Ответить
|
Re: Перелом голени
Б.Г. 14 Сентябрь 2010, 13:16
|
Фиксировать только ап.илизарова с модулем на стопу
|
[
Ответить ]
|
Re: Перелом голени
DOK-AV-ORT 14 Сентябрь 2010, 21:17
|
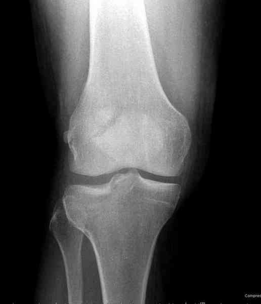
тоже склоняюсь в пользу АВФ ,однако остаётся не решенным вопрос с проксимальным эпиметафизом.Или вы считаете что можно пренебречь проседанием наружного мыщелка?
|
[
Ответить ]
|
Re: Перелом голени
DOK-AV-ORT 14 Сентябрь 2010, 21:17
|
тоже склоняюсь в пользу АВФ ,однако остаётся не решенным вопрос с проксимальным эпиметафизом.Или вы считаете что можно пренебречь проседанием наружного мыщелка?
|
[
Ответить ]
|
Re: Перелом голени
Валерий 14 Сентябрь 2010, 21:17
|
Аппарат Илизарова с фиксацией коленного сустава и стопы.
|
[
Ответить ]
|
Re: Перелом голени
DOK-AV-ORT 14 Сентябрь 2010, 21:18
|
тоже склоняюсь в пользу АВФ ,однако остаётся не решенным вопрос с проксимальным эпиметафизом.Или вы считаете что можно пренебречь проседанием наружного мыщелка?
|
[
Ответить ]
|
Re: Перелом голени
Отправитель: Евгений 14 Сентябрь 2010, 22:14
|
Спасибо, мыщелок левой голени будет прооперирован - репозиция, синтез пластиной с костной пластикой, при необходимости удаление повреждённой части мениска.
АВФ для фиксации правой голени тоже рассматриваем, в этом случае остаётся вопрос с суставной поверхностью, или Вы предлагаете открытою репозицию отломков суставной поверхности, фиксацию спицами в аппарате?
|
[
Ответить ]
|
|
Re: Перелом голени
Иван Куликов 14 Сентябрь 2010, 23:06
|
Здравствуйте уважаемый Евгений в данном случае наложение АВФ в любом его варианте конечно показано, и сделать это надо было бы при поступлении больной. А по нормализации состояния столь "капризной" кожи нижней трети голени и отсутствия компартмент синдрома, учитывая внутрисуставной характер переломов было бы логично открыто сформировать суставные поверхности и проксимального и дистального отделов. фиксировать наверное лучше предмоделированными конструкциями. к тому же есть фирмы с довольно длинными distal tibia. Удачи.
|
[
Ответить ]
|
Re: Перелом голени
doktol 15 Сентябрь 2010, 01:01
|
Касаемо перелома мыщелка, лучше сделать СКТ и после определиться с операцией. Фиксировать - проксимальной поддерживающей пластиной. Есть хорошие варианты. Чтож до дистальной части - аппарат кроме стабилизации ничего не даст. Если 6 кг вытяжения не расколотили отломки, то при открытом доступе вся эта мелочь вывалится. По-моема операцию следует рассматривать с позиции подготовки к артродезу (ось выправить, осколки попытаться собрать). Ну и готовить морально пациентку к неработающему голеностопу.
|
[
Ответить ]
|
Re: Перелом голени
Отправитель: Кучерявый Игорь 15 Сентябрь 2010, 23:33
|
Рассматривать операцию сразу однозначно с позиции подготовки к артродезу - просто как-то некрасиво что-ли... Воооот... Надо открываться и фиксировать. Если все сделать аккуратно и грамотно вести п/о период - есть шанс на восстановление сустава.
|
[
Ответить ]
|
|
Re: Перелом голени
Иван Куликов 15 Сентябрь 2010, 22:56
|
Артродез! на мой взгляд отличный вариант! а в германии изготавливают отличные протезы всей нижней конечности. они такие функциональные, в суставах сами изгибаются не отличить от здоровой ноги ::))
простите за грубость. возможно артродезом и закончится когда нибудь. А ВДРУГ НЕТ. я бы не хотел чтоб мне в 47 лет сделали артродез.
|
[
Ответить ]
|
Re: Перелом голени
Ильин Вадим 15 Сентябрь 2010, 23:51
|
Доброго времени суток! Что касаемо мыщелка сделал бы реимпакцию с пластикой ( чем нестоль важно).
По поводу пилона применил бы двухэтапное лечение (восстановление длинны малоберцовой кости пластиной + ЧКДО пилона с фиксацией дистальной опоры за стопу. Через 3 недели- открытая репозиция перелома пилона с погружным остеосинтезом)Значительно снижает процент некротических осложнений в зоне доступа. По видимому тоже понадобится пластика костного дефекта каким-либо способом.
|
[
Ответить ]
|
Re: Перелом голени
Дмитрий Бондарь 16 Сентябрь 2010, 20:46
|
Добрый вечер,коллеги! Тема перелома пилона достаточно часто и широко обсуждалась на Форуме. В доступной литературе так же широко освещена. Первым этапом накладывается АВФ в УРГЕНТНОМ порядке, что позволяет адекватно фиксировать перелом, и зачастую достаточно неплохо отрепонировать отломки. При хорошем стоянии отломков зачастую можно и ограничится АВФ. Кстати , на форуме уважаемый Я. Одесский выкладывал очень интересную статью по данной теме, поищите. Совктую так же просмотреть у Роквуда с Грином , да и в Кэмпбелле много чего есть интересного.
С уважением Д.Б.
|
[
Ответить ]
|
Re: Перелом голени
Отправитель: Кучерявый Игорь 16 Сентябрь 2010, 22:57
|
Обсуждение - тут: http://www.weborto.net/forum/1193689824/index_html
Техника и сроки подробно описаны Яковом Одесским - там есть pdf-файл со статьей на русском, здесь в приложении - другая англоязычная статья, его же (pdf, 876 Kb).
|
[
Ответить ]
|
|
Re: Перелом голени
Евгений 16 Сентябрь 2010, 23:35
|
Отличное обсуждение по ссылке, спасибо!!!
Вчера выполнена закрытая репозиця малоберцовой кости, промежуточный отломок расклинен с дистальным метаепифизом, выведен ближе к оси центрального отломка, вилка голеностопного сустава стала нормальной конфигурации, уменьшен вес вытяжения. Снимки представлю завтра.
На будущей неделе планируем открытую репозицию внешнего мыщелка левой б/б кости с костной пластикой и фиксацией пластиной. Открытая репозиция малоберцовой, синтез 1/3 пластиной, открытая репозиция сустаной поверхности, синтез, и тут проблема - в имеющихся в наличии пластинах нет необходимой длины для фиксации-мост к центарльному отломку. Как поступить? АВФ?
|
[
Ответить ]
|
Re: Перелом голени
В.Машталов 17 Сентябрь 2010, 11:46
|
Резонно применить для пилона комбинированный остесинтез- о/репозиция суставных поверхностей, фиксакция ситуационнно спицами, винтами с
последующим АФН. Решите 2-е проблемы- сохранение суставной поверхности и исключите проблему с мягкими тканями. Я бы добавил фасциотомию наружного
компартмента при остесинтезе м/берцовой кости, как профилактика компартмент синдрома в п\о периоде
В. Машталов
|
[
Ответить ]
|
Re: Перелом голени
Евгений 17 Сентябрь 2010, 23:34
|

Снимки до и после закрытой репозиции
|
[
Ответить ]
|
Re: Перелом голени
Максим Цыганок 18 Сентябрь 2010, 13:57
|
Какие пластины Вы планируете использовать? Если с угловой стабильностью и не хватает длинны пластины, то можно попытаться выйти из ситуации 2мя пластинами по медиальной и латеральной поверхностям б/б кости, применяя монокортикальные винты. В АВФ адекватно восстановить суставную поверхность не выйдет.
|
[
Ответить ]
|
Re: Перелом голени
Отправитель: Евгений 20 Сентябрь 2010, 00:35
|
К сожалению нет доступа к пластинам с угловой стабильностью. По медиальной поверхности пластина не пойдёт так как скомпрометирована кожа в месте доступа. Планируем выполнить передне-латеральный доступ, открытую репозицию дистального метаэпифиза, синтез винтами, после чего пластина-мост. Взял разные пластины - Т и Г образные большеберцовые мыщелковые пластины максимальной имеющейся длины, DCP пластину
|
[
Ответить ]
|
Re: Перелом голени
Отправитель: Alexander Chelnokov 20 Сентябрь 2010, 04:54
|
Коллеги, нкито же не заставляет убиться, но непременно засунуть туда абы какую пластину. Тут вполне уместно использовать аппарат. Что для суставных переломов широко применяется не только в xUSSR, но и во всех развитых странах. Спицы можно проводить в любом количестве, под разными углами, так что возможности фиксации многооскольчатого суставного конца куда богаче.
|
[
Ответить ]
|
|
Re: Перелом голени
Максим Цыганок 20 Сентябрь 2010, 03:36
|
Удачной операции!
|
[
Ответить ]
|
Re: Перелом голени
Djoldas Kuldjanov 26 Сентябрь 2010, 00:16
|


В остром периоде для стабилизации перелома подойдет любой дистракционный аппарат "голень-стопа", и больной получит свободу от скелетного вытяжения.
Из нашего опыта при переломах голени с высокой энергией одним из частых осложнении является компартмент синдром, но КС наблюдается при переломах тибиал плато чаще, чем при дистальных переломах голени.
КС является временным, переходящим в необратимый процесс, и после нескольких дней нельзя восстановить потерянную функцию нерва и мыщц фасциотомией. Нет ли тут КС, лечащие врачи могут уточнить обследованием неврологического статуса и функции мышц на голени. Это необходимо для документации и для разработки тактики дальнейшего лечения.
Больному 46 лет, активный, молодой, и не стоит так долго держать на вытяжении. Тем более, АВФ комфортабельнее, лучше переносят, а при односторонних повреждениях больные могут передвигаться с помощью костылей без посторонней помощи.
Мы применяем обычные стержневые аппараты, но у кольцевых свои имущества, их в нужный момент с помощью дополнительных колец или спиц можно превратить в постоянный.
>"мыщелок левой голени будет прооперирован - репозиция, синтез пластиной с костной пластикой, при необходимости удаление повреждённой части мениска"
Для внутрисуставных переломов необходимо идеальное сопоставление, а такая задача без КТ срезов усложнится. Только КТ надо делать после дистракции сустава, иначе нельзя получить объективную информацию.
Около 60% переломов тибиал плато характеризуются мягкоткаными повреждениямм - разрывы суставной капсулы, связок и менисков. Мениск повреждается спереди со стороны перелома.
Тактику удаления мениска во время восстановления считаю ошибочной, наоборот, всеми путями надо его сохранить, потому что предупреждает от деформирующего артроза.
"Removal of a meniscus during the fracture surgery resulted in secondary degeneration in 74% of the cases. When a meniscus was intact or repaired, the proportion of degenerative cases was only 37%. Normal or slight valgus alignment of the tibial plateau with intact menisci protected best against secondary degeneration. On the other hand, medial or lateral tilt of the tibial plateau with a removed meniscus was followed by osteoarthritis in most cases. Honkonen SE., J Orthop Trauma. 1995"
Основная задача в лечении околосуставных переломов является создание солидного базиса в субхондральной зоне. Пластина подпорка (Butress) или субхондральные перкутанные шурупы в виде плота (Raft) для ранних движении.
(из доклада, который будет представлен на Вреденовских чтениях 8-9 Октября 2010 в Санкт-Питербурге).
У больного двухстороннее повреждение, ограничен в нагрузке не менее 8-10 недель. После односторонней фиксации будет активным, хотя бы в пределах койки. Без спешки дождаться улучшения кожных покровов, и аппаратом Илизарова в комбинации с шурупами или спицами, из мини-доступов.
>"Взял разные пластины - Т и Г образные большеберцовые мыщелковые пластины максимальной имеющейся длины, DCP пластину"
Все названные пластины не пригодны для фиксации мельких фрагментов. Сейчась многие компании имеют периартикулярные пластины достаточной длины с возможностью установки в мульти аксиальном направлении более тонкими шурупами вместо 3.5мм. Шурупы 2.7 мм не раскалывая позволяет удержать фрагменты в дистальном сегменте.
Пластина от DePuy отвечает всем требованиям, но могут быть и другие варианты. Репозицию закончивается костной пластикой или заполнением синтетическими заменителями иначе поведет в варус.
Отсутствие материала не причина не делать хорошую репозицию, или лучше перевести больного туда, где больше возможностей. Александр прав, вместо пластины предпочтительным будет фиксировать аппаратом Илизарова.
Насчет артродеза, сустав то не очень хороший, и в зависимости от полученного результата, кто даст гарантию, что не продолжим дискуссию очень скоро...
|
[
Ответить ]
|
Re: Перелом голени
Отправитель: Michael Berenstein 01 Октябрь 2010, 01:04
|
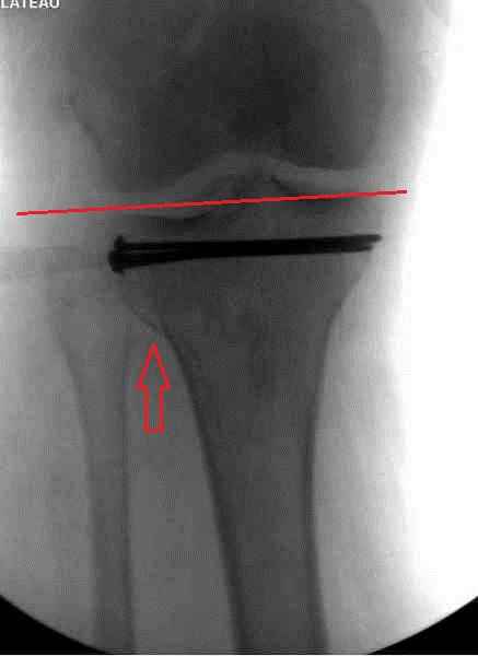
Здравствуй Джолдас!
Как всегда прекрасная презентация. Совершенно согласен с необходимостью сохранять мениск и вообще согласен со всем, кроме одного. Фиксация должна проводиться после правильно выполненной репозиции. Главная цель репозиции - это восстановить высоту наружного мыщелка. В норме наружный мыщелок выше внутреннего на 4-5 мм на снимке в переднее заднем направлении АР.
Необходимость репозиции возникает при снижении высоты от 3 до 5 мм по разным источникам. По моему опыту 4 мм. Если не восстановить высоту мыщелка возникает вальгизация коленного сустава с относительным расслаблением передней крестообразной связки. При этом развивается нестабильность коленного сустава из-за недостаточности ПКС.
По этому если фрагмент большой есть необходимость репозиции дистального угла и фиксация пластинкой против соскальзывания ANTIGLIDING PLATE. Если перелом фрагментарный? то очень помогают описанные субхондральные шурупы RAFT, но
чтобы сохранить высоту суставной площадки шурупы одним концом должны опираться на пластинку а другим - на кортекс по внутренней стороне. Идеально сочетание ANTIGLIDING BUTRESS PLATE + RAFT SCREWS.

На представленном после операционном снимке нет репозиции, на что указывает низкое положение тибиального плато и перекрытие кортикальных пластинок в метафизарной части - указано стрелкой. Обычно чрескожную фиксацию я применяю
при переломе без депрессии отломка, или если после СТ понятно, что можно сделать закрытую репозицию, то шуруп с шайбой можно установить прямо в угол, что предотвращает скольжение отломка.
С наилучшими пожеланиями
Михаил Беренштейн
|
[
Ответить ]
|
|
Re: Перелом голени
Евгений 26 Сентябрь 2010, 01:34
|

Уважаемые коллеги, спасибо за рекомендации.
Пациентки прооперирована, результат чего на снимках. Выполнена открытая репозиция костей правой голени, синтез малоберцевой пластиной, б/берцевой винтами, имеющиеся фиксаторы не подходили, было принято решение репонировать отломки, синтез винтами, гипсовая повязка.
В данный момент локально отёк тыла стопы незначительный, двигательня функция сохранена, ограничена болевым синдромом. Пульсация артерий ослаблена, соответствует левой ноге. Рана - в области границы с пузырём область некроза 2.5*2 см, сухой, не увеличивается, под ним чувствительность сохранена. Чувствительность по всей поверхности кожи в норме, гипоестезия пальцев, при чём варьирует от нормальной, до почти анестезии в течении дня.
Мыщелок левой б/б кости репонирован закрыто, на контрольной рентгенограмме репозиция удовлетворительная, фиксировано спицами. гипсовая повязка.
Стоит вопрос контроля фнутрифасциального давления, как можно соорудить аппарат для измерения, если специального в больнице нет?
Ждём Ваши мнения по поводу проведенной операции.
С уважением Евгений.
|
[
Ответить ]
|
Re: Перелом голени
Отправитель: Евгений И.Чекашкин 27 Сентябрь 2010, 13:25
|
Евгений,
Нарушение чувствительности, парестезии в пальцах стопы - это проявление
компартмент синдрома и является показанием к декомпрессии в ургентном
порядке.
Репозиция внутрисуставных переломов неудовлетворительная и не адекватна.
Сделайте снимок голеностопа контрлатеральной стороны, перенесите контур сустава на кальку и наложите её на свои послеоперационные Ргграммы - вам станет ясно что нужно сделать и какого стояния отломков достичь. Аналогичный
сценарий и для перелома наружного мыщелка б.б.- передний фрагмент стоит на месте, а задний не репонирован - в таком положении оставлять фрагменты нельзя, суставная поверхность должна быть реконструирована.
Успехов,
Евгений И.Чекашкин
|
[
Ответить ]
|
Re: Перелом голени
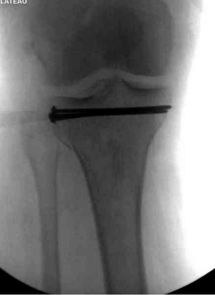
Отправитель: Djoldas Kuldjanov 27 Сентябрь 2010, 22:31
|
“Стоит вопрос контроля фнутрифасциального давления, как можно соорудить аппарат для измерения, если специального в больнице нет?”
Сколько прошло с момента повреждения, более двух недель? Если неврология в норме (присутствие чувствительности в промежутке между первыми и вторыми пальцами стопы, и имеется дорсифлексия первого пальца), тогда надо забыть про внутрифасциальное давление.
Ждём Ваши мнения по поводу проведенной операции.
При наличии менее агрессивных методов (аппарат) попытка под любым предлогом установить “из того что было в наличии”, и тем более при отсутствии показаний, не считается "благородным делом". Упрямство в лечении внутрисуставных переломов не в интересах больного, и привело к неудовлетворительной фиксации.
В лечении переломов пилона восстановление длины малоберцовой является индикатором и ориентиром для успешного лечения. Первый этап восстановления по длине не удался, малоберцовая остается короткой, и репозиция суставной поверхности осталась неудовлетворительной. Длина передней колонны не восстановлена, а в дистальном фрагменте имеется флексия. Оставлена без внимания потеря кости в метафизе. Шурупы 4.5 мм будут выступать после спадения отека, и возможно будут причиной мягкотканого осложнения в гипсе.
При отсутствии собственного опыта надо прислушиваться к советам коллег, которые в большинстве предлагали методику лечения аппаратом Илизарова. Кстати и сейчас я предлагаю вернуться к наружному фиксатору, потому что сустав требует лучшего внимания, чем оставить как есть. При недостаточной фиксации, в отличие от гипса, аппарат "дисциплинирует" сустав.
Верхний сегмент зафиксировать контралатеральными дополнительными спицами и создать стабильность в верхнем отделе. А задний край находится на своем месте и к нему надо приблизить передний край через малый разрез, развернуть фрагмент. Желательно создать идеальное сопоставление суставной поверхности, и выполнить фиксацию 3.5 мм периартикулярными шурупами или спицами. В образовавшийся дефект через малый доступ ввести аутокость или заменитель.
Наружный мышелок - при отсутствии рентген установки, длину спиц можно было регулировать хотя бы на ощупь, а предоперационный снимок со спицей помог бы ориентировать установку периартикулярных спиц.
В аппарате через три недели можно удалить нижнее полукольцо, и начать разработку без нагрузки в течение 12 недель.
Djoldas Kuldjanov, M.D.
Associate Professor
Department of Orthopedic Surgery
St. Louis University
|
[
Ответить ]
|
|
Re: Перелом голени
Юрий Алексеевич Булахтин 27 Сентябрь 2010, 06:14
|
Уважаемый Евгений!
А зачем, вообще, было "заводить игру в консультации" если Вы
собирались в итоге делать такой-вот "преартродез"? Что означает
фраза "... имеющиеся фиксаторы не подходили." Это когда выяснилось -
до операции, во-время или после? И, чисто риторически, не могли
объяснить какой, вообще, фиксатор не подходит для ОТКРЫТОЙ фиксации
такого перелома? На мой взгляд, тут даже "неблокированный
остеосинтез уретральным катетором (по меткому выражению А.Г.Рыкова)"
и то дал-бы лучший результат. Посмотрите на суставную поверхность большеберцовой кости - при чем тут состояние пульсации на тыле стопы?
Пишу это, естественно не для того, чтобы, как в старые добрые
времена, ударить Вас по рукам, а в надежде, что впредь задав
вовпрос профессиональному сообществу Вы будете иметь терпение
дождаться квалифицированного ответа и мудрость, совету этому
последовать.
С наилучшими пожеланиями,
Юрий Алексеевич Булахтин
Камчатский Военно-морской госпиталь
--
С уважением,
Булахтин mailto:vertebra@mail.iks.ru
|
[
Ответить ]
|
Re: Перелом голени
Отправитель: Евгений 27 Сентябрь 2010, 23:22
|
Уважаемые коллеги, спасибо за отзывы и критику.
1. на обсуждение случай представил с целью узнать подходы к лечению таких травм у уважаемого сообщества, нюансы, возможные трудности и осложнения по ходу лечения. Окончательное решение о выборе тактики лечения принимается не мной (я клинический ординатор кафедры, консультация начата и с образовательной целью тоже)
2. то, что отсутствуют необходимые фиксаторы было понятно до операции, заведомо шли на фиксацию финтами и гипсовую иммобилизацию
3. на сегодняшний день чувствительность востановлена практически полностью (незначительное снижение чувствительности пальцев стопы), в первом межпальцевом промежутке чувствительность не нарушена, тыльная флексия первого пальца есть, раны без признаков воспаления, отёк значительно снизился. Область некроза не увеличивается.
|
[
Ответить ]
|
|
Re: Перелом голени
Андрей 27 Сентябрь 2010, 23:45
|
Хотелось бы во-первых поблагодарить Евгения за окончание презентации случая, до которого не доходят процентов 70 случаев на форуме. К сожалению в нашей "клинике", в которой на даный момент и я работаю, можно встретить такой синтез от "ассов". Каждый день работаеш и доказываешь то, что уже давно доказано и проверено опытом, но доказать так и не можешь.
|
[
Ответить ]
|
( Ответить )
|
|