AOTRAUMA.ORG Центр Илизарова  

Ортопедия и травматология Общие вопросы/General questions Help Информационные технологии в медицине
 вверх
 отправить
 поиск
 админ
 главная


Несращение бедра
Ортопедия и травматология Отправлено Alexander Chelnokov 08 Апрель 2002, 22:05
К нам поступила худощавая женщина 48 лет, которой года 2,5 назад был выполнен остеосинтез бедра пластинкой в одной из горбольниц. В сентябре 2001 г. пластинку убрали. Начала разрабатывать движения, ходила с тростью. С января этого года
отмечает усугубление деформации бедра и улучшение движений "в коленном суставе". При осмотре имеетсяподвижность на месте перелома (псевдартроза), больше в сагиттальной плоскости. Рентгенограммы в приложении(фас; профиль). Полностью угол, открытый кзади, под нагрузкой не устраняется. "Сгибается" еще градусов на 30. Ходит с тростью. Надколенник неподвижен, в суставе, видимо, движений нет совсем. В любом случае надо, видимо, начинать с восстановления оси и стабилизации бедра. Как окончательный фиксатор хотелось бы использовать интрамедуллярный стержень. Можно ли в данном случае устранить угол одномоментно? Или лучше дозированно? Нужна ли костная пластика местно? Не стоит ли пойти на мобилизующую операцию в один этап? Если да, то какую?Может быть, есть еще какие-то моменты, которые следует учесть?Спасибо заранее.-- Best regards, Alexander N. Chelnokov

<  |  >

 

  • Сообщения о Ортопедия и травматология
  • Также Alexander Chelnokov
  • Связаться с автором
  • Ответить

    Re: Несращение бедра
    Евгений Чекашкин 09 Апрель 2002, 18:32
    Спасибо за презентацию случая.
    Клинико-рентгенологически - замедленная консолидация.
    Перед выбором метода стабилизации необходимо исключить наличие инфекции в зоне несращения:
    показатели крови (СОЭ, С протеин)
    Радиоизотопное исследование с Технецием, лучше с Галлием - изотоп связан с лейкоцитами и его накопление в зоне несращения даст ответ на вопрос.
    Если данных за наличие инфекции нет- интрамедуллярный остеосинтез запирательным рассверливаемым гвоздём.В процессе рассверливания образующаяся костная стружка выполнит роль костной аутопластики. Если интраоперационно возникают сложности с проведением проводника зона несращенияоткрывается из дополнительного бокового разреза и рубцовые ткани, препятствующие
    выравниванию оси пересекаются долотом.
    Рассверливание канала начинают после ушивания дополнительного разреза, чтобы сохранить костную стружку в зоне.
    Хотелось бы знать Ваше мнение о времени динамизации гвоздя в данных условиях - немедленная или как при первичном штифтовании 6 недель ?

    Если инфекция присутствует (вполне возможно, судя по рентгенограмме), резекция инфицированной, некротизированной кости, замещение образовавшегося дефекта с помощью транспорта костного блока в аппарате.
    2,5 года - длительный срок контрактуры коленного сустава, поэтому, к сожалению, восстановление функции маловероятно.

    Удачи ,
    Евгений
    [ Ответить ]

    • Re: Несращение бедра
      Отправитель: Alexander Chelnokov 09 Апрель 2002, 22:07
      e> Перед выбором метода стабилизации необходимо исключить наличие инфекции в

      Признаков инфекции не было с первоначального лечения. Тьфу 3 раза.

      e> Если данных за наличие инфекции нет- интрамедуллярный остеосинтез
      e> запирательным рассверливаемым гвоздём.

      Гвоздей, вводимых по проводнику, у нас нет, как-то пока обходились.

      e> В процессе рассверливания образующаяся костная стружка выполнит
      e> роль костной аутопластики.

      Канал там может оказаться запаянным, где были винты и пластинка. Если что, попробуем самодельные развертки из эластичных титановых
      стержней.

      e> рубцовые ткани, препятствующие выравниванию оси пересекаются
      e> долотом.

      Были на нашей "фабрике" случаи парезов малоберцового нерва после одномоментных коррекций на уровне нижнего конца бедренной кости. Наверно, попробуем закрыто устранить угол интраоперационно, если сопротивление большое будет, то все-таки отправим в палату постепенно
      устранять.

      e> Хотелось бы знать Ваше мнение о времени динамизации гвоздя в данных
      e> условиях - немедленная или как при первичном штифтовании 6 недель?

      Как раз хотел бы получить совет на этот счет. Сколотить отломки на гвозде и сделать статическое блокирование? Или динамическое? Кстати говоря, динамизация гвоздя при свежих переломах вообще нужна редко, подавляющее большинство без нее срастается.

      e> 2,5 года - длительный срок контрактуры коленного сустава, поэтому, к
      e> сожалению, восстановление функции маловероятно.

      У меня те же предположения.

      --
      Best regards,
      Alexander N. Chelnokov

      [ Ответить ]
      • Re: Несращение бедра
        Отправитель: Евгений Чекашкин 10 Апрель 2002, 01:31
        Уважаемый Александр ,

        Спасибо за быстрый ответ.
        Риск пареза м.б нерва при одномоментной коррекции оси ,конечно, есть, абсолютно с этим согласен, но скорее это может произойти при попытке коррекции неправильно сросшегося перелома, при коррекции стабильной деформации. А у этой пациентки *с января увеличилась деформация и улучшилась подвижность в *коленном суставе * т.е. мягкие ткани адаптированы к
        растяжению и подвижность наблюдается как раз в сагитальной плоскости. Вопрос только в том, насколько мягкие ткани эластичны, чтобы не возникла новая проблема. В моей практике был случай, когда одномоментное удлинение до 4 см
        не вызывало неврологических расстройств у больного двадцати с небольшим лет.
        С возрастом эластичность тканей уменьшается (наверное , это тоже надо учитывать ). При предоперационном планировании можно рассчитать насколько см произойдет удлинение , растяжение тканей при коррекции угловой деформации, видимо, это и даст ответ на вопрос об одномоментной или
        постепенной коррекции.
        В плане динамизации согласен , что при диафизарных переломах типа В и С в этом необходимости нет - зона межфрагментарного контакта достаточная, при переломах типа А неоднократно убеждался на своих случаях ( переломы стержней) динамизировать все-таки необходимо. Коль скоро в данном случае
        межфрагментарный контакт после штифтования и коррекции оси будет незначительным( только передняя часть кортикала) остальное
        пространствопредположительно заполнено костной стружкой, то динамизация после 6-8 недель все-таки показана.
        PS В каждом госпитале применяют свои устоявшиеся методики, поэтому и интересно получать рассылку из ортофорума - обогащает кругозор.

        Удачи, до следующей почты,
        Евгений

        [ Ответить ]
    Re: Несращение бедра
    DR T I GEORGE 09 Апрель 2002, 23:08
    I would vote for i) Open reduction, ii) Cancellous bone grafting and iii)retrogrde nailing through open knee exposure.

    I see one danger in antegrade nailing. The bone looks very porotic in the condylar and supracondylar region. With the added problem of stiff knee if you do antegrade nailing there is a chance of path fracture just distal to the nail unless condyles are locked.

    The advantage of retrograde nailing are: i) Arthrolysis of knee can be done. ii) Condyles can be locked. iii) Hence less worry when mobilising knee of having a new fracture.

    Advantage of open reduction: Deformity can be corrected on the table. Cancellous graft can be laid around the fracture site there by increasing the chance for union in an already problematic situation.

    Do keep the list informed on what you do.

    DR T I GEORGE,
    CONSULTANT ORTHOPAEDIC SURGEON,
    POLYTRAUMA, MICROVASCULAR SURGERY AND HAND SURGERY UNIT,
    METROPOLITAN HOSPITAL,
    TRICHUR, SOUTH INDIA.
    [ Ответить ]

    Re: Несращение бедра
    Александр Артемьев 09 Апрель 2002, 23:16
    Здравствуйте, коллеги.
    Александр, рад что добрался нормально.
    В 67-ю больницу еще не ходил, поэтому стержнями еще не "заболел".
    Поэтому предложил-бы по старинке - внешний остеосинтез.
    Он снимает сразу все вопросы:
    - выведение угла - хочешь сразу, хочешь постепенно (я так не совсем понял - есть там подвижность, или этот угол фиксирован, но при внешнем остеосинтезе это не имеет значения)
    - можно обойтись без костной пластики;
    - инфекция - по барабану;
    - самая большая проблема использования аппарата на бедре - контрактура коленного сустава - уже не имеет значения (колена, я так понял, уже нет, главное чтобы больная это знала).
    Короче, кругом - всё "за", на стержне - не совсем.
    Признаться, мне мысль о погружном остеосинтезе пришла бы в последнюю очередь.

    Удачи.
    Александр Артемьев.
    [ Ответить ]

    • Re: Несращение бедра
      Отправитель: Alexander Chelnokov 11 Апрель 2002, 09:19
      Глубокоуважаемый Александр,

      Tuesday, April 09, 2002, 10:00:04 PM, you wrote:

      a> В 67-ю больницу еще не ходил, поэтому стержнями еще не "заболел".

      "Заболеть" можно и глядя на возможности метода и результаты, в том числе и представленные в сети, а туда уже идти "лечиться" ;-)

      a> - выведение угла - хочешь сразу, хочешь постепенно (я так не совсем
      a> понял - естьтам подвижность, или этот угол фиксирован,

      Подвижность в основном в сторону увеличения угла, открытого кзади.

      a> но при внешнем остеосинтезе это не имеет значения)

      Опасения обусловлены риском получить парез малоберцового нерва.

      a> - можно обойтись без костной пластики;

      Конечно.

      a> - инфекция - по барабану;

      А вот тут - всяко бывает. Но представляется, что раз за все предшествующее время ее проявлений не было, так, видимо, ее и нет.

      a> коленного сустава - уже не имеет значения (колена, я так понял, уже
      a> нет, главное чтобы больная это знала).

      Если комбинировать остеосинтез с мобилизующей операцией, как предлагают некоторые зарубежные коллеги, то значение появляется. Но нам чего-то не олчень хочется в данном случае с этим связываться, и у пациентки не видно горячего желания восстановления функции сустава.

      a> Короче, кругом - всё "за", на стержне - не совсем. Признаться, мне
      a> мысль о погружном остеосинтезе пришла бы в последнюю очередь.

      Стержень будет, по сути, тем же аппаратом, хоть и с усеченными возможностями, зато внутри. То есть еее практически сразу будет опорная и безболезненная нога, безотносительно к сроку сращения. А качество жизни с аппаратом явно пониже.

      --
      Best regards,
      Alexander N. Chelnokov

      [ Ответить ]
    • Re: Несращение бедра
      Отправитель: DR C CHERIAN KOVOOR 11 Апрель 2002, 09:24
      Alexander,
      The pt has 20 degree of varus and 30-40 degree of procurvatum Acute correction may compromise the nurovascualr structures. Moreover xray shows evidence of infection and she has almost knee range of motion.
      In such a case I would suggest a gradual correction with an ILIZAROV frame as an oblique plane defoemity.
      It would be advisable to bone graft the Non union site- you dont lose anything

      Keep us informed about the result

      DR CHERIAN KOVOOR
      KOCHI INDIA

      [ Ответить ]
    Re: Несращение бедра
    chris wilson 09 Апрель 2002, 23:33
    Appears to be a good case for a retrograde femoral nail, with open excision of fibrous tissue and use of autologous bone graft. A retrograde approach would allow dissection at the knee to enhance range of motion there.
    We use retrograde nails by Depuy and by Smith and Nephew-both quite good.

    Chris Wilson
    Conultant Orthopaedic and Trauma surgeon
    University Hospital
    Cardiff
    UK
    [ Ответить ]

    Re: Несращение бедра
    Steven Rabin 10 Апрель 2002, 08:46
    i'd do a closed reamed IM nailing, with the plan of coming back in 6-12 weeks to do a quadricepsplasty plus or minus bone graft then. I wouldn't do it together because i would not want to destroy the endosteal blood supply with my reaming and then destroy the periosteal blood supply with the soft tissue disection necessary for the quadriceps plasty. (She may also need lysis of intra-articular adhesions.) (If I am unable to do the rodding closed - as sometimes the medullary canal is walled off - then I would open it, and if I had to open it, then I would bone graft at the same time, probably with a
    quadricepsplasty as well. There are sharp awls that can be introduced from above through the medullary canal to open up a canal that is closed off, and these sometimes work, and sometimes they don't depending on how hard the bone is.) Static locking to control rotation, which could be dynamized later.
    [ Ответить ]

    Re: Несращение бедра
    James Carr 11 Апрель 2002, 08:50
    I agree with the retrograde votes. Arthrolysis/ quad release will help take the stress off the repair, and is important.
    Bone graft is good idea. Be prepared to use a Kuntschner nonunion chisel (?source) to make a medullary canal. Drive it up using a-p, lat fluoro, them pass the bulb tip. I am not a fan of lengthing in the face of nonunion. I find nearly all are so happy to get their leg healed, they never want to see an ortho surgeon again. Lengthing complicates the whole matter, but I know some experts are good at it. Jim Carr

    James B. Carr, MD
    Palmetto Health Orthopedics
    [ Ответить ]

    Re: Несращение бедра
    Thomas A. DeCoster 11 Апрель 2002, 08:54
    I concur with the suggestion for retrograde nail and lysis of adhesions.

    Peri-articular nonunions typically involve joint stiffness and if you don't mobilize the joint your new fixation is at great risk because the long lever arm and the stiff joint puts lots of stress on the nonunion. Thus your
    comment about "improved knee flexion".

    Although "quadricepsplasty" is the term most orthopedists think of when faced with a stiff knee it is not usually actually shortening of the quadriceps but rather scar formation that includes (in order of importance IMHO): capsular contracture, scar between the anterior distal femur and quad, intra-articular adhesions, quadriceps tendon fibrosis, quadriceps shortening. Rather than cutting and lengthening quad tendon as primary focus (with some loss of strength etc) a focus on releasing and stretching scar/adhesions/contractures is more effective at obtaining and maintaining motion. You could consider a lateral parapatellar approach for nail insertion and obtaining knee flexion(releases) and getting the reamer guide across the nonunion.

    Re-establishing a medullary canal requires breaking through the sealing callus at the fragment ends. Sometimes easy sometimes hard. Ball tipped guide occasionally works, Kuntscher long thin spade tipped guide for more difficult
    cases and for the other 50% Smith & Nephew makes a "pseudarthrosis chisel" 6 mm diameter very sharp tip with a heavy handle for hammering; long enough for tibia or retrograde femur here. Alternative for difficult cases is to open the fracture and drill out the medullary canal but you really have to mobilize the ends which is much more extensive than a fresh fracture situation. The amount of angulatory deformity in this case would be amenable to acute
    correction. You might have to remove the broken screw part to ream the medullary canal. Check for indolent infection.

    Retrograde nailing allows: 1) better distal fixation than antegrade nailing in this case 2)concomitant release of scar allowing knee flexion 3)easier intramedullary passage than antegrade (whether open or closed).

    TD
    [ Ответить ]

    Re: Несращение бедра
    Adam Starr 11 Апрель 2002, 08:55
    I agree with what Tom said, especially the "check for indolent infection" part. It wouldn't change my fixation method - I'd still nail it. But if your intra-op cultures grew out staph, at least you'd know to treat the patient with antibiotics while the fracture was healing.

    Adam Starr
    Dallas
    [ Ответить ]

    • Re: Несращение бедра
      Отправитель: David Goetz 16 Апрель 2002, 00:22
      We have had two open femoral fractures nailed through the knee that developed late knee sepsis along with their delayed presentation of femoral
      osteomyelitis [4-6 months post op]. Is there hesitancy to nail a femoral nonunion [and therefore possibly a septic nonunion] through the knee?

      David R. Goetz MD
      Medical Director, Orthopaedic Trauma

      [ Ответить ]
      • Re: Несращение бедра
        Отправитель: Adam Starr 16 Апрель 2002, 00:24
        We haven't had that problem down here. But it's something to worry about, I agree.

        Maybe Tom's idea of doing a lateral approach to free the quadriceps from the femur would decrease that risk some. I suppose you could also mobilize the nonunion site through that same lateral exposure...but a retrograde nail would still leave you with a hole in the femur and a conduit for the bugs to swim into the knee joint.

        Antegrade nailing works fine. Maybe an antegrade nail would be the best choice, if you were concerned about pus after you'd seen the fracture site.

        Adam Starr
        Dallas

        [ Ответить ]
      • Re: Несращение бедра
        Отправитель: Steven Rabin 18 Апрель 2002, 00:15
        I presented a poster at the OTA 2 years ago where we reported both acute and late presentations of knee infection after
        retrograde nailing of open fractures. Our paper did not have enough of a sample size to draw any firm conclusions, but I think it is a concern. I have continued to treat some open fractures with retrograde roddings when the indications are strong, but I do think there should be a high index of suspicion when a previously open fracture of the femur goes on to nonunion.

        steve rabin
        loyola

        [ Ответить ]
    Re: Несращение бедра
    ALTAY JAFAROV 11 Апрель 2002, 08:56
    Уважаемые коллеги,
    учитывя стойкую контрактуру коленного сустава и
    короткий и поротичный дистальный отломок бедра
    предлагаю : артродез коленого сустава и остеосинтез бедра одним бедренно-б\берцовым штифтом с аутопластикой зоны перелома.

    удачи
    Др. Алтай Джафаров
    АзНИИТО
    [ Ответить ]

    Re: Несращение бедра
    Doug Turner 12 Апрель 2002, 15:54
    My goal would be to do the least invasive and lowest risk procedure possible to get the femur united. I think any surgical attempt to improve
    the movement in the knee at the same time is a bit over ambitious.

    If I could get the femur straight by "serial casts" or passive stretching over a period of a few weeks I think this would be preferable. If this were possible I would then precede to closed dynamic locked nailing and early
    weight bearing. If there was no sign of union in a few months then precede to bone grafting.

    If I could not get the femur as described above I would open the fracture and do the minimum dissection/release to get it straight, antegrade nail and bone graft.

    Once the femur is straight (by either closed or open means) I think a long sharp solid reamer from above will probably go across the fracture (with a bit of gentle hammering). I would try to avoid retrograde reaming from the fracture site as this would require a lot of dissection and further devascularisation of the fracture ends.

    Retrograde nailing through the knee I think increases the risk of knee stiffness. The loss of knee movement is just as likely to be due to scaring around the fracture site so any surgical release to improve the knee movement might need to extend up to the fracture site. I thing this would be too ambitious and risky.

    The nail will need to be long and should come right down in to the intercondylar region of the femur. I don't think there will be much risk of
    another fracture in this area.

    The nail will probably hit the broken screw distally but it should easily push the screw aside as you hammer the nail down.

    Doug Turner
    Orthopaedic Surgeon
    Gold Coast
    Australia
    [ Ответить ]

    Re: Несращение бедра
    Dr.Vasudevan 12 Апрель 2002, 16:16
    My option is ring fixation and gradual deformity correction and early weight bearing.

    Vasudevan.
    [ Ответить ]

    Re: Несращение бедра
    Vasily Mamonov 15 Апрель 2002, 19:45
    Уважаемый Александр.
    На Ваши вопросы, которые были переадрессованы к нам господином Берлускони М.(г.Милан, Италия), отвечает сотрудник отделения реконструктивно-восстановительной хирургии и ортопедии для больных гемофилией ГНЦ РАМН Мамонов Василий Евгеньевич.
    Описанный случай представляет интерес, поскольку сочетание перелома бедренной кости с контрактурой смежного коленного сустава и
    костно-мышечной атрофией поражTнной конечности нередко встречается у наших пациентов.
    Предложения по такике лечения:
    1. "Открытое" оперативное вмешательство: - мобилизация отломков с удалением фиброзной ткани из межотломковой щели и, если есть, замыкательной пластинки.
    2. Фиксация отломков представляется предпочтительнее интрамедуллярным штифтом без рассверливания канала (за исключением концов отломков, которые могут быть заполненны костной тканью) с блокирующими винтами (UFN). Для стимуляции репаративных процессов желательно использовать костнопластические препараты типа "Колапол" или/и аутокость (мы используем трансплантат из гребня подвздошной кости в виде пластин 4,0х1,5х0,5 см, перекрывающих поднадкостнично зону перелома, с фиксацией
    лигатурами).Необходима стабильная фиксация до появления зрелой мозоли, в дальнейшем можно провести динамизацию штифта.
    3. У женщины 48 лет, без сопутствующих воспалительно-дегенеративных заболеваний суставов контрактура скорее всего обусловлена внесуставным поражением (хотя, для окончательного заключения желательно посмотреть
    рентгенограммы). Поэтому артролиз не даст увеличения объTма движений, а напротив может усилить контрактуру и инициировать развитие артрита или деформирующего артроза. При наличии стабильной интрамедулярной фиксации можно начать раннюю разработку движений в сочетании с физиотерапией (фонофорез с контратубексом или гидрокортизоном ? 10 - 15, грязелечение,
    парафиновые аппликации и т.п.). Курсы ФТЛ можно повторять. Оценка эффективности проводится через 12 мессяцев. Если Вы считаете, что вмешательство на суставе необходимо, то желательно выполнить
    артроскопический дебридмент.
    4. В послеоперационном периоде хороший эффект даTт гипербарическая оксигенация N 10-12.
    5. Желательно провести расширенное обследование больной с целью выявления возможно сопутствующей патологии, ухудшающей трофику тканей (сахарный диабет, гипер- или гипокоагуляция, поражение печени и почек, васкулит, онкология).

    С наилучшими пожеланиями.
    [ Ответить ]

    Re: Несращение бедра
    Alexander Chelnokov 16 Апрель 2002, 00:03
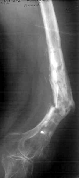
    Не сформировалось у нас убежденности в целесообразности мобилизующей операции в один этап с остеосинтезом. Решили пойти по максимально щадящему пути. Первым этапом наложили аппарат. Снимок (см. приложение) сделан в положении максимально возможной коррекции оси, достигаемой одномоментно исправлением "об коленку" с ручным растягиванием колец сзади. Варус удалось убрать, а вот антекурвацию, от греха, лучше устраним дозированно, дней за 7-10. Потом планируем антеградный закрытый интрамедуллярный остесинтез. Буду признателен за отклик.

    --
    Best regards,
    Alexander N. Chelnokov
    Кликните для загрузки файла 006.jpg
    42KB (43081 bytes)

    [ Ответить ]

    • Re: Несращение бедра
      Отправитель: Александр Артемьев 16 Апрель 2002, 00:17
      Предложенный вариант представляется оптимальным, если не сказать идеальным.
      Американские аналогичные работы уже обсуждали, так что повторяться не буду.
      Главное - чтоб без инфекционных осложнений.
      Жду продолжения.
      Удачи.
      Александр Артемьев.

      [ Ответить ]

     

    ( Ответить )

    Powered by Zope  Squishdot Powered MedLink
    Посетитель: 0186825
      "По форме правильно, а по существу - издевательство" В.И.Ленин
    ©2001-2019Orthoforum Coordinator.
    [ Главная | Отправить сообщение | Поиск | Админ ]