можно сделать динамизацию. За редким исключением, обычно такие “неправильно фиксированные” переломы сростаются в срок.
В худшем варианте всегда имеется возможность сделать ре-остеосинтез ложного сустава голени или остеотомию при вальгусной искривлении конечности.
Djoldas Kuldjanov, MD
Department of Orthopedic Surgery
St. Louis University Medical Center
|
[
Ответить ]
|
Re: неправильно фиксированный перелом
В.Машталов 28 Май 2009, 13:13
|
Аховых проблем с синтезом нет, да гвоздь коротковат, вальгус небольшой, но это не повод для реостесинтеза. Динамизация тоже рановато, т.к она потребует удаления всех проксимальных винтов. Оставьте в покое еще на 1-1,5. А что думает оперирующий хирург? Почему больной наблюдается не у него?
с ув. В. Машталов
|
[
Ответить ]
|
Re: неправильно фиксированный перелом
Maxim Agalakov 28 Май 2009, 19:40
|
Честно говоря не знаю, какой вальгус допустим, но, учитывая то, что он виден "на глаз", учитывая возраст, проблемы в последующем с коленом очень вероятны. Наверное лучше переделать.
|
[
Ответить ]
|
Re: неправильно фиксированный перелом
Отправитель: Марек 28 Май 2009, 22:41
|

Вы бы стали оперировать или рекомендовали бы своему родственнику оперироваться из-за 2 градусов?
Динамизировать, выкрутив проксимально все винты, на сроке 8 недель ихмо достаточно.
|
[
Ответить ]
|
Re: неправильно фиксированный перелом
Отправитель: Maxim Agalakov 29 Май 2009, 16:24
|
чтобы понять сколько там градусов, необходимо, как минимум, сделать осевые снимки. Я рассуждал по аналогии с протезами коленного сустава, вальгусное или варусное смещение более 3 градусов чревато ранней нестабильности. Почему же для нормального коленного сустава это должно быть хорошо?
|
[
Ответить ]
|
|
Re: неправильно фиксированный перелом
Dmitry Bekreev 30 Май 2009, 12:58
|

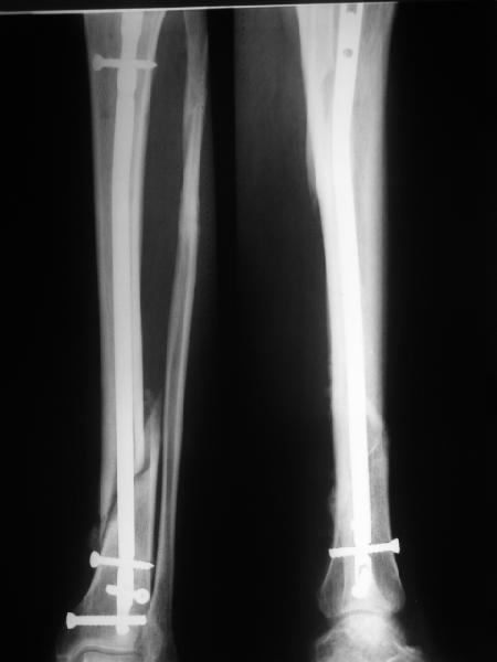
Добрый вечер, уважаемые коллеги. Большое спасибо за внимание, оказанное данной проблеме.
Все наши сомнения связаны с тем, что этих незначительных погрешностей (небольшой вальгус, неглубоко пробит гвоздь, мало запирающих винтов в
дистальном отломке) не одна, а несколько, и вместе они могут значительно осложнить дальнейшую жизнь пациенту. В нашей практике были подобные случаи, при которых после разрешения полной нагрузки либо начинала увеличиваться деформация, либо происходил перелом гвоздя по ближайшему отверстию. Кроме того, при диафизарных переломах, имея в арсенале надежный фиксатор, нет никакой необходимости вынуждать пациента ограничивать нагрузку на ногу в течении 2-3 месяцев.
Взвесив все <<за>> и <<против>>, мы приняли решение и выполнили реостеостинтез: выбили гвоздь до линии перелома, провели отклоняющую
спицу, забили обратно гвоздь и заблокировали внизу 3-мя винтами, вверху одним. Вся операция заняла меньше часа. Сегодня пациент ушел от нас домой с полной нагрузкой на ногу.
|
[
Ответить ]
|
Re: неправильно фиксированный перелом
Отправитель: Савранский Александр 31 Май 2009, 00:06
|
По Вашему намного реально стало лучше?
Большинство коллег высказалось против реостеосинтеза и представленные снимки этому подтверждение-данный кососпиральный перелом репонируется идеально только открыто,что при БИОС не так существенно.
В чем смысл полной нагрузки на ногу сразу после операции?Может дать сначала болям и отеку немного уменьшиться?
|
[
Ответить ]
|
Re: неправильно фиксированный перелом
Отправитель: adonin 31 Май 2009, 01:54
|
совершенно согласен с Доктором Савранским
|
[
Ответить ]
|
Re: неправильно фиксированный перелом
Отправитель: Alexander Chelnokov 31 Май 2009, 14:31
|
>СА> По Вашему намного реально стало лучше?
По-моему, стало так, как должно быть.
>СА> представленные снимки этому подтверждение-данный кососпиральный
СА> перелом репонируется идеально только открыто,что при БИОС не так существенно.
Здесь проблема не в идеальности репозиции, а в запасе усталостной прочности. Срастаться там может небыстро, диастазы довольно большие.
И когда еще и отломок короткий, и отверстие совсем рядом, это может привести к перелому стержня. За последние годы у нас было несколько пациентов, оперированных в других учреждениях с
подобным положением отломков, с такими переломами гвздей. И сейчас переделать куда как проще и легче, чем иметь дело со сломанным гвоздем.
Понятно, что точно рассчитать прогноз неблагоприятного поворота событий для конкретного пациент нереально (пока?), и приходится руководствоваться в т.ч. и интуицией.
СА> В чем смысл полной нагрузки на ногу сразу после операции?Может
СА> дать сначала болям и отеку немного уменьшиться?
Смысл в дуракоустойчивости. Лет 5-6 назад мы не раз наблюдали переломы запирающих винтов, а то и гвоздей, у пациентов, которые вопреки предписаниям врача рано полностью нагружали ногу.
Сейчас нет необходимости думать о том, послушный это пациент или не очень. Врач при диафизарных переломах просто нагрузку пациенту не ограничивает. Пациент сам дает ту нагрузку, какую может. Кто-то перейдет на трость через месяц, а кто-то уже через 3 дня на свадьбе пляшет пьяный - и проблем это не создает.
По крайней мере, при нынешнем положении фиксатора стал меньше риск того, что до сращения гвоздь сломается.
|
[
Ответить ]
|
Re: неправильно фиксированный перелом
Отправитель: Виноградский Александр 02 Июнь 2009, 15:24
|
Александр Николаевич! Если смотреть несколько пристрастно, можно увидеть риск (перелома фиксатора, вторичного смещения, диастаза, замедленной консолидации и др.) практически всегда. Стали бы Вы переделывать подобный остеосинтез, если он сделан в Вашей клинике?
Помоему, этот случай из тех "смотря с какой стороны посмотреть"
|
[
Ответить ]
|
Re: неправильно фиксированный перелом
Отправитель: Alexander Chelnokov 02 Июнь 2009, 19:54
|
ВА> увидеть риск (перелома фиксатора, вторичного смещения, диастаза,
ВА> замедленной консолидации и др.) практически всегда.
Есть и количественный аспект. Где-то риск выглядит неприемлемо высоким.
ВА> Стали бы Вы переделывать подобный остеосинтез, если он сделан в Вашей клинике?
Адназначна!
ВА> Помоему, этот случай из тех "смотря с какой стороны посмотреть"
Да. Когда уже случилось разрушение фиксатора, появилась подвижность, решение о реостеосинтезе принять проще. Но операция сложнее.
|
[
Ответить ]
|
Re: неправильно фиксированный перелом
Отправитель: Anton Kovalenko 03 Июнь 2009, 11:41
|
Дорогой Александр Николаевич!
> Есть и количественный аспект. Где-то риск выглядит неприемлемо высоким.
Вот именно количественный, т.е. сколько градусов в вальгусе допустимо и при каком диастазе в мм или в % от толщины диафиза.

> ВА> Помоему, этот случай из тех "смотря с какой стороны посмотреть"
> Да. Когда уже случилось разрушение фиксатора, появилась подвижность,
> решение о реостеосинтезе принять проще. Но операция сложнее.
Но почему решение динамизировать на сроке 8 недель с полным удалением всех проксимальных винтов даже не рассматривается Вами? Ведь тогда нагрузка с фиксатора будет снята, и переломов металла можно будет не бояться и наступать полной нагрузкой.
И еще. Вам не нравится когда предлагаемое решение аргументируют типа: "а у меня было 3 пациента и у всех у них (после такого то лечения) все харашо (или все плохо). Разносите таких аргументаторов в пух и прах. А сами этим приемом пользуетесь :(. Можете Вы сказать без глубокой статистики : в нашем учреждении пролечено N колво больных с оскольчатыми переломами в/3, с/3, н/3 диафиза ББК и с оставленным послеоперационном вальгусом менее 3 градусов и у всех них или у M числа пациентов были 1. переломы фисаторов до сращения 2. проблемы со сращением 3. проблемы с со смежными суставами на отдаленных сроках.
Все это к тому, что те, кто занимается гвоздями и Вы в том числе можете выложить не один снимок с подобными диастазами и вальгусами-варусами, где достигнуто сращение и не получено проблем. Тогда откуда такая "адназначность" врешении об реостеосинтезе?
С уважением, Коваленко А.Н.
|
[
Ответить ]
|
Re: неправильно фиксированный перелом
Отправитель: Alexander Chelnokov 03 Июнь 2009, 16:27
|
КА> Вот именно количественный, т.е. сколько градусов в вальгусе
КА> допустимо и при каком диастазе в мм или в % от толщины диафиза.
Антон, дорогой, важнее вальгуса тут близость верхнего отверстия к перелому и отсутствие уверенности в быстром сращении из-за большого
диастаза.
Какой процент сломанных гвоздей при подобном положении отломков считать пороговым, чтобы действие или бездействие считать оправданным?
|
[
Ответить ]
|
Re: неправильно фиксированный перелом
Отправитель: Anton Kovalenko 03 Июнь 2009, 16:37
|
> важнее вальгуса тут близость верхнего отверстия к
> перелому и отсутствие уверенности в быстром сращении из-за большого
> диастаза.
По ответам "за реостеосинтез" складывается впечатление, что все уперлось в вальгус и диастаз. Теперь позиция Ваша более понятная.То есть Вы считаете, что гвоздь с такой установкой может сломаться с высоким риском даже при полность проксимально отпертом гвозде? Вернее так, были у Вас пациенты с подобным положением отломков, у которых, несмотря на своевременную динамизацию, ломался фиксатор по отверстию?
> Какой процент сломанных гвоздей при подобном положении отломков
> считать пороговым, чтобы действие или бездействие считать оправданным?
Про количественную оценку Вы написали в посте Виноградскому, так я подумал, может и в цифре скажете(про пороговый вальгус, диастаз, близость отверстия к перелому и т.п.)
А вообще этот вопрос относится ко всем осложнениям.Какой процент инфекционных осложнений считать пороговым чтобы делать или не делать операции вообще никому по такой-то методике? Или какой процент несращений на пластинах для диафизарных переломов будет пороговым чтобы прекратить их использовать и ставить лишь гвозди и наоборот? Какой процент остановки сердца должен быть во время наркоза на плановых операциях чтобы его применять или не применять? И так далее до бесконечности.
Поэтому количесвенной оценки тут быть не может.Сделали реостеосинтез - хорошо. Вероятность перелома фиксатора стала меньше- отлично. Но насколько меньше в 2 раза, в 15? Сломался бы он до сращения? Может быть да, скорее всего да, может быть нет?
И если осложнение случается или может случиться, это не повод вмешиваться или не вмешиваться "адназачно". Только и всего.
С уважением ,Коваленко А.Н.
|
[
Ответить ]
|
Re: неправильно фиксированный перелом
Отправитель: Alexander Chelnokov 03 Июнь 2009, 16:41
|
КА> гвозде? Вернее так, были у Вас пациенты с подобным положением
КА> отломков, у которых, несмотря на своевременную динамизацию,
Были больные с переломами по ближайшему к перелому отверстию даже при лучшем положении отломков и гвоздя. Были и после динамизации. Есть и куда больший чужой опыт.
КА> Про количественную оценку Вы написали в посте Виноградскому,
КА> так я подумал, может и в цифре скажете(про пороговый вальгус,
В Кемпбелле можно прочитать, что Fractures in the distal third of the tibia had the highest frequency of nail breakage.
Вообще, этот вопрос обсуждался давно, и еще в статье R. Bucholz (1987) про переломы гвоздей указывалось, что расстояние от ближайшего отверстия до перелома должно быть не менее 5 см, иначе есть угроза усталостного перелома. По литературе переломы гвоздей в нижней трети
tibia достигают 4,3%.
КА> А вообще этот вопрос относится ко всем осложнениям.Какой процент
КА> инфекционных осложнений считать пороговым чтобы делать или не
КА> делать операции вообще никому по такой-то методике?
Осложнения есть предотвратимые и не. И у первых еще есть соотношение случившегося неблагоприятного события с затратами сил на его
профилактику. Смертельная тромбоэмболия встречается редко, даже реже, чем переломы
гвоздя. Однако мы стараемся "застраховать" всех, предпринимая некие не сильно трудные действия.
Если врач видит предотвратимый доступными мерами риск неблагоприятного события (пусть и нечастого, но куда как более огорчительного, чем маленькая операция), по-моему, есть смысл эти меры принять.
КА> Поэтому количесвенной оценки тут быть не может.
Может, просто ее трудно провести. И приходится принимать решение при недостатке информации, основываясь в т.ч. и на интуиции.
КА> Сделали реостеосинтез - хорошо. Вероятность перелома фиксатора стала
КА> меньше- отлично. Но насколько меньше в 2 раза, в 15? Сломался бы
КА> он до сращения? Может быть да, скорее всего да, может быть нет?
Хотя есть математическая эквилибристика насчет относительного риска, точные количественные ответы, наверно, на сегодня не получится дать.
При этом переломе, этом гвозде, с этой массой тела, с такой хромотой, с таким проходимым расстоянием...
Для конкретного пациента, у которого сломался гвоздь, не сильно важно, что это случилось в 0,6% или 3,2% случаев.
КА> И если осложнение случается или может случиться, это не повод
КА> вмешиваться или не вмешиваться "адназачно". Только и всего.
Есть осложнения непредотвратимые, т.е. все было сделано безупречно, а вот поди ж ты, сломалось, кто бы мог подумать!
А если бы этот пациент пришел уже с переломом гвоздя, я бы (да, наверно, и любой из нас) нисколько бы не удивился, и сразу бы перечислил, какие особенности перелома и остеосинтеза стали почвой этих неприятностей.
|
[
Ответить ]
|
Re: неправильно фиксированный перелом
Отправитель: Alexander Chelnokov 04 Июнь 2009, 11:04
|
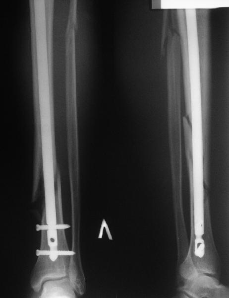
КА> Но почему решение динамизировать на сроке 8 недель с полным

В приложении картинка пациента со сломанным внизу гвоздем. Начал лечение в другом учреждении. Еще и адвокат к тому же.
Динамизировали через 8 недель, а оно поползло больше, чем хотелось бы.
|
[
Ответить ]
|
Re: неправильно фиксированный перелом
Отправитель: Evgeuny Tchekashkine 04 Июнь 2009, 16:04
|
Уважаемые Коллеги,
Посмотрев на клинический случай с винтообразным переломом ББ и МБ костей, возник вопрос о целесообразности динамизации фиксатора при подобном типе перлома.
Винтообразный перелом создает обширную зону межфрагментарного контакта, что является благоприятным условием для консолидации, если в ожидаемые 8-10 недель мозолеообразования не наблюдается, то динамизация приводит к *соскальзыванию* проксимального фрагмента- вторичному смещению, величина которого и определяется размером овального окна гвоздя.
Логичным, на мой взгляд, в подобной ситуации является не динамизация гвоздя, а смена гвоздя на больший размер с рассверливанием.
Динамизация скорее показана при поперечных/ short oblique типах, когда зона межфрагментарного контакта ограничена, нет риска вторичного смещения отломков.
Евгений Чекашкин
|
[
Ответить ]
|
|
Re: неправильно фиксированный перелом
Аександр Ситник 02 Июнь 2009, 08:22
|
Стало вроде бы получше, да что-то не совсем. Оценивалась ли ротация дистального фрагмента?
|
[
Ответить ]
|
Re: неправильно фиксированный перелом
В.Машталов 03 Июнь 2009, 11:18
|
Уважаемые коллеги! Обсуждая этот случай Вы упустили тот факт, что реостесинтез выполнен не на своем синтезе, а на синтезе коллеги из другого
лечебного учереждения.
И при всей спорности его выполнения не учтен факт деонтологический. Я не думаю , что больному было сказано "у тебя все не плохо, но мы возмем тебя
на стол, что-бы сделать чуть лучше", что-бы больной согласился на повторную операцию должны быть более серьезные аргументы о качестве ранее проведенного лечения. Если бы реостесинтез вы делали после себя или коллег своего отделения - то раннее высказанные аргументы об оси, возможности перелома гвоздя и т.д. давали бы Вам право на операцию. Но в данном случае..........
Увы!
С уважением В. Машталов
|
[
Ответить ]
|
Re: неправильно фиксированный перелом
Отправитель: Alexander Chelnokov 03 Июнь 2009, 12:58
|
ВМ> И при всей спорности его выполнения не учтен факт деонтологический.
Это из чего видно, что не учтен?
ВМ> Я не думаю , что больному было сказано "у тебя все не плохо, но мы возмем тебя
ВМ> на стол, что-бы сделать чуть лучше", что-бы больной согласился на повторную
ВМ> операцию должны быть более серьезные аргументы о качестве ранее проведенного
Беседовали с ним примерно в таком ключе, и сошлись на том, что переделать сейчас легко, и повода для волнений о безопасности нагрузки
на ногу будет меньше.
Пациент пришел к нам из поликлиники уже с информацией о том, что не все ладно, и морально готовый к целесообразности каких-то активных
действий.
ВМ> гвоздя и т.д. давали бы Вам право на операцию. Но в данном случае..........
Не вижу разницы. А деонтология требует дезинформировать пациента для
сокрытия чьих-то ошибок?
|
[
Ответить ]
|
Re: неправильно фиксированный перелом
Отправитель: В.Машталов 03 Июнь 2009, 16:15
|
Уважаемый Александр!
Я бы осторожнее относился к понятию врачебных ошибок, это уже юридическое определение, и оно здесь совсем не уместно.
Есть не соблюдение ньансов остесинтеза с позиций более квалифиированного специалиста, и они должны быть обсуждаемы в среде коллег.
А в данном случае пациент знает о допущенных иммено ошибках врача, т.к. они привели к необходимости повторного вмешательтва.
У больного есть все основания подачи жалобы, иска в суд. Не попади этот больной к Вам не факт , что у него сломался бы штифт или не сросся бы
перелом, у него все было-бы хорошо, и его первый хирург был бы для него спасителем. Подставили Вы его. Бережнее надо относится к друг другу, и это
не менее важная проблема, чем возможный перелом гвоздя. А из поликлиники все больные после БИОса приходят с проблемами, и новый синтез будет не
идеальный с позиций врача поликлиники.
В. Машталов
|
[
Ответить ]
|
Re: неправильно фиксированный перелом
Отправитель: Alexander Chelnokov 03 Июнь 2009, 20:56
|
> Я бы осторожнее относился к понятию врачебных ошибок, это уже юридическое
> определение, и оно здесь совсем не уместно.
Беспокоиться не о чем, нету юридического определения врачебной ошибки.
"Отрицательным фактором является отсутствие законодательного закрепления понятия врачебной ошибки. В действующих Основах законодательства РФ об охране здоровья граждан имеется упоминание о профессиональной ошибке, но при этом ее содержание легально не раскрывается.
Уголовный кодекс Российской Федерации также не содержит норму, раскрывающую содержание врачебной ошибки."
http://www.yurclub.ru/docs/other/article74.html
> Есть не соблюдение ньансов остесинтеза с позиций более квалифиированного
> специалиста, и они должны быть обсуждаемы в среде коллег.
Мы в этой самой среде и обсуждаем. На юридическом языке, раз уж зашла речь, есть любимое юристами выражение "ненадлежащее исполнение", которое может быть основанием для решения по иску.
> А в данном случае пациент знает о допущенных иммено ошибках врача, т.к. они
> превели к необходимости повторного вмешательтва.
У нас таких больных много, а уж в отделении последствий травмы - чуть не все. Отделение по сокрытию ошибок и осложнений не предусмотрено.
> У больного есть все основания подачи жалобы, иска в суд.
> Не попади этот больной к Вам не факт , что у него сломался бы штифт
Давайте уж не игнорировать реальные события. Пациент все-таки попал к другому врачу, и тот оценил ситуацию не так оптимистично, как первый.
И что же, продолжать вместе с пациентом "пилить гири, они золотые"?
> Подставили Вы его. Бережнее надо относится к друг другу, и это не
> меннее важная проблема чем возможный перелом гвоздя.
А может быть, наоборот, спас от более сурового иска и возмещения большего ущерба, если бы оставили все как есть, а события пошли бы по
неблагоприятному сценарию?
И если такого пациента отпустить, сказав, что все нормально, то ответственность за последующие неприятности уже берешь на себя. Мне спокойнее переделать, как надо, чем несколько месяцев пальцы крестом держать, мол, хоть бы ничего не случилось... А Вам?
> А из поликлиники все больные после БИОса приходят с проблемами, и
> новый синтез будет не идеальный с позиций врача поликлиники .
В наших краях поликлинические врачи панику на ровном месте уже не так часто поднимают.
|
[
Ответить ]
|
Re: неправильно фиксированный перелом
Отправитель: Алина 09 Март 2010, 03:26
|
Уважаемый Александр!
Вы часто сталкиваетесь с контрафактными изделиями (имплантантами) в своей практике?
И какие побочные эффекты бывают!
С Уважением Алина.
|
[
Ответить ]
|
|
( Ответить )
|
|