Ответить
|
Re: Фрагментарный перелом большеберцовой кости
Anton Bekhterev 28 Январь 2012, 09:13
|
А какая необходимость (аргументы) в открытой репозиции и накостном остеосинтезе, если Вы можете выполнить БИОС? Восстановите длину сегмента и ось и заштифтуйте. Это будет наиболее щадящим методом лечения.
Бехтерев Антон.
|
[
Ответить ]
|
Re: Фрагментарный перелом большеберцовой кости
Alexander Chelnokov 28 Январь 2012, 10:47
|
Если есть очаг инфекции в пределах этого же сегмента, для под- (или пере-?) страховки заштифтовать можно гвоздем с антибактериальным покрытием. Пластиной, наверно, можно тоже сделать, в т.ч. малоинвазивно - но вряд ли этот вариант проблем решит больше, а создаст меньше . Еще аппаратом можно фиксировать, тут это тоже вполне правомочная опция.
|
[
Ответить ]
|
Re: Фрагментарный перелом большеберцовой кости
Станислав Дмитриев 28 Январь 2012, 12:41
|
При наличии свищей ORIF, мягко выражаясь, не самый оптимальный метод. Я бы не сомневался насчет БИОС.
|
[
Ответить ]
|
Re: Фрагментарный перелом большеберцовой кости
Дедок Михаил 28 Январь 2012, 15:51
|
Я бы не искал приключений на свою пятую точку. Скелетное вытяжение никто не отменял.
|
[
Ответить ]
|
Re: Фрагментарный перелом большеберцовой кости
Отправитель: Николов Олег 30 Январь 2012, 20:08
|
На мой взляд наибольшее приключение в данной ситуации можно найти оперируя открыто пластиной.
|
[
Ответить ]
|
|
Re: Фрагментарный перелом большеберцовой кости
Попов Георгий 28 Январь 2012, 21:52
|
Скелетное вытяжение! Посмотреть в динамике за состоянием свища, кожных покровов, если всё нормально, сменить метод лечения (БИОС).
|
[
Ответить ]
|
Re: Фрагментарный перелом большеберцовой кости
Bagrat Grigoryan 29 Январь 2012, 12:27
|
На мой взгляд, впоне приемлен БИОС с антибиотикоподдержкой, одновременно удалить метал из лодыжек
|
[
Ответить ]
|
Re: Фрагментарный перелом большеберцовой кости
Андрей Мелешкин 29 Январь 2012, 14:58
|
1)Использовать пленку. 2)Удалить металлофиксаторы из внутренней лодыжки. 3)БИОС 4)Удалить металлофиксаторы из наружной лодыжки, радикально почистить (когда-то все равно придется это делать). 5)Хорошая терапия: а\б по чувствительности, актовегины ... . Думаю лучше рискнуть нежели пациент будет искать продлемы на вытяжении, потом разрабатывать контрактуры. А все это время - врачей и пацента будут донимать лигатурные свищи на наружной поверхности г\стопного сустава.
|
[
Ответить ]
|
Re: Фрагментарный перелом большеберцовой кости
Николов Олег 30 Январь 2012, 20:01
|

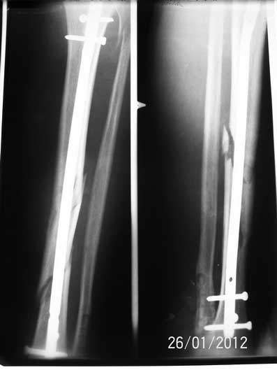
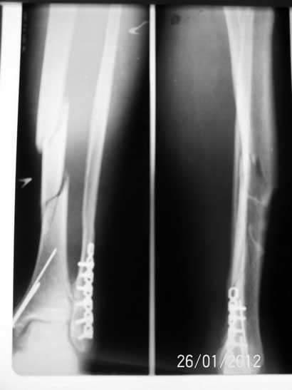
Спасибо всем откликнувшимся! Докладываю результат. Свищ после удаления лигатуры за неделю затянулся. Фиксаторы с лодыжек удалены, БИОС. Мы удовлетворены, пациент доволен.
|
[
Ответить ]
|
Re: Фрагментарный перелом большеберцовой кости
Отправитель: Станислав Дмитриев 01 Февраль 2012, 20:38
|
Гвоздь-то, Sanatmetal,вроде? Впрочем, неважно, все равно канюлированный... А вот при наличии инфекции, даже бывшей, лучше сОлидный гвоздь.
|
[
Ответить ]
|
|
Re: Фрагментарный перелом большеберцовой кости
Андрей 31 Январь 2012, 00:46
|
Ув. Олег!
Напишите что за технологии Вы используете!
1. Снимок датирован 260112 (как исходный так и послеоперационный)
2. ЗАЧЕМ СПРАШИВАТЬ СОВЕТА 27012012!!!
3. Если похвалиться то мне понравилось.
Прошу коллег выразить свое мнение по поводу - может я не прав или молод!
|
[
Ответить ]
|
Re: Фрагментарный перелом большеберцовой кости
Отправитель: Николов Олег 01 Февраль 2012, 17:25
|
Ув. Андрей! Это не было желанием похвалиться. Это было желание услышать мнение незаинтерисованных коллег. Просто нам было настойчиво рекомендовано оперировать открыто пластиной. Хотелось узнать найдет ли кто в данной ситуации преимущества использования пластины перед БИОС, мы таки не нашли - и вот результат.
|
[
Ответить ]
|
|
Re: Фрагментарный перелом большеберцовой кости
Alexander Chelnokov 31 Январь 2012, 01:50
|
И перелом это не "фрагментарный", т.е. оскольчатый, а "сегментарный", т.е. двойной.
|
[
Ответить ]
|
Re: Фрагментарный перелом большеберцовой кости
Отправитель: Pavel Ivanov 02 Февраль 2012, 00:51
|
Александр Николаевич, ну Вы даете!
Являясь известным в медицинских кругах буквоедом не могу терпеть такое мракобесие!
И перелом это не "фрагментарный", т.е. оскольчатый, а "сегментарный", т.е. двойной.
Alexander Chelnokov
Меня учили следующему (то есть, если я вдруг окажусь не прав, то я не виноват).
Для длинных костей конечностей при внесуставном переломе:
отломок - это часть сломанной кости, содержащая ее суставной конец (их всегда два при подобном повреждении);
фрагмент - свободная часть метадиафиза сломанной кости, имеющая всю длину окружности кортикального слоя;
осколок - часть сломанной кости, которая имеет лишь часть окружности кортикального слоя.
Сегментарный - дефиниция, использующаяся при описание предмета, имеющего отношение ко всему сегменту конечности (напр., к бедру, голени, стопе).
Схему нарисовал. Прилагаю.

Так что оскольчатый и фрагментарный (двойной) перелом это разные ситуации.
Все. Пойду пить валерьянку.
Павел Иванов
отделение множественной и сочетанной травмы
НИИСП им. Н.В. Склифосовского
г. Москва
|
[
Ответить ]
|
Re: Фрагментарный перелом большеберцовой кости
Отправитель: Alexander Chelnokov 02 Февраль 2012, 01:09
|
Павел, дорогой, это местечковая фанаберия. То есть надуманные определения, которые приняты в каких-то ограниченных сообществах. В наших краях, например, учили по-другому.
Не будем забывать, однако, что давно есть более чем общепринятая классификация OTA/AO. И, по счастью, кое-что там практически не требует перевода. Как раз, в частности, про segmental fracture, а также segmental fragment: сегментарный перелом, сегментарный фрагмент - можно просто делать "кальку" на русский.

Можно, конечно, упрямо переводить "segmental" как "фрагментарный". А "segmental fragment" вместо очевидного "сегментарный фрагмент", или "промежуточный сегментарный отломок", придется переводить как "фрагментарный фрагмент", ой нет, как "фрагментарный обломок", то ли осколок, то ли отломок... Или "кусочек" даже, для пущей самобытности.
Или все-таки предпочесть глобально принятые определения?
|
[
Ответить ]
|
Re: Фрагментарный перелом большеберцовой кости
Отправитель: Pavel Ivanov 03 Февраль 2012, 02:09
|
Александр Николаевич, Вы противоречите глобальной общепринятой классификация классификации OTA/AO! Вот и Алексей Юрьевич Вас поправляет.Он пишет:
Согласно международной классификации переломов длинных костей AO/ASIF/OTA, признанной SICOT, есть категории переломов диафиза
ПРОСТЫЕ (simple - one fracture line, cortical contact between fragments exceed 90% after reduction),
КЛИНОВИДНЫЕ (wedge - three or more fragments, main fragnents have contact after reduction) и
СЛОЖНЫЕ (complex - three or more fragments, main fragments have no contact after reduction).
То есть, фрагменты есть при любом переломе. То есть, любой перелом является фрагментарным. Но ведь не каждый перелом является оскольчатым. Значит фрагментарный и оскольчатый - это не синонимы, значит фрагмент и осколок не одно и тоже.
Александр Николаевич, соглашайтесь на мою точку зрения. Не упрямьтесь.
Алексей Юрьевич, спасибо, что помогли вразумить главного идеолога интернет-ресурса. Хотя и Вы немного заблуждаетесь, когда пишете
Так что, никаких оскольчатых и фрагментарных переломов нет, .....
Это у них там за границей нет. А у нас сплошь и рядом.
До встречи.
--
С уважением,
Павел Иванов
отделение множественной и сочетанной травмы
НИИСП им. Н.В. Склифосовского
г. Москва
|
[
Ответить ]
|
Re: Фрагментарный перелом большеберцовой кости
Отправитель: Alexey Semenisty 03 Февраль 2012, 01:34
|
Ваши, Павел Анатольевич, доводы вполне понятны. Тем не менее, Согласно международной классификации переломов длинных костей AO/ASIF/OTA, признанной SICOT, есть категории переломов диафиза
ПРОСТЫЕ (simple - one fracture line, cortical contact between fragments exceed 90% after reduction),
КЛИНОВИДНЫЕ (wedge - three or more fragments, main fragnents have contact after reduction) и
СЛОЖНЫЕ (complex - three or more fragments, main fragments have no contact after reduction).
Т.е. в обсуждаемом случае перелолм СЛОЖНЫЙ, тип С (complex, type C).
Сложные переломы в свою очередь делят в зависимости от основного травмирующего механизма на СПИРАЛЬНЫЕ (spiral) С.1, механизм - ротация, скручивание; СЕГМЕНТАРНЫЕ (segmental) C.2, механизм - сгибание; и ИРРЕГУЛЯРНЫЕ (irregular) С.3 - может быть сочетание различных механизмов
прямого и непрямого воздействия высокой энергии.
Так что, никаких оскольчатых и фрагментарных переломов нет, но, не думаю, что это повод пить валерьянку:)
С уважением, А.Семенистый.
ГКБ № 13, Москва.
|
[
Ответить ]
|
Re: Фрагментарный перелом большеберцовой кости
Отправитель: Alexander Chelnokov 04 Февраль 2012, 01:24
|
КЛИНОВИДНЫЕ (wedge - three or more fragments, main fragnents have contact after reduction) и
Вот тут IMHO вряд ли надо настойчиво добиваться внедрения именно дословного перевода. Доводится иногда слышать, кое-кто уже пытается говорить "клиновидный перелом", а мне, например, это ужасно режет слух. Wedge дословно действиельно "клин", но смысловой перевод wedge fracture вполне есть: оскольчатый перелом. Spiral wedge - спиральный оскольчатый, bending wedge - поперечный оскольчатый. Это практически полное соответствие смыслу привычной русскоязычной терминологии.
Так что, никаких оскольчатых и фрагментарных переломов нет, но, не думаю,
что это повод пить валерьянку:)
Оскольчатые все-таки давайте оставим pls, это вполне адекватный термин - это где по-английски пишут wedge. А "фрагментарные" - это когда "образованность свою хочут показать", использовать наукообразное слово заграничного происхождения вместо простого и понятного "оскольчатый".
|
[
Ответить ]
|
|
Re: Фрагментарный перелом большеберцовой кости
l 01 Февраль 2012, 00:09
|
а свищ не свищ, а неудаленная лигатура. Хмэ....
|
[
Ответить ]
|
Re: Фрагментарный перелом большеберцовой кости
Андрей 03 Февраль 2012, 02:49
|
Товарищи!
Моя мысля звучит так - без кт мы не узнаем что за перелом оскоки, сегменты? (можно открыть-посмотреть):).
З.Ы. ПОБЕДИТЕЛЕЙ НЕ СУДЯТ С ПРОИГРАВШИМИ РАСПРАВЛЯЮТСЯ!
З.З.Ы. Ответьте на 2-3 пукт вопроса
|
[
Ответить ]
|
Re: Фрагментарный перелом большеберцовой кости
Андрей Волна 04 Февраль 2012, 00:24
|
Очень интересная ситуация. Небольшая провокация автора поста, принявшего, как оказалось, решение по запрашиваемому вопросу ещё до публикации, вылилась в интересную дискуссию по классификации переломов. Отсюда первый вывод, очевидный, во всяком случае, для меня. Если провокация эффективна – она имеет право на существование. Ибо так же способна породить движение мысли. Естественно, с последующими разъяснениями и корректными «саморазоблачениями» автора. Ибо это игра. А игра может и должна быть частью эффективного обучения, в том числе и самообучения.
Второй вывод – трудно предсказать, к чему дела и движения (пост) твои приведут. Так как все мыслят разнообразно. И это так же хорошо. Что мы и имеем в данном случае. Как говорил Мичурин, правильно привитая веточка (в нашем случае привитая Ивановым, Челноковым и Семенистым) может дать лучший урожай, чем невыразительное древо (в данном случае – «ствол», основная мысль автора поста).
И так, позвольте вмешаться в спор, коллеги (и Семенистый). Повторю банальное, но невозможно без этого. Так как перед всякой дискуссией дОлжно договориться о понятиях и терминах. Априори: классификация есть язык общения. Язык общения специалистов. Общепринятый язык. Общепринятый потому, что понятен всем. А значит, язык может объяснить и СТАНДАРТИЗИРОВАТЬ ситуацию. Не больше. Но, и не меньше. И чем бОльшему кругу травматологов понятен этот язык, тем он лучше, а, значит, и классификация сноровистей для пользования. Есть там у классификаций и другие функции – прогнозирование результатов, создание матрицы для планирования и так далее. Но. Основное – язык и стандартизация. Определение. Поиск своего понятного места для каждого перелома. А, значит, это и есть классификация.
Все джентльмены (и Семенистый ) выше говорят:
«Согласно международной классификации переломов длинных костей AO/ASIF/OTA, признанной SICOT, есть категории переломов диафиза
ПРОСТЫЕ (simple - one fracture line, cortical contact between fragments exceed 90% after reduction),
КЛИНОВИДНЫЕ (wedge - three or more fragments, main fragмents have contact after reduction) и
СЛОЖНЫЕ (complex - three or more fragments, main fragments have no contact after reduction).»
Все согласны? ДОлжно использовать международную классификацию. Там и есть решение. Общепризнанное, причём, решение. Так в чём же спор? Давайте руководствоваться прямым переводом, как справедливо говорит Александр. Но, но, но! Дело в том, что русский язык, особенно в данном разделе, литературно богаче английского. Литературно-то язык богаче, но, это значит, что текстологический, с точки зрения формулирования чётких определений, много сложнее. К сожалению. Поэтому в русской терминологии важны: 1. Текст и значение. 2. Подтекст и субзначение. 3. Смысловая общепринятая договорённость. И всё это ещё и меняется во времени, блин.
Но, стартовать нужно от общепринятого. От AO/ASIF/OTA. Если мы хотим определённости и международного языка. Хотим. Поэтому стартуем. И сразу, Павел, Вы пишите: «Для длинных костей конечностей при внесуставном переломе:
отломок - это часть сломанной кости, содержащая ее суставной конец (их всегда два при подобном повреждении);
фрагмент - свободная часть метадиафиза сломанной кости, имеющая всю длину окружности кортикального слоя;
осколок - часть сломанной кости, которая имеет лишь часть окружности кортикального слоя.
Сегментарный - дефиниция, использующаяся при описание предмета, имеющего отношение ко всему сегменту конечности (напр., к бедру, голени, стопе).».
Согласен с Сашей. Неприемлемо. Неприменимо. Местечково. Поэтому, даже если и умно – не используется. Ну, кто сейчас отломком называет часть кости, содержащую суставной конец? Пичхадзе? И где он? И где конец? И кому это понятно? И кому это может быть понятно именно на сегодняшний день? Не прижилось. Хотя и выглядит логичным. Судьба…
И так, пытаемся разобраться. И следуем от вышеупомянутой общепринятой классификации.
ПРОСТОЙ перелом. После анатомичной репозиции – полный контакт между проксимальным и дистальным отломками. Ну, может быть и чуть неполный (не более, чем на 10%). Так сказать, поправка на «костную пыль». То есть, никаких осколков, отломков и сегментов. Перелом-то простой! НО, вот он, русский язык! Вполне допустимо при простом переломе называть проксимальную (и дистальную) часть сломанной кости проксимальным (и дистальным) отломком. Проксимальным и дистальным фрагментом сломанной кости. Так как согласно Ожегову – ОТЛОМОК – это отломившаяся часть, кусок целого. ФРАГМЕНТ – так же кусок, осколок, отломок, часть целого. Так мы и говорим, заметьте. По-русски. Такой вот язык. Главное – это полный, (минимум 90%) контакт между главными проксимальным и дистальным отломками (фрагментами) после репозиции. И точка. НО, мы никогда не назовём простой перелом фрагментарным, оскольчатым или сегментарным. Таково применение языка.
КЛИНОВИДНЫЙ перелом. Значит, после репозиции будет, будет контакт между основными отломками. НО, меньше 90% возможной площади контакта. Такой перелом мы с удовольствием назовём оскольчатым. Ибо ОСКОЛОК есть, согласно словарю, отколовшаяся часть. И применение языка здесь устоявшееся. При этом вот эту мелочь мы можем назвать и осколками, и фрагментами, и мелкими отломками. И опять же, как и при простом переломе, вполне допустимо при клиновидном переломе называть проксимальную (и дистальную) часть сломанной кости проксимальным (и дистальным) отломком. Проксимальным и дистальным основными фрагментами сломанной кости. В целом же клиновидный перелом, повторюсь, мы с удовольствием назовём оскольчатым. Но, никогда – фрагментарным. Но, никогда – сегментарным.
СЛОЖНЫЙ перелом. Фух, наконец-то. НЕТ контакта ПОСЛЕ РЕПОЗИЦИИ между основными отломками (проксимальным и дистальным фрагментами). А, между ними есть осколки, фрагмент (ы), отломки, сегмент сломанной кости. Кстати, СЕГМЕНТ – отрезок, часть чего-либо. Так что сложный перелом может по-русски называться и оскольчатым. Он же – фрагментарный. Он же – сегментарный. Только оскольчатый может быть и клиновидным. А вот фрагментарный или сегментарный – только сложным. Остальная детализация есть у Мюллера и Семенистого. Остальное – от лукавого. Это по-русски. А вы как хотели? Такой язык. Красивый и великий. Но, не всегда однозначный.
С уважением, Андрей.
|
[
Ответить ]
|
Re: Фрагментарный перелом большеберцовой кости
Бережной Сергей 04 Февраль 2012, 14:02
|
Замечательно сказано про богатство и неоднозначность русского языка. Который мы настойчиво пытаемся втиснуть в рамки буквальных и дословных переводов. Вот и получается, что оскольчатых переломов у нас нет, зато есть иррегулярные. По-моему, достаточный повод если не пить валерианку, то точно задуматься. В моей голове уже давно свербит мысль о необходимости создания группы экспертов по переводу и адаптации к русскому языку принятых в англоязычной литературе терминов. Пусть не всех, но новых или не имеющих однозначного перевода. Может быть даже на форуме такую рубрику организовать? Чтобы, например, Tailor's disease (болезнь портных) не переводилась даже в серьезных работах как болезнь Тейлора. Не так давно я обращался к форуму с вопросом о российском эквиваленте широко используемого сейчас термина Turf-toe (боль под 1 плюснефаланговым суставом, связанная с хронической перегрузкой и травматизацией этой области у спортсменов, бегающих на дорожках с особым искусственным покрытием в спортивной обуви на тонкой подошве). Ни одного ответа не получил. Оно и понятно, без 100 граммов тут не разберешься, не то что без группы экспертов. А буквально перевести на русский, получится торфяной палец. Тоже ерунда.
|
[
Ответить ]
|
Re: Фрагментарный перелом большеберцовой кости
Отправитель: Anton Bekhterev 05 Февраль 2012, 07:12
|
Слишкам многа буков :)
Если серьезно, то может не заниматься адаптацией терминов, но просто быть грамотным врачом, читающим современную медицинскую литературу. Тогда в общении с коллегами при упоминании "Turf-toe" (8 знаков) оба буду иметь в виду "боль под 1 плюснефаланговым суставом, связанную с хронической
перегрузкой и травматизацией этой области у спортсменов, бегающих на дорожках с особым искусственным покрытием в спортивной обуви на тонкой подошве" (213 знаков)?
|
[
Ответить ]
|
Re: Фрагментарный перелом большеберцовой кости
Отправитель: Бережной Сергей 05 Февраль 2012, 13:07
|
Да ведь специально и выбрал такой сложный пример. Потому что, кроме непосредственного общения между собой грамотных коллег, есть еще научные статьи на русском языке, учебники, руководства, где термины должны либо оставляться без перевода и быть понятными для всех. А данная дискуссия показала, что даже, казалось бы, простые слова могут пониматься по-разному. Либо иностранным терминам должны подбираться соответствующие эквиваленты на русском. Путем буквального перевода, что нередко приводит к курьезам, или путем адаптации термина, которая часто сложна и может требовать согласия между специалистами. Вот только 2 примера из недавних сообщений на форуме: экономное "дефектование" суставных концов при артродезе и "вальгирование" первого пальца. Если ничего в этих фразах не режет слух, значит взаимопонимание между читающими современную медицинскую литературу специалистами вполне достигнуто.
|
[
Ответить ]
|
|
( Ответить )
|
|