Ответить
|
Re: Открытый переломо-вывих стопы.
дмитрий бондарь 20 Апрель 2006, 00:49
|
День-вечер добрый ,Никита.Ваш случай представляется мне довольно типичным,хотя возможно, я чего-то не замечаю.
Мне кажется,что стояние отломков достаточно хорошее,но следует уменьшить дистракцию на 1.5-2мм.Имея опыт лечения подобных переломов могу сказать следующее:
1)Следовало ложить АВФ сразу по ургенству+активный дренаж.
2) по компоновке:вверх обычно ставлю стержень(ставить быстрее,чем перекрест и мягкие не режет)в дистальный метафиз перекрест из спиц с упором к кольцу.кольцо и стержень соединяю планкой дугу на пятке компоную как и Вы.НО провожу спицу с упором с латеральной стороны через головки плюсневых костей.спицу фиксирую к дуге.переднюю и заднюю дуги связываю и+переднюю вяжу к верхнему стержню.получается эдакий сапожок.
3)затем к1.5-2мес ставлю шарниры в проерции оси сустава и начинаю движения(режим легкой дистракции 0.5мм)
4)нагрузку не форсируйте(IMHO)
5)следите за синдесмозом(имел печальный опыт,но в Вашем случае все вроде должно быть нормально)
6)А зачем местная анестезия? договогитесь с анестезиологами
пусть проводник сделают или в\в в крайнем случае
В целом для первого опыта нормально.Искренне желаю удачи.
С уважением Д.Б.
|
[
Ответить ]
|
Re: Открытый переломо-вывих стопы.
Leonid N. Solomin 20 Апрель 2006, 00:52
|
Уважаемый Заднепровский Никита!
Для первого раза вы все сделали более чем хорошо.
> 1. Уменьшать ли высоту суставной щели голено-стопного сустава?
> Перестарался я, добиваясь сопоставления дистального отломка
> малоберцовой кости по длине.
Перед этим необходимо стабилизировать дистальный синдесмоз и фрагменты малоберцовой кости двумя спицами. Одну проведите через малоберцовую кость:(VIII,6-12). Вторую - через большеберцовую: VII,3-9 (на на уровне VIII, т.е. синдесмоза нежелательно - рана близко). Встречно-боковой компрессией, используя тягу за VII,3-9, не увлекайтесь: только стабилизируйте синдесмоз. Для фиксации спиц придется низвести вторую (сверху) опору или использовать кронштейны. Псоле этого и устраните диастаз м/у суставными поверхностями.
Опору с пятки убирайте не раньше, чем через 3-4 недели (для дельтовидной связки). От нагрузки на конечность следует воздержаться. Движения в голеностопе рекомендуйте после демонтажа дистальной опоры. Еще через 2-3 недели аппарат демонтируйте и рекомендуйте возрастающую дозированную нагрузку.
Успехов!
Л.Соломин
195427, С.-Петербург,
ул. акад. Байкова, 8,
ФГУ <РНИИТО им. Р.Р.Вредена Росздрава>
Соломин Леонид Николаевич, д.м.н.
|
[
Ответить ]
|
Re: Открытый переломо-вывих стопы.
Алексей Семенистый 20 Апрель 2006, 01:06
|
>>Это первый мой опыт лечения таких переломов в аппарате Илизарова...
Никита, Вас можно поздравить! Однако.....
>>ПХО раны, скелетное вытяжение на шине Белера. Через неделю наложен АВФ, устранен вывих стопы...
Никита, а почему через неделю-то???, почему не через две или три? А может надо было сразу вместе с ПХО...
Кстати , а как Вы до этого случая лечили открытые переломы лодыжек??? неужели трансартикулярной фиксцией? Тогда Вы действительно сделали большой шаг вперед!
Ответы на вопросы: 1. Дистракцию снять! Все правильно вы понимаете: наружная лодыжка -ключ г\ст сустава, а пытаетесь наоборот - таранную кость сделать "ключом"... Нейротрофические расстройства очень могут появиться..
2. Конечно аппарат собран не лучшим образом. База на стопе очень низко расположена, есть даже сомнения: обе ли спицы проходят через пяточную кость? Откройте любое руководство по чрескостному остеосинтезу и найдете ответ на вопрос, как компоновать аппарат, возможно, даже удивитесь, когда узнаете , что есть компановки вообще не фиксирующие г\ст сустав.
>> Больная категорически отказалась от проведения спиц с напайкой в условиях местной анестезии...
Прочитал эту фразу несколько раз... И правильно сделала! А что, с наркозом проблемы?
3. Если добиваться в аппарате, то только путем проведения дополнительных спиц и небольшого перемонтажа... Диастаз говорит только о неанатомичной репозиции лодыжки, со всеми вытеающими...
Слышали ли Вы о принципах хирургического лечения внутрисуставных переломов, таких как 1.анатомичная репозиция,
2.внутренняя (хотя и наружняя тоже может быть)фиксация отломков (а не сустава)по принципу "абсолютной" стабильности,
3.атравматичная техника
4 ранняя мобилизация сустава (а возможно и ранняя нагрузка, если вдавления хряща нет)???
Вообщем, еще не поздно (и совершенно неопасно) снять аппарат, и сделать открытую репозицию и полноценный остеосинтез наружной лодыжки стягиваающим винтом и нейтрализующей 1\3-трубчатой пластиной... Лучше это было сделать сразу при поступлении в качестве экстренной операции, крнечно если есть возможность, а она всегда будет, если есть желание!!
Удачи!
А. Семенистый, Москва.
|
[
Ответить ]
|
Re: Открытый переломо-вывих стопы.
Отправитель: Игорь Кучерявый 20 Апрель 2006, 11:05
|
> ...сделать открытую репозицию и полноценный остеосинтез наружной лодыжки
> стягивающим винтом и нейтрализующей 1\3-трубчатой пластиной... Лучше
> это было сделать сразу при поступлении в качестве экстренной операции,
> конечно если есть возможность, а она всегда будет, если есть желание!!
Все-таки наверное при таких переломах ургентно внеочаговая фиксация менее рискована в плане нагноения? Или подходы меняются?
|
[
Ответить ]
|
Re: Открытый переломо-вывих стопы.
Отправитель: Алексей Семенистый 20 Апрель 2006, 21:51
|
Активно оперируем лодыжки с 1999г. Начинали именно с открытых, т.к. АНФ, трансартикулярная фиксация не удовлетворяли (много осложнений). Все делали ургентно по Мюллеру. Удивились, когда больные с тяжелыми открытыми повреждениями выздоравливали раньше (и полностью: через 2-3 месяца!) по сравнению с закрытыми, которых лечили в гипсе (3-5мес).
Рана по внутренней стороне г\ст сустава, ключевое дестабилизирующее повреждение м\б кости снаружи. Т.Е. внутренняя фиксация наружной лодыжки является по-сути ВНЕОЧАГОВОЙ по отношению к открытому медиальному повреждению.
Сначала: ревизия раны, многократное промывание и удаление сомнительных тканей, затем:
переодевание-перестилание-смена инструмента, остеосинтез м\б кости (наружной лодыжки), с позиционным винтом или без него, ушивание и дренирование "хирургической" раны. Затем: повторная ревизия и промывание рваной раны, остеосинтез медиальной лодыжки минимумом железа (винт и спица). Раньше всегда старалились герметично ушить с промывной системой, сейчас все чаше оставляем рану открытой и через 4-7 дней спокойно ушиваем. Естественно посевы, антибиотики... Гипсовая лонгета на 5-7 дней... после этого разрешаем наступать.
В год таких повреждений бывает 6-10. за 6 лет только два осложнения с последующим артродезированием.
А. Семенистый.
|
[
Ответить ]
|
Re: Открытый переломо-вывих стопы.
Отправитель: Игорь Кучерявый 21 Апрель 2006, 00:36
|
Благодарю. Иногда делая так же по дежурству, попадал под ироничные улыбки с утра. :)) Справедливости ради, проблемы были только у одного больного, с сахарным диабетом, правда без дренажа его, бедного, ушил, и наглухо (обширный некроз и нагноение в области внутренней лодыжки).
|
[
Ответить ]
|
Re: Открытый переломо-вывих стопы.
Отправитель: Виктор, ортопед-травматолог, 30 лет стажа 20 Апрель 2006, 21:20
|
Все сделано неплохо. Критики не будет, при Вашем опыте прекрасно.Я очень часто в последнее время в условиях частной клиники делаю подобную работу спустя 2-3 месяца после травмы. Широко использую стержни Шанца, фиксацию через таранную кость спицами с упорными площадкми и без. Манипуляция стержнями с резьбой на конце и спицами с упорнымии площадкми позволяет приблизится к идиалу. Можно выыставить стержнем закрыто даже задний край б/б кости. Но очень много постоянной ежедневной работы. Хотя длительность пребывания в стационаре не более 5-6 дней. Ваш аппарат по моему выглядить громоздко, малофункционально, хотя все получилась хорошо.
|
[
Ответить ]
|
Re: Открытый переломо-вывих стопы.
Отправитель: Заднепровский Никита 20 Апрель 2006, 21:37
|
Здравствуйте, Алексей.
АС> Никита, а почему через неделю-то???, почему не через две или три? А
АС> может надо было сразу вместе с ПХО...
Я полностью согласен со всеми доводами.
Прооперировал на следующий день после того как увидел эту больную и взял ее на курацию. Почему не прооперировали другие? Вопрос не ко мне ...
АС> Кстати , а как Вы до этого случая лечили открытые переломы лодыжек???
АС> неужели трансартикулярной фиксцией?
Я встречал и такой подход. Будучи в Краевом центре при мне крестообразно проводили спицы через таранную кость после репозиции, лица с большим медицинским авторитетом ...
Повторюсь, я молодой специалист и моя задача научиться делать правильно и с пользой для пациента.
АС> Ответы на вопросы: 1. Дистракцию снять!
Сделано.
АС> 2. Конечно аппарат собран не лучшим образом. База на стопе очень низко
АС> расположена, есть даже сомнения: обе ли спицы проходят через пяточную
АС> кость?
Обе спицы проходят через кость. Снимок "срезан", поэтому не очень отчетливо видно.
АС> Откройте любое руководство по чрескостному остеосинтезу и
АС> найдете ответ на вопрос , как компоновать аппарат, возможно, даже
АС> удивитесь, когда узнаете , что есть компоновки
АС> вообще не фиксирующие г\ст сустав.
Ирония понятна... Но ведь при вывихе, разве можно
устранить вывих и удержать стопу, не включая ее саму в схему конструкции? Само собой блокируется голеностопный сустав.
>>> Больная категорически отказалась от проведения спиц
>>> с напайкой в условиях местной анестезии...
АС> Прочитал эту фразу несколько раз... И правильно сделала! А что, с
АС> наркозом проблемы?
Пациентка страдает хр.алкоголизмом. Доставила много хлопот анестезиологам во время первого обезболивания. И они четко дали понять, что проблемы травматолога в неспособности сразу
сделать все как надо, в их планы не входит.
АС> Слышали ли Вы о принципах хирургического лечения внутрисуставных
АС> переломов, таких как 1.анатомичная репозиция,
АС> 2.внутренняя (хотя и наружняя тоже может
АС> быть)фиксация отломков (а не
АС> сустава)по принципу "абсолютной" стабильности,
АС> 3.атравматичная техника
АС> 4 ранняя мобилизация сустава (а возможно и ранняя нагрузка, если
АС> вдавления хряща нет)???
Да это ж "папаша Мюллер" собственной персоной!
Активно пользуемся остеосинтезом по АО тоже.
--
С уважением, Заднепровский Никита
|
[
Ответить ]
|
Re: Открытый переломо-вывих стопы.
Отправитель: Алексей Семенистый 20 Апрель 2006, 22:14
|
> АС> удивитесь, когда узнаете , что есть компоновки
> АС> вообще не фиксирующие г\ст сустав.
> Ирония понятна... Но ведь при вывихе, разве можно
> устранить вывих и удержать стопу, не включая ее саму в схему
> конструкции? Само собой блокируется голеностопный сустав.
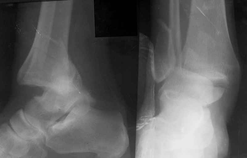
Стабильность г\ст сустава обеспечивается во-первых наружной лодыжкой (ключ), во-вторых задним краем б\б кости, в-третьих связками синдесмоза и межкостной мемраной, только в-четвертых медиальной лодыжкой (дельтовидной связкой. Это классика! А пяточной кости и плюсневых костей здесь нет! зачем их фиксировать? см. вложенный файл.

> Да это ж "папаша Мюллер" собственной персоной!
> Активно пользуемся остеосинтезом по АО тоже.
Так и пользуйтесь, раз знаете!
С уважением, А. Семенистый.
|
[
Ответить ]
|
Re: Открытый переломо-вывих стопы.
Отправитель: дмитрий бондарь 24 Апрель 2006, 02:41
|
Коллега!Sorry,по-моему стоит провести винт через синдесмоз,а?Вроде бы контуры г\ст не совпадают,нет?Я дал бы компрессию на синдесмоз в положении полного разгиба стопы
С уважением Д.Б.
|
[
Ответить ]
|
Re: Открытый переломо-вывих стопы.
Отправитель: Алексей Семенистый 24 Апрель 2006, 11:40
|
>>Д.Б. - Коллега!Sorry,по-моему стоит провести винт через синдесмоз,а?Вроде бы контуры г\ст не совпадают,нет?Я дал бы компрессию на синдесмоз в положении полного разгиба стопы..
1. Винт никогда не стоит проводить "через" синдесмоз. Если и проводить, то выше синдесмоза.
2. Межберцовый винт должен быть только позиционным и должен удерживать синбесмоз, а не компремировать его
3 Контуры девственны: талокруральный угол, суперпозиция, медиальное пространство. Что не совпадает?
Вообще, этот больной через 2 месяца после травмы в футбол играл.
Pls.
|
[
Ответить ]
|
|
Re: Открытый переломо-вывих стопы.
Anton Vladzymyrskyy 20 Апрель 2006, 21:18
|
День добрый!
Именно из-за боязни трофических и неврологических расстройств мы оперируем такие повреждения немедленно. Причем - пока стерилизуется аппарат и готовится операционная - под масочным наркозом устраняем вывих, фиксируем конечность шиной. В противном случае наступают асептические некрозы.
Дистракцию надо бы уменьшить, а в репонирующем кольце все-таки провести спицу. Обычно при таких травмах мы и передний отдел стопы фиксируем, хотя бы на пару недель. О нагрузке речь может идти только после снятия швов и проведения вышеупомянутой спицы.
С уважением,
А.В.Владзимирский
Донецкий НИИ травматологии и ортопедии
Донецк, Украина
|
[
Ответить ]
|
Re: Открытый переломо-вывих стопы.
Каминский Андрей 23 Апрель 2006, 09:50
|
Никита, рсполагая приличным опытом работы с аппаратом Илизарова, хочу ответить на Ваши опросы. 1. Дистракция с суставной щели должна быть сброшена до нейтрального состояния. Опасность самого процесса состоит в возможности вторичного смешения отломков малоберцовой кости.
2. Конструкция действительно не способствует ранней нагрузке, первые 2 недели желательно имитация нагрузки с формированием правильного шага, после чего нагрузка должна постепенно увеличиваться, с ориентацией на болевые ощщущения. 3. Добиваться точной репозиции надо на операционном столе, а учитывая рентгенологическую картину можно за идеалом не гнаться, сроки сращения будит чуть больше, но не на много.
Теперь позвольте несколько советов.
Такие операции следует делать в кратчайшие сроки и не под местной анестезией.
Фиксироваться должен каждый поврежденный элемент (выше и ниже перелома нвружной лодыжки в сагиттальной плоскости проводятся спицы с напайками навстречу друг другу с учетом направления линии излома - репозоция и компрессия, даже в послеоперационном периоде). Обязательно должна быть спица во фронтальной плоскости в н/3 голени с напайкой. Она позволит осуществить компрессию в области синдесмоза. Подобная схема позволяет рано (2-3 недели) освобождать голеностопный сустав и в полной мере применять принцип лечения внутрисуставных переломов: Ранняя функция поздняя нагрузка.
Желаю успехов в освоении метода. первый опыт очень неплох. Удачи.
|
[
Ответить ]
|
Re: Открытый переломо-вывих стопы.
Alexander Chelnokov 23 Апрель 2006, 11:49
|
Лучше, конечно, фиксировать открытые переломы вместе с ПХО.
В подобных ситуациях пользовались упрощенной компоновкой аппарата. Спиц достаточно трех, все во фронтальной плоскости, с напайками: снаружи - в средней трети голени и в таран, изнутри - в надлодыжчечной области. Аппарат из двух кольцевых опор, спица в таране крепится на приставках к дистальному кольцу. Две встречные упорных площадки позволяют хорошо контролировать наружный подвывих.
Если на исходных снимках наружная лодыжка находится в нормальных взаимоотношениях с тараном, то есть вывихнулась стопа с наружной лодыжкой вместе, то спицу с упором в таран можно провести через нее, или перед вправлением ее пришпилить несквозной спицей-двумя к тарану, тогда и ее репозиция произойдет "автомагически". Этот же прием, кстати, можно использовать и в других ситуациях, когда надо восстановить длину малоберцовой кости.
|
[
Ответить ]
|
( Ответить )
|
|