AOTRAUMA.ORG Центр Илизарова  

Ортопедия и травматология Общие вопросы/General questions Help Информационные технологии в медицине
 вверх
 отправить
 поиск
 админ
 главная
 Предыдущее


Re: Сращение - что это такое?
J. Wosk 24 Сентябрь 2004, 11:47
Думаю вопрос гораздо глубже и серьёзнее, чем принято о нём рассуждать.
Какова цель лечения перелома? Сращение кости? Заживление кости?
Позиция позволяющая лично мне добиваться успеха в клинической работе связана напрямую со следующей установкой: действительной целью лечения перелома является возвращение травмированного к фунциональному и социальному состоянию в котором тот пребывал перед травмой. И сделать это в наикратчайший период. И наиболее безболезненным и не травмирующим больного путём. К счастью, такое полное возвращение вполне возможно у подавлящего количества больных. На их стороне колоссальный потенциал тканей к заживлению. И фантастическая после-травматическая адаптация конечностей и
органов. Против - наша братия гиперактивных врачей, тех кто видит пациента сквозь скальпель или рентген-снимок. Зачастую возвращение к предтравматическому состоянию не обязывает непременного сращения перелома.
Такое случается при верной реабилитации части отрывных переломов. Несращение отрыва бицепса или акромио-клавикулярной связки, например, или даже тяжело смещённого перелома ключицы не мешает больному вернуться к прежнему состоянию и даже физ. нагрузке. А операции по восстановлению этих элементов приводят чаще всего к тяжёлой нетрудоспособности и нелечимым болям. Слишком много пациентов приобретают тяжелейшую инвалидность при фанатичном "заращивании" переломов путём их бравого гвоздирования. Результаты частые и печальные мы скромно называем "ятрогенными" осложнениями.
Кстати, очень полезна на мой взгляд следующая схема: заживление перелома бывает клиническим, функциональным, анатомическим и биологическим.
Клиническое: драматическое снижение боли, отсутствие патологической подвижности в переломе и резкое снижение отёка + наличие рентгеновского
сростка.
Функциональное: пациент способен без опасений вернуться к прежней физической активности.
Анатомическое: появляется ренгеновская картина полного восстановления архитектоники и рентген-плотности кости в месте перелома. Период такого заживления раза в три продолжительнее функционального. Мне очень легко удаётся разъяснить своим пациентам, что нет необходимости ждать этого заживления, т.к. это обязательно нормально происходит само собой.
Биологическая: Завершились все процессы тканевой ремоделяции поврежденных (всех!) тканей. Определить очень просто: ампутировать конечность для гистологии! (just kidding- make no mistake!). Лично у меня нет представления, что это такое и какая в этом важность для клинициста.
J.Wosk MD
  • Сообщения о Ортопедия и травматология
  • Также J. Wosk
  • Связаться с автором
  • Ответить

    Re: Сращение - что это такое?
    Alexander Chelnokov 24 Сентябрь 2004, 12:55
    > напрямую со следующей установкой: действительной целью лечения перелома
    > является возвращение травмированного к фунциональному и социальному
    > состоянию в котором тот пребывал перед травмой.

    Полностью согласен.

    > И сделать это в наикратчайший период. И наиболее безболезненным и
    > не травмирующим больного путем.

    Это больше расплывчатые благие пожелания.

    > Зачастую возвращение к предтравматическому состоянию не обязывает
    > непременного сращения перелома.

    Например, при эндороптезировании после перелома шейки бедра.

    > Слишком много пациентов приобретают тяжелейшую инвалидность при
    > фанатичном "заращивании" переломов пут?м их бравого гвоздирования.

    Вот тут нельзя ли поподробнее? И по литературе, и по собственным наблюдениям, могу сказать, что в этом утверждении правильнее было бы заменить "слишко много" на "в крайне редких случаях". Успех "бравого гвоздирования" 98-99%.

    > бывает клиническим, функциональным, анатомическим и биологическим.

    А морфологическое? Еще в давних курганских работах действительно ведь выявлялось прорастание сосудов и наличие балочек к 5 суткам при контакте губчатых фрагментов.

    > Клиническое: драматическое снижение боли, отсутствие патологической
    > подвижности в переломе и резкое снижение от?ка + наличие рентгеновского
    > сростка.

    Какое же это клиническое, если "+ наличие рентгеновского"? Рентгенологическое сращение можно и отдельно выделить.

    > Функциональное: пациент способен без опасений вернуться к прежней физической
    > активности.

    Вот этого, видимо, и надо добиваться. Скажем, закрытое штифтование мощным стержнем при нестабильном по оси переломе позволяет пациенту
    вернуться к привычному уровню нагрузки и активности после заживления мягкотканых повреждений и восстановления функции мышц и суставов, то есть через 3-6 недель после остеосинтеза.

    > Биологическая: Завершились все процессы тканевой ремоделяции поврежденных
    [...]
    > что это такое и какая в этом важность для клинициста.

    Это состояние так и называется - окончательная органотипическая перестройка, и это не подразумевается как вариант собственно сращения,
    ясно, что это уже после.
    [ Ответить ]

    • Re: Сращение - что это такое?
      Отправитель: Д-р Одесский Я.А. 24 Сентябрь 2004, 21:56
      Уважаемый Александр!
      Вы пишите:"Скажем, закрытое штифтование мощным стержнем при нестабильном по оси переломе позволяет пациенту
      вернуться к привычному уровню нагрузки и активности после заживления мягкотканых повреждений и восстановления функции мышц и суставов, то есть через 3-6 недель после остеосинтеза."

      Дайте мне пример из своей практики больного с оскольчатым переломом диафиза бедра или голени после внутрикостного штифтования вернувшегося к полной предтравматической функции в пкрвые 6 недель после травмы.
      С уважением!


      [ Ответить ]
      • Re: Сращение - что это такое?
        Отправитель: Alexander Chelnokov 24 Сентябрь 2004, 23:07













        По крайней мере ходящих без дополнительной опоры через 1 месяц после операции с небольшой - при изолированной травме немало. Нестабильные по оси, кстати, не только оскольчатые, но и спиральные.
        И если пациент еще не возвращается к полной нагрузке и функции, то не потому, что не разрешает врач, опасаясь несостоятельности фиксации.

        Как мне показать пример? Фото стоящего на одной оперированной конечности пациента? O! Пример, подвигнувший нас на некоторое изменение технологий. Пациент этот ходил с полной нагрузкой вопреки рекомендациям. В качестве подтверждения - сломанный проксимальный статический винт к 1 мес., а к 2 мес. - все остальные. Сейчас мы перешли на более fool-proof остесинтез.

        [ Ответить ]
        • Re: Сращение - что это такое?
          Отправитель: J. Odessky MD. 25 Сентябрь 2004, 05:29

          Здравствуйте, Александр!
          Я решил ответить на английском языке, чтобы коллеги, не знающие русский могли присоединиться к нашей дискуссии.
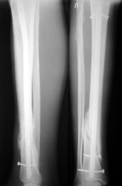
          На мой взгляд, на снимках, приведённых Вами - неправильно сростающийся перелом дистальной трети большеберцовой кости, состояние после остеосинтеза интрамедуллярным гвоздём.
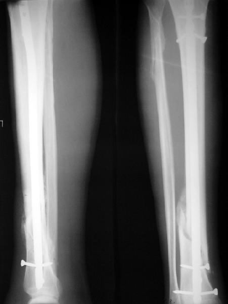
          Как Вы пишите снимок под номером 1 - менсяц после операции, под номером 2- два месяца после операции.
          Вы не послали послеоперационный снимок, поэтому трудно судить о состоянии редукции после операции.
          Позвольте по поводу техники операции высказать своё мнение...
          Установка с медиальной стороны гвоздя в области дистального фрагмента дополнительного шурупа помогло бы Вам репонировать и удержать перелом в анатомическом положении, предотвратило варусную деформацию и смещение по ширине.
          Кстати, если можно пошлите послеоперационный снимок.
          На мой взгляд внутрикостная фиксация переломов дистальной и проксимальной трети большеберцовой кости, за исключением поперечных, не очень хорошее решение вопроса, аппарат Илизарова или Тэйлора, позволяющие призвести закрытую анатомическую редукцию и отличное удержание отломков в период сращения.
          Пример, приведённый Вами в нашей дискуссии по времени нагрузки после остеосинтеза не совсем удачный... Ваш больной имеет счастье, что первым согнулся проксимальный замыкающий винт, а не дистальный и гвоздь не пенетрировал голеностопный сустав.
          С уважением!
          Hello, Alexander!
          I have decided to answer in English that the colleagues who do not know Russian could join our discussion.
          I think that the X-Rays show S/P IMN of Spiral # of the Distal Tibia consoles in misalignment.
          You wrote that a picture number 1 - f month after the surgery, and number 2-two months after the surgery.
          You have not sent a postoperative X-Rays; so it's impossible to discuss about the condition of a reduction after operation.
          Let to express concerning technique of operation my opinion... Insertion of a screw to medial side of a nail in distal fragment would help you to reduction and to keep this fracture in anatomic position has prevented varus deformity and displacement on width. By the way, if it is possible send a postoperative picture.
          In my opinion IMN of fracture distal and proximal thirds of the tibia bones, except for transverse, not so good decision of treatment. Ilizarov or Taylor external fixators allow to the closed anatomic reduction and excellent fixation such fractures during the consolidation period.
          Your example in our discussion about the timing of loading after an osteosynthesis of fractures not absolutely successful...
          Your patient is lucky enough, that by the first was bent proximal locking screw, instead of distal and a nail does not penetrate to the ankle joint.
          Yours faithfully!




          [ Ответить ]
          • Re: Сращение - что это такое?
            Отправитель: Alexander Chelnokov 25 Сентябрь 2004, 14:41














            JOM> Я решил ответить на английском языке, чтобы коллеги, не знающие
            JOM> русский могли присоединиться к нашей дискуссии.

            Сомневаюсь, поскольку она изначально была на русском.

            JOM> Вы не послали послеоперационный снимок, поэтому трудно судить о
            JOM> состоянии редукции после операции.

            А зачем о ней судить - речь ведь не об этом. Мы, помнится, обсуждали возможность ранней нагрузки после остеосинтеза.

            JOM> Установка с медиальной стороны гвоздя в области дистального фрагмента
            JOM> дополнительного шурупа помогло бы Вам репонировать и удержать перелом

            Да, конечно. Но сочли, что и достигнутое положение приемлемо. Тем более, для non-compliant и low demanding пациента.
            А если вспомнить лечение аналогичных повреждений функциональными брэйсами (Sarmiento), там рентгенограммы могут быть еще менее привлекательными, однако результаты вполне приемлемы.

            JOM> Кстати, если можно пошлите послеоперационный снимок.

            Ok. А также и следующий, в 3 месяца.

            JOM> не очень хорошее решение вопроса, аппарат Илизарова или Тэйлора,
            JOM> позволяющие призвести закрытую анатомическую редукцию и отличное

            Конечно, чем ближе перелом к суставу, тем больше стрелка нашего "компаса" поворачивает в сторону аппарата. Но все же этот перелом - далеко не самый дистальный, который может быть с успехом вылечен на гвозде. Ну и, как Вы знаете, аппарат у недисциплинированных больных может не только не решить имеющиеся, но и создать новые проблемы.

            JOM> Пример, приведённый Вами в нашей дискуссии по времени нагрузки после
            JOM> остеосинтеза не совсем удачный...

            Это наглядная демонстрация возможности ранней полной нагрузки при нестабильном по оси повреждении, причем не в самых благоприятных механических условиях - при плохом сопоставлении, со слабым фиксатором.

            JOM> Ваш больной имеет счастье, что первым согнулся проксимальный
            JOM> замыкающий винт, а не дистальный и гвоздь не пенетрировал

            Это не счастье, а тонкий инженерный расчет ;-))
            Сверху - один статический винт, а снизу - три. Что раньше сломается? Конечно, он потом и нижние сломал, и Вы правы, если бы верхний динамичесий винт уже уперся бы в нижний край отверстия, будь гвоздь подлинее, перфорировал бы сустав как пить дать.

            Как я уже говорил, мы сделали выводы из этого и других подобных случаев. Очевидно, решений проблемы два - либо уменьшить нагрузку, либо увеличить прочность фиксатора. Первое решение работает не со всеми больными, так что пошли по второму пути - мы больше не используем гвозди с запирающими винтами диаметром 4 мм.

            [ Ответить ]
            • Re: Сращение - что это такое?
              Отправитель: J. Odessky MD. 25 Сентябрь 2004, 15:42
              Уважаемый Александр!
              Вы меня не убедили.
              И давайте оставим Sarmiento, сейчас совсем другие стандарты и возможности.
              Вы пишите:"Это наглядная демонстрация возможности ранней полной нагрузки при нестабильном по оси повреждении, причем не в самых благоприятных механических условиях - при плохом сопоставлении, со слабым фиксатором".

              Это зависит от стандартов лечения, принятых у Вас.
              Покажите, пожалуйста, другие примеры подобных переломов, оперированные с более толстыми запирательными шурупами и дающими полную нагрузку в первый месяц после остеосинтеза.

              Вы пишите:"Ну и, как Вы знаете, аппарат у недисциплинированных больных может не только не решить имеющиеся, но и создать новые проблемы"
              Любой метод лечения перелома у недисциплинированных больных создаёт проблемы.

              С уважением

              [ Ответить ]
              • Re: Сращение - что это такое?
                Отправитель: Alexander Chelnokov 25 Сентябрь 2004, 16:57
                Глубокоуважаемый Яков,

                Saturday, September 25, 2004, 4:05:27 PM, you wrote:

                JOM> Вы меня не убедили.

                Или вот коллега Беренштейн пишет:

                >Чем винты толще и чем плотнее входят в гвоздь тем стабильнее фиксация.
                > Если добавить ещё крепкий гвоздь то можно плясать сразу после операции.

                Тоже не убеждает? В чем именно?

                JOM> И давайте оставим Sarmiento, сейчас совсем другие стандарты и
                JOM> возможности.

                Как оставим??? Лечение по Sarmiento - это вполне "сейчас". Пришлось о нем вспомнить, раз уж упомянули репозицию.

                JOM> Вы пишете:"Это наглядная демонстрация возможности ранней полной
                JOM> нагрузки при нестабильном по оси повреждении, причем не в самых
                JOM> благоприятных механических условиях - при плохом сопоставлении, со

                JOM> Это зависит от стандартов лечения, принятых у Вас.

                От стандартов зависит объем и характер помощи. А способность к нагрузке определяется исключительно самими пациентами: может наступить - наступает, нет - нет. Им нормативные документы до лампочки.

                JOM> Покажите, пожалуйста, другие примеры подобных переломов, оперированные
                JOM> с более толстыми запирательными шурупами и дающими полную нагрузку в

                Что именно показать? Что пациент может стоять на больной ноге к 1 месяцу? При интрамедуллярном остеосинтезе по поводу ложных суставов, когда мышцы давно зажили, это и на 3-5 день наблюдается. В чем именно Вы сомневаетесь? Что гвоздь диаметром 12-13 мм с винтами более 5 мм способен нести полную нагрузку? Или что ходить без хромоты можно только после рентгенологического сращения? Или?..

                JOM> может не только не решить имеющиеся, но и создать новые проблемы"
                JOM> Любой метод лечения перелома у недисциплинированных больных создаёт

                Конечно, идеала нет, но степень приближения к нему у разных методов разная. Больных в аппаратах, сами знате, на весь период фиксации без врачебного контроля оставлять нельзя. И печальных примеров на этот счет каждый врач вспомнит легко.

                [ Ответить ]
      • Re: Сращение - что это такое?
        Отправитель: Djoldas Kuldjanov, M.D. 25 Сентябрь 2004, 02:29
        12 mm intramedullary nail with tree locking (proximally 5.5mm diameter and 4.5 mm distally) screws after tree weeks can put full WB.

        Djoldas

        [ Ответить ]
        • Re: Сращение - что это такое?
          Отправитель: Alexander Chelnokov 25 Сентябрь 2004, 02:30
          Мы сейчас используем бедренные гвозди 11,5 и 13 мм с винтами 6 мм, и только диаметр 10 мм - с 5 мм. Большеберцовые - для гвоздей 9 и 10,5 мм винты 5 мм, 12 мм - 6 мм. Как уже говорил, нагрузку сразу не
          ограничиваем (если нет проблем с суставами).

          [ Ответить ]
          • Re: Сращение - что это такое?
            Отправитель: Michael Berenstein 25 Сентябрь 2004, 12:04
            Уважаемые коллеги.

            Время, когда дать нагрузку на конечность определяется стабильностью перелома и стабильностью фиксации
            Стабильные переломы поперечные или близкие к ним. Нестабильные - косые и оскольчатые. если начать аксиальную нагузку при несросшемся нестабильном переломе то можно получить укорочение или ротационное смещение при винтовых переломах. Что бы избежать этого смещения нужны гвозди с блокировкой (locking).
            Винты в гвозде нужны для:
            1. Ротационная стабильность
            2. Сохранение длины кости (аксиальная стабильность).
            Чем винты толще и чем плотнее входят в гвоздь, тем стабильнее фиксация.
            Если добавить ещё крепкий гвоздь то можно плясать сразу после операции.
            В любом случае если есть сомнение стабильности лучше не торопиться.
            Кстати, винты 6 мм и больше не ломаются, или народ у нас мелкий.

            Best regards,
            М.Беренштейн

            [ Ответить ]
    • Re: Сращение - что это такое?
      Отправитель: Йоси Воск 27 Сентябрь 2004, 09:03
      Очень люблю благие пожелания. Сейчас нахожусь в чтении " Rich dad, poor dad" www/richdad@com серия 7 книг и "Body for life" etc. Билла Филлипса. Много чётких советов, но подчёркнуто: ничто не работает без благого пожелания.
      Результат: снял и держу в кайфе -28% веса из 92, жена -33% из 82. Существенно продвинулся к финансовой свободе и чётко работаю над этим. Люди для достижения целей интересуются "как", а настоящий вопрос "зачем". Приступая к любому лечению я думаю о том каким я хочу видеть больного после всего. Это меня забирает. А логистика и техника это более лёгкие вещи. "I have a dream", сказал М. Л. Кинг и случились вещи сделавшие США другой страной. Так что мой совет, никого не обязывающий, ставить во главу угла расплывчатые благие пожелания и не забывать о них ни на какой стадии лечения больного.
      Если абсолютно благополучные результаты сложных травм и открытых переломов 98-99% случаев, то мир вокруг нас дивно розовый. "В литературе" и в натуре не всегда вещи выглядят одинаково. Я работаю в стране с очень хорошим мировым уровнем орто-травматологии. Думаю, приемлимый финал (анатомический и социально-функциональный) осложненного перелома голени в 6 месячный срок и без процентов инвалидности не превышает половины случаев. Дополнительная проблема, ортопедам обычно нравятся их результаты и не нравится распространяться о неудачах. А успехи никогда ничему не учат. Учат только провалы о которых есть смелость говорить.
      Конечно, есть морфология. Только не стоит именовать видом сращения некий скрытый от наших глаз процесс, контроверсальный и в своём характере и в темпинге. Нам ведь заниматься конкретной работой, а не чем-то на гране полумистики. Тоже (на мой субъективный и не претендующий быть небесной истиной взгляд) касательно "органо-типической перестройки).
      Я разрешаю больным со сложными и неустойчивыми переломами ног начать полную нагрузку хождением очень рано, иногда после первой недели лечения. Только никогда не верю в мощь гвоздей и пластин. И не думаю что железки ломаются за недостатком такой мощи. На мой субъективный взгляд, железки никогда не бывают интегральной частью остео-металлосинтеза. Во время нагрузки каждый из
      них живёт своей механической жизнью. Ходьба это, на мой субъективный взгляд, процесс трансформации линейного импакта тело-земля в упруго-эластическую вибрационную нагрузку в кости. Металл и кость входят в разно-частотные модуляции, так как плотность их разная. Гвозди разрушаются не от стояния, а от ходьбы. Резонанс, а не линейная нагрузка. Каждый такой гвоздь и каждая плата проверены в Instrom производителя под во много раз превосходящими реальные линиарные нагрузки. А часто извлекаешь их из кости тщедушного доходяги и они как бритвой отрезаны. Поэтому раннее хождение больных можно разрешить не потому, что гвоздь в ноге крепкий, а потому что обеспечил больному хорошую наружную поддержку перелома (скажем, брейсом) и дал хорошую амортизацию его ступанию. Кстати, если хотите, есть в нэте (PUBMED) наши
      публикации по этим темам. Искать: Wosk, Voloshin, Folman.
      J W

      [ Ответить ]
      • Re: Сращение - что это такое?
        Отправитель: Alexander Chelnokov 28 Сентябрь 2004, 00:20
        > обязывающий, ставить во главу угла расплывчатые благие пожелания и не
        > забывать о них ни на какой стадии лечения больного.

        Лечение конкретного больного подразумевает переход с уровня пожеланий на уровень технологий.

        > Если абсолютно благополучные результаты сложных травм и открытых переломов
        > 98-99% случаев, то мир вокруг нас дивно розовый.

        А кто говорил про "сложных и открытых"? Это уже совсем другая история.
        Давайте пока просто о нестабильных при осевой нагрузке - спиральных, оскольчатых, сегментарных...

        > распространяться о неудачах. А успехи никогда ничему не учат. Учат только
        > провалы о которых есть смелость говорить.

        У. Черчилль: "Успех - это умение двигаться от неудачи до неудачи, не теряя энтузиазма. Неудача обязывает к изменениям, успех рождает самодовольство."

        > Конечно, есть морфология. Только не стоит именовать видом сращения некий
        > скрытый от наших глаз процесс, контроверсальный и в своём характере и в

        Поздно насчет не стоит, эти фундаментальные работы уже давно опубликованы. Хотя никто и не утверждает, что на таком сращении можно ходить.

        > истиной взгляд) касательно "органо-типической перестройки).

        По-моему, тоже есть консенсус, что это не вид сращения, а то, что происходит много позже.

        > никогда не верю в мощь гвоздей и пластин. И не думаю что железки ломаются за
        > недостатком такой мощи. На мой субъективный взгляд, железки никогда не
        > бывают интегральной частью остео-металлосинтеза.

        А при эндопротезировании?

        > Во время нагрузки каждый из них живёт своей механической жизнью.

        Своей жизнью "железка" живет, лежа на полке в операционной. Будучи скрепителем отломков, она по определению берет на себя нагрузки.

        > Ходьба это, на мой субъективный взгляд, процесс трансформации
        > линейного импакта тело-земля в упруго-эластическую вибрационную
        > нагрузку в кости.

        Ходьба - это перемещение в пространстве шагами. Да, наверно, можно и такой аспект выделить. Но для оценки состоятельности несущей способности сегмента после остеосинтеза только ли колебательные процессы надо учитывать? Если вобще их надо учитывать...

        > Металл и кость входят в разно-частотные модуляции, так как
        > плотность их разная. Гвозди разрушаются не от стояния, а от ходьбы.
        > Резонанс, а не линейная нагрузка. Каждый такой гвоздь и каждая

        Это интересное предположение. Хотя на первый взгляд, это введение лишней сущности, и бритва Оккама тут так и просится. ;-)

        Нам, обывателям, известно, что от резонанса рушатся мосты, если шагающее в ногу подразделение попадает в резонанс с их колебаниями. А фиксаторы, или их элементы, ломаются или вырываются из кости, или как-то иначе разрушаются, либо от превышения допустимой статической нагрузки (один раз, первый, наступил - и тут же хрустнуло), либо, что в нашем разговоре как раз обсуждается - при недостаточной усталостной устойчивости.

        Как известно, факт не может быть мистикой, но ею может быть его интерпретация. Поведение фиксаторов не раз изучалось в cyclic load tests. И разрушение однотипных образцов наступало не в случайные моменты (попало в резонанс - и crack!), а вполне в закономерные - когда система проходила число циклов, определяемое усталостной устойчивостью элементов данных размеров из данного материала. Или костного ложа. То есть fatigue strength. Для клинициста IMHO достаточно учета именно этого свойства. А надо ли измерять их резонансные частоты и вообще учитывать эффект резонанса как существенный фактор, который может определять состоятельность фиксации - пусть коллеги наши, механики-материаловеды и прочие инженеры нам подскажут.

        > разрешить не потому, что гвоздь в ноге крепкий, а потому что обеспечил
        > больному хорошую наружную поддержку перелома (скажем, брейсом)

        Ну какие брэйсы при закрытом интрамедуллярном остеосинтезе внесуставного перелома бедра или tibia ? Зачем? Внутренняя шина с запасом решает все задачи. Опять же, лишние сущности.

        > и дал хорошую амортизацию его ступанию.

        Хватает с лихвой и естественной. Ну и, как известно, критерий истины - практика. Которая показывает про гвоздь, что начиная с некоторого
        диаметра фиксатора и запирающих винтов он выдерживает число циклов нагрузки, обеспечивающее число шагов, которое человек делает за время, когда перелом давно успевает срастись.

        Конечно, бывают и специальные ситуации - сегментарные дефекты, например. Когда при одной только фиксации сращения не будет никогда. Но речь пока не о них.

        > Кстати, если хотите, есть в нэте (PUBMED) наши
        > публикации по этим темам. Искать: Wosk, Voloshin, Folman.

        Неужели автор не располагает полным текстом?
        Был бы признателен.

        [ Ответить ]

     

    ( Ответить )

    Powered by Zope  Squishdot Powered MedLink
    Посетитель: 0215797
      "По форме правильно, а по существу - издевательство" В.И.Ленин
    ©2001-2019Orthoforum Coordinator.
    [ Главная | Отправить сообщение | Поиск | Админ ]