вверх
отправить
поиск
админ
главная
|
Proximal femoral shaft nonunion + osteomyelitis |
 |
 |
 |
Отправлено Pavel Ivanov 06 Февраль 2007, 00:52
Уважаемые коллеги, помогите, пожалуйста, советом в данной непростой ситуации. Больной К., 1978 года рождения 22 июля 2001 г. в результате ДТП (водитель легкового автомобиля) получил тяжелую комбинированную травму. Диагноз ЗЧМТ, сотрясение головного мозга. Закрытый оскольчатый перелом левой бедренной кости в верхней трети. Ожог (тосолом) 3а степени левого бедра (3%). Закрытый оскольчатый перелом костей правой голени в верхней трети. Ушибленная рана левого коленного сустава. Закрытый перелом лодыжек левой голени с разрывом межберцововго синдесмоза, смещением отломков и подвывихом стопы кнаружи.
Отражу только историю лечения повреждений левого бедра, так как лечение других повреждений не сопровождалось осложнениями.
После нескольких некрэктомий, проведения аутодермопластики и заживдения ожоговой раны через 2 месяца после травмы произведен открытый остеосинтез левой бедренной кости штифтом и пластиной (деротационной) [image 01, 02]. Через 1 год и 7 месяцев после травмы у больного диагностированы ложный сустав и хронический остеомиелит левой бедренной кости. Произведено удаление металлических фиксаторов, секвестрэктомия и остеосинтез бедренной костивнешним двухплоскостным стержневым аппаратом [image 03, 04] .
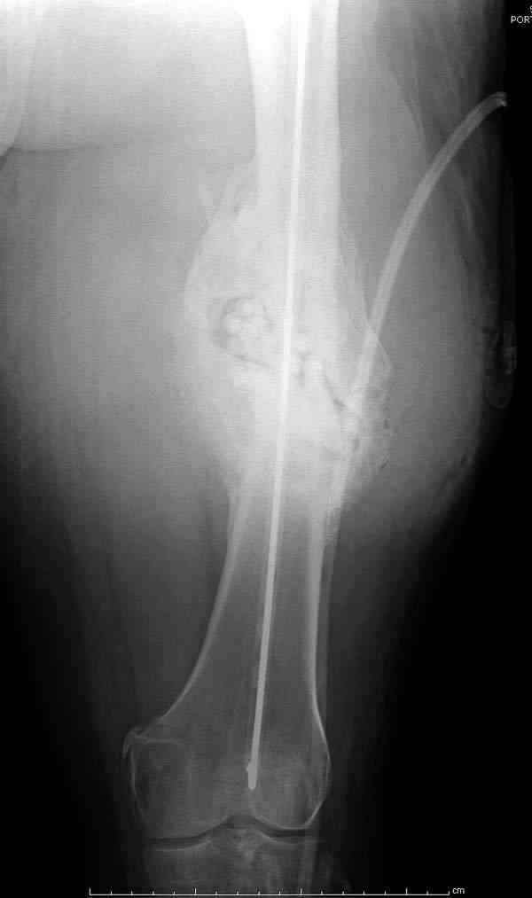
Через 3 года после травмы констатировало отсутствие консолидации бедренной кости, сохранение признаков хронического остеомиелита (свищ в нижней трети левого бедра). Произведен демонтаж аппарата, реостеосинтез бедренной кости спице-стержневым аппаратом, некрсеквестрэктомия. В аппарате удалось лишь частично произвестиустранение углообразной деформации бедренной кости [image 05] .
Через 4,5 лет после травмы выявлены рентгенологические признаки консолидации перелома, признаки хронического остеомиелита купировались. Аппарат был демонтирован. Пациент продолжил ходьбу с дозированной нагрузкой на конечность при помощи костылей. Через 2 месяца начал ходить при помощи трости. Однако, еще через 2 месяца отметил появление свищей на бедре с гнойным отделяемым и укорочение длины конечности. При осмотре в январе 2007 г.: пациент ходит при помощи костылей без опоры на левую нижнюю конечность, на бедре имеются множественные рубцы, на наружной поверхности сегмента в верхней и нижней третях имеются два свищевых хода со скудным серозно-гнойным отделяемым; отечности тканей конечности нет, пальпация безболезненная, отмечается укорочение длины конечности на 5 см, патологическая подвижность не определяется, имеется стойкая разгибательная контрактура коленного сустава (разгибание - 180 гр, сгибание - 170 гр), признаков нарушения кровоснабжения и иннервации тканей конечности нет. Температура тела нормальная. В общих анализах крови и мочи отклонений от нормы нет. [image 06,07, 08 (стрелками отмечены свищевые раны, 09, 10]Дорогие коллеги, я уверен, что у многих из вас после знакомства с данным клиническим наблюдением появится множество вопросов, касающихся уже проведенного лечения (особенно, сроков и способов). Сразу оговорюсь - я не смогу правильно ответить на многие вопросы (особенно касающиеся предшествующего периода лечения). Прошу вас, конечно по возможности, сосредоточить внимание не на разборе допущенных ошибок (проведенного лечения), а помочь добрым советом относительно тактики наших дальнейших действий. Наверное, кто-то располагает бесценным опытом лечения подобной патологии.
Кстати, поиск среди публикаций не принес особых результатов. Нашел несколько рефератов статей по данной теме: - Marti R, Raaymakers EL, Nolte P, Besselaar PP. [Pseudarthrosis of the proximal femur]. Orthopade. 1996 Sep;25(5):454-62. PMID: 8966039.; - Haidukewych GJ, Berry DJ. Nonunion of fractures of the subtrochanteric region of the femur. Clin Orthop Relat Res. 2004 Feb;(419):185-8. PMID: 15021152.; - de Vries JS, Kloen P, Borens O, Marti RK, Helfet DL. Treatment of subtrochanteric nonunions. Injury. 2006 Feb;37(2):203-11. PMID: 16417905.). Хотя, судя по рефератам работ, о лечении ложных суставов верхней трети бедренной кости, осложненных остеомиелитом, в них не говорится, может быть кто-нибудь располагает полными вариантами статей. У нас много вопросов. В том числе: - необходимо ли резецировать бедренную кость? - укорачивать ли ногу после резекции или оставить дефект и заполнить его бусами, а потом замещать по Илизарову? - возможно ли в последующем, после купирования остеомиелита, заменить внешний фиксатор на внутренний? - необходимо ли сейчас заниматься контрактурой коленного сустава (выполнять миолиз, артролиз, накладывать шарнирный аппарат)? - может быть кто-либо из врачей поделиться советом относительно общего лечения (например, советами по иммунной терапии и т.п.). С благодарностью примем любую помощь. -- Best regards, Pavel Ivanov Sklifosovsky Clinical and Research Institute for Emergency Medicine Polytrauma Department 3, Bolshaya Sukharevskay sq. Moscow, 129010 Russia
<
|
>
|
|
Ответить
|
Re: Proximal femoral shaft nonunion + osteomyeliti
В.Дубров 06 Февраль 2007, 00:57
|
Павел, дорогой,
свяжитесь со мной напрямую, может быть удастся помочь
В.Дубров
|
[
Ответить ]
|
Re: Proximal femoral shaft nonunion + osteomyeliti
Отправитель: Pavel Ivanov 06 Февраль 2007, 09:39
|
Дорогой Вадим!
Спасибо, что Вы откликнулись на нашу просьбу о помощи. Ваше письмо и предложение продолжить разговор в непублично-конфиденциальном формате расцениваю как намерение оказать помощь материальную.
Обязательно свяжусь с Вами в ближайшее время.
Еще раз спасибо.
--
Best regards,
Pavel Ivanov
Sklifosovsky Clinical and Research Institute for Emergency Medicine
Polytrauma Department
|
[
Ответить ]
|
|
Re: Proximal femoral shaft nonunion + osteomyeliti
Alexander Chelnokov 06 Февраль 2007, 01:14
|
> У нас много вопросов. В том числе:
> - необходимо ли резецировать бедренную кость?
Явных секвестров не видно. Видимо, стоит попробовать наложить аппарат и начать дистракцию для устранения деформации и потянуть по длине, только не быстро, медлнее 1 мм/сут. Возможно, потянется регенерат, раз картина тугого ложного сустава.
> - укорачивать ли ногу после резекции или оставить дефект и
> заполнить его бусами, а потом замещать по Илизарову?
Я бы сделал не бусы, а после восстановления оси сформировал бы канал закрыто, рассверливать в остальных учатсках вряд ли придется, и так канал широкий. И ввел бы внутриканально спейсер с антибиотиками (либо в трубке пластиковой сделанный, либо стержень тонкий облепить цементом и протащить через шаблон), аппарат оставить, стержня по 3 в каждом отломке мимо спейсера, и продожить дистракцию до восстановления длины.
> - возможно ли в последующем, после купирования
> остеомиелита, заменить внешний фиксатор на внутренний?
Вполне. Посмотреть, какой регенерат получается. Если вообще никакого - транспорт, или Анатолий Федорович Лазарев последнее время продвигает методику каркасной металлопластики. По крайней мере, на несколько лет передышка будет. Если хоть по какой-то стороне намек на регенерат - просто заштифтовать. Вернее, не просто, а хорошо - сплошным титановым стержнем, винтов вверху и внизу потолще и побольше.
> - необходимо ли сейчас заниматься контрактурой коленного
> сустава (выполнять миолиз, артролиз, накладывать шарнирный аппарат)?
По-моему, если к этому вопросу вообще возращаться (за 6 лет пациент к отсуствию функции притерпелся), то после внутренней фиксации бедра.
> - может быть кто-либо из врачей поделиться советом
> относительно общего лечения (например, советами по иммунной терапии и т.п.).
Совет от души - забудьте. Не отвлекайтесь на иммунотерапию, мумие, крысиный помет, ГБО и прочее.
|
[
Ответить ]
|
Re: Proximal femoral shaft nonunion + osteomyeliti
alexander kirienko 06 Февраль 2007, 09:32
|
Dear Pavel!
Речь идет о инфецированном псевдоартрозе бедра с наличием инфекции в очаге и материала, который поддерживает эту инфекцию (фиброзная ткань, мелкие секвестры, грануляции). Пока есть нестабильность и движение ( патологическая подвижность, хоть и туг ая есть наверняка, поэтому он и называется псевдоартрозом) будет поддерживаться и инфекция, и пока есть инфекция и некротизпрованные ткани, псевдоартроз будет существовать. Необходима стабильность и хорошая хирургическая обработка, которая , к сожалению, видимо, на последней операции не была достаточной.
Я этими проблемами занимаюсь вплотную по следние годы, можно сказать мой хлеб, и по этому советую провести открытую операцию, почистить очаг до здоровой кости, сопоставить фрагменты открыто и внедрить как м ожно более плотно один в другой и диафиксировать, наложить хороший стабильный спи
це-стержневой аппарат, который за рубежом продолжают называть аппаратом Илизарова.
Лучше сделать одновременно остеотомию бедра в дистальной части для удлинения и конечно же для стимуляции регенерации.
Не советую никакие инородные тела.
Коленом можно заниматься только после сращенияи удлинения и нет ничего лучше Жюдэ.
Иммуностимуляция не будет нужна потому, что свищи закроются как только уберете очаг инфекции.
Всего доброго.
Alexander Kirienko
via dei Tigli 10/A
Rodano (Milano) 20090
Italy
|
[
Ответить ]
|
Re: Proximal femoral shaft nonunion + osteomyeliti
Алексей Семенистый 06 Февраль 2007, 09:38
|
> > У нас много вопросов. В том числе:
> > - необходимо ли резецировать бедренную кость?
>
> Явных секвестров не видно. Видимо, стоит попробовать наложить аппарат
> и начать дистракцию для устранения деформации и потянуть по длине,
> только не быстро, медлнее 1 мм/сут. Возможно, потянется регенерат, раз
> картина тугого ложного сустава.
Все-таки, наличие свищей, отсутствие сращения указывает на остеомиелит (остеит евитализипованных концов перелома)и необходимость радикальной санации, т.е. резекции всего нежизнеспособного, поддержывающего вялое воспаление участка кости. Может оказаться доаольно болшой дефект -8-10 см :(.
> > - укорачивать ли ногу после резекции или оставить дефект и
> > заполнить его бусами, а потом замещать по Илизарову?
Не укорачивать. наоборот дозированно восстановить длину бедра (дефект еще увеличится!)
<>> Я бы сделал не бусы, а после восстановления оси сформировал бы
> канал закрыто, рассверливать в остальных учатсках вряд ли придется, и
> так канал широкий. И ввел бы внутриканально спейсер с антибиотиками (либо
В дефект бусы, спейсоры, может быть сначала проиывную систему на несколько дней. Я думаю формировать канал следует только после уверенности, что нет инфекции и субстрата для нее.
Дефект замещать по Илизарову (аппарат может быть любой какой нравится, чтобы позволял тянуть). Аппарат необходимо продумать так, чтобы можно было осуществить перемонтаж на таз-бедро.
> > - возможно ли в последующем, после купирования
> > остеомиелита, заменить внешний фиксатор на внутренний?
Да конечно.
> Вполне. Посмотреть, какой регенерат получается. Если вообще никакого -
> транспорт, или Анатолий Федорович Лазарев последнее время продвигает
> методику каркасной металлопластики. По крайней мере, на несколько лет
> передышка будет.
Тоже вариант, особенно, если при большом дефекте тучному больному аппарат совсем не в кайф будет.
> > - необходимо ли сейчас заниматься контрактурой коленного
> > сустава (выполнять миолиз, артролиз, накладывать шарнирный аппарат)?
>
> По-моему, если к этому вопросу вообще возращаться (за 6 лет пациент к
> отсуствию функции притерпелся), то после внутренней фиксации бедра.
Согласен с Александром, сейчас это не тема...
> > - может быть кто-либо из врачей поделиться советом
> > относительно общего лечения (например, советами по иммунной терапии и т.п.).
сделайте фистулографию, посевы,... Из общего лечения, пожалуй, только антибиотики. Если после такой травмы и того лечения пациент в таком статусе, с иммунитетом у него все в порядке.
С уважением, А.Семенистый.
ГКБ 13, Москва.
|
[
Ответить ]
|
Re: Proximal femoral shaft nonunion + osteomyeliti
Alexander Lerner 06 Февраль 2007, 23:34
|
Павел привет!
Спасибо за представленный интересный случай.
Я думаю, что для лечения этого септического нестабильного псевдоартроза бедра необходима, в первую очередь, радикальная хирургическая обработка с полным иссечением инфицированных и некротизированных концов костных отломков и окружающих мягких тканей. Доступ – латеральный, с иссечением свищевых ходов, но делай разрез не лампасный, а S–образный; тогда, если будет необходимость во временном укорочении сегмента, будет значительно проще закрыть рану и избежать расхождения ее краев при укорочении.
Полностью согласен с Александром Кириенко, что желательно, после резекции концов отломков до здоровой кости, сопоставить фрагменты открыто и внедрить их один в другой. Если сопоставление отломков конец в конец будет невозможным, то, с целью избежать появления мертвого пространства, стоит использовать цементные бусы с антибиотиками на несколько недель. Жесткая фиксация отломков необходима. Я думаю, что на начальной стадии лечения лучше использовать гибридный аппарат с дистальным кольцом (кольцами) и стержнями в латеральном одностороннем фиксаторе над проксимальным отломком. Только через несколько недель, при отсутствии признаков активной инфекции, стоит произвести удлиняющую остеотомию бедренной кости с одновременным пере-монтажем аппарата ( а до этого нежелательно вводить в кость большого количества инородных тел – спиц и стержней). Внутривенно антибиотики 6 недель (с учетом посева тканей из глубины раны.
Контрактурой коленного сустава стоит заняться после достижения надежного костного сращения – операция по Жюде в модификации Dror Paley.
Не могу не согласиться с душевным советом Саши Челнокова относительно иммунотерапии, мумие, крысиного помета и т.д. –в этом случае главное - радикальная хирургическая обработка и надежная наружная фиксация.
Хотя догм не должно быть, и у Мехмета Кожаглу (Турция) есть хорошие результаты при временном использовании интрамедуллярных цементных армированных стержней с антибиотиками.
Желаю удачи при любом выбранном плане действий
Всего доброго.
Александр Лернер
|
[
Ответить ]
|
Re: Proximal femoral shaft nonunion + osteomyeliti
Alexander Artemiev 07 Февраль 2007, 15:45
|
Привет, Паша и все-все-все...
Случай почти школьный по стандартному набору проблем (неадекватная фиксация, остеомиелит,
контрактура..), но далеко не школьный по возможности решения. Хотя выбор действий не очень велик. Я согласен с моими тёзками:), но не полностью... Итак:
1. Необходим открытый доступ. То, что ты увидишь, вызовет лёгкую грусть... Будет трудно определить границу жизнеспособности и, соответственно, резекции кости. Предвижу, что придется резецировать по 3-4 см каждого конца (поперечно). Лучше рассчитывать не на вклинение одной "сосульки" в другую, а на плотную адаптацию поперечных концов фрагментов.
2. Иссекать все кажущиеся нежизнеспособными мягкие ткани - сложно и травматично. По свищам, конечно, есть смысл пройтись. Лучше заокончить операцию без ушивания, образуется зияющая рана, на которую потом наложишь вторичные швы.
3. Фиксация - внешняя. Какой угодно функциональный аппарат. Лучше стержневой или спице-стержневой на базе Илизарова. Образуется дефект 6-8 см, сблизить сразу вряд ли возможно. На операции наполовину, а потом постепенно по 2-3 мм в день (до боли) до плотного контакта отломков.
4. То, что имеется контрактура колена для врача в данном случае - благо. Не нужно отвечать ещё и за
эту проблему. Если кто захочет - пусть решает её потом...
5. Остается коррекция длины. Думаю, будет что-то в районе 6-9 см. Ни в коем случае не советую удлинять бедро ни в проксимальном ни в дистальном отделе. Кототкие фрагменты, толстая нога, угнетение репарации... Не затевайся... Срастить бы - и то хорошо.. Рассматривай всю ногу как единый сегмент (колена всё равно нет...). После удлинения сустава точно не будет. Лучше всего под одним наркозом наложить аппарат на голень и сделать остеотомию большеберцовой кости в верхней трети, и через несколько дней пойти на удлинение. Полность восстанавливать длину не обязательно. При наличии контрактуры колена можно не дотянуть 2-3 см. Итого - 5-7 см - вполне доступная для одноэтапного удлинения величина.
6. Опыта использования бус и других игрушек не имею...
7. Готов сам подписаться... Хочешь - я приеду, хочешь - ко мне присылай.
Удачи.
Александр Артемьев
|
[
Ответить ]
|
Re: Proximal femoral shaft nonunion + osteomyeliti
Игорь Редько 07 Февраль 2007, 15:48
|
-Здравствуй Павел,
Случай сложный, не оправдывайся, у всех бывает сложно.
Надо делать резекцию, по возможности сблизить отломки, но не гофрировать. Перфузионное дренирование не меньше чем на месяц. Хороший стабильный аппарат Илизарова. Стержни для фиксации хороши на 1-2 месяца, если больше - от них остаются дыры, которые видны долгие годы после лечения, а спицы можно заменить. Замещать дефект - удлинением бедра - лучше на двух уровнях, на бедре выше репаративные способности и срастется быстрее.Опять же самая лучшая работа по этому вопросу - это дисс Куфтырева Л.М. из Кургана (к сожалению он уже с нами не живет). Случай не потерянный, надо много отдать времени и сил для успеха. А где взять много времени и сил, т.б. в Москве. Поэтому для больного лучше всего если ты его отправишь в Курган, в отд гнойной ортопедии к Шляхову В.И. или другим кто там сейчас работает. Там люди занимаются только и только этим.
С уважением Редько И., Москва, ГКБ 31.
|
[
Ответить ]
|
Re: Proximal femoral shaft nonunion + osteomyeliti
Отправитель: Alexander Artemiev 07 Февраль 2007, 15:50
|
Приветствую, Игорь.
> Случай не потерянный, надо много отдать времени и сил для успеха. А где взять много времени и сил, т.б. >в
> Москве. Поэтому для больного лучше всего если ты его отправишь в Курган,
Тезис философский и далеко не бесспорный... Чувствуется ностальгия... Москва обречена?... Снимать пену?
С уважением Александр Артемьев
|
[
Ответить ]
|
Re: Proximal femoral shaft nonunion + osteomyeliti
Отправитель: Pavel Ivanov 10 Февраль 2007, 13:07
|
Дорогие друзья, тронут столь активным обсуждением представленного нами наблюдения.
Пока постараюсь ответить Игорю Редько:
> Случай сложный, не оправдывайся, у всех бывает сложно...
> А где взять много времени и сил, т.б. в Москве. Поэтому для больного лучше всего если
> ты его отправишь в Курган....
Игорь, цель нашего обращения к участникам форума - выбрать оптимальный способ лечения для данного больного и избежать осложнений.
У нас нет желания оправдываться, кроме того у нас достаточно времени и тем более сил что бы вылечить этого пациента. Не думаю, что отправка сложных и интересных пациентов на лечение к другим докторам лучшая линия поведения для хирурга. Сложных пациентов у нас в Склифе большинство. Всех их тоже отправлять по разным городам и весям? А нам что останется?
Кроме того, пациент не доедет до Кургана, так как у него нет средств на билет. Он по профессии телохранитель, кроме этой профессии делать ничего не научился и сейчас в финансовом плане испытывает некоторые затруднения.
Мы в нашем отделении активно обсуждаем все ваши советы и пока не пришли к окончательному решению, благо пациент будет ложиться в отделение в пятницу 9 февраля, и нас есть еще время подумать и надеемся получить письма и от других коллег. Что касается лично меня, то я пока склоняюсь к более радикальной операции - резекции кости. Но о нашем окончательном решении обязательно сообщу.
По-поводу столь категоричного отрицания некоторыми коллегами чудесных целительных свойств крысиного помета. Ну что сказать. Один из моих бывших легендарных военно-медицинских начальников в таких случаях говорил: "Костоправы вы, бл#, друзья мои! Слесари-ортопеды, право слово!".
Еще раз спасибо.
Best regards,
Pavel Ivanov
Sklifosovsky Clinical and Research Institute for Emergency Medicine
Polytrauma Department
3, Bolshaya Sukharevskay sq.
Moscow, 129010 Russia
|
[
Ответить ]
|
Re: Proximal femoral shaft nonunion + osteomyeliti
Отправитель: Игорь Редько 10 Февраль 2007, 13:11
|
Павел, Дорогой!, ни коим образом не хотел посягнуть на желание быть профессионалом, умение делать все и тем более выправлять свои неудачи.
Этот стиль мне полностью приемлем и понятен. Наверно я бы поступил также. Но статистика упрямая вещь. Сколько у тебя или у другого врача опыта по замещению дефектов бедра? У меня за 25 лет работы 3, и еще около 15 случаев удлинения бедра. Случай у тебя очень сложный. Если Вы выбираете Илизаровскую методику то надо на в/з хорошую дугу, не менее 4-5 спиц с напайками.Стержни хороши когда кость не измучена и на 2-4 месяца. Здесь аппарат на 6-8 месяцев. Если есть желание я только за, и
желаю только успеха и чтоб все трудности которые будут преодолел.

Прикрепляю пример замещения дефекта бедра 20 см, после резекции по поводу опухоли, эндопротеза Сиваша, вялотекущего остеомиелита со свищами в течении 3 лет. Получилось хорошо и всего за 6 месяцев в аппарате. Колена не было. У Вас случай сложнее. Это было в 1998г. Я работал в ЦИТО и у меня было 4 больных, я занимался им с утра до ночи. Сейчас 60 больных и операций в нашем отделении 25-30 в неделю.Если могу чем помочь - нет проблем.
С уважением и наилучшими пожеланиями Редько И.
|
[
Ответить ]
|
|
Re: Proximal femoral shaft nonunion + osteomyeliti
Djoldas Kuldjanov 08 Февраль 2007, 00:03
|
Павел,
Мы бы начали с санации очага и заполнения полости антибиотическими бусами. Для создания устойчивой конечности и для профилактики стрессовых переломов, костный канал заполняем “custom made antibiotic nail”, который готовится "экстемпоре"
После определения длины канала берется 3мм длинная проволока, обычно "long guided wire" от интрамедуллярного набора, концы загибаются, ее
вставляют в трубку, трубку заполняют цементом с антибиотиком.
Канал до вставления гвоздя рассверливается на пару мм, а взятая большего диаметра внутренная арматура обычно удерживает конечность, даже в некоторых случаях, при небольшом дефекте, и вес больного.
Наложенный до операции наружный фиксатор поможет исправить деформированную ось, а в послеоперационном периоде удерживает как дополнительная временная фиксация.
После затихания инфекционного процесса, если размеры дефекта не позволяют оставить все как есть, то удлинение на гвозде, без гвоздя
или любыми другими гибридными, циркулярными аппаратами.
Недавний случай: год назад леченный интрамедуллярным гвоздем открытый перелом бедра инфецировался, многократные Irrigation&Debridment
закончили вставлением антибиотического гвоздя и кожной пластикой переднего мягкотканнего дефекта.
Редко, но бывает - недавно он обратился по поводу свищевого абцесса медиальной поверхности бедра.
На ренгенограмме явный остеомиелит с секвестром, секвестерэктомия из медиального доступа и замена старого антибиотического гвоздя на новый.
После трех дней ваккуумного дренажа, из латерального доступа удаление остатков старых антибиотичеких бус, закрытие медиальной раны с наложением ваккуумирования латерально. В следующий раз, через пару дней надеемся закрыть рану.

старый снтибиотический гвоздь

ренгенограмма инфицированного бедра со старым
антибиотическим гвоздем

удаление

подготовка гвоздя

7-8 послеоперационные
Djoldas Kuldjanov, MD
Department of Orthopedic Surgery
St. Louis University Medical Center
|
[
Ответить ]
|
Re: Proximal femoral shaft nonunion + osteomyelitis
Вячеслав 10 Февраль 2007, 13:40
|
Уважаемый Павел! Ситуация непростая, но вообщем-то поправимая. Речь идёт о хроническом послеоперационном остеомиелите бедра, инфицированном гипертрофическом ложном суставе бедра разгибательной контрактуре коленного сустава. Посколько свищи функционируют, значит, есть источник инфекции вероятнее всего в межотломковых тканях это мешает процессам косолидации и репаративной регенерации. Для начала я сделал бы исследование - фистулографию(с контрастом) и тебе станет многое ясно, как и куда распространён инфекционный процесс, скорее
всего в межотломковую зону. Соглашусь со многими коллегами - необходима операция - радикальная фистулнекрэктомия с обязательным окрашиванием свищевых ходов бриллиантовой зеленью, возможна адаптационная резекция концов бедренной кости. Остеосинтез только внеочаговый стабильно функциональный стержневым аппаратом, операция должна заканчиваться проточно-отточным дренированием параоссальной области бедра + дополнительно поставить микроирригатор.
Антибактериальная терапия по чувствительности, ПОС должна работать не менее 10-14 дней. Колено пока не трогай! Аппарат не должен стоять как капкан, он должен функционировать - управление остеогенезом. Если была произведена адаптационная резекция, необходима компрессия до 2-3недель, обязательна осевая нагрузка конечности, дальше дистракция - 1мм.в сут 4 приёма для образования регенерата. Ёщё одно но! Если дефект до4-5см можно обойтись монолокольным ЧКДО, если более, то билокольный -"остеомиелит сгорает в огне регенерата".
Устранение контрактуры после сращения кости. Если бойдёшься без резекции кости - только режим дистракции.
От всей души желаю удачи,
Васюков В.А.
|
[
Ответить ]
|
Re: Proximal femoral shaft nonunion + osteomyeliti
Отправитель: Alexander Chelnokov 10 Февраль 2007, 14:43
|
В> более, то билокольный -"остеомиелит сгорает в огне регенерата".
Поэтому, по-моему, и есть смысл тут провести закрытую дистракцию. Улучшение кровоснабжения в результате обычно дает и угасание инфекции.
А если радикально все иссечь - "сгорать"-то будет нечему.
|
[
Ответить ]
|
Re: Proximal femoral shaft nonunion + osteomyeliti
Отправитель: Alexander Artemiev 10 Февраль 2007, 22:50
|
Приветствую, Вячеслав
> операция должна заканчиваться
> проточно-отточным дренированием параоссальной области бедра +
> дополнительно поставить микроирригатор.
Это один из вариантов. Спокойнее вообще рану не зашивать...
> Антибактериальная терапия по чувствительности,
Думаю, что это для успокоения души. Уверен, нет таких антибиоткиов, которые бы больной уже не принимал.
> он должен функционировать - управление остеогенезом. Если была
> произведена адаптационная резекция, необходима компрессия до
> 2-3недель, обязательна осевая нагрузка конечности, дальше
> дистракция - 1мм.в сут 4 приёма для образования регенерата. Ёщё одно
> но! Если дефект до4-5см можно обойтись монолокольным ЧКДО, если
> более, то билокольный -"остеомиелит сгорает в огне регенерата".
Независимо от величимны дефекта в этой зоне не нужно удлинять вообще. Это самая скомпроментированная зона. Где - разные мнения уже прозвучали.
С уважением Артемьев Александр Александрович
|
[
Ответить ]
|
Re: Proximal femoral shaft nonunion + osteomyeliti
Отправитель: Alexander Chelnokov 10 Февраль 2007, 23:26
|
>> дополнительно поставить микроирригатор.
АА> Это один из вариантов. Спокойнее вообще рану не зашивать...
Да зачем там вообще рана... нету там рапространенного гнойного процесса.
>> Антибактериальная терапия по чувствительности,
АА> Думаю, что это для успокоения души. Уверен, нет таких
АА> антибиоткиов, которые бы больной уже не принимал.
Антибиотки надо не системные, которые в отграниченные очаги не проникают, а местные. Спейсер, ы частности. А при радикальном удалении очага они и вовсе ни к чему.
АА> Независимо от величимны дефекта в этой зоне не нужно удлинять
АА> вообще. Это самая скомпроментированная зона.
Докторская диссертация С.В.Гюльназаровой была посвящена лечению болтающихся ложных суставов с удлинением в области патологического очага. После адаптирующей резекции и периода фиксации проводили
удлинение.
А тут не видно причин, почему не начать с типового лечения тугого ложного сустава - наложить аппарат, дать дистракцию закрыто.
|
[
Ответить ]
|
|
Re: Proximal femoral shaft nonunion + osteomyeliti
Pavel Ivanov 19 Февраль 2007, 10:44
|
Уважаемые коллеги.
Операция нашему пациенту была запланирована на прошедший четверг (15 февраля), но ее отменили по "техническим" причинам. Дело в том, что у нас одна плановая операционная для "грязных" операций и она
потребовалась в четверг для тяжелого больного из хирургического отделения (операцию проводили зам. главного врача по хирургии д.м.н. Е.С. Владимирова и профессор Н.Н. Каншин). Так как по пятницам плановые вмешательства у нас не проводятся, то нашу операцию перенесли на следующую неделю.
Первым этапом мы планируем наложить спице-стержневой аппарат на бедро. После операции устраним углообразную деформацию и небольшое смещение по ширине. Затем постараемся выполнить дистракцию для восстановления длины конечности. А вот потом очень заманчиво поставить в костномозговой канал спейсер с антибиотиками и в последствие - интрамедуллярный блокируемый штифт.
Дорогие друзья, я пока не буду подробно объяснять, как мы пришли к такому решению. Позвольте сделать это после операции. Пока скажу только, что ваши советы позволили нам скорректировать наши планы по лечению данного больного. Кстати, оба свища после госпитализации в отделение у него закрылись.
Best regards,
Pavel Ivanov
Sklifosovsky Clinical and Research Institute for Emergency Medicine
Polytrauma Department
3, Bolshaya Sukharevskay sq.
Moscow, 129010 Russia
|
[
Ответить ]
|
( Ответить )
|
|