Ответить
|
Re: Аппарат Мацукатова-Шевцова
Андрей Волна 03 Май 2010, 11:37
|
Так бы сразу и сказали, что продажи уже стартовали. Вполне возможно, удобная и полезная вещь. Только вот маркетинг и промоушн уж слишком человеконенавистнические по отношению к коллегам, позволяющим себе хоть в чём то усомниться (смотри Препараты в травматологии ниже)
С уважением, Андрей Волна
|
[
Ответить ]
|
Re: Аппарат Мацукатова-Шевцова
Отправитель: Theodoros M 03 Май 2010, 13:03
|
Андрей, К сожалению не все зависит от нас,в том числе и от меня. У патентообладателей своя философия. Они - представители большого бизнеса и не думаю, что хорошо понимают, с чем имеют дело. Хотя пытался доказывать, что не стоит медлить с этим делом.
|
[
Ответить ]
|
|
Re: Аппарат Мацукатова-Шевцова
Никита Заднепровский 03 Май 2010, 13:34
|
Здравствуйте, Мацукатов.
Спасибо, за презентацию.
Выглядят симпатишно. Дизайн самого кольца очень похож на Тэйлора.
Кольца рентгенпрозрачные?
> перемонтажах. Достаточно взять гаечный ключ, подойти к постели больного и произвести любые
> манипуляции с многоплоскостными перемещениями костных отломков в течении 1-5 минут. Все
В аппарате Тэйлора или гексаподе "произвести любые манипуляции с многоплоскостными перемещениями костных отломков" позволяет компьютерное обеспечение и "кликовое" перемещение по стержням со строго заданными промежутками. А тут? Под ЭОПом или серия снимков для контроля?
> Мацукидиса-Шевцова (так он называется) имеет шесть степеней свободы. Его основу
Так все-таки Мацукатова или же Мацукидиса? ))))
Еще раз спасибо за предоставленный материал.
Никита
|
[
Ответить ]
|
Re: Аппарат Мацукатова-Шевцова
Отправитель: Theodoros M 03 Май 2010, 13:36
|
Здравствуйте, Никита.
Аппарат на сегодняшний день делается из титана, но в перспективе планируем и углепластик.
Вернее будет сказать, что в гексаподных аппаратах работа без компьютерного обеспечения невозможна. Это их большой недостаток. Ну зачем компьютеризировать элементарную манипуляцию, например, репозицию отломков? Не вижу в этом никакого смысла. Это образно можно сравнить с компьютерным обеспечением приема пищи - расчет траектории перемещения ложки. Разве что если речь идет о человеке слепом и с ампутированными руками. В принципе, создать компьютерное обеспечение для этого аппарата легче легкого, но в этом случае длительность репозиции возрастет на порядок, ведь придется производить замеры, внести их в программу, которая произведет расчеты и только тогда Вы сделаете то, что можно было бы сделать без всякой канители.
Для репозиции мы почти всегда пользуемся рентгеновскими снимками.Причем чаще всего делаем 2 серии снимков. Но можно и ЭОПом, если он у вас имеется.
При патентовании аппарата брались данные из монго европаспорта, где пишусь Мацукидисом, именно так аппарат в документах и называется. Но даже если Вы его назовете просто аппарат я не обижусь.
С удовольствием отвечу на все Ваши вопросы. Спасибо за интерес.
|
[
Ответить ]
|
Re: Аппарат Мацукатова-Шевцова
Отправитель: Никита Заднепровский 03 Май 2010, 13:40
|
> Аппарат на сегодняшний день делается из титана, но в перспективе планируем и углепластик.
Углеродные кольца - это будет сильный маркетинговый ход )))
> Вернее будет сказать, что в гексаподных аппаратах работа без
> компьютерного обеспечения невозможна. Это их большой недостаток.
Так сама идея гексаподных приставок - именно постепенная репозиция.
Одномоментно можно ведь и на столе под ЭОПом поправить. Есть и моторизированная версия. Крутит все аппаратик с моторчиком )))
Мы используем дистракционно-репозиционные устройства для интрамедуллярного остеосинтеза голеней, бедер и плечей. Такой аппарат, с учетом того, что кольца рентгенпрозрачные и большого радиуса (для
бедра) я бы, допустим, купил.
Никита
С уважением,
Zadneprovskiy
|
[
Ответить ]
|
Re: Аппарат Мацукатова-Шевцова
Отправитель: Мацукатов Феодор 03 Май 2010, 13:50
|
Так сама идея гексаподных приставок - именно постепенная репозиция
Принципы ургентности приветствуют максимально быструю репозицию, если нет противопоказаний для нее. А постепенная репозиция - это похоже на то, как удаляют зуб медленно и больно.
|
[
Ответить ]
|
Re: Аппарат Мацукатова-Шевцова
Отправитель: Алдександр Петрушин 03 Май 2010, 15:35
|
Впечатляет простота репозиции и монтажа Вашего аппарата. Несмотря на достаточно подробное представление в материалах Форума, существуют ли какие либо методические рекомендации, более подробно освещающие манипуляции по наложению и репозиции на различных сегментах конечностей? Если да, то где их можно приобрести? Может есть презентация в формате power point?
С уважением, Александр Петрушин
|
[
Ответить ]
|
Re: Аппарат Мацукатова-Шевцова
Отправитель: Theodoros M 03 Май 2010, 19:48
|
Сейчас готовим к печати методическое пособие, достаточно подробное.
|
[
Ответить ]
|
Re: Аппарат Мацукатова-Шевцова
Отправитель: Никита Заднепровский 03 Май 2010, 19:53
|
> если нет противопоказаний для нее. А постепенная репозиция - это
> похоже на то, как удаляют зуб медленно и больно.
О, нет. Думаю, что приведенная Вами аналогия не совсем удачная. Из той же стоматологии более правильным примером будет ситуация с наложением брекетов. Никому и в голову не приходит поправить зубы одномоментно.
Именно постепенно, а поэтому и не больно.
> Принципы ургентности приветствуют максимально быструю репозицию,
По поводу ургентности. Мы опять сваливаемся в плоскость принципов фиксации. Максимально быстрая репозиция может быть достигнута и
стержнем и пластиной. Причем за стержнем можем оставить еще и возможность управления процесса сращения. И нагрузка сразу. И перевязок не нужно.
Никита.
|
[
Ответить ]
|
Re: Аппарат Мацукатова-Шевцова
Отправитель: Theodoros M 03 Май 2010, 21:07
|
Уважаемый Никита!
Мне лично непонятно, почему репозицию надо делать постепенно, а не быстро и сразу же, на операционном столе. Предполагаю, что Вы ориентируетесь на гексаподные аппараты, для которых произвести это в операционной и стерильных условиях весьма сложно.
С уважением.
|
[
Ответить ]
|
Re: Аппарат Мацукатова-Шевцова
Отправитель: Zadneprovskiy Nikita 03 Май 2010, 22:32
|
> Мне лично непонятно, почему репозицию надо делать постепенно, а не
> быстро и сразу же, на операционном столе. Предполагаю, что Вы
> ориентируетесь на гексаподные аппараты, для которых произвести это в
> операционной и стерильных условиях весьма сложно.
Видимо некоторая неувязка во взглядах произошла из-за того, что я не рассматриваю аппарат внешней фиксации как окончательный вариант
остеосинтеза (кроме детей, разумеется). На прошлой неделе оперировали 11-летнюю девочку с низким переломом обеих костей голени. Гвоздик не поставить и пластинка вроде как перекрывает зону роста. Аппарат пришелся как нельзя кстати.
Ведь у каждого случалось лечить пациентов с переломами месячной и более давности. Так вот одномоментно выправить "ось-длину-ротацию" уместно как раз постепенно. Затем забить гвоздь и все. Ваш аппарат, видимо, будет обладать всеми необходимыми для этого
свойствами. Такой тандем "ДРУ - БИОС" - отличная штука. А если приспособить для бедра, то цены ему не будет. Но желательно чтобы кольца были карбоновыми.
Никита
|
[
Ответить ]
|
Re: Аппарат Мацукатова-Шевцова
Отправитель: Theodoros M 03 Май 2010, 22:58
|
Насчет застарелых переломов Ваша мысль понятна. Кстати, уже запатентована модификация аппарата на бедро,обладающая теми же возможностями.
|
[
Ответить ]
|
Re: Аппарат Мацукатова-Шевцова
Отправитель: Alexander Chelnokov 05 Май 2010, 11:48
|
TM> Вернее будет сказать, что в гексаподных аппаратах работа без
TM> компьютерного обеспечения невозможна. Это их большой недостаток.
Ценой именно этого "недостатка" достигается возможность 1)на компьютере задать начальное и желаемое положение отломков, что может сделать
врач, не имеющий большого опыта реконструкций. Который без гексапода вообще бы не справился.
и самое замечательное - 2) можно выдать пациенту распечатку, что и по сколько крутить, и отпустить его на несколько недель, проведя все манипуляции по собственно коррекции без участия медперсонала. Есть такая возможность при работе с Вашим аппаратом?
Так что это не недостаток, а качественно новое свойство, обеспечивающее другой принцип управления отломками в сравнении с
прежними решениями, когда смещения устраняются отдельно и последовательно. И не надо, кстати, опять возвращаться к 70 годам прошлого века с центральным расположением кости в кольце.
И еще раз напомню, что конкретно при свежих закрытых диафизарных переломах специализированные аппараты с широкими возможностями коррекции
положения отломков просто не нужны. Подвижность более чем хорошая, репозиция легко достигается одномоментно (вариантов ее техники
наработано много), и после выезда из операционной нужна только фиксация.
|
[
Ответить ]
|
Re: Аппарат Мацукатова-Шевцова
Отправитель: Виталий Евгеньевич Казеннов 05 Май 2010, 15:22
|
Уважаемый Александр Николаевич,
Вы пишете, что "врач, не имеющий большого опыта реконструкций" может на "компьютере задать начальное и желаемое положение отломков".
А 1. Как к нему попадёт это чудо технического прогресса?
И 2. А если кто-нибудь один из двух ошибётся?
И ещё Вы пишите: "можно выдать пациенту распечатку, что и по сколько крутить, и отпустить его на несколько недель, проведя все манипуляции по собственно коррекции без участия медперсонала".
А разве у Вас нет наблюдений, когда "без участия медперсонала" пациенты начинали с тоски крутить неправильно? Или прекращали крутить вообще и
приезжали спустя эти самые несколько недель со сросшимся переломом, но с таким положением отломков, что глаза бы не смотрели, и при этом отказывались от дальнейших экспериментов? Компьютерных распечаток не было, но инструкции-то были письменные и чёткие...
Бест регардс,
Виталий Евгеньевич Казённов,
Хабаровск
|
[
Ответить ]
|
Re: Аппарат Мацукатова-Шевцова
Отправитель: Alexander Chelnokov 05 Май 2010, 16:05
|
А 1. Как к нему попадёт это чудо технического прогресса?
Как и все инструменты и имплантаты - купили, подарили, дали на апробацию...
И 2. А если кто-нибудь один из двух ошибётся?
Если принять окно за дверь, можно убиться насмерть. Случается, увы.
А разве у Вас нет наблюдений, когда "без участия
И наглухо завинченные аппараты Илизарова разбирали. Полностью fool-proof средства если и будут, то нескоро. Но все это к теме обсуждения относится довольно отдаленно.
|
[
Ответить ]
|
Re: Аппарат Мацукатова-Шевцова
Отправитель: Мацукатов Феодор 05 Май 2010, 20:29
|
Добрый вечер, Александр Николаевич.
Если я стою в точке А и прекрасно вижу точку Б, куда мне необходимо попасть, то зачем мне делать какие-то расчеты, чтобы дойти до нее? Объясните,пожалуйста. Но, если я слепой, а это образно характеризует гексаподы, то я элементарно ВЫНУЖДЕН ЭТО СДЕЛАТЬ. Говорю Вам честно: к нам в центр приезжают учиться много молодых специалистов и принципы работы с аппаратом (а они элементарные) они усваивают с первого же знакомства с ним. А отпускать надолго пациента, находящегося в режиме дистракции, пусть даже с распечаткой в руках, - большая ответственность. Почему? Да потому, что ни один аппарат (даже наш), а тем более компьютерная программа, не сможет учесть множества параметров, а именно жесткость фиксации, силу сопротивления мягких тканей, усталостные процессы в металле и т.п., которые способны привести к непредсказуемым последствиям.
Причем тут центральное расположение кости в опоре? Я нисколько не загружаю голову этим и стараюсь устанавливать опоры на равных растояниях от мягких тканей. Если в процессе устранения ротации появится какое-то смещение, то ничего страшного - я его устраню за минуту. Но смещения, как правило, возникают при больших углах ротации.
Вашими устами да мед пить! Если наступит такое время, что точнейшая репозиция специалистом любой квалификации будет достигаться одномоментно, легко, при помощи кучи "вариантов ее техники", то можете быть уверены, что это наступил "медицинский коммунизм". А пока это всего лишь мечты. Такое мое мнение.
С искренним уважением.
|
[
Ответить ]
|
Re: Аппарат Мацукатова-Шевцова
Отправитель: Алесей Семенистый 09 Май 2010, 08:27
|
> Если я стою в точке А и прекрасно вижу точку Б, куда мне необходимо
> попасть, то зачем мне делать какие-то расчеты,
Так вот оно, где собака порылась!!!
Если вы прекрасно ВИДЕТЕ точки А и Б, значит вы делаете ОТКРЫТУЮ репозицию!? Если же, все-таки речь идет о закрытой репозиции без прямой визуализации отломков, то вы (и мы) ориентируемся по снимкам или при помощи скопии (ЭОП), т.е, по плоской тени костей в рентгеновских лучах . Даже если вы будете оценивать строго ортогональные проекции на глаз, Ваш мозг врядли способен построить точную 3-х мерную реконструкцию при сложной геометрии кости и смещении,и правильно определить на какую величину и в каком направлении надо смещать опоры, что бы добиться анатомической репозиции.
С уважением, А.Семенистый
|
[
Ответить ]
|
Re: Аппарат Мацукатова-Шевцова
Отправитель: Jacob Odessky 09 Май 2010, 08:29
|
В 2005 году в несколько десятках развитых стран был запатентован принципиально новый аппарат для управляемого чрескостного остеосинтеза (Мацукатов Феодор)
Уважаемый Феодор!!!
Вы пишете о принципиальной новизне представляемого аппарата!!! Возможно я чего - то недопанимаю, но сам аппарат состоит из кольцевых опор, репозиционных блоков и шарнирных соединений, которые были известны давно. Универсальные репозиционные блоки известны много лет.Шарнирные соединения также. Использование кольца в кольце для деротации применялась в институте Илизарова за долго до Вашего прихода туда. Единственное новшество - зубчатое соединение между кольцами. Что ж тут принципиально нового?
Аппарат Мацукидиса-Шевцова (так он называется) имеет шесть степеней свободы. Его основу составляет функциональный модуль...Как правило, точной репозиции добиваются после двух попыток (Мацукатов Феодор)
Уважаемый Феодор!!! Шесть степеней свободы он имеет, но каким способом достигается коррекция деформации??? На протяжении недели я прошу Вас выложить 2 случая коррекции деформации, которые Вы пролечили представляемым аппаратом!!!Вы пишите, что редукция перелома занимает 2 попытки. Если перелом имеет полное смещение и ротацию, то по логике 1 попытка должна быть устранение смещени по длине с небольшим переудлинением. 2 попытка- деротация. 3 попытка устранение деформации во фронтальной плоскости + передне-заднего смещения.4 попытка - устранение угловой деформации в саггитальной плоскости и бокового смещения. И, наконец, 5 попытка - устранение переудлинения, которое необходимо для репозиции. Или всё это Вы считаете одной попыткой???
Аппарат Мацукидиса-Шевцова по своим функциональным возможностям значительно превосходит все имеющиеся аналоги. (Мацукатов Феодор)
Тут Вы явно преувеличиваете, уважаемый коллега!!! Я не буду сравнивать Ваше детище со всеми гексаподами, сравню его только с Гексаподным аппаратом Илизарова
Аппарат АИ АМШ ГАИ
Удлинение + + +
Устранение
деформации
Одноплоскостная + + +
Двухплоскостная - - +
Деротация + + +
Деротация+одоплоскстная + + +
Деротация+двухплоскостая - - +
Резидуальная коррекция
(без перемонтажа) - - +
Анатомическая репозиция
(на операционном столе) + + +
Наличие програмного
обеспечения - - +
Возможность автоматизации
процесса репозиции и
устранения деформации - - +
Уважаемый Яков!
Ваше мнение было прогнозируемо на все 100. Еще в Питере, увидев новый аппарат, Вы сразу же заявили, что это ухудшенная версия аппарата Тейлора. Тогда я Вас видел первый раз и не знал, что Вы и есть тот самый Яков Одесский. А узнав - удивился. Удивился потому, что до сих пор в нашей клинике Вас помнят как неистово ищущего специалиста. Что же Вас заставило так измениться?(Мацукатов Феодор)
Уважаемый Феодор! Благодарю за столь высокую оценку моей скромной персоны. А я и не изменился... Будучи одним из авторов того, что на Западе называется метод CORA, я прекратил расчёты истинной полоскости деформации как только начал работать с гексаподом, потому, что он имеет большие преимущества перед расчётами и устранением деформации в косой проэкции. А в остальном я постоянно следую методу Илизарова и даже название Гексаподный аппарат Илизарова назван так с моей подачи.
Не хочется Вас огорчать, но Ваше мнение или предвзято, или некомпетентно.(Мацукатов Феодор)
Уважаемый Феодор!!!Факты показывают обратное
С уважением!
Odessky Jacob M.D.
Orthopedic Surgeon
Limb Lengthening and
Reconstruction
|
[
Ответить ]
|
Re: Аппарат Мацукатова-Шевцова
Отправитель: ODESSKY JACOB M.D. 05 Май 2010, 14:18
|
Вернее будет сказать, что в гексаподных аппаратах работа без компьютерного обеспечения невозможна. Это их большой недостаток(Theodoros M)
Ну, вообще, это не сответствует истине. Гексаподный апарат Илизарва позволяет работать и без компьютера и даже без гаечного ключа.
|
[
Ответить ]
|
|
Re: Аппарат Мацукатова-Шевцова
Odessky Jacob M.D. 04 Май 2010, 02:28
|
Уважаемые авторы нового аппарата!
У меня к вам несколько вопросов...
1. Существует ли компьютерная программа, поддерживающая данный аппарат
2. Сколько пациентов пролечилось данным аппаратом с деформациями, включая стопы?
3. Не являеться тромбообразование крови, попавшей в зубчатые соединения во время операции, препятствием для плавного ротационного движения колец после операции.
4.Какие конкретно аналоги превосходит предлагаемый аппарат, проводились ли сравнительные испытания, где можно прочитать об этих работах.
5. Может ли накладываться аппарат Илизарова классический , его гесаподный вариант, аппарат Тэйлора и Аппарат Соломина без скелетного вытяжения?
6. Почему во всех аппаратах, перечисленных в пункте 5 не возможна, как Вы это утверждаете одномоментная репозиция.
7. Всегда ли одномоментная репозиция предпочтительней постепенной, возможны ли исключения?
8. Какие аппараты применяются сейчас в институте Илизарова?
Благодарю заранее за ответы на вопросы. С уважением
|
[
Ответить ]
|
Re: Аппарат Мацукатова-Шевцова
Мацукатов Феодор 05 Май 2010, 08:22
|
Здравствуйте, уважаемый Яков. Отвечаю:
1. Нет, не существует. Этот аппарат не нуждается в компьютерном обеспечении в том виде, каком это сделано для других аппаратов.
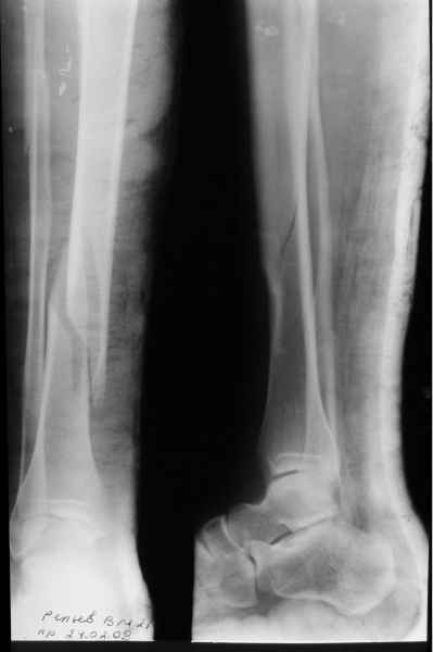
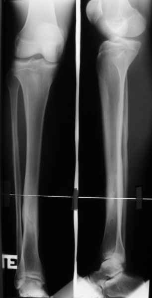
2. Апробацию мы проводили на переломах. Но также пролечены двое больных с многоплоскостными деформациями голени. Для стопы у нас практически уже готова его модификация, но она еще не запатентована.
3. Заклинивания колец не было ни разу.
4. К нам приезжал сам профессор Бинский с аппаратом Тейлора. Хотел нас удивить, а получился полный провал. Вот на это я и ориентируюсь.
5. Может, например, на голень. И многие мои коллеги так и делают. А есть такие, которые только так и делают.
6. Я этого не утверждал. Я говорил, что репозиция растягивается во времени.
7. Нет, далеко не всегда.
8. Если считать по патентам, то много, наверное около 10. Классический аппарат Илизарова плюс множество его модификаций, запатентованных каждый по отдельности, ФИКСАР, обсуждаемый в данный момент аппарат.
С уважением Ф.А.
|
[
Ответить ]
|
Re: Аппарат Мацукатова-Шевцова
Отправитель: Odessky Jacob M.D. 05 Май 2010, 09:55
|
Здравствуйте, уважаемый Феодор!!!
1. Жаль, отсутствие такового, превращяет его в более сложное и усовершенствованное подобие классического аппарата Илизарова, биомеханическим недостатком которого является крепления в 2-х точках между проксимальными и дистальными опорами...
2. было интересно посмотреть на эти 2 случая, только с включением расчётов коррекции, если это возможно!!!
3.Значит кровь не попадает мжду кольцами???
4.Бинский не потерпел провал, просто наши коллеги не были готовы воспринять аппарат Тэйлора.
8.Если бы Вам патенты стоили столько, сколько за бугром, уверяю Вы не патентовали новую компановку аппарата Илизарова, как доктор Веклич,Ю к примеру!!!
С увжением Я.А
|
[
Ответить ]
|
Re: Аппарат Мацукатова-Шевцова
Отправитель: Мацукатов Феодор 05 Май 2010, 19:55
|
Добрый вечер, уважаемый Яков.
Отвечаю по пунктам:
1. Позволю себе напомнить Вам, что точка - это место пересечения двух прямых, не имеющая размеров. В аппарате Мацукатова-Шевцова упомянутые Вами штанги фиксированы на протяжении 22мм.Добавлю, что они диаметром 8 мм и сделаны из титанового сплава. Их свободное плечо с каждой стороны равно 40-80 мм. Уверяю Вас,что если к ним подвесить груз, равный господину Одесскому, то они выдержат без труда. Но если предположить, что упомянутый господин только что вернулся с очередного корпоратива АО и есть какие-то сомнения в их прочности, то для таких случаев придуманы опорные планки. Обратите внимание на цветное фото, они есть на лежащем аппарате.
2. Неуж-то Вы думаете, что Вас водят за нос? Откопаю в архиве, сфотографирую и пришлю лично Вам.
Обратите внимание, дистракционные стержни в аппарате соединяются с резьбовыми штангами посредством двухплоскостных шарниров. Так почему это аппарат не должен суметь устранять деформации? Объясните мне, пожалуйста.
3. Нет, кровь попадает, но говорю Вам честно, что лично у меня не было ни разу заклинивания колец. Другие врачи говорят, что у них было, но причиной тому скорее всего было нарушение методики пользования. Но если и было, то снять наружное кольцо и заменить его не составляет никакого труда.
4. Здесь Вы в чем-то правы, но это касается не только Бинского.
5. Здесь я бессилен что-либо сказать...
P.S.: два часа назад наложил очередной аппарат на очередной перелом. Удивительно просто и идеально точная репозиция. Никаких сомнений, что он прекрасно срастется через 40-50 дней, а еще через 2, максимум 3 недели пациент приступит к работе. В итоге на рентгенограмме я буду созерцать кость в первозданно-девственном виде, а не металл, одетый в оболочку из склерозированной кости.
С уважением Ф.А.
|
[
Ответить ]
|
Re: Аппарат Мацукатова-Шевцова
Отправитель: Игорь Редько 11 Май 2010, 00:28
|
....."созерцать кость в первозданно-девственном виде"....... - это у А.В. от пропаганды АО крылышки пробиваются, а у Вас прям нимб над головой - уж больно большой, наверно головушке то тяжело, вот она и болит. - Осторожно: май - месяц опасный!
|
[
Ответить ]
|
Re: Аппарат Мацукатова-Шевцова
Отправитель: Мацукатов Феодор 11 Май 2010, 02:37
|
Я так понимаю, что по тону это сам господин бог к нам пожаловал? Ошметки фраз и мыслей направо и налево... Только вот смысл бы уловить...
|
[
Ответить ]
|
|
Re: Аппарат Мацукатова-Шевцова
Мацукатов Феодор 05 Май 2010, 08:25
|
"Вы извените, но мы прекрасно помним что нам говорилось в 2008 году...
Не имея компьютерного обеспечения Ваш аппарат превращается в примитивный аппарат для одномоментной ручной репозиции свежих переломов в стадии гематомы. И, поскольку нет возможности одновременно расчитать коррекцию деформации, его преимущество перед классическим аппаратом Илизарова сводиться лишь к тому, что нет необходимости в сложных перемонтажах для устранения смежения по штрине и деротации, хотя отстаётся проблема с угловой деформацией. При этом Ваш аппарат сильно уступает любому гексаподу, которые являются универсальными."
С уважением!
Уважаемый Яков!
Ваше мнение было прогнозируемо на все 100. Еще в Питере, увидев новый аппарат, Вы сразу же заявили, что это ухудшенная версия аппарата Тейлора. Тогда я Вас видел первый раз и не знал, что Вы и есть тот самый Яков Одесский. А узнав - удивился. Удивился потому, что до сих пор в нашей клинике Вас помнят как неистово ищущего специалиста. Что же Вас заставило так измениться? Неужели Вам неясно, что эти два аппарата основаны на совершенно РАЗНЫХ КОНСТРУКТИВНЫХ ПРИНЦИПАХ? И угловые деформации он устраняет прекрасно. Ну не нуждается этот аппарат в компьютерном обеспечении в таком виде, каком оно используется для гексаподов, и все!!! В конце-концов, это обеспечение, которое в Вашем сознании воспринимается как признак крутизны, не отменит ручной подкрутки. А если я это сделаю без помощи компьютера, так же, как и в гексаподах,тогда ЗАЧЕМ ОНО МНЕ НУЖНО? А вот если компьютер сделает необходимые расчеты, затем даст команду на электродвигатели и будет контролировать их работу на принципах прямой и обратной связи - вот ТОГДА ДРУГОЕ ДЕЛО! Вот над этим стоит поработать, что мы и начали делать. Не хочется Вас огорчать, но Ваше мнение или предвзято, или некомпетентно.
|
[
Ответить ]
|
Re: Аппарат Мацукатова-Шевцова
Odessky Jacob 09 Май 2010, 03:28
|
В 2005 году в несколько десятках развитых стран был запатентован принципиально новый аппарат для управляемого чрескостного остеосинтеза (Мацукатов Феодор)
Уважаемый Феодор!!!
Вы пишете о принципиальной новизне представляемого аппарата!!! Возможно я чего - то недопанимаю, но сам аппарат состоит из кольцевых опор, репозиционных блоков и шарнирных соединений, которые были известны давно. Универсальные репозиционные блоки известны много лет.Шарнирные соединения также. Использование кольца в кольце для деротации применялась в институте Илизарова за долго до Вашего прихода туда. Единственное новшество - зубчатое соединение между кольцами. Что ж тут принципиально нового?
Аппарат Мацукидиса-Шевцова (так он называется) имеет шесть степеней свободы. Его основу составляет функциональный модуль...Как правило, точной репозиции добиваются после двух попыток (Мацукатов Феодор)
Уважаемый Феодор!!! Шесть степеней свободы он имеет, но каким способом достигается коррекция деформации??? На протяжении недели я прошу Вас выложить 2 случая коррекции деформации, которые Вы пролечили представляемым аппаратом!!!Вы пишите, что редукция перелома занимает 2 попытки. Если перелом имеет полное смещение и ротацию, то по логике 1 попытка должна быть устранение смещени по длине с небольшим переудлинением. 2 попытка- деротация. 3 попытка устранение деформации во фронтальной плоскости + передне-заднего смещения.4 попытка - устранение угловой деформации в саггитальной плоскости и бокового смещения. И, наконец, 5 попытка - устранение переудлинения, которое необходимо для репозиции. Или всё это Вы считаете одной попыткой???
Аппарат Мацукидиса-Шевцова по своим функциональным возможностям значительно превосходит все имеющиеся аналоги. (Мацукатов Феодор)
Тут Вы явно преувеличиваете, уважаемый коллега!!! Я не буду сравнивать Ваше детище со всеми гексаподами, сравню его только с Гексаподным аппаратом Илизарова
Аппарат АИ АМШ ГАИ
Удлинение + + +
Устранение
деформации
Одноплоскостная + + +
Двухплоскостная - - +
Деротация + + +
Деротация+одоплоскстная + + +
Деротация+двухплоскостая - - +
Резидуальная коррекция
(без перемонтажа) - - +
Анатомическая репозиция
(на операционном столе) + + +
Наличие програмного
обеспечения - - +
Возможность автоматизации
процесса репозиции и
устранения деформации - - +
Уважаемый Яков!
Ваше мнение было прогнозируемо на все 100. Еще в Питере, увидев новый аппарат, Вы сразу же заявили, что это ухудшенная версия аппарата Тейлора. Тогда я Вас видел первый раз и не знал, что Вы и есть тот самый Яков Одесский. А узнав - удивился. Удивился потому, что до сих пор в нашей клинике Вас помнят как неистово ищущего специалиста. Что же Вас заставило так измениться?(Мацукатов Феодор)
Уважаемый Феодор! Благодарю за столь высокую оценку моей скромной персоны. А я и не изменился... Будучи одним из авторов того, что на Западе называется метод CORA, я прекратил расчёты истинной полоскости деформации как только начал работать с гексаподом, потому, что он имеет большие преимущества перед расчётами и устранением деформации в косой проэкции. А в остальном я постоянно следую методу Илизарова и даже название Гексаподный аппарат Илизарова назван так с моей подачи.
Не хочется Вас огорчать, но Ваше мнение или предвзято, или некомпетентно.(Мацукатов Феодор)
Уважаемый Феодор!!!Факты показывают обратное
С уважением!
|
[
Ответить ]
|
Re: Аппарат Мацукатова-Шевцова
Отправитель: Мацукатов Феодор 10 Май 2010, 14:02
|

Приветствую, уважаемый Яков.
Что-то Вы скупитесь на "плюсики".
Начну с возможностей аппарата устранять угловые смещения и деформации. Присоединяю сюда фото узлов перемещения аппарата в увеличенном формате. Посмотрите на него внимательно. Шарнирные узлы аппарата расположены в местах стыковок дистракционных стержней с резьбовыми штангами. Эти узлы состоят из втулок, которые крепятся двумя гайками на штангах, и кроштейнов, которые своим гладким отвертием крепятся при помощи гаек на резьбовых хвостовиках втулок, а резьбовым своим отверстием, расположенным в основании, соединяются с дистракционными стержнями. В итоге получается двухплоскостной шарнирный узел: 1) Поворот втулки на резьбовой штанге обеспечивает смещения в сагитальной плоскости; 2) Поворот кронштейна в месте своего крепления к втулке обеспечивает смещения во фронтальной плоскости. Надеюсь пояснил исчерпывающе. Да, здесь же изображены опорные планки. С их помощью аппарат обретает очень высокую жесткость.
Все аппараты состоят из опор, болтов, гаек и т.п. То же самое можно сказать про автомобили, самолеты и т.д. Но это не значит, что они не могут отличаться принципиально. А, поскольку,речь идет об аппаратах циркулярной фиксации, то именно о них и поговорим. Любой аппарат циркулярной фиксации состоит из системы фиксации и системы перемещения. Система фиксации у всех этих аппаратов не имеет существенной разницы - это опоры (независимо от их формы) и элементы фиксации - спицы, стержни-шурупы. А раз они у всех одинаковые, то не могут определять "лицо" аппарата. Значит, определяющим моментом в их отличии друг от друга являются конструктивные и функциональные особенности их систем перемещения. А раз уж оно так, то мне кажется, что в Вашем аппарате, уважаемый Яков, нет ничего илизаровского. Это чистый гексапод. Не знаю, может я и ошибаюсь. Здесь нас может рассудить специалист такого уровня,как многоуважаемый Леонид николаевич.
Теперь о принципиальной новизне аппарата.
Человек с самого детства прывыкает к техмерности восприятия пространтва. Со временем это становится СТЕРЕОТИПОМ ЕГО МЫШЛЕНИЯ. Хотя, говорят, что существует и четвертое измерение, но это уже не к нам. Так вот, любое объемное образование или пространственный процесс человеческий мозг может оценить только исходя из его трехмерности. А, поскольку перемещение костей в пространстве также подчиняется этому принципу, то для врача возможность трехмерного анализа с последующей трехмерностью действий является элементарным условием для успешного лечения заболеваний и повреждений костей. Минусом гексаподов является тот факт, что между трехмерностью анализа и трехмерностью действий вынужденно присутствует дополнительное техническое звено в виде программного обеспечения,которое (это мое личное мнение!) значительно затрудняет и растягивает во времени работу врача. Но, вместе с тем, гексаподы были первыми аппаратами, обладавшими очень важным качеством - шестью степенями свободы. Но,обретя одно,они потеряли другое. Хотя еще в 1992 году ваш покорный слуга собрал компоновку аппарата Илизарова,у которой тоже было 6 степеней свободы. Получилось подобие коллайдера - крайне громоздко и малофункционально. Но главный ее минус был в том, что для обеспечения этих 6 степеней свободы обязательным условием было дополнительное кольцо. И вообще, наши инженеры считали, что у аппарата, не основанного на платформе Стюарта принципиально не может быть шести степеней свободы.
Резюмируя вышесказанное, уважаемый Яков, делаем вывод:
ПРИНЦИПИАЛЬНАЯ НОВИЗНА АППАРАТА МАЦУКАТОВА-ШЕВЦОВА ЗАКЛЮЧАЕТСЯ В ТОМ, ЧТО ЭТО ЕДИНСТВЕННЫЙ В МИРЕ АППАРАТ, ОБЛАДАЮЩИЙ ВСЕМИ ШЕСТЮ СТЕПЕНЯМИ СВОБОДЫ И КОТОРЫЙ ДЛЯ ИХ ПРАКТИЧЕСКОЙ РЕАЛИЗАЦИИ НЕ НУЖДАЕТСЯ В ДОПОЛНИТЕЛЬНОМ ТЕХНИЧЕСКОМ ОБЕСПЕЧЕНИИ В ВИДЕ КОМПЬЮТЕРНОЙ ПРОГРАММЫ.
А это, что бы ни говорили - значительное преимущество.
Кстати, Яков, Вы правы, репозицию я всегда осуществляю на глаз, после анализа рентгеновских снимков. Я уверен,что этот самый "глаз" не позволит мне ошибиться более, чем на 2 мм. Поэтому я и писал, что, как правило, точной репозиции удается добиться за две попытки. Делается это следующим образом. После наложения аппарата производим рентгеновский снимок. Рентгенлаборантку предупреждаю, чтобы вместе с проявленными снимками она принесла еще две кассеты. По полученным снимкам в течении 2-7 минут производим репозицию и делаем новые снимки. Все элементарно просто. Если Вы, уважаемый Яков, считаете, что производить репозицию на глаз примитивно, то готов выслушать, как Вам удается сделать точные замеры, на основаннии которых компьютер вам выдаст точные параметры подкрутки. В том-то и проблема, что на сегодняшний день нет соответствующих технических приемов или способов, обеспечивающих точность измерений. А раз оно так, то это так же фактически делается "на глаз" и, как говорится,"овчинка выделки не стоит". Вместе с тем, повторяю: создать аналогичное программное обеспечение для этого аппарата проще намного. Но оно только затруднит работу врача. Теперь я думаю,что может и стоит это сделать. По двум причинам: 1) чтобы выбить последний аргумент из-под ног тех, кто считает его отсутствие недостатком аппарата; 2) для удовлетворения мазохистских наклонностей тех, кто горит желание помучаться подольше.
Уважаемый Яков! Хотел что-то написать по поводу Ваших плюсиков и минусов, но, признаюсь, не совсем в них разобрался. Однако, повторюсь, что аппарат позволяет устранять любые, даже самые сложные смещения из одной-единственной стандартной компоноки. Без перемонтажей! Причем в наиболее простых случаях подкрутка осуществляется в одном месте(при деротации),при устранении угловых смещений в одной плоскости - в двух местах, то же самое в двух плоскостях - в 3-4 местах и т.д.В гексаподах же при любой необходимости, за исключением казусных случаев, надо подкручивать все 6 страт.
Надеюсь, что мой подробный анализ сможет развеять все Ваши сомнения.
С глубоким уважением.
|
[
Ответить ]
|
Re: Аппарат Мацукатова-Шевцова
Отправитель: Odessky Jacob M.D. 11 Май 2010, 02:40
|
Здравсвуйте, уважаемый Феодор! Благодарю за последнее фото, тепрь я понял, что конструкция более проста, чем я думал ранее.
"В итоге получается двухплоскостной шарнирный узел: 1) Поворот втулки на резьбовой штанге обеспечивает смещения в сагитальной плоскости; 2) Поворот кронштейна в месте своего крепления к втулке обеспечивает смещения во фронтальной плоскости. Надеюсь пояснил исчерпывающе. Да, здесь же изображены опорные планки. С их помощью аппарат обретает очень высокую жесткость".(МАЦУКАТОВ ФЕОДОР)
Да пояснили исчерпывающе. Только в своём обьяснении Вы забыли упомянуть, что плоскость этих шарниров имеет 2-е константы - по количеству отверстий в опорных планках. И их установка не зависит от вершины деформации кости, а от положения кольца. Чем дальше от вершины деформации, тем больше смещение по ширине, а если шарнир установлен за пределами кости с выпуклой стороны деформации, то при этом ещё будет удлинениеЭ которое тем больше, чем дальше от кости находиться шарнир.
Кстати о птичках!!! Опорные планки не присутствуют на тех картинках, которые Вы представили нам ранее!!!
"Значит, определяющим моментом в их отличии друг от друга являются конструктивные и функциональные особенности их систем перемещения. А раз уж оно так, то мне кажется, что в Вашем аппарате, уважаемый Яков, нет ничего илизаровского. Это чистый гексапод. Не знаю, может я и ошибаюсь. Здесь нас может рассудить специалист такого уровня,как многоуважаемый Леонид николаевич." (МАЦУКАТОВ ФЕОДОР)
Позвольте с Вами не согласиться!!! Я накладываю аппарат Илизарова в его классическом варианте. Перед началом дистракции, перевожу его в гексаподный вариант, а по окончании работы с гексаподом, опять перевожу его в классический вариант!!! Этому есть биологическое и экономическое обьяснение. Лично я расматриваю Гексаподный аппарат Илизарова, как новое поколение аппарата Илизарова. Кстати сказать, автор гексаподной приставки для аппарата Илизарова - проф. Клаус Зайде из Германии, не стал присваивать этому название аппарт Зайде.
" Минусом гексаподов является тот факт, что между трехмерностью анализа и трехмерностью действий вынужденно присутствует дополнительное техническое звено в виде программного обеспечения,которое (это мое личное мнение!) значительно затрудняет и растягивает во времени работу врача. Но, вместе с тем, гексаподы были первыми аппаратами, обладавшими очень важным качеством - шестью степенями свободы" (МАЦУКАТОВ ФЕОДОР)
Уважаемый Феодор!!! Ваша проблема в том, что Вы не хотите видеть плюсы гексаподов потому, что Ваше детище не имеет програмного обеспечения. Можете приехать в Германию и своими глазами увидеть, как управляется Гексаподный аппарат Илизарова с помощью электро маторов , встроенных в дистракторы посредством джойстика или контактного экрана. И это Вы называете недостатком??? Кстати в начале июля 2-3 в Гамбурге состоиться очередной воркщоп. Вы сможете совместить приятное с полезным.
"ПРИНЦИПИАЛЬНАЯ НОВИЗНА АППАРАТА МАЦУКАТОВА-ШЕВЦОВА ЗАКЛЮЧАЕТСЯ В ТОМ, ЧТО ЭТО ЕДИНСТВЕННЫЙ В МИРЕ АППАРАТ, ОБЛАДАЮЩИЙ ВСЕМИ ШЕСТЮ СТЕПЕНЯМИ СВОБОДЫ И КОТОРЫЙ ДЛЯ ИХ ПРАКТИЧЕСКОЙ РЕАЛИЗАЦИИ НЕ НУЖДАЕТСЯ В ДОПОЛНИТЕЛЬНОМ ТЕХНИЧЕСКОМ ОБЕСПЕЧЕНИИ В ВИДЕ КОМПЬЮТЕРНОЙ ПРОГРАММЫ.
А это, что бы ни говорили - значительное преимущество." (МАЦУКАТОВ ФЕОДОР)
У Вас, уважаемы коллега, удивительное свойство выдавать недостаток за преимущество!!! Вы как мать, любящая свё дитя-урода. Вы знаете, что гексаподы используются как имитаторы полётов!!! Как примитивное приспособление, подобное Вашему можно использовать как имитатор полётов?
Ваше личное мнение ошибочно, потому, что Вы выдаёте преимущества за недостатки. Заметьте , что если бы было наоборот, Вы бы пели эту песню в обратном порядке.
"Если Вы, уважаемый Яков, считаете, что производить репозицию на глаз примитивно, то готов выслушать, как Вам удается сделать точные замеры, на основаннии которых компьютер вам выдаст точные параметры подкрутки. В том-то и проблема, что на сегодняшний день нет соответствующих технических приемов или способов, обеспечивающих точность измерений. А раз оно так, то это так же фактически делается "на глаз" и, как говорится,"овчинка выделки не стоит" (МАЦУКАТОВ ФЕОДОР)
Нет я так не считаю, мы всё делаем на глаз, даже , когда открываем перелом. А овчинка стот выделки!!! Вы только этого не хотите принять
"Вместе с тем, повторяю: сздать аналогичное программное обеспечение для этого аппарата проще намного. Но оно только затруднит работу врача. Теперь я думаю,что может и стоит это сделать. По двум причинам: 1) чтобы выбить последний аргумент из-под ног тех, кто считает его отсутствие недостатком аппарата; 2) для удовлетворения мазохистских наклонностей тех, кто горит желание помучаться подольше."
(МАЦУКАТОВ ФЕОДОР)
Я б в математики пошёл, пусть меня научат!!! Уважаемый Феодор!!! на сегодняшний день являеться мазохизмом устранение деформации подобными техническими приёмом, который заложен в Вашем аппарате.Если Вы декларируете свой аппарат для репозиции и фиксации переломов, тогда другое дело.
"Причем в наиболее простых случаях подкрутка осуществляется в одном месте(при деротации),при устранении угловых смещений в одной плоскости - в двух местах, то же самое в двух плоскостях - в 3-4 местах и т.д.В гексаподах же при любой необходимости, за исключением казусных случаев, надо подкручивать все 6 страт." (МАЦУКАТОВ ФЕОДОР)
Уважаемый Феодор!!! Вы кому лапшу на уши вешаете, извените за прямоту!!! Вы пройдитесь ещё раз по Вашей клинике и распросите хорошо о своём оппоненте!!! Для того, чтобы Ваше детище устранило деформацию в одной полоскости, необходимо сначала с помощью гаечного ключа освободить 4 шарнира, затем с помощью того же ключа подкрутить минимум 2 дистракционных стержня. Затем с помощью того же ключа затянуть 4 шарнира. Если после этого вы хотите устранить деформацию в другой плоскости, вы должны проделатиь то же самое!!! И после всего, надо устранить вторичное смещение, вызванное невозможностью его предотвращения. И Вы сравниваете это с поворотами 6 стержнейй гексаподов???
"Надеюсь, что мой подробный анализ сможет развеять все Ваши сомнения" (МАЦУКАТОВ ФЕОДОР)
Уважаемый Феодор, Вышему подробному анализу нехватает выложить 2 случая устранения деформации, которые Вы обещали выложить, а я тщетно пытаюсь их лицезреть.
С уважением!
|
[
Ответить ]
|
Re: Аппарат Мацукатова-Шевцова
Отправитель: Мацукатов Феодор 11 Май 2010, 23:21
|
Приветствую, Яков.
К сожалению, эта дискуссия отнимает слишком много времени. Многие дела запущены. Вернусь скоро и отвечу на все твои вопросы. И снимки тех двух пациентов вышлю, и много других. Обещаю.
С уважением.
|
[
Ответить ]
|
|
Re: Аппарат Мацукатова-Шевцова
Игорь Редько 11 Май 2010, 00:54
|
Простите великодушно. А в какой клинике работает Ф.Мацукатов. И аппарат Мацукатова-Шевцова? аппарат Волкова-Оганесяна? При чем здесь глубокоуважаемый Владимир Иванович?
-
Редько И.
|
[
Ответить ]
|
Re: Аппарат Мацукатова-Шевцова
Игорь Редько 11 Май 2010, 02:36
|
......"В 2005 году в несколько десятках развитых стран был запатентован принципиально новый аппарат для управляемого чрескостного остеосинтеза (ФОТО 1). Работа над ним ведется с 1992года"... - дедушку закопали и вперед!
....."Аппарат Мацукидиса-Шевцова по своим функциональным возможностям значительно превосходит все имеющиеся аналоги."...... - не диссертацию защищаете, можно без максимальных степеней.
|
[
Ответить ]
|
Re: Аппарат Мацукатова-Шевцова
Отправитель: Theodoros M 11 Май 2010, 02:43
|
......"В 2005 году в несколько десятках развитых стран был запатентован принципиально новый аппарат для управляемого чрескостного остеосинтеза (ФОТО 1). Работа над ним ведется с 1992года"... - дедушку закопали и вперед!
Так оно и есть, господин Редько. Идея относится именно к этому году и связана с конкретным пациентом. Дедушка здесь ни при чем.
....."Аппарат Мацукидиса-Шевцова по своим функциональным
возможностям значительно превосходит все имеющиеся аналоги."...... - не диссертацию защищаете, можно без максимальных степеней
Согласен...
|
[
Ответить ]
|
Re: Аппарат Мацукатова-Шевцова
Отправитель: Odessky Jacob M.D. 11 Май 2010, 02:49
|
Игорь! Привет!!!
Что ты думаешь по - поводу представляемого аппарата?
Сбрось мне свои координаты на Odesky2000@yahoo.com
Будь здоров!!!
|
[
Ответить ]
|
Re: Аппарат Мацукатова-Шевцова
Отправитель: Odessky Jacob M.D. 11 Май 2010, 02:50
|
Игорь! Привет!!!
Что ты думаешь по - поводу представляемого аппарата?
Сбрось мне свои координаты на Odesky2000@yahoo.com
Будь здоров!!!
|
[
Ответить ]
|
|
Re: Аппарат Мацукатова-Шевцова
Игорь Редько 11 Май 2010, 02:55
|
......."К тому же сначала я провожу спицы в крайних опорах, произвожу дистракцию, потом только в парафрактурных опорах......" - гениально! Вы первый наверно?, ну по крайней мере второй? ...После Константинова Б.К. и Девятова А.А....
|
[
Ответить ]
|
Re: Аппарат Мацукатова-Шевцова
Отправитель: Мацукатов Феодор 11 Май 2010, 12:19
|
Уважаемый коллега! Я никак не могу уловить смысл Ваших слов. Попробуйте изложить их без экстремизма и ауры скандальности. Давайте уважать друг друга (простите за банальную глупость).
С уважением.
|
[
Ответить ]
|
Re: Аппарат Мацукатова-Шевцова
Отправитель: Андрей Каминский 12 Май 2010, 10:05
|
Уважаемый Игорь Редько, а Вы сами-то кто будете и откуда, читая Ваши посты изумляюсь, хочется узнать о Вас побольше.
Каминский Андрей, г.Курган (зав. отделением эндопротезирования в РНЦ "ВТО" им.акад. Илизарова, кстати Здесь работает и Ф.Мацукатов)
_
|
[
Ответить ]
|
Re: Аппарат Мацукатова-Шевцова
Отправитель: Каменскому Андрею 02 Апрель 2015, 07:59
|
Уважаемые бизнесмены!Прочел я немножко о вашем изобретении, я даже в кошмарном сне не мог ничего подобного предвидеть.Я не знаю как вам удалось в эту авантюру впутать В.И. Шевцова, которого я кстати очень уважаю, но ваше изобререние не прогресивное а регресивное.Ван нужно было сходить в ваш архив, поднять пару историй болезни за 1992 или 1996 годы и посмотреть их повнимательней. В те годы чрескостный остеосинтез костей голени выполняли за 30 минут с идиальной репозицией на операционном столе, фиксация длилась не более 45 дней, а общий срок лечении составлял 60 - 65 дней.В послеоперационном периоде этим больным производились 2 - 3 перевязки и 3 -4 раза рентгеновские снимки.Что касается ваших репозиций то вы вообще не рассматриваете расположение мягких тканей.У меня сложилось такое впечатление что этот аппарат взяли с американского только с той целью чтобы написать дисертации в России. Всё что вы пишете вы можете говорить своим больным но не человеку который несколько лет заведывал одним из отделений в институте Илизарова и которого зовут Игорь Редько. А вот кто вы такой Каменский Андрей (зав какого отделения? Может ещё и с Илизаровым контактировали?)А может знаете как надо оказывать травмированным квалифицированную медицинскую помощь? Так что прежде чем открывать рот подумайте кому и что вы говорите или пишите.
Савченко Сергей. Я бумаю кто я такой вы знаете.
|
[
Ответить ]
|
|
Re: Аппарат Мацукатова-Шевцова
Djoldas Kuldjanov 11 Май 2010, 13:30
|
В течение нескольких недель на страницах форума идет жаркая дискуссия по формуле "один против всех" по поводу преимущества лечения переломов голени наружными фиксаторами против интрамедуллярного остеосинтеза.
Благодаря корректной дискуссии оппонентов мы стали свидетелем последнего новшества из Курганского центра. С объективной критикой обсуждаллсь еще одно дополнение к традиционному аппарату - "новое изобретение" для репозиции перелома.
Не только сегодня, но с момента изобретения классического аппарата Илизаровым были неоднократные попытки видоизменить аппарат, начиная от формы аппарата до материала изготовления. Если некоторые изменения с применением новейшей технологии реально помогли популяризации методики, например Carbon Fiber от Smith Nephew, который и сегодня является единственным узнаваемым брендом аппаратов Илизарова за рубежом. В то же время применение алюминиевых колец вместо стальных дискредитировали методику.
Один из советских светил (Калнберз) сделал пластмассовые кольца, которые в свое время сделали революцию из-за рентгенопроницаемости. Но короткий ажиотаж вокруг крупных пластмассовых колец прошел быстро, в основном из-за нестабильности конструкции. Несмотря на нехватку и дефицит имплантов в Советском Союзе в то время, кольца не завоевали популярности, и публика от них отказалась в пользу металлических колец. Только во время шумной афганской компании смогли его установить нескольким сотням раненых, и за это Калнберз был награжден Звездой Героя.
Ткаченко из Военной Академии сделал четырех-угольный аппарат, который собирался из пластин от аппарата. Принцип, способность движения фрагментов кости внутри кольца, оставлен без изменения, но в практической медицине не применялся.
Приходилось встречать другие формы смешных инноваций, например треугольный, неудобный при ходьбе, но, со слов диссертанта, удобный в деротации для устоичивости, когда больной в постели(??)
Но все эти измененные формы исчезали так же, как и появлялись, без воплощения в практику после защиты диссертации. Многие инновационные изменения остаются у авторов патента, как что-то новое, но без выхода за пределы авторской практики (например, Веклич, Пичхадзе)
Хотя многие ортопеды при лечении свежих переломов голени без дополнительных приспособлении репозиции достигали классической компоновкой колец Илизарова. Смещения, включая ротацию, исправляли перестановкой стержня на следующую дырку в кольце. Но ситуация не всегда позволяет исправить ротацию одномоментно, например, в застарелых случаях, и поэтому следующие дополнения к аппарату в основном были репонирующие приспособления.
Типичные примеры приспособлении от Stuart Green или Paley совместно с другими, которые производили нужную коррекцию без демонтажа аппарата. Опять же все эти наработки за пределами практики авторов широкого распространения не получили.
Charles Taylor, со своим братом (пилот самолета) догадались, что за счет платформы Stewart с боковыми тягами, направленными косо, можно исправить любую деформацию, включая ротацию. Дальнейшая компьютерная программа облегчила послеоперационное ведение и таким образом аппарат Taylor (TSF) от Smith Nephew стал универсальным наружным фиксатором для коррекции всех видов деформаций и ложных суставов костей нижней конечности.
Гексапод, который Яша пропагандирует в своих множественных воркшопах в Европе и в разных странах мира, дал следующий импульс в разработке программированных исправлении деформации.
А наш самый публикуемый и популярный в России и в мире Леонид Соломин сделал свою версию гексаподного аппарата, который, по отзывам познакомившихся коллег, отличное приспособление для коррекции деформаций в реконструкционной ортопедии.
Если вернуться к дискуссии, с самого начала мы начали разговор о преимуществах блокирующего интрамедуллярного гвоздя против аппаратов внешней фиксации при свежих переломах голени. Но со временем свежие переломы отошли в сторону, и дискуссия приобрела другой оттенок например “гвоздь против аппарата” вообще!
Из дискуссии заметно, что каждый интерпретирует литературные данные в угоду своей пользы. Хотя интрамедуллярные гвозди известны со времен Кюнтчера, т.е. 40х годов прошлого столетия, а стандартом лечения для переломов трубчатых костей в Америке стали благодаря публикации в 1984 году в журнале JBJS Robert Winquist M.D, Segward Hansen, M.D, и Kay Clawson, M.D.
Авторами был представлен результат лечения более 500 переломов, в 99% успех после применения интрамедуллярной техники. Свидетель конференции Thomas Russell рассказывает, что, несмотря на отличный результат, авторы были раскритикованы оппонентами и названы обманщиками.
А следующая публикация под спонсорством Johnson, Johnson и Parker, а всего было 100 наблюдении, доказала что авторы были правы в преимущество интрамедуллярного остеосинтеза против существующей техники. Результаты исследования были в пользу интрамедуллярной техники, в котором только 4% закончились неудачой, против 66% на скелетного вытяжении и 39% при лечении серкляжной проволокой.
Я не буду повторяться о преимуществах интрамедуллярного метода, потому что очень много было аргументов со стороны выступивших коллег. Явное преимущество в пользу интрамедуллярного гвоздя даже без рандомизированного изучения результатов.
Также экономический расчет процедуры в пользу интрамедуллярного гвоздя, потому что цена одного 180 мм карбонового кольца от аппарата Илизарова $800 US, т.е полный аппарат не менее $5000 US. Тогда как примерная цена гвоздя Эксперт от Synthes около $1200 US. Еще добавить сюда частые наблюдения в поликлинике??
В одной из конференции в одной из стран СНГ нам с Челноковым с гордостью была показана работа местного заведующего, где у больной при закрытых переломах были установлены аппараты на все четыре сегмента. При наличии интрамедуллярной техники, трудно назвать такую работу превосходной.
И последнее насчет дизайна представленного аппарата.
Интересное техническое решение, но у меня сомнение, что модель будет работать, как в статическом режиме, так и во время длительного периода лечения. Также не показано техническое решение проведения троса через кольцо и кость. Под нагрузкой трос или синтетическая нить может скатиться к одному из полюсов, и уведет кольцо от центра. Разрыв троса - надо менять всю конструкцию из двух колец?
Насчет второго аппарата, созданного для управляемой репозиции.
При лечении свежих переломов первичная репозицию осуществляется за счет внутриканального римера, а окончательная репозиция засчет гвоздя. Поэтому для лечения свежих переломов я не вижу надобности, но приспособление может быть применено в реконструкционной ортопедии. Только трудность изготовления и повышенная себестоимость затормозит внедрения еще одного приспособления.
Наверное, в будущем создание управляемых приспособлений пойдет по пути дешевых дополнительных компонентов к стандартным частям аппарата Илизарова с современными композитными материалами вместо огромных, тяжелых и железных.
Каждый идеальный метод имеет свои показания и противопоказания. Поэтому каждый должен делать то, что у него хорошо получается и не отвергая мнения коллег. Ортодоксальность (радикальность) как в религии, так же в ортопедии, к прогрессу не приведет. Спором "против всех" можно отпугнуть даже самых близких последователей.
Djoldas Kuldjanov, M.D.
Department of Orthopedic Surgery
St. Louis University
|
[
Ответить ]
|
Re: Аппарат Мацукатова-Шевцова
Отправитель: Мацукатов Феодор 12 Май 2010, 18:20
|
Два математика стоят на балконе и смотрят как по бульвару прогуливаются люди.
- Скажите, коллега, - говорит один, - какова вероятност того, что в одну сторону пройдет пятьдесять мужчин и ни одна женщина?
- Вероятность этого равна нулю, - ответил тот.
- Держим пари, что это не так, - говорит первый.
Пари было заключчено тут же.
- Слышите музыку? - спрашивает первый.
- Ну и что?
Через пять минут по бульвару прошел военный оркестр.
Это я к тому, уважаемый Джолдас, что описанное Вами соотношение "один против всех" не случайно. Сам не зная (и даже не желая) того, я оказался в роли "волка на псарне". С одной лишь разницей, что есть никого не намеревался. А за сдержанно-аргументированный тон Вашего поста спасибо. Хотя во многом с Вами не согласен. Научная дискуссия - дело великолепное, это, так сказать, мощный интеллектуальный штурм с целью поиска истины или некой золотой середины. Но в этом споре не должны присутствовать грязные приемы. Только тогда она обретает смысл.
С уважением Мацукатов Феодор.
|
[
Ответить ]
|
Re: Аппарат Мацукатова-Шевцова
Отправитель: Мацукатов Феодор 12 Май 2010, 21:49
|
Уважаемый Джолдас.
Спасибо за исчерпывающий исторический экскурс. Но он мне был известен.
Теперь о сути дела.
Я не буду повторяться о преимуществах интрамедуллярного метода, потому что очень много было аргументов со стороны выступивших коллег. Явное преимущество в пользу интрамедуллярного гвоздя даже без рандомизированного изучения результатов.
Из тона Вашего сообщения следует, что необходимо согласиться с этим,поскольку это и есть ИСТИНА. И вообще сторонники БИОСа предлагают не лезть со своими аппаратами внешней фиксации к диафизарным переломам вообще. Кстати,новым аппаратом я пролечил, ни много ни мало, уже 103 пациента. 4 дня назад я снял аппарат с 22-летнего пациента с простым косопоперечным переломом костей голени. 45 дней фиксации, из которых 30 он ходил без дополнительных средств опоры с полной нагрузкой. 3 перевязки за весь период лечения. Около 3 недель адаптационной нагрузки и его можно выписать к труду. Сегодня снял аппарат пациентке 36 лет. Фиксация 49 дней. История та же. Через два дня собираюсь снять аппарат 28-летней пациентке, 45 дней фиксации. На прошедшей неделе прооперировал 4 пациентов с переломами костей голени, во всех случаях идеальная репозиция и есть уверенность, что никто из них не донесет аппарат до 50 дней. Вопрос: чем лучше БИОС? Или я что-то недопонимаю?
Также экономический расчет процедуры в пользу интрамедуллярного гвоздя, потому что цена одного 180 мм карбонового кольца от аппарата Илизарова $800 US, т.е полный аппарат не менее $5000 US. Тогда как примерная цена гвоздя Эксперт от Synthes около $1200 US. Еще добавить сюда частые наблюдения в поликлинике??
А вот этого я не понял, уважаемый Джолдас. Вы в какой стране живете? Я - в России. Наша клиника, если я не ошибаюсь, покупает аппараты Илизарова у нашего же опытного завода по смехотворной цене и каждый из них служит нам верой и правдой много лет, пока не заржавеет и покорежится. Значит, по Вашей логике, должно быть очень выгодно его использование. Но при такой чудовищно положительной амортизации, наоборот, частные компании теряют к нему интерес. Потому что нет прибыли. Значит что-то не то. Про наблюдения в поликлинике я уже сказал - мнение об этом сильно преувеличено.
В одной из конференции в одной из стран СНГ нам с Челноковым с гордостью была показана работа местного заведующего, где у больной при закрытых переломах были установлены аппараты на все четыре сегмента. При наличии интрамедуллярной техники, трудно назвать такую работу превосходной.
Здесь согласен с Вами.
Интересное техническое решение, но у меня сомнение, что модель будет работать, как в статическом режиме, так и во время длительного периода лечения. Также не показано техническое решение проведения троса через кольцо и кость. Под нагрузкой трос или синтетическая нить может скатиться к одному из полюсов, и уведет кольцо от центра. Разрыв троса - надо менять всю конструкцию из двух колец?
Здесь Вы зря спешите с выводами. Аргумент - 103 пролеченных больных. Аппарат, поверьте, прекрасно работает, даже лучше, чем я ожидал. И у наших инженеров были сомнения, но ни одно из них не оправдалось. Но это не значит, что у него нет слабых сторон. На фото Вы видите 5-й вариант аппарата. Клиническая практика показала, где необходимо внести изменения. Почти все они касаются мелочей, кроме одной. Сейчас готовится к патентованию шестой вариант аппарата, который даже внешне будет значительно отличаться от предыдущего. А гибкие фиксаторы мы еще не применяем. Но это дело времени. Нельзя рисковать здоровьем врачей. Сегодня, например, я прокололся спицей, а у пациентки был гепатит С. Гибкие фиксаторы избавят, наконец, нас от этой опасности. Практически разработана технология их проведения через кость, а также установка на них упоров в любом необходимом месте. Насчет гипотетического разрыва троса смею развеять все Ваши сомнения. Трос сечением 1 кв мм выдерживает нагрузку на разрыв до 1,5 тонны в зависимости от сплава стали. Сам копался в справочниках по сопротивлению материалов. Спица же плывет уже после 150 кг. И, уверяю Вас, ни к какому полюсу кость не сместится.
Насчет второго аппарата, созданного для управляемой репозиции.
Я не понял, какой аппарат здесь Вы имеете ввиду.
Каждый идеальный метод имеет свои показания и противопоказания. Поэтому каждый должен делать то, что у него хорошо получается и не отвергая мнения коллег. Ортодоксальность (радикальность) как в религии, так же в ортопедии, к прогрессу не приведет. Спором "против всех" можно отпугнуть даже самых близких последователей.
Первое сказано замечательно. Со вторым, извиняюсь, опять не согласен. По следующим причинам.
К нам в клинику Илизарова приезжает на обучение много иностранных специалистов. Особенно американцев. Я очень интересуюсь их мнением про аппарат Тейлора. Мне нравится, что американцы - люди практичные и для того, чтобы назвать вещи своими именами, они особо не напрягаются. Так вот, очень редко, кто отзывается о нем хорошо. То же самое говорят специалисты из других стран. И наоборот, ни разу не было такого, чтобы они не восхитились простотой и эффективностью конструкции нового аппарата. Извините за нескромность, но поверьте,это правда.
А что получается на нашем сайте? Когда речь идет об АВФ вообще, то все хором кричат, что это плохо, это мучение для пациента и т.п. Только зайдет речь о гексаподах и сразу происходит перегруппировка - это удобно, хорошо,замечательно. Я не против, но метаморфозы нелогичные.
С глубоким уважением.
|
[
Ответить ]
|
Re: Аппарат Мацукатова-Шевцова
Отправитель: Alexander Chelnokov 13 Май 2010, 01:33
|
МФ> случаях идеальная репозиция и есть уверенность, что никто из них
МФ> не донесет аппарат до 50 дней. Вопрос: чем лучше БИОС? Или я что-то недопонимаю?
Тем, что не надо носить аппарат даже "до 50 дней". Вспомним эти постоянные сомнения - уже снять, или еще подождать... И не все переломы
не то что быстро, а вообще полноценно срастаются в разумные сроки.
Аппараты "лучше БИОС" для временной фиксации при политравме и открытых переломах, для удлинения или постепенной коррекции деформации.
А при свежих закрытых диафизарных переломах голени - зачем аппараты вообще, и усложненные аппараты со специальными репозиционными модулями
в частности??
МФ> А что получается на нашем сайте? Когда речь идет об АВФ вообще,
МФ> то все хором кричат, что это плохо, это мучение для пациента и
МФ> т.п. Только зайдет речь о гексаподах и сразу происходит
МФ> перегруппировка - это удобно, хорошо,замечательно. Я непротив, но метаморфозы нелогичные.
Да вроде все логично. Для окончательной фиксации при свежих закрытых диафизарных переломах голени роль и место любых аппаратов очень скромные. Это удел отдельных энтузиастов, либо тех, кто работает
в ограниченных условиях. Поскольку есть более практичное решение - внутрикостный гвоздь с блокированием.
А вот для постепенных коррекций аппараты выходят на первый план. И гексаподные потому, что процесс коррекции алгоритмизируется и воспроизводится. Еще раз спрошу про Ваши аппараты - можно дать пациенту с деформацией листок с табличкой, насколько каждый стержень крутить? Чтобы он пришел через пару недель с устраненной деформацией, причем любой сложности?
|
[
Ответить ]
|
Re: Аппарат Мацукатова-Шевцова
Отправитель: Пётр 13 Январь 2013, 22:57
|
Здравствуйте.
Я являюсь клиническим интерном кафедры травматологии и ортопедии Волгоградского Государственного Университета...
Заведующий кафедрой говорил, что при переломах голени вы используете аппараты внешней фиксации в котором используются не спицы, а стержни...
Меня этот аппарат больше интересует как способ временной иммобилизации...
К сожалению названия мы не знаем...
Не могли бы Вы рассказать поподробнее...
С уважением из Волгограда.
|
[
Ответить ]
|
Re: Аппарат Мацукатова-Шевцова
Отправитель: Alexander Chelnokov 13 Январь 2013, 23:47
|
Дорогой Петр.
Про стержневые аппараты всевозможных конструкций в сети можно найти море информации. Например, если поискать на google.com по unilateral frame fractures, и ниже поисковой строчки потом кликнуть на Images.
|
[
Ответить ]
|
Re: Аппарат Мацукатова-Шевцова
Отправитель: Пётр 15 Январь 2013, 00:28
|
Забыл добавить: заведующий акцентировал внимание на том, что аппарат этот применим только при внутрисуставных переломах...соответственно он позволяет мобилизировать пациента и снять его со скелетного вытяжения....
Он отметил, что уважаемый Djoldas Kuldjanov очень часто на этом форуме публиковал фото этого аппарата.
|
[
Ответить ]
|
Re: Аппарат Мацукатова-Шевцова
Отправитель: Alexander Chelnokov 15 Январь 2013, 14:13
|
Можно и тут поискать, вверху слева есть два поля поиска. Например, в этом обсуждении есть примеры таких стержневых аппаратов.
|
[
Ответить ]
|
|
Re: Аппарат Мацукатова-Шевцова
Антон Андрианов 12 Май 2010, 06:23
|
Уважаемые коллеги,
само по себе наличие нашего форума, равному которому не встретишь в сети и уровень дискуссий не может не радовать.Сюда заходят и молодые врачи с просторов СНГ, многие из которых работают в ЦРБ, не имея доступа к современному оборудованию и литературе и маститые асы со всего мира.Для того чтобы составить из этой пестрой мозаики картину хорошо бы разместить на сайте опросник о предпочтениях и возможностях врачей в лечении переломов трубчатых костей.Это возможно, Александр Николаевич?
|
[
Ответить ]
|
Re: Аппарат Мацукатова-Шевцова
Leonid Solomin 12 Май 2010, 22:52
|
Дорогие коллеги!
Группа чрескостного остеосинтеза нашего Института готова провести многофакторный анализ аппарата Мацукидиса-Шевцова.
Ранее нами произведены сравнительные исследования репозиционных, фиксирующих качеств, удобства использования аппарата Илизарова и известных гексаподов (Taylor Spatial Frame, Ilizarov Hexapod
Apparatus, Орто-СУВ аппарат) (1, 2, 3, 4). Таким образом, к концу эксперимента (если он, конечно, будет выполнен) к имеющимся столбцам цифр по названным аппаратам появится столбцы, характеризующие аппарат Мацукидиса-Шевцова.
Кстати, на основе проведенного нами эксперимента K.Seide (IHA) внес, на наш взгляд, два достаточно существенных усовершенствования в конструкцию своего аппарата.
Кроме этого, на ASAMI, проведенном в С.-Петербурге, проф. В.И. Шевцов во время своего доклада демонстрировал таблицу, в которой были
представлены результаты многофакторного сравнительного анализа аппаратов Илизарова, Шевцова-Мацукидиса, TSF и Ortho-Fix. Может быть,
Феодор Алексеевич познакомит нас с "материалами и методами" и "результатами и их обсуждением"?
Полагаю, что и первый, и второй варианты (а может быть, и их сочетание) позволят несколько "объективизировать" настоящую дискуссию.
Идеальный вариант - в равной степени совершенное владение всеми участниками дискуссии технологиями использования "противопоставляемых" конструкций. Однако пока, по объективным причинам, этот вариант
трудноосуществим... (что, однако, не мешает нам горячо спорить :-) )
1. Соломин Л.Н., Виленский В.А., Утехин А.И., Террел В. Сравнительный анализ репозиционных возможностей чрескостных аппаратов, работающих на
основе компьютерной навигации и аппарата Илизарова // Гений Ортопедии.
- 2009. - No. 1. - С. 5-10.
2. Соломин Л.Н., Виленский В.А., Утехин А.И., Террел В. Сравнительный анализ жесткости остеосинтеза, обеспечиваемой чрескостными аппаратами, работающими на основе компьютерной навигации и комбинированным
спице-стержневым аппаратом // Травматология и ортопедия России. -
2009. - No. 2 - С. 20-25.
3. Соломин Л.Н., Виленский В.А., Сорокин Е.П. Многофакторный сравнительный анализ чрескостных аппаратов, работающих на основе компьютерной навигации // Травматология и ортопедия России. - 2008. - No.3 (приложение) - С. 23.
4. Solomin L.N., Vilensky V.A., Terrell W., Odessky J. Multifactorial comparative analysis of Ilizarov apparatus and external fixation
devices on the base of computer navigation (Taylor Spatial Frame, Ilizarov Hexapod Apparatus, SUV-Frame) // 5th Meeting of the ASAMI
International. Program and Abstract Book. - St.Petersburg, 2008. - P. 52.
Всего наилучшего,
Л.Соломин
|
[
Ответить ]
|
Re: Аппарат Мацукатова-Шевцова
Аппарат Мацукатова-Шевцова 13 Май 2010, 01:53
|
Да ладно вам, что вы все привязались, все нормально будет. Все работает без проблем!
|
[
Ответить ]
|
Re: Аппарат Мацукатова-Шевцова
mark kuznetski 13 Май 2010, 11:26
|
Добрый день уважаемые коллеги!
С интересом читаю дискуссию по поводу аппарат наружной фиксации versus гвоздь при переломах длинных трубчатых костей. Поскольку имею 25-летний опыт использования аппаратов наружной фиксации различной конструкции при переломах, позволю себе высказаться по некоторым аспектам дискуссии.
Являюсь фаном кольцевых аппаратов наружной фиксации(КАНФ),но должен констатировать,что показания для их применения постепенно все более и более сужаются. И это не только в наших краях, но и во многих клиниках Европы и Америки, где мне удалось побывать. В основном это гнойные процессы в костях (остеомиелит, большие дефекты костной и мягких тканей). При острой травмах за редким исключением, конечно же гвоздь или пластина(в зависимости от локализации перелома). Гвоздь в большинстве случаев прекрасно репонирует перелом, а использование LCP-пластин в технике MIPO практически не оставляет разрезов. Другие преимущества гвоздя прекрасно описаны некоторыми участниками дискуссии,поэтому не буду их повторять. Лишь отмечу, что чем беднее здравоохранение, тем больше используют КАНФ для стабилизации острых переломов. Поскольку покупают КАНФ, как точно выразился доктор Мацукатов, по мизерным ценам, а используют пока не заржевеет. Я думаю, что по мере улучшения финансирования здравоохранения в России и доступности современных имплантатов дискуссия не будет столь острой.
Что же касается нового аппарата Мацукатова-Шевцова, то всегда считаю, что существует только один кольцевой аппарат наружной фиксации - это аппарат Илизарова. Все остальное - это его модификации, чьим бы именем мы конструкцию не называли. Это больше вопрос этики чем ортопедии. На конференциях в Европе к сожалению все реже используют имя Илизарова, демонстрируя по сути его аппараты. Вот теперь и его клиника туда же. Это конечно не означает, что созданный более 50 лет аппарат нельзя усовершенствовать. Напротив! Например мы более 3 лет используем полностью пластиковый аппарат Илизарова,где металические только спицы и фиксирующие их болты. Полимер, из которого сделан аппарат, обладает 96% рентгенопрозрачностью (carbon fiber 98%) а по физическим характеристикам чуть-чуть уступает карбону и к тому же дешевле. Весит аппарат в комплектации 4 колец 300 грамм. Cтоит около 1000 $.Кроме того,поскольку тоже как и доктор Мацукатов часто сталкиваемся с проблемой травмы рук во время операции, используем болт, который во время затягивания сам откусывает острую наружную часть спицы(заподлицо),которая остается внутри спецключа, исключая при этом какие-либо травмы рук. К тому же болт сам и спицу натягивает.Все эти мелкие новшества лишь дополняют гениальный аппарат Илизарова и просто полезны в повседневной практике.
Полагаю,что в настоящее время попытки радикально усовершенствовать механические системы стабилизации переломов достигли своего предела. Чем бы мы не стабилизировали перелом, на нашем пути встает биология репарации кости и связанные с этим проблемы.
Вот чем надо бы заниматься докторам знаменитой клиники доктора Илизарова!
С уважением ко всем участникам дискуссии,
Mark Kuznetski,MD
Head of Department of Septic Orthopaedic Surgery
North Estonian Regional Hospital
Tallinn,
Estonia
|
[
Ответить ]
|
Re: Аппарат Мацукатова-Шевцова
Отправитель: Мацукатов Феодор 13 Май 2010, 12:51
|
Полагаю,что в настоящее время попытки радикально усовершенствовать механические системы стабилизации переломов достигли своего предела. Чем бы мы не стабилизировали перелом, на нашем пути встает биология репарации кости и связанные с этим проблемы.
Вашими устами да мед пить!
Вот чем надо бы заниматься докторам знаменитой клиники доктора Илизарова!
Наша клиника весьма успешно работает в этом направлении. Жаль, что не следите за нашими публикациями.
С уважением.
|
[
Ответить ]
|
Re: Аппарат Мацукатова-Шевцова
Отправитель: Alexander Diachkov 13 Май 2010, 23:08
|
Уважаемый Марк!
Не нужно считать, что Ф.Мацукатов и РНЦ "ВТО" им Г.А. Илизарова - это одно и то же (это в плане того, чем заниматься Центру).
Дьячков А.
|
[
Ответить ]
|
|
Re: Аппарат Мацукатова-Шевцова
Odessky Jacob M.D. 18 Май 2010, 23:17
|
"Приветствую, Яков.
К сожалению, эта дискуссия отнимает слишком много времени. Многие дела запущены. Вернусь скоро и отвечу на все твои вопросы. И снимки тех двух пациентов вышлю, и много других. Обещаю." (Мацукатов) (11.05.10)
Уважаемый Феодор!!! Позвольте напомнить, что Вы обещали выложить снимки 2 пациентов, которым была корректирована деформация Вашим аппаратом!!!
С уважением!
|
[
Ответить ]
|
Re: Аппарат Мацукатова-Шевцова
Дядя Вася 20 Май 2010, 22:10
|
Федя, гони снимки!
|
[
Ответить ]
|
( Ответить )
|
|