Ответить
|
Re: Перипротезный перелом дистального отдела бедра
Батал Шушания 09 Май 2017, 18:43
|
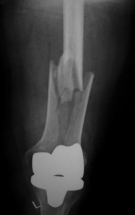
Как, исходя из этих снимков, можно понять, осталось ли связь бесцементного бедренного компонента с массивными костными фрагментами мыщелков бедренной кости или нет? И каково состояние мыщелков бедренной кости. Я бы сделал КТ с 3 D реконструкцию и сегментированием на имплант и костные фрагменты. Тогда могу порассуждать, а сейчас это разговор для студентов травматологов.
|
[
Ответить ]
|
Re: Перипротезный перелом дистального отдела бедра
Сухайл Носиров 09 Май 2017, 18:43
|
консервативное лечение скелет
|
[
Ответить ]
|
Re: Перипротезный перелом дистального отдела бедра
Алексей Гордеев 09 Май 2017, 18:44
|
Да, побольше бы информации..)
|
[
Ответить ]
|
Re: Перипротезный перелом дистального отдела бедра
Денис Николаев 09 Май 2017, 18:44
|
Возможен БИОс.
|
[
Ответить ]
|
Re: Перипротезный перелом дистального отдела бедра
Валера Ти 09 Май 2017, 18:45
|
Начать со скелетного, а потом аппарат
|
[
Ответить ]
|
Re: Перипротезный перелом дистального отдела бедра
Батал Шушания 09 Май 2017, 18:45
|
Здесь возможно все что угодно, что взбредет в голову местному травматологу и что не противоречит закону.
|
[
Ответить ]
|
Re: Перипротезный перелом дистального отдела бедра
Фёдор Кузьмин 09 Май 2017, 18:50
|

эКак оказалось в нашей ЦРБ сделали уже сегодня шеф решил без СТ. Пациент 41 года с большим количеством патологии. То есть полных 76 лет.
|
[
Ответить ]
|
Re: Перипротезный перелом дистального отдела бедра
Марат Аймалетдинов 09 Май 2017, 18:51
|
Норм остеосинтез но я в данном случае только за аппарат
|
[
Ответить ]
|
Re: Перипротезный перелом дистального отдела бедра
Владимир Савчик 09 Май 2017, 18:53
|
Можно было бы обойму сделать, но, учитывая возраст...
Типа вот такой...

|
[
Ответить ]
|
Re: Перипротезный перелом дистального отдела бедра
Отправитель: Батал Шушания 09 Май 2017, 18:53
|
Это система индивидуального решения пациент-специфический имплант? Или - можно поподробнее?
|
[
Ответить ]
|
Re: Перипротезный перелом дистального отдела бедра
Отправитель: Владимир Савчик 09 Май 2017, 18:54
|
Совершенно верно. Можно выполнить индивидуально.
|
[
Ответить ]
|
Re: Перипротезный перелом дистального отдела бедра
Отправитель: Владимир Савчик 09 Май 2017, 18:58
|
Как здесь, например...

|
[
Ответить ]
|
Re: Перипротезный перелом дистального отдела бедра
Отправитель: Батал Шушания 09 Май 2017, 18:59
|
Интересно. Это Ваша инжиниринговая компания? 3d печать и программное обеспечение.
Теперь я понял связь между Вами и профессором Алексеем Бабовниковым. Хорошее направление, перспективное , требующая накопления опыта
|
[
Ответить ]
|
Re: Перипротезный перелом дистального отдела бедра
Отправитель: Батал Шушания 09 Май 2017, 19:12
|
Ну и хорошо - время рассудит - хороший экзаменатор - по крайней мере, если расшатается бедренный компонент, будет куда его сажать.
|
[
Ответить ]
|
Re: Перипротезный перелом дистального отдела бедра
Отправитель: Владимир Савчик 09 Май 2017, 19:12
|
Или комбинированную систему с фиксацией... Быстрой консолидации перелома в этом случае точно ждать не приходится...
|
[
Ответить ]
|
|
Re: Перипротезный перелом дистального отдела бедра
Алексей Бабовников 09 Май 2017, 19:13
|
Под серкляжом ждите секвестр
|
[
Ответить ]
|
Re: Перипротезный перелом дистального отдела бедра
Отправитель: Батал Шушания 09 Май 2017, 19:13
|
Не факт, возможность формирования секвестра имеет место, но он не равняется 100 процентам
|
[
Ответить ]
|
Re: Перипротезный перелом дистального отдела бедра
Отправитель: Владимир Савчик 09 Май 2017, 19:14
|
Батал, рекомендую прислушаться к профессору Алексею Бабовникову, по моему опыту лучший специалист.
|
[
Ответить ]
|
Re: Перипротезный перелом дистального отдела бедра
Отправитель: Батал Шушания 09 Май 2017, 19:14
|
Да я готов к кому угодно прислушиваться, лишь бы видеть результаты работы
|
[
Ответить ]
|
Re: Перипротезный перелом дистального отдела бедра
Отправитель: Марат Аймалетдинов 09 Май 2017, 19:21
|
А с чего вдруг секвестр должен быть под серкляжом ?
|
[
Ответить ]
|
|
Re: Перипротезный перелом дистального отдела бедра
Norayr Zakharyan 09 Май 2017, 19:19
|
Принципиальный момент- стабилен ли бедренный компонент? Если компонент изначально стабилен, что в данном случае мало вероятно), то все ок. Наилучшие результаты при использовании ИМ остеосинтеза (хотя могут быть проблемы с репозицией и размером гвоздя), затем блокированные пластины, затем все остальное ( последнее время много статей про применение аппаратов наружной фиксации). В данном случае длинна пластины корректная, но в зоне перелома слишком много металла, выше перелома должно быть 4-5 винтов, все бикортикально, с чередованием с пустыми отверстиями. То, что внизу торчат винты не очень good, но не так страшно. Консервативное лечение сопряжено с высоким риском летальности в течение первого года после травмы, вполне сравнимым с не оперированными шейками. Ключевой вопрос - стабильность бедренного компонента, теперь риторический).
|
[
Ответить ]
|
Re: Перипротезный перелом дистального отдела бедра
Отправитель: Батал Шушания 09 Май 2017, 19:19
|
Об этом и речь, о чем было сказано в начале данной дискуссии. Ключевой вопрос - стабильность бедренного компонента.
|
[
Ответить ]
|
|
Re: Перипротезный перелом дистального отдела бедра
Батал Шушания 09 Май 2017, 19:20
|
А вообще, хороший случай , хороший пост. Заставляет задуматься и перелопатить свои знания и книжки, уйти от обыденности. Спасибо автору.
|
[
Ответить ]
|
Re: Перипротезный перелом дистального отдела бедра
Алексей Скаржинский 09 Май 2017, 19:22
|
После консолидации основного костного массива будет ясно по поводу стабильности компонента. Отлично получилось!
|
[
Ответить ]
|
Re: Перипротезный перелом дистального отдела бедра
Валера Ти 09 Май 2017, 19:22
|
Взять бы сварщика и приварить бедренный компонент к длинной пластине, но пока об этом приходится только мечтать )))
|
[
Ответить ]
|
Re: Перипротезный перелом дистального отдела бедра
Иван Горелов 09 Май 2017, 19:23
|
А если попробовать Остеосинтез с ревизией бедренного компонента?
|
[
Ответить ]
|
Re: Перипротезный перелом дистального отдела бедра
Михаил Панин 09 Май 2017, 19:24
|
А что правда кто-либо считает этот остеосинтез хорошим? По-моему беда! Шансов на сращение крайне мало, а для пожилого человека это может быть конец. Все принципы нарушены...
|
[
Ответить ]
|
Re: Перипротезный перелом дистального отдела бедра
Отправитель: Михаил Панин 09 Май 2017, 19:25
|
76 лет, остеопороз. В таких условиях требуется максимальное сохранение кровоснабжения в зоне перелома и фиксация с соблюдением принципа шинирования. Оно может быть накостным, интрамедуллярным или при помощи АНФ. В данном случае операция открытая, очень травматичная, куча винтов в зоне перелома, которые там неизвестно зачем, ну и серкляжи, которые могут стать последней каплей в убийстве кости. Из хорошего это действительно длина пластины, но при таком расположении винтов она (длина) не работает
|
[
Ответить ]
|
Re: Перипротезный перелом дистального отдела бедра
Отправитель: Марат Аймалетдинов 09 Май 2017, 19:46
|
Михаил, тогда про любой остеосинтез так можно говорить
|
[
Ответить ]
|
Re: Перипротезный перелом дистального отдела бедра
Отправитель: Михаил Панин 09 Май 2017, 20:01
|
Не про любой
|
[
Ответить ]
|
Re: Перипротезный перелом дистального отдела бедра
Отправитель: Марат Аймалетдинов 09 Май 2017, 20:02
|
Поставлено не плохо. А травматизация ?
|
[
Ответить ]
|
Re: Перипротезный перелом дистального отдела бедра
Отправитель: Михаил Панин 09 Май 2017, 20:03
|
Репозиция закрытая при помощи дистрактора, минидоступы, ранняя нагрузка...
|
[
Ответить ]
|
Re: Перипротезный перелом дистального отдела бедра
Отправитель: АА 09 Май 2017, 23:29
|
100% согласен, через пару месяцев ждите сюрприза, изначально всё неверно, начиная с обследования, коль выкладываетесь на форум - прислушивайтесь к мнениям. Первая и самая главная ошибка, отсутствие полноценного обследования и как следствие предоперационного планирования (а здесь оно как нигде было необходимо), Вам Батал Шушания дал рекомендации которые Вы полностью проигнорировали и к тому же остеосинтез оставляет желать лучшего, начиная с выбора импланта. А сейчас, что уже рассуждать дело сделано, необходимо надеяться на природу, она допускает меньше ошибок и иногда исправляет наши. Удачи. Спасибо.
|
[
Ответить ]
|
|
Re: Перипротезный перелом дистального отдела бедра
Alexander Chelnokov 09 Май 2017, 19:26
|
Скорее всего, бедренный компонент не отклеился, так что это Rorabeck-Lewis II. Традиционный вариант - пластина с угловой стабильностью закрыто. Или две, чтобы от варусного коллапса подстраховаться. Мне больше бы импонировал антеградный закрытый интрамедуллярный остеосинтез.
|
[
Ответить ]
|
Re: Перипротезный перелом дистального отдела бедра
Марат Аймалетдинов 09 Май 2017, 20:08
|
Федор, через месяцев 6-8 ждём контрольных снимков и надеемся на успех, да бы победителей не судят...
|
[
Ответить ]
|
Re: Перипротезный перелом дистального отдела бедра
Norayr Zakharyan 09 Май 2017, 23:29
|
Добрый вечер, джентельмены!
1. Чаще всего у пациентов этого возраста перипротезный перелом после ЭПКС - последствие низкоэнергетический травмы на фоне выраженного остеопороза. Т.е. согласен с Михаил Панин, что следует поберечь кровоснабжение.
2. При определении тактики лечения таких пациентов, если оперативное лечение конечно возможно, ключевыми являются два фактора: стабильность бедренного компонента и размер дистального фрагмента. Если бедренный компонент нестабилен об остеосинтезе речи быть не может.
3. Использование двух пластин -как предлагает Александр Челноков, по моему неоправданная импровизация.
Варус-коллапс наблюдается чаще при использовании неблокированных пластин. Достоверно известно, что при использовании блокированных пластин, пластин с клинком вероятность варус-коллапса относительно низкая. В данном случае можно рассмотреть даже вариант пластины с клинком или DCS, так как бедренный компонент не заднестабилизированный.
4. Принципы мостовидного остеосинтеза на показанных картинках не реализованы, в этом Панин безусловно прав.
5. Классификация Rorabeck устарела и не практична (обратите внимание большинство перипротезных переломов после ЭПКС -Rorabeck 2))), что это нам дает?).
6. Михаил Панин, Ваш случай безусловно сделан с соблюдением принципов АО, но верхний винт в шейку ))) Why)?.
|
[
Ответить ]
|
Re: Перипротезный перелом дистального отдела бедра
Отправитель: Alexander Chelnokov 09 Май 2017, 23:39
|
двух пластин -как предлагает Александр Челноков, по моему неоправданная импровизация
Это по-Вашему. А в журнале "Здоровье" пишут>, что стоящее дело.
|
[
Ответить ]
|
Re: Перипротезный перелом дистального отдела бедра
Отправитель: Norayr Zakharyan 10 Май 2017, 00:06
|
пацаны из Египта конечно красавцы) и публикуются в достойной печати, но:
1. 12 случаев - не очень много.
2. У меня есть подборка из приблизительно сотни статей по перипротезным после ЭПКС, где ни разу не рекомендовано фиксировать перелом двумя пластинами. А существуют какие либо аналогичные работы кроме этой и каковы описанные результаты?
|
[
Ответить ]
|
Re: Перипротезный перелом дистального отдела бедра
Отправитель: Alexander Chelnokov 10 Май 2017, 00:27
|
Есть классическая работа https://www.ncbi.nlm.nih.gov/pubmed/2002071, есть https://iths.pure.elsevier.com/en/publications/double-plating-of-distal-femur-fractures-indications-and-techniqu; https://synapse.koreamed.org/DOIx.php?id=10.12671%2Fjksf.1997.10.4.778&vmode=PUBREADER
Да и практики хватает.

|
[
Ответить ]
|
Re: Перипротезный перелом дистального отдела бедра
Отправитель: Norayr Zakharyan 10 Май 2017, 00:52
|
Получается, что кроме статьи из Египта есть ряд статей о переломах дистального бедра без эндопротеза (здесь соглашусь, что принципы остеосинтеза те же), которые датированы до 2000 года. Если учитывать, что эра блокированных пластин наступила в 90-ых, а первый ретроградный блокированный остеосинтез после ЭПКС в западной литературе датирован 1994 годом, то пазл складывается. Такая тактика приемлема для неблокированных пластин - загляните в ваши ссылки. Я этого не отрицал, вы же предлагали две пластины с угловой стабильностью, что я продолжаю считать неоправданным, несмотря на все уважение к Вашей практике.
|
[
Ответить ]
|
Re: Перипротезный перелом дистального отдела бедра
Отправитель: Alexander Chelnokov 10 Май 2017, 01:27
|
Я говорил, что предпочел бы антгеградно заштифтовать. Если уж пошли на накостный, да еще и открытый, дополнительная медиальная пластина - давно апробированное и общеизвестное дополнение. Не нужна ей угловая стабильность.
|
[
Ответить ]
|
Re: Перипротезный перелом дистального отдела бедра
Отправитель: Norayr Zakharyan 10 Май 2017, 01:27
|
Моя ремарка касалась Вашего тезиса о двух пластинах с угловой стабильностью:
|
[
Ответить ]
|
Re: Перипротезный перелом дистального отдела бедра
Отправитель: Alexander Chelnokov 10 Май 2017, 01:29
|
Ну да, все правильно. Подразумевалось, что просто две пластины. Очевидно, что вторую необязательно с угловой стабильностью. Все это хрестоматийные вещи ведь. Заглянул в Rockwood's Fracures in Adults (2015) - вот полстранички оттуда.
|
[
Ответить ]
|
Re: Перипротезный перелом дистального отдела бедра
Отправитель: Norayr Zakharyan 10 Май 2017, 01:34
|
Я написал, при применении блокированной пластины практической необходимости использовать вторую нет.
PS: С учётом того, что ретроградный остеосинтез после ЭПКС часто сопряжён со сложностями репозиции, ограничениями выбора гвоздя соответствующего размера, гиперэкстензией дистального фрагмента характер перелома вполне позволяет выполнить антеградный остеосинтез.
|
[
Ответить ]
|
Re: Перипротезный перелом дистального отдела бедра
Отправитель: Alexander Chelnokov 10 Май 2017, 01:35
|
>практической необходимости использовать вторую нет.
Необходимость - это вышеупомянутая высокая встречаемость несостоятельности фиксации.
А за антеградный остеосинтез при перипротезных переломах дистального бедра меня агитировать не нужно :-) Я на эту тему года 3 назад на обществе Кюнчера и еще где-то доклад на эту тему делал.
|
[
Ответить ]
|
Re: Перипротезный перелом дистального отдела бедра
Отправитель: Norayr Zakharyan 10 Май 2017, 01:36
|
Очень не однозначные картинки. Это вряд ли образец идеального остеосинтеза). Приятно было с Вами общаться давайте расстанемся каждый при своём мнении.
|
[
Ответить ]
|
Re: Перипротезный перелом дистального отдела бедра
Отправитель: Alexander Chelnokov 10 Май 2017, 01:49
|
Чего в этих картинках неоднозначного? Дополнительная разгрузка медиальной колонны - это вполне легальная и известная опция.
"Образцы идеального остеосинтеза" существуют только в воображении. В руководствах представлены реализуемые на практике варианты остеосинтеза, решающие разбираемую клиническую задачу.
Это, в общем, не вопрос мнений - такой вариант безотносительно к ним существует, и иногда применяется. Он и в руководстве-то упоминается походя, как общеизвестный: "If a surgeon is using a medial approach to supplement lateral fixation, he or she should minimize soft tissue stripping to the absolute least amount possible to avoid problems with healing and/or infection."
|
[
Ответить ]
|
Re: Перипротезный перелом дистального отдела бедра
Отправитель: Norayr Zakharyan 10 Май 2017, 02:29
|
Да, не хотите прощаться))), тезисно:
1. Очень круто: остеосинтез внутрисуставного перелома дистального отдела бедра из Rockwoods как пример определения тактики при перипротезных переломах). Вы это серьёзно?)) По моему мягко говоря не однозначно и не приемлемо. Там другие цели, а следовательно и средства (восстановление суставной поверхности и тд.)
2. До сего момента Вы не привели ни одной свежей ссылки на остеосинтез двумя пластинами (если хоть одна из них блокированная) перипротезного перелома после ЭПКС.
3. Если Вы найдёте пару таких ссылок, я приведу Вам несколько десятков с одной блокированной пластиной и приемлемыми результатами лечения. Это означает, что доминирующим является мнение - одна блокированная пластина.
|
[
Ответить ]
|
Re: Перипротезный перелом дистального отдела бедра
Отправитель: Alexander Chelnokov 10 Май 2017, 02:29
|
1. А чего несерьезно? Перипротезные дают больше плохих результатов. Хотя цели одни - удержать до сращения. Несостоятельность фиксации проявляется что при перипротезных, что без эндопротеза - не на уровне суставной поврехности. 2. Мне старым, оказывается, представлялось очень новое!
Итак, статья в Injury (!) 2015 - еще за новое сойдет? И называется прямо в точку: "What is new in distal femur periprosthetic fracture fixation?" И в авторах сам P.Giannoudis!
Читаем: "New techniques in plating are the supplementary medial plate in selected cases..." - еще вопросы есть? Читайте журнал "Здоровье"! https://www.ncbi.nlm.nih.gov/pubmed/26654682
3. Да известны все эти работы. На маленьких сериях и 100% может быть. А если побольше наблюдений - как я выше писал.
|
[
Ответить ]
|
Re: Перипротезный перелом дистального отдела бедра
Отправитель: Norayr Zakharyan 10 Май 2017, 09:05
|
проблема в том, что я читаю, то что Вы мне присылаете)). Хорошая обзорная статья! Вы посмотрите не abstract , а саму статью. Там чётко написано:
1. in selected cases (про две пластины), описано в литературе.
2. И ссылка на товарища Kima, который у нас с Вами ранее упоминался и ещё всего на одну работу.
|
[
Ответить ]
|
Re: Перипротезный перелом дистального отдела бедра
Отправитель: Alexander Chelnokov 10 Май 2017, 09:09
|
>Там чётко написано
там написана экспертная оценка всего-то главреда журнала Injury - что "новая техника в лечении перипротезных переломов дистального бедра - дополнительная медиальная пластина в некоторых случаях". Обратите внимание, он не пишет, что это "неоправданная импровизация." Может, мало читал.
|
[
Ответить ]
|
Re: Перипротезный перелом дистального отдела бедра
Отправитель: Alexander Chelnokov 10 Май 2017, 02:30
|
Вот еще цитата "dual plating can be considered as an option to prevent varus deformity following collapse of the medial cortex due to lateral plating alone" из статьи 2015 https://www.ncbi.nlm.nih.gov/pmc/articles/PMC4349639/. Которая ссылается на эту статью: https://www.ncbi.nlm.nih.gov/pmc/articles/PMC3199707/.
|
[
Ответить ]
|
Re: Перипротезный перелом дистального отдела бедра
Отправитель: Norayr Zakharyan 10 Май 2017, 09:07
|
Прочёл обе, 2 случая)) двумя пластинами, в Индии - статистический апогей!
|
[
Ответить ]
|
Re: Перипротезный перелом дистального отдела бедра
Отправитель: Norayr Zakharyan 10 Май 2017, 09:07
|
Одна блокированная пластина (без медиальной), в паре статей сравнение с ИМ:
Vallier and Immler, 2012 : 70 случаев
Streubel et al., 2010: 61 случай
Adrian et al, 2013: 86 случаев
Hornef et al, 2013: 63 случая
Hoffman et al, 2012: 35 случаев
Platzer et al, 2010: 37 случаев
Ricci et al, 2006: 20 случаев
Могу еще 50 таких прислать, сколько нужно, чтобы убедить Вас, что медиальная пластина после ЭПКС это исключительно эксклюзив.
|
[
Ответить ]
|
Re: Перипротезный перелом дистального отдела бедра
Отправитель: Alexander Chelnokov 10 Май 2017, 18:39
|
>сколько нужно, чтобы убедить Вас, что медиальная пластина после ЭПКС
Надо не просто механически читать, а еще и понимать, чувствовать проблему. Медиальный коллапс - это типовая проблема остеосинтеза пластиной в этой области, такие там нагрузки. Да, angle stable пластины лучше им противостоят, но и с ними fixation failure в виде перелома пластины или винтов не исчезли. Дополнительная пластина с другой стороны решает проблему медиального коллапса, вот и все. А оценка степени риска этой опасности в конкретном случае - пока только интуитивная. И помнить про эту технику надо. И называть ее "неоправданной импровизацией" нет оснований.
|
[
Ответить ]
|
Re: Перипротезный перелом дистального отдела бедра
Отправитель: Norayr Zakharyan 10 Май 2017, 18:40
|
1. Во первых я не механистически, а достаточно дотошно читаю все, что Вы мне присылаете (и не abstract-ы, а сами статьи).
2. Фразы типа: нужно понимать и чувствовать и мой опыт - уважаю и принимаю, но считаю статистически не достоверными.
3. Что мы имеем в итоге: Статья из Египта (12 случаев), Case report из Индии (2 колена у одного пациента) и обзор литературы от квалифицированных авторов. В этом обзоре литературы (который я не механистически, а подробно и внимательно прочитал) есть только две ссылки на double plating: ссылка на биомеханическое исследование проведенное Muizelaar (2015), которое отражает преимущества прочности фиксации двумя пластинами (что вполне логично - три еще лучше! ) и ссылка на работы Kim - 14 случаев с двумя пластинами (последний кстати использует для определения метода остеосинтеза (одна или две пластины) классификацию Su)! Авторы рекомендуют использовать две пластины при переломах Su III (это короткий дистальный фрагмент) и уж точно не при таких как у нас. В данном случае они использовали бы одну пластину. Это все, что у нас есть в пользу двух пластин. А пользу одной пластины- неизмеримо больше.
4. Поверьте, я не плохо разбираюсь в этой теме, если Вам интересно сбросьте мне почту - я могу прислать Вам более 100 статей по этой тематике (не abstract -ов). Именно через эту призму я рассматриваю две пластины как импровизацию. 5.Одним из преимуществ блокированной пластины является миниинвазивность, при double plating мы лишаемся этого преимущества (дольше операция, кровопотеря, риск инфекционных осложнений и тд.)
|
[
Ответить ]
|
Re: Перипротезный перелом дистального отдела бедра
Отправитель: Alexander Chelnokov 10 Май 2017, 18:41
|
Я и подразумевал, что если только механически тщательно читать и считать про общепринятое, распространенное - то упускаешь суть. При этом подходе любая новая методика, по которой мало публикаций, будет с ходу отметаться как "неоправданная импровизация". И речь не об личном опыте, моем или чьем-то, а о том, что статистика при качественных отличиях вообще не сильно при чем. И сотни наблюдений "в пользу одной пластины" не перевесят даже единичные успешные наблюдения с альтернативной техникой. Не зря главред Injury в 2015 г. пишет в статье про новое в лечении перипротезных переломах дистального бедра - про дополнительную медиальную пластину. Сравнительные исследования будут позже, когда появятся вопросы о точных количественных аспектах, и будет материал для ответов. На уровне сегодняшнего знания мы можем только интуитивно предположить, какому пациенту стоило бы усилить фиксацию медиальной колонны. И тут personal preferences разнятся.
"Именно через эту призму я рассматриваю две пластины как импровизацию. " И ни разу не смущает, что главред Injury рассматривает это как заслуживающее упоминания новое?
И медиальную пластинку можно ввести миниивазивно. Хотя и одну латеральную зачастую миниинвазивно устанавливают только на словах.
|
[
Ответить ]
|
Re: Перипротезный перелом дистального отдела бедра
Отправитель: Alexander Chelnokov 10 Май 2017, 18:42
|
Clin Orthop Relat Res. 2016 Jun;474(6):1498-505. doi: 10.1007/s11999-016-4709-3. Epub 2016 Jan 21.
Addition of a Medial Locking Plate to an In Situ Lateral Locking Plate Results in Healing of Distal Femoral Nonunions.
Holzman MA1, Hanus BD2, Munz JW1, O'Connor DP3, Brinker MR1,4.
Author information
Abstract
BACKGROUND:
Nonunion of the distal femur after lateral plating is associated with axial malalignment, chronic pain, loss of ambulatory function, and decreased knee ROM. The addition of a medial locking plate with autogenous bone grafting can provide greater stability to allow bone healing and may be used to achieve union in these challenging cases.
QUESTIONS/PURPOSES:
We wished to determine (1) the proportion of patients who achieve radiographic signs of osseous union for distal femoral nonunions with an in situ lateral plate after treatment with addition of a medial locking plate and autogenous bone grafting, and (2) the frequency and types of complications associated with this treatment.
METHODS:
Between 2007 and 2013, we treated 22 patients for 23 distal femoral nonunions, defined as an unhealed fracture with no radiographic signs of osseous union at a mean of 16 months (SD, 13 months) after injury. During that time, we used a treatment algorithm consisting of treatment in one or two stages. The single-stage procedure performed in 16 aseptic nonunions with a stable lateral plate involved addition of a medial locking plate and autogenous bone graft. A two-stage treatment performed in seven nonunions with lateral plate failure involved placement of a new lateral locking plate followed by addition of a medial locking plate with autogenous bone graft at least 2 months after the first procedure. Of the 22 patients treated, 20 had a median followup of 18 months (SD, 6-94 months). We defined osseous union by bridging bone on three of four cortices with absence of a radiolucent line or more than 25% cross-sectional area of bridging bone via CT.
RESULTS:
Twenty of the 21 nonunions attained radiographic signs of osseous union by 12 months. Six of the 20 patients experienced complications: one patient had a persistent nonunion; four patients underwent removal of symptomatic hardware; and one patient experienced skin breakdown at the bone graft harvest site.
CONCLUSIONS:
A very high proportion of patients achieve union when using medial locking plates to treat distal femoral nonunions after lateral plating of the original injury. Addition of bone graft, staged reconstruction, and revision of the initial lateral plate is indicated when the nonunion is associated with fatigue failure of the initial lateral plate.
LEVEL OF EVIDENCE:
Level IV, therapeutic study.
https://www.ncbi.nlm.nih.gov/pubmed/26797911
|
[
Ответить ]
|
Re: Перипротезный перелом дистального отдела бедра
Отправитель: Norayr Zakharyan 10 Май 2017, 18:43
|
это еще круче ))) Покажите пожалуйста, где в последней статье что либо написано о перипротезных переломах после ЭПКС? Хорошо, о первичном остеосинтезе дистального отдела бедра? Где? Речь в ней идет о ложных суставах. Если я Вам скажу, что после первичного эндопротезирования надо 6 недель капать Ванкомицин, потому что есть какая-то такая статья про реэндопротезирование с похожими рекомендациями это будет правомочно?
|
[
Ответить ]
|
Re: Перипротезный перелом дистального отдела бедра
Отправитель: Alexander Chelnokov 10 Май 2017, 18:54
|
В этой статье написано о решении хорошо знакомой проблемы, возникающей в лечении переломов этой локализации. Срастаются они, знаете ли, не всегда хорошо. А перипротезные - еще хуже.
Я ж говорю - не надо читать "механически", и искать только буквальные соответствия.
А из названия упомянутой выше статьи "Preliminary testing of a novel bilateral plating technique..." (2015) - мы видим, что то, что Вам почему-то представилось "неоправданной импровизацией" не только применяется в клинике, но и проводится вполне добротное экспериментальное обоснование. Стоит задуматься, надо ли бросаться с поспешными вердиктами "неоправданной импровизации" на то, что не вписывается в знакомую схему.
|
[
Ответить ]
|
Re: Перипротезный перелом дистального отдела бедра
Отправитель: Norayr Zakharyan 10 Май 2017, 19:01
|
Складывается ощущение, что Вы читаете только названия или abstract -ы и пытаетесь предостеречь меня от как Вы называете "механистического" прочтения самих текстов. Если бы коллеги хотели бы написать о первичном применении этой методики наверно написали бы. Они пишут о ложных суставах, видимо потому что они так решили.
|
[
Ответить ]
|
Re: Перипротезный перелом дистального отдела бедра
Отправитель: Alexander Chelnokov 10 Май 2017, 19:02
|
>коллеги хотели бы написать о первичном применении
это в чистом виде то, что я никак не могу Вам объяснить, говоря про механическое чтение. Это не авторы "хотели бы написать", а читатели должны захотеть подумать над прочитанным, соотнести его с информацией из других источников, в т.ч. со своим опытом. Подумать над прочитанным про несращения, вспомнить, что они имеют связь с переломами, и догадаться, что это же решение имеет хорошие шансы на успех и в смежной проблеме.
|
[
Ответить ]
|
Re: Перипротезный перелом дистального отдела бедра
Отправитель: Norayr Zakharyan 10 Май 2017, 19:00
|
Хочу разочаровать Вас по поводу главреда (как Вы его называете)) журнала Injury. Если Вы откроете саму статью в Injury (искренне надеюсь, что Вы это уже видели), там во вступлении ни слова не написано об иновации и тренде double plating. А далее в самом тексте идет перечисление, в процессе которого упоминается работа Kim и соавторов. Такая постановка вопроса (новое, но для selected случаев)) есть только в абстракте Pubmed-а,
|
[
Ответить ]
|
Re: Перипротезный перелом дистального отдела бедра
Отправитель: Alexander Chelnokov 10 Май 2017, 00:00
|
Rorabeck 2))), что это нам дает?).
тактику. Остеосинтез, а не ревизия, и не консервативное лечение.
|
[
Ответить ]
|
Re: Перипротезный перелом дистального отдела бедра
Отправитель: Norayr Zakharyan 10 Май 2017, 00:53
|
По поводу классификации Rorabeck - несмотря на то, что она самая распространённая, Вы не хуже меня знаете, что есть более актуальные и практичные: Chen, OTA, Sofcot.
|
[
Ответить ]
|
|
Re: Перипротезный перелом дистального отдела бедра
Андрей Волна 10 Май 2017, 19:17
|
Количество эндопротезирований растёт, поэтому с подобными случаями придётся сталкиваться чуть не каждому из нас. Или каждому. Думаю, следование принципам - абсолютная стабильность вокруг компонентов протеза и относительная - вне, не может вызывать особых дискуссий.
К сожалению (при этом желаю и хирургу, и пациенту удачи), выполненное вмешательство оставляет крайне мало шансов больному. Именно потому, что для метадиафизарной части перелома доктор пытался добиться абсолютной стабильности. Что не приемлемо при остеопорозе. Там и случится проблема, возможно, в самое ближайшее время. Я бы использовал остеосинтез пластиной - миниинвазивный для метадиафизарной зоны (как я понимаю, мы предполагаем, что ножка стабильна? ОК). Вот эти винты и завитушки на диафизе лишние и только демонстрируют не вполне гуманное отношение к биологии в этой зоне.
И, если понимаешь принципы, то не совсем правильно отвергать необходимость второй пластины изнутри. Но, она должна быть достаточно длинной, установленной если не малоинвазивно, то биологично с отсутствием винтов в зоне перелома. Своеобразная медиальная опора. Я не говорю, что это обязательно. Но, именно при перипротезном переломе на фоне остеопороза такую опцию рассматривать можно. В руках понимающего и умелого хирурга это работает. Перипротезные переломы это вообще ситуация, где импровизации много. Но импровизация, повторюсь, должна базироваться на хорошей теоретической и технической базе.
А вообще - с удовольствием почитал дискуссию. Коллеги, спасибо!
PS
АВф здесь вряд ли подойдёт. Пациент не выдержит.
|
[
Ответить ]
|
Re: Перипротезный перелом дистального отдела бедра
Антон Жаглин 10 Май 2017, 19:18
|
Коллеги, спасибо за интересную дискуссию.
|
[
Ответить ]
|
Re: Перипротезный перелом дистального отдела бедра
Анатолий 11 Май 2017, 22:13
|
Учитывая, что протез без стабилизатора, межмыщелковое пространство абсолютно свободно и оптимальным вариантом в данном случае мог стать ретроградный интрамедуллярный остеосинтез с блокированием как самый малоинвазивный и сохраняющий и без того того повреждённое кровоснабжение через надкостницу. Выполненный накостный остеосинтез нельзя отнести к стабильному, к тому же по представленным рентгенограммам складывается впечатление, что винты проведённые через мыщелки обычные кортикальные, не фиксированы в пластине, серкляжные швы не придают стабильности. Потребуется длительная контролируемая реабилитация. Не исключается по результатам рентгенконтроля повторное оперативное вмешательство (костная пластика или всё-таки переход на интрамедулляный остеосинтез)
|
[
Ответить ]
|
( Ответить )
|
|