AOTRAUMA.ORG Центр Илизарова  

Ортопедия и травматология Общие вопросы/General questions Help Информационные технологии в медицине
 вверх
 отправить
 поиск
 админ
 главная


Неудачный остеосинтез голени гвоздем
Ортопедия и травматология Отправлено Rodion Matveev 18 Декабрь 2003, 02:20
1
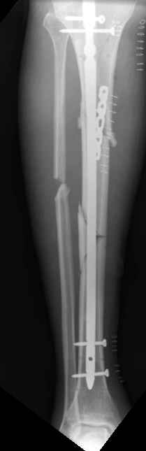
Молодой женщине по поводу бамперного перелома через 2 недели после травмы выполнен остеосинтез большеберцовой кости гвоздем ChM в одной из больниц Москвы. Снимок приложен. Сейчас речь пошла об удалении гвоздя и остеосинтезе пластиной. Действительно ли это оптимальный план? Какие есть еще варианты?
A female 24 years old, a sister of a friend of mine (not physician) living in Moscow, 3 weeks ago admitted to the hospital in Moscow after a car accident (was a pedestrian) with a tibial shaft fracture. 3 days ago closed locked nailing was performed, see attached films. Now he is in panic because they are going to remove the nail and perform plating.
It seems to me the situation can be solved on the current nail with a minimal procedure - insertion of wires into distal and proximal tibia, acute distraction and proximal static locking. Maybe dynamic locking screw should also be removed before. As a maximum i would assume to pull the nail to the central fragment, insert poller wire or screw, then insert of the nail back and lock it.

<  |  >

 

  • Сообщения о Ортопедия и травматология
  • Также Rodion Matveev
  • Связаться с автором
  • Ответить

    Re: Неудачный остеосинтез голени гвоздем
    Alexander Chelnokov 18 Декабрь 2003, 03:02
    1.Насколько видно, снимки сделаны в разное время - фасный позже, когда отломки уже "стелескопировались" на гвозде.


    2.Трудно сказать, насколько хорошо отломки стояли на момент окончания операции, но из-за введения проксимального статического винта мимо отверстия угловая деформация и укорочение усугубились до непримлемых.


    3. Что делать? Я бы предложил не торопиться "менять коней на переправе" - это в отношении ранней смены фиксатора на накостный (хоть даже и на модный LCP).

    Вариант А (минимальный): провести по спице во фронтальной плоскости в метафизы, закрепить в аппарате из двух опор, соединенных телескопическими стержнями. Потянуть (учитывая маленький срок после операции - одномоментно).
    При необходимости ввести в центральный отломок спицу с упорной площадкой (через гребень, кпереди от гвоздя), чтобы устранить вальгус. После восстановления длины и оси - ввести проксимальный статический винт и снять аппарат;

    Вариант Б - то же, только предварительно удалить проксимальный динамичесий винт (возможно, он не даст полностью восстановить длину);

    Вариант В - наложить вышеописанный дистрактор, удалить все запирающие винты, извлечь гвоздь почти полностью, в центральный отломок, ближе к перелому, спереди назад ввести спицу в наружном отделе костно-мозгового канала (только в кость, не выходя в мышцы), чтобы она при введении гвоздя служила "дорожным столбиком" (poller), отклоняющим отломок кнаружи, от вальгуса. Можно и винт, но он в силу жесткости при ошибочном выборе положения может заклинить гвоздь или расколоть отломок.

    В общем, ситуация выглядит хотя и досадной, но обратимой путем не самых сложных манипуляций.
    Желаю коллегам и пациентке удачи.
    [ Ответить ]

    • Re: Неудачный остеосинтез голени гвоздем
      Отправитель: Й.Воск 20 Декабрь 2003, 16:07
      Вариант Б очень мне выглядит. Предложил бы не возвращать проксимальный винт после де-импакции места перелома, а зафиксировать наружную дистракционную систему in situ и оставить на 4 недели, как поддержку I/MED фиксации. После удаления наружной системы через месячный период, уверен I/Med nail будет хранить фиксацию в хорошо редуцированном состоянии до самого момента надежного рентгенологического сростка. После этого можно разрешить полновесную осевую нагрузку на ногу, т.е. ходьбу.

      Й. Воск

      [ Ответить ]
    Re: Неудачный остеосинтез голени гвоздем
    Bill Burman 18 Декабрь 2003, 09:11
    Bob Winquist gives a good OTA Basic Fx course talk on how to avoid valgus nailing of proximal tibial fractures with much emphasis on starting point -
    see:
    http://www.hwbf.org/ota/bfc/winq2/ft004.html

    Bill Burman, MD
    HWB Foundation
    [ Ответить ]

    • Re: Неудачный остеосинтез голени гвоздем
      Отправитель: Alexander Chelnokov 20 Декабрь 2003, 12:38
      THX for the good source. We use an "alternative" technique - a small wire distractor which allows to avoid this problem rather easily. And i guess it could help in the case but the patient is far from here.

      [ Ответить ]
      • Re: Неудачный остеосинтез голени гвоздем
        Отправитель: Sathis Chandran 21 Декабрь 2003, 23:31
        Thank you very much for presenting this case. The discussion following it very informative.
        Will not the wires of this Exfix interfere with reaming and nailing?

        Dr Sathis Chandran

        [ Ответить ]
        • Re: Неудачный остеосинтез голени гвоздем
          Отправитель: Alexander Chelnokov 21 Декабрь 2003, 23:34
          The proximal wire is behind the nail, the distal one is lower.

          [ Ответить ]
          • Re: Неудачный остеосинтез голени гвоздем
            Отправитель: Enes M. Kanlic 22 Декабрь 2003, 08:36
            I have to comment it again, It is better to use one method right than to combine two methods wrong.
            If you are comfortable using ring wire fixation, than use it right and it will work.
            As I discussed before, it is easily possible to make it right with nail (slides of three ways to do it right with nail were attached in my pervious discussion).
            Getting the transfixing thin wires close to the nail you are creating a high risk of bringing the infection (tracking on the wires) to the nail and eventually spreading it all the way into medullary canal.
            Make it simple and make it right, please.

            Sincerely,

            Enes M. Kanlic, MD, PhD
            Associate Professor at TTUHSC
            El Paso, Texas

            [ Ответить ]
            • Re: Неудачный остеосинтез голени гвоздем
              Отправитель: Alexander Chelnokov 22 Декабрь 2003, 08:41
              To date we have experience of more than 300 cases of intra op small wire distractors for closed nailing of all long bones with no case of wire track and related infection. The risk is more actual mostly for post op combination of ex fix + nail, especially if wires are contacting the nail, or close to that - i met such a case in the humerus few years ago.

              [ Ответить ]
    • Re: Неудачный остеосинтез голени гвоздем
      Отправитель: William T Obremskey 20 Декабрь 2003, 12:58





      1

      2

      These can be challenging. I agree w/ all Dr. Carr's points. My preference to prevent the deformity is to use an anteromedial plate. See attached case.

      Bill

      William T Obremskey MD MPH
      Vanderbilt University
      Orthopedic Trauma Division
      131MCS 2100 Pierce Ave
      Nashville, TN 37232-3450

      [ Ответить ]
      • Re: Неудачный остеосинтез голени гвоздем
        Отправитель: Alexander Chelnokov 20 Декабрь 2003, 13:03
        Do you suppose reduction by temporary external fixator is less successful or more harmful/risky than site opening and plate placement? How dynamization here is performed if necessary?

        [ Ответить ]
        • Re: Неудачный остеосинтез голени гвоздем
          Отправитель: William T Obremskey 20 Декабрь 2003, 13:04
          The temporary ex fix is a good idea. I have used it for shaft fxs when an assistant is not available. I think it would be more difficult to control the proximal fragment intra and post op w/ a temporary fixator of any kind w/ these proximal fxs. Surgeons in North America are also in general less familiar w/ thin wire fixators.
          Healing has not been a problem in these proximal metaphyseal fxs and dynamization not necessary. Dynamization could also be done in the segmental shaft component if needed.

          Bill

          [ Ответить ]
          • Re: Неудачный остеосинтез голени гвоздем
            Отправитель: Alexander Chelnokov 23 Декабрь 2003, 00:18
            OWT> The temporary ex fix is a good idea. I have used it for
            OWT> shaft fxs when an assistant is not available.

            Yes, sterile team can include only a surgeon and a nurse.

            OWT> I think it would be more difficult to control the proximal
            OWT> fragment intra and post op w/ a temporary fixator of any kind w/
            OWT> these proximal fxs.

            I mean ex fix only intraoperatively, post op alignment is kept by the nail and locking screws. A poller screw(s) can be also added after nail insertion prior fixator removal if any doubts.

            OWT> Surgeons in North America are also in general less familiar w/
            OWT> thin wire fixators.

            :-) I think it was so 10-15 years ago because to date there is a lot of highest quality papers on the topic from North America.

            OWT> metaphyseal fxs and dynamization not necessary. Dynamization
            OWT> could also be done in the segmental shaft component if needed.

            The plate still remains a splint preventing axial compression. Of course i don't have any proves that this is crucial in the particular сircumstances.

            [ Ответить ]
    Re: Неудачный остеосинтез голени гвоздем
    Tom DeCoster 18 Декабрь 2003, 09:48
    The tibia shaft fracture (proximal 1/3 of the shaft) is apex medial 20 degrees, slightly short and a few degrees apex anterior after nailing. The nail extends quite proximal to the entry site. I wasn't able to see the distal end of the nail on my screen and am not certain if there was distal locking.

    There are many techniques to try to avoid this problem and some to correct it once it happens. Correction seems harder than prevention and has always been harder than I anticipated when going back in. If you back the nail up, reduce the fracture and re-insert the nail then the deformity has a strong tendency to recur. Extracting the nail and plating is not altogether unreasonable,
    although I would prefer to reposition the nail. My best salvage technique (2 cases) has been back up the nail reduce the fracture make a small medial (posterior edge of tibia) approach at the distal end of the tibia fracture place a two hole plate with unicortical screws carefully re-insert the nail statically lock in the first case I left the two hole plate and in the second I removed it at the end of the case. Both turned out ok.
    Poller or blocking screws (or as you suggest wire?) CAN also work but once the channel in the proximal fragment is created it can be difficult to maintain the reduction while the nail goes back in.
    Patience and good positioning and radiographic visualization are helpful.

    Very salvageable.

    Tom DeCoster
    [ Ответить ]

    • Re: Неудачный остеосинтез голени гвоздем
      Отправитель: James Carr 18 Декабрь 2003, 17:52
      Good ideas Tom. Basically, it needs a shorter nail with a more lateral starting point. I once had a resident's case I was called into the middle of with the same problem occurring. I took the nail out, enlarged the incision to visualize the starting point, and lateralized the starting point considerably. I was amazed at how the valgus disappeared as I moved it laterally (it took a few tries- each one improving the valgus as I moved the starting point more lateral). Poller screws, and a nail without such a proximal bend are also good adjuncts. Also, the valgus won't correct unless you use a shorter nail that can be buried some- otherwise it impinges on the proximal entry cortex, and pushes it into valgus. In fact, during nail insertion, the tibia will continue to deform until the nail is fully buried.

      Jim Carr

      [ Ответить ]
    Re: Неудачный остеосинтез голени гвоздем
    Enes Kanlic 18 Декабрь 2003, 10:08









    1

    2

    3

    4

    5

    6

    I agree with Dr. Wilson,
    Good surgeon is more important than particular implant, and surgeon should
    use the method what is he/she comfortable with and if he/she has adequate
    equipment.

    In general:
    1. Nailing proximal tibias: Starting point has to be high (still not to
    penetrate knee capsule) and a little bit lateral from midpoint. Blocking
    screws are very helpful and sometimes necessary, see attached Slides 1 and
    2).
    2. Plate could be used, just needs to be done right (minimally invasive,
    preservation of soft tissues, slides 4 and 5)
    3. If it is impossible to get reduction trying to pass the nail distally,
    plate could be added (as on slides 5 and 6).

    In this particular patient, if soft tissues are good, I would:
    A) Exchange (closed method) the nail (shorter one, starting point a little
    bit more lateral) and blocking screws probably would be needed, and if that
    does not work
    B) I would open the fracture, would help my reduction with forceps or plate
    and still nail it.

    If somebody is not comfortable with this techniques, probably the safest way
    (not and most comfortable and convenient for the patient) is to go for ring
    external fixator (Ilizarov type).
    I hope this helps, sincerely

    Enes M. Kanlic, MD, PhD
    Associate Professor
    Department of Orthopaedics
    TTUHSC in El Paso, Texas

    [ Ответить ]

    • Re: Неудачный остеосинтез голени гвоздем
      Отправитель: Martin Fischmeister 21 Декабрь 2003, 22:32
      In my opinion the problem lies in the lateral butterfly fragment of the tibia. This is the reason for the diviation of the nail from the anatomical axis of the tibia. The point of insertion to my opinion is correct.
      My solution would be:
      Remove the nail, try to get an alignment as good as you can through closed manipulation. Use for stabilisation an LCP on the medial side through an minimal invasiv approach and try to avoid opening up the fracture site through an more extensive approach.

      Best regards Martin Fischmeister,

      [ Ответить ]
    Re: Неудачный остеосинтез голени гвоздем
    Simon Reuben 18 Декабрь 2003, 17:17
    Current situation is unacceptable.
    1 medial entry point
    2 overriding fracture in valgus.
    3 proximal locking bolt missing the static locking hole. Or maybe a poller screw!?
    4 the Nail is not too long. in fact it maybe too short once fracture reduced and nail fully inserted distally!


    Minimal procedure that you suggest unlikely to work in anticipated fashion as force required (with nail in situ) to correct is as likely to produce proximal extension fracture into locking bolt territory as to correct the alignment (unlikely)

    It has been suggested with this type of deformity that you can use the angle within the nail to effect correction of valgus by removal of all
    locking bolts and after distraction(with nail removed) reinsert nail in an in internally rotated position. this can lead to partial correction
    of the deformity by the nails angle pointing posterolaterally.

    However I suggest situation can be managed with a nail but requires

    1 complete removal of nail and all screws
    2 fresh entry site more laterally located
    3 poller screws
    a. proximal A-P at entry site of previous nail 3cm below joint
    b. distally and laterally in proximal fragment
    c. leave these screw in permanently as part of construct even
    after nail has been locked (statically)

    Simon Reuben
    Stockport UK
    [ Ответить ]

    Re: Неудачный остеосинтез голени гвоздем
    Vineesh Mathur 18 Декабрь 2003, 21:01
    I have simple technique for this particular problem. Reinsert the nail from a point in the proximal tibia exactly in line with the tibial crest . It is inevitably lateral but it saves the bother of trying again and again.


    Best of luck,

    Dr Vineesh Mathur
    Sr. Consultant Orthopaedics,
    Kalyani Hospital, Gurgaon, India 122001
    [ Ответить ]

    Re: Неудачный остеосинтез голени гвоздем
    Святенко Владимир 19 Декабрь 2003, 00:39
    Вариантов наверное много. Можно долго филосовствовать о возможностях, преимуществах, достоинствах и недостатках остеосинтеза голени гвоздем, но что касается данного случая, если речь не идет о научной разработке методики с целью ее пропаганды,думаю, возможности синтеза гвоздем здесь исчерпаны.
    Надо произвести реостеосинтез пластиной ( с удалением имеющегося импланта )- чем раньше - тем лучше. Это действительно оптимальный вариант в данном случае.
    С уважением, Владимир.
    [ Ответить ]

    • Re: Неудачный остеосинтез голени гвоздем
      Отправитель: Alexander Chelnokov 19 Декабрь 2003, 17:26
      > методики с целью ее пропаганды,думаю, возможности синтеза гвоздем
      > здесь исчерпаны.

      Отчего такая категоричность, коллега? В чем ущербность или невыполнимость предложений по ревизии имеющегося фиксатора?

      AC> Надо произвести реостеосинтез пластиной ( с удалением имеющегося
      AC> импланта )- чем раньше - тем лучше.

      То есть в дополнение к уже нарушенному внутрикостному кровообращению нарушить и периостальное? Наверно, наоборот уместно интуитивное предубеждение против обширной открытой операции с использованием массивного фиксатора после совсем недавней немаленькой операции. Еще для полного счастья тут нагноения не хватает...

      AC> Это действительно оптимальный вариант в данном случае.

      На чем базируется эта точка зрения? Есть какой-то систематизированный опыт разрешения подобных ситуаций (ранний реостеосинтез после технически ошибочного закрытого интрамедуллярного)?

      [ Ответить ]
      • Re: Неудачный остеосинтез голени гвоздем
        Отправитель: Святенко Владимир 19 Декабрь 2003, 20:26
        Ущербности или невыполнимости предложений по ресинтезу стержнем считаю что нет, имею ввиду целесообразность. По моему мнению, изначально выбран не лучший способ остеосинтеза при данном оскольчатом переломе.
        Нагноение раны может произойти при любом вмешательстве,а стабильности и хорошей репозиции без синтеза пластиной в данной ситуации не будет. Опасность нарушения кровообращения у молодой женщины несколько преувеличена если соблюдать во время операции , в частности, принципы АО.
        Точка зрения базируется на имеющемся опыте, ведь коллега спрашивает совет. А что,сть какой-то систематизированный опыт разрешения подобных
        ситуаций ( повторный ресинтез стержнем при неудаче первой операции? :)

        [ Ответить ]
        • Re: Неудачный остеосинтез голени гвоздем
          Отправитель: Alexander Chelnokov 20 Декабрь 2003, 22:40
          > что нет, имею ввиду целесообразность. По моему мнению, изначально
          > выбран не лучший способ остеосинтеза при данном оскольчатом переломе.

          Насколько мне известно, на сегодня при диафизарных переломах tibiae этот "не лучший способ" является мировым "золотым стандартом".

          > Нагноение раны может произойти при любом вмешательстве,а стабильности
          > и хорошей репозиции без синтеза пластиной в данной ситуации не будет.

          При закрытом интрамедуллярном остеосинтезе (ЗИО) риск нагноения раз в 5 ниже, чем при открытом накостном.

          > Опасность нарушения кровообращения у молодой женщины несколько
          > преувеличена если соблюдать во время операции , в частности, принципы
          > АО.

          Вообще, доступны самые передовые пластинки LCP - но дорого. Ну а что до опасности - от скелетирования и помещения пластинки местное кровоснабжение точно не улучшается + новая рана, гематома, дополнительное повреждение еще не пришедших в себя тканей...

          > Точка зрения базируется на имеющемся опыте, ведь коллега спрашивает
          > совет. А что,сть какой-то систематизированный опыт разрешения подобных
          > ситуаций ( повторный ресинтез стержнем при неудаче первой операции? :)

          Моя точка зрения базируется на опыте более 100 ЗИО tibiae за 2 года - пациентов, поступающих через несколько недель или месяцев после травмы с подобным положением отломков, было процентов 70. Предложенный вариант у них сработал. Плюс тот летний случай - там тоже аппаратиком обошлись...

          [ Ответить ]
          • Re: Неудачный остеосинтез голени гвоздем
            Отправитель: Святенко Владимир 21 Декабрь 2003, 00:01
            Могу только приветствовать Ваш значительный опыт! Однако в данном случае "золотой стандарт", как видно, не сработал, раз появилась проблема.
            Универсальных методов нет, и это еще раз наглядно иллюстрирует данный случай.
            А каков по Вашему мнению риск инфицирования при использовании аппарата наружной фиксации?


            [ Ответить ]
            • Re: Неудачный остеосинтез голени гвоздем
              Отправитель: Alexander Chelnokov 21 Декабрь 2003, 01:41
              Какие бы ни были замечательные ноты и хороший рояль, остается проблема исполнения. И случай этот IMHO демонстрирует не то, что универсальных методов нет (ЗИО и не позиционируется таковым, но уж диафизарный перелом голени для него уж точно 100% показание), а что мелочей в хирургических методиках нет. "Наколбасить" можно при любом варианте остеосинтеза, да и при консервативном лечении перелома. Безусловно, методы различаются по технологичности и дуракозащищенности, это важная характеристика.

              При чрескостном остеосинтезе риск инфицирования зоны перелома близок к нулю, а высок (10-90%) только для спицевых каналов, что крайне редко приводит к стойким неблагоприятным исходам. Но аппарат чем хорош: пока он на сегменте, мы управляем ситуацией, а когда его нет - ситуация управляет нами...

              [ Ответить ]
    • Re: Неудачный остеосинтез голени гвоздем
      Отправитель: Й. Воск 20 Декабрь 2003, 13:24
      Совершенно согласен с Александром,
      Опасно искать выхода из ошибки усложнением создавшейся ситуации. Позволит ли пластина стабилизировать перелом и обеспечить его сращение - это из области благих пожеланий и надежд. Пластины ведь вообще исторически появились первыми, а множество умных людей поколениями придумывали и-медул гвозди, наружные фиксаторы и прочую слесарню. Всё это по причине спорной эффективности пластин для лечения переломов тибии.
      Возможность этим путём повредить регенеративный потенциал кости и ещё в добавку добиться гнойного остеомиелита, на мой взгляд более чем реальна.
      Дорога в ад, как известно, вымощена благими намерениями. Я лично попытался бы заживить перелом и реабилитировать ходьбу в той ситуации что есть. Многие пациенты прекрасно ходят и с более серьёзными ангуляциями оси тибии. В будущем всегда можно поправить ось аккуратной остеотомией в "холодном" постравматическом периоде, планированно и продуманно. Гораздо больше больных получают глубокую инвалидность, изуродованные косметически и анатомически конечности или даже лишаются их в результате патологической резвости хирургов, чем в результате не особенно чёткого первого лечения.

      Й. Воск

      [ Ответить ]
    • Re: Неудачный остеосинтез голени гвоздем
      Отправитель: Altay Jafarov 20 Декабрь 2003, 13:25
      Уважаемый коллега,

      думаю возможности интрамедуллярного остеосинтеза не исчерпаны, предлагаю ревизию с использованием техники поллер скрю. альтернативное предложение - ревизия + аппарат Илизарова.


      С уважением
      Др.Алтай Джафаров
      Баку,Азербайджан

      [ Ответить ]
    Re: Неудачный остеосинтез голени гвоздем
    Евгений Квитченко 20 Декабрь 2003, 22:26
    Удалить гвоздь.Выполнить остеосинтез аппаратом Илизарова.
    Технически возможна любая операция и повторное введение гвоздя и установка пластины, но т.к. механизм травмы прямой, предпочтительнее ЧКДО.

    Евгений Квитченко
    [ Ответить ]

    • Re: Неудачный остеосинтез голени гвоздем
      Отправитель: Alexander Chelnokov 20 Декабрь 2003, 23:20
      Наверно, внешняя фиксация более приемлема, когда можно уложиться в 2-3 месяца.
      Действительно, бамперные переломы заживают хуже и дольше. И если предполагать более длительные сроки, гвоздь, наверно, предпочтительнее - есть у аппаратного лечения известные отрицательные моменты. В общем, если есть возможность избежать многомесячной внешней фиксации, жаль ею пренебрегать. Как полагаете?


      [ Ответить ]
      • Re: Неудачный остеосинтез голени гвоздем
        Отправитель: Евгений Квитченко 21 Декабрь 2003, 14:59
        Считаю, что в данном случае стоит риентироваться не на сроки (4-5 месяцев при аппаратном ведении перелома), а на конечный результат.

        Гвоздь - сложно!
        Если, как в пункте 3: установить аппарат/удалить аппарат, удалить винты/установить винты, фиксация осколка с возможностью его расколоть или заклинить гвоздь.
        Результат: т.к. концы отломков очень узкие, перелом оскольчатый, после проведенной сложной операции, возможно повторное смещение отломков после снятия аппарата или после нагрузки.
        + нет внешней фиксации:

        Пластина - опасно!
        Прямой механизм травмы, повторная операция, открытая репозиция, травматизация тканей на протяжении - высокая вероятность осложнений.
        В отделении 2 ампутации при прямой травме после пластин А.О.
        + идеальная репозиция отломков:

        Управляемый остеосинтез позволяет проводить коррекцию в процессе лечения (при необходимости).
        Стимулировать регенерацию.
        Технически просто подвести отломок к месту перелома.
        Осложнения при ЧКДО - чаще всего устранимы - перемонтаж.


        [ Ответить ]
        • Re: Неудачный остеосинтез голени гвоздем
          Отправитель: Alexander Chelnokov 21 Декабрь 2003, 21:50
          Глубокоуважаемый Евгений,

          > Считаю, что в данном случае стоит ориентироваться не на сроки (4-5
          > месяцев при аппаратном ведении перелома), а на конечный результат.

          Цена этого результата тоже имеет значение, не так ли? Если у пациентки через 6-8 недель после операции имеется картина здорового человека, за это стоит побороться.

          > Гвоздь - сложно!
          > Если, как в пункте 3: установить аппарат/удалить аппарат, удалить
          > винты/установить винты, фиксация осколка с возможностью его расколоть

          Про фиксацию осколка речи не было, поскольку она не нужна. Да и что сложного в самой манипуляции - провести спицы? Убрать винты? Извлечь гвоздь? Все это несложно. Ввести винт, а безопаснее спицу, кнаружи от траектории гвоздя? Это ответственный момент, но виртуозности не требующий тоже. Ввести гвозди и винты - тоже достаточно прозаично...

          > Результат: т.к. концы отломков очень узкие, перелом оскольчатый, после
          > проведенной сложной операции, возможно повторное смещение отломков
          > после снятия аппарата или после нагрузки.

          Канал не узкий (ведь гвоздь уже в нем), оскольчатый перелом - не проблема вообще, сложность тут не выше просто остеосинтеза
          аппаратом; смещение отломков, при условии штатного запирания гвоздя, а то и торцового упора в области целой части стенки, крайне маловерятна, разве
          что пациентка с первых дней будет прыгать на больной ноге, и сломаются винты.

          > Пластина - опасно!
          [...]
          Согласен.

          > Управляемый остеосинтез позволяет проводить коррекцию в процессе

          Да, конечно, все это так, но случаи длительного пребывания в аппаратах тоже бывают. Интересно, но на гвозде переломы срастаются лучше, чем в аппарате. Мы сейчас довольно много аппаратов, наложенных в других местах, меняем на гвозди - если не видно явно формирующегося сращения.

          [ Ответить ]
          • Re: Неудачный остеосинтез голени гвоздем
            Отправитель: Евгений Квитченко 22 Декабрь 2003, 09:22
            Я не пытаюсь доказать превосходство какого-либо метода.
            Уважаемый Александр, вы не считаете, что повторное даже частичное <введение> гвоздя, резко увеличит риск инфекционных осложнений.


            [ Ответить ]
            • Re: Неудачный остеосинтез голени гвоздем
              Отправитель: Alexander Chelnokov 22 Декабрь 2003, 13:58
              >Я не пытаюсь доказать превосходство какого-либо метода.

              Превосходство ЗИО уже доказано...

              >Уважаемый Александр, вы не считаете, что повторное
              >даже частичное <введение> гвоздя, резко увеличит
              > риск инфекционных осложнений.

              А за счет чего? Риск нагноения высок там, где есть для него много субстрата - большое количество тканей с плохим кровоснабжением, поврежденных, размятых...

              [ Ответить ]
    Re: Неудачный остеосинтез голени гвоздем
    V.M.Iyer 22 Декабрь 2003, 22:48
    I am joining rather late for the discussion cos I was away at our national annual conf at Chennai for the past 4 days.
    The case was posted on 18th by you and at that time the nailing (unhappy) had been done 3 days earlier. I also went through the opinions of others.
    Dr Martin says that the entry point is correct. I am surprised. It is prominently medial. I do not know how closed manipulation can bring the butterfly fragment near. Only if it comes in opposition will the minimally invasive approach work. If plating is to be done the whole # site has to be opened, the butterfly fragment has to be fxed accurately with IF screws and a neutralisation plate applied as per the rules of the ASIF. Dr Chris Wilson says that the nail is too long. It is not as already explained by Dr Simon Reuben. Dr Andrea Salvi wishes to manage by ExFix alone. Best of luck and months of praying.
    Someone else has mentioned Ring fixator, definitely a better option than mono fixator.
    I would remove the nail, change the entry point see that the guidewire passes parellel to the anterior cortex in the prox fragment, (press the fragment posteriorly) and complete the nailing, almost similar to how Simon Reuben has described. I might use the same nail if it does not seem too short. As regards "Blocking-Poller screws", I have to say this.I find using 3mm Kwires for the same purposes is as good. It saves time but have to be removed at the end of the surgery Anyway, we are interested to know how it was tackled finally. The patient need not panic even if decison to plate has been made as long as it is redone in any one of the correct ways.

    Regards V M Iyer
    . Iyer Orthopaedic Centre,
    103,Railway lines Solapur.413001.
    [ Ответить ]


    ( Ответить )

    Powered by Zope  Squishdot Powered MedLink
    Посетитель: 0378220
      "По форме правильно, а по существу - издевательство" В.И.Ленин
    ©2001-2019Orthoforum Coordinator.
    [ Главная | Отправить сообщение | Поиск | Админ ]