Ответить
|
Re: К вопросу о фасциотомии
Андрей 14 Март 2012, 01:33
|
Честно говоря, я пока много для себя неясного вижу в проблеме компартмент-синдрома вообще. Ну не вижу я таких компартмент-синдромов, как показывал на форуме Джолдас Кульджанов. Если и есть какой-то намек, то противоотечная терапия позволяет справиться с нарастающим отеком. Ни разу ни поднималась рука сделать пару разрезов по голени, как шашкой махнув. Полностью не отрицаю, но мне кажется необходимость в фасциотомии при компертмент-синдроме расширена. У нас правда нет аппаратика Страйкер, возможно при его наличии и мы бы полосовали ноги и руки:)))
По представленному случаю много непонятного, начиная от необходимости фасциотомии и заканчивая "манипуляцими" над сосудами. Я думаю при любом переломе бедра Вы на ангиографии увидете "
экстравазацию контраста в мете перелома".
Тема очень интересна и была бы интересная дискуссия.
|
[
Ответить ]
|
Re: К вопросу о фасциотомии
Отправитель: Иван 15 Март 2012, 00:00
|
Андрей, спасибо за Ваш комментарий, постараюсь внести ясность:
По представленному случаю много непонятного, начиная от необходимости фасциотомии и заканчивая "манипуляцими" над сосудами.
- Показаниями для фасциотомии явились: нарастание объема сегмента конечности и "каменистой плотности" бедро, гипестезия в зоне иннервации малоберцового нерва, стойкое повышение давления в компартментах на уровне 70 и более (разница с ДАД составила 20 и менее);
- "манипуляции" над сосудами состояла в перевязке мышечной артериальной ветви и поврежденной поверхностной бедренной вены.
Андрей, что включает в себя проводимая Вами "противоотечная" терапия, каким образом контролируется ее эффективность?
|
[
Ответить ]
|
Re: К вопросу о фасциотомии
Отправитель: Иван 16 Март 2012, 00:21
|
По представленному случаю много непонятного, начиная от необходимости фасциотомии и заканчивая "манипуляцими" над сосудами. Я думаю при любом переломе бедра Вы на ангиографии увидете "
экстравазацию контраста в мете перелома".
Фасциотомия выполнена в связи с наличием клинической картины компартмент-синдрома и повышением внутрифутлярного давления, измеренного прибором.
Без сомнения при переломе бедренной кости повреждаются те или иные сосуды, в представленном случае ангиография выполнялась для интраоперационной верификации источника неконтролируемого кровотечения.
Адрей, что включает проводимая Вами "противоотечная" терапия, как оценивается ее эффективность?
Спасибо за Ваш комментарий, с уважением Иван.
|
[
Ответить ]
|
Re: К вопросу о фасциотомии
Отправитель: Андрей 17 Март 2012, 01:44
|
Применяем инфузии L-лизина, а контроль проводим клинически. Да не научно, не доказательно, но никогда пока не подводило. АД 150/90 мм.рт.ст. нет признаков нарушения магистрального кровотока, пациент принимает варфарин - никогда бы не выполнил на этом фоне фасциотомию на бедре при закрытом переломе.
Я так понял по Вашему последнему посту Вы бы делали точно также.
Кстати по поводу доказательности пока не искал, но может кто-то встречал доказательные исследования по выполнению фасциотомии при лечении компартмент-синдрома?
|
[
Ответить ]
|
|
Re: К вопросу о фасциотомии
Ivan Petrov 14 Март 2012, 13:38
|
Учитывались ли Вами следующие компоненты состояния пострадавшего при планировании неотложной помощи:
1) Было ли массивное размозжение мышечной ткани бедра тяжелым предметом (острый краш-синдром): миоглобинурия, гиперкалиемия, гиперфосфатемия, ацидоз. Каковы были показатели КЩС при поступлении?
2) Были ли признаки гипоперфузии тканей отдаленных от места перелома при поступлении? (I стадия шока. Адекватно ли восполнялась гиповолемия с момента поступления до операции?
3)Имелись ли лабораторный признаки гипокоагуляции при поступлении? Гипокоагуляция была своевременно скоррегирована?
4)Характер вмешательства на сосуде (шов, лигирование) и какой именно ветви? Не привело ли это к усугублению ишемии тканей бедра?
5) Когда присоединились ОДН, "пневмония", вы исключили развитие жировой эмболии,как причины ухудшения состояния и "туманного прогноза".
Только с учетом исключения вышеуказанных причин (И НЕКОТОРЫХ ДРУГИХ) можно сделать вывод, что "Таким образом, само лечение компартмент синдрома может нести еще большую опасность, чем его успешное развитие"
|
[
Ответить ]
|
Re: К вопросу о фасциотомии
Отправитель: Иван 16 Март 2012, 00:34
|
Отвечу по порядку.
1. признаков краш-синдрома не было. Что такое гиперфосфатэмия не в курсе. Остальные показатели не выбивались за рамки.
2. Да при поступлении было отмечено кратковременное снижение САД до 80. Гиповолемия восполнена адекватно, АД быстро стабилизировано.
3. при постулении АЧТВ 0,97; Протромбин 36%;МНО 1,95; о. фибриноген 3 - пациент постоянно принимал варфарин в связи с постоянной формой фибриляции предсердий; Проводилось введение плазмы, транексама.
4. Выполнено лигирование мышечной ветви 1 порядка, а также поверхностной бедренной вены, которая также была повреждена.
5. Осложнения присоединились в послеоперационном периоде, и расценивались как результат острой кровопотери тяжелой степени.
|
[
Ответить ]
|
Re: К вопросу о фасциотомии
Отправитель: Ivan Petrov 17 Март 2012, 16:07
|
1.Исключаем
2. Т.е. шок все-таки присутствовал, а ведь бывает шок с нормальным АД и даже с повышенным. Другие показатели: почасовой диурез, "белое пятно", ШКГ были нормальными? Операция проводилась в условиях спинальной или эпидуральной анестезии?
3. В первом посте я указаний на прием варфарина не заметил, хотя это объясняет и обширную внутритканевую гематому, вызвавшую повышение внутрифутлярного давления, интраоперационную кровопотерю и т.д.
Транексам не коррегирует варфариновую гипокоагуляцию, СЗП - в настоящее время не рекомендуется.
Вводился ли витамин К?
4. Чисто терминологически: термин "поверхностная бедренная вена" не рекомендован к международному употреблению с 2005 г. (Caggiati A, ea "Nomenclature of the veins of the lower limb: Extensions, refinements, and clinical application. An International Interdisciplinary Consensus Committee on Venous Anatomical Terminology (Italy, USA, Sweden, Austria) // Journal of Vascular Surgery. - April, 2005. - v.41. - p.719-724)
5. Уверяю Вас, что 1500 мл это не настолько критическая кровопотеря, чтобы вызвать столь тяжелое состояние. Мы часто видим во время спленэктомии в животе 1500-2000 мл крови, при этом большинство из пациентов вполне стабильны. При одномоментном комбинированном (360 градусов) спондилодезе - 1500 мл вполне стандартная кровопотеря. При этом далеко не всем требуется гемотрансфузия вообще. Наиболее вероятна другая причина синдрома острого легочного повреждения: "шоковое легкое", жированя эмболия, TRALI и т.д.
|
[
Ответить ]
|
Re: К вопросу о фасциотомии
Отправитель: Иван 18 Март 2012, 14:01
|
1. Договорились.
2. У нас диагноз "шок" рассматривается только при наличии системной гипоциркуляции, при нормальном, а тем более повышенном АД данный диагноз не устанавливается. Если не сложно, скажите где об этом прочесть. Другие показатели были в пределах нормы. Операция выполнялась под общей анестезией с ИВЛ.
3. Да в первом описании это упушено, но оказывает ли это влияние на хирургическую тактику лечения КС? Транексам вводили для замедления фибринолиза, зная о возможной гипокоагуляции. Механизм действия варфарина нам известен.
Для чего сегодня не рекомендуется СЗП?
Витамин К не вводился, так как действие его развивается в течение курсового приема. Интраоперационно он бы нам не помог.
4. Какой же термин верен?
5. Общая кровопотеря 1500 для молодого человека вероятно не столь критична. Но я говорил об интраоперационной кровопотере, прибавьте еще 1000-1500 мл кровопотерю в зоне перелома, и уверяю Вас, что для пациента 70 лет это очень критично.
|
[
Ответить ]
|
Re: К вопросу о фасциотомии
Отправитель: Ivan Petrov 20 Март 2012, 13:42
|
1. Принято
2. Advanced Trauma Life Support for Doctors, Student Course Manual (ATLS)
http://www.amazon.com/Advanced-Trauma-Support-Doctors-Student/dp/B0015P2JKS
3. Думаю, что в странах с развитой медициной очень даже оказывает.
Возьмем, к примеру, UK: Guidelines on oral anticoagulation with warfarin – fourth
edition.
6. Emergency surgery for patients on warfarin
Recommendation
• For surgery that requires reversal of warfarin and that can be delayed for 6–12 h, the INR can be corrected by giving intravenous vitamin K. For surgery that requires reversal of warfarin and which cannot be delayed, for vitamin K to have time to take effect the INR can be corrected by giving PCC and intravenous vitamin K. PCC should not be used to enable elective or non-urgent
surgery (2C).
Про плазму, как видите, ни слова.
Причем имеется в виду не Викасол (К3), которому надо метаболизироваться в печени, а активная форма – Фитоменадион (К1).
Читаем инструкцию: При приеме внутрь эффект проявляется спустя 6-10 ч (при в/м введении - в течение 1 ч) и сохраняется 3-6 ч.
http://health.mail.ru/drug/phytomenadione/#SpecialInstruction
Наверняка, этот час был в запасе.
В России, конечно же, не актуально – здесь каждый лечит, как умеет.
4. Бедренная вена
5. Так пациенту 50 лет (см. свой первый пост) или 70?
|
[
Ответить ]
|
|
Re: К вопросу о фасциотомии
Anton Bekhterev 14 Март 2012, 22:30
|
промежутке, признаков нарушения кровоснабжения не выявлено. Выполнено изменение
внутрифутлярного давления на левом бедре прибором страйкер, давление составило 70 в
переднем и 74 в заднем футляре. АД 150/90 мм. рт. ст. Спустя 2 часа исследование повторили без
динамики.
Уже на этом этапе можно было на основании клиники выполнять фасциотомию без измерения внтрифасциального давления. А вот двухчасовой контроль (задержка в оказании помощи) при таких первоаначальных показателях давления в компартментах непонятен. Ладно, когда получили 35, ну 40 мм рт. ст. Но при 70 чего ждать два часа?
Основываясь на этих данных диагностирован компартмент синдром, принято решение
О
о выполнении фасциотомии. По наружной поверхности левого бедра произведен линейных разрез
начиная чуть ниже большого вертела и заканчивая надмыщелковой областью. После рассечения
кожи в рану начали выступать имбибированные мышцы. Далее рассечена фасция, при этом в
проекции перелома омечается разрыв мышцы откуда дренировалась гематома.
После удаления
гематомы отмечено продолжающееся артериальное и венозное кровотечение средней/малой
интенсивности. Поиски источника не увенчались успехом. Произведена фиксация перелома
аппаратом на 4 стержнях. Рана тампонирована, произведена интраоперационная ангиография,
при которой выявлена экстравазация контраста в проекции перелома. Вызван сосудистый
хирург. Произведен проксимальный контроль гемостаза, после чего начата ревизия сосудов в
проекции перелома: выявлено повреждение ветви бедренной артерии. Произведен гемостаз. На
этот момент интраоперационная кровопотеря составила более 1500 мл, перелито 4 дозы крови,
1000 мл плазмы.
По-моему, тот случай, когда техническая оснащенность идет во вред больному. Необоснованное затягивание времени операции, чрезмерная агрессия (ковыряние раны\ревизия) с привлением к этому смежных специалистов привели:
Общая продолжительность оперативного лечения составила более 7 часов.
Далее развились осложнения в виде дыхательной недостаточности, двусторонней пневмонии,
поверхностной инфекции фасциотомической раны. Прогноз достаточно туманен. Этапные
фотографии представлены. Таким образом, само лечение компартмент синдрома может нести еще
большую опасность, чем его успешное развитие. Хотелось бы услышать мнение коллег по
приведенному наблюдению, может кто-то поделится опытом.
"Лечение компартмент-синдрома" здесь ни при чем. Если бы Вы огрничились только фасциотомией с наложением аппарата внешней фиксации не было бы повода для создания этой темы. Удачи Вам и Вашему больному.
P.S. Зачем было выполнять фасциотомию, чтобы затем с натяжением ушивать рану?
С уважением, Бехтерев Антон.
|
[
Ответить ]
|
Re: К вопросу о фасциотомии
Отправитель: Иван 16 Март 2012, 01:01
|
Уже на этом этапе можно было на основании клиники выполнять фасциотомию без измерения внтрифасциального давления. А вот двухчасовой контроль (задержка в оказании помощи) при таких первоаначальных показателях давления в компартментах непонятен. Ладно, когда получили 35, ну 40 мм рт. ст. Но при 70 чего ждать два часа?
Может быть в Вашей клинике,Антон, это рутинная операция при закрытом перелома бедра выполнять фасциотомию, но в нашей - нет. Ходили вокруг смотрели, решение вообщем-то не простое. Второе изменение выполняли уже непосредственно перед операцией.
По-моему, тот случай, когда техническая оснащенность идет во вред больному. Необоснованное затягивание времени операции, чрезмерная агрессия (ковыряние раны\ревизия) с привлением к этому смежных специалистов привели:
Если бы мы выполнили операцию основываясь только на клинике (не смотря на то, что везде говориться, что этого достаточно), то сегодня непонимания было бы еще больше. Агрессии особой и не требовалось, после рассечения фасции вскрылась гематома и через канал, сформированный поврежденными мышцами, продолжалось кровотечение средней/умеренной интенсивности, которое не удавалось контролировать. Далее привлекли сосудистых хирургов.
"Лечение компартмент-синдрома" здесь ни при чем. Если бы Вы огрничились только фасциотомией с наложением аппарата внешней фиксации не было бы повода для создания этой темы. Удачи Вам и Вашему больному.
- Это и было в планах, но все сложилось по иному, просто рассечением фасции не обошлось, к сожалению.
P.S. Зачем было выполнять фасциотомию, чтобы затем с натяжением ушивать рану?
- естественно, Антон, рану сразу после операции никто не стягивал, представлены этапные фотографии примерно через 10 сут.
|
[
Ответить ]
|
|
Re: К вопросу о фасциотомии
Alexey Semenisty 14 Март 2012, 22:40
|
Конкретно по представленному на обсуждение случаю есть несколько вопросов.
1. На каком основании выставлен диагноз компартмент-синдром? Разница между
показателями ДИАСТОЛИЧЕСКОГО!!! и внутрафасциального давления составила
(90-70=20) 20 мм.рт.ст... Не 40, и больной не в шоке.
2, Или в Шоке?
3.Временной промежуток между всеми событиями: -
травма-поступление-анестезия места перелома-вытяжение-первые симптомы (или
настороженность)
4.Разве после рассечения кожи сразу в рану мышцы выступают?
5. "Далее рассечена фасция" (с). Какая?
6. А менее инвазивные способы определения возможного повреждения
магистральных соссудов на нажней конечности (иначе зачем вы делали
ангиографию) вам известны/доступны, как например ABI - лодыжечно-плечевой
индекс?
7.
8.
.
.
Таким образом, само ЛИ лечение компартмент синдрома несет опасность?
С уважением, А.Семенистый.
ГКБ № 13, Москва.
|
[
Ответить ]
|
Re: К вопросу о фасциотомии
Отправитель: Иван 16 Март 2012, 01:17
|
Здравствуйте, Алексей!
1. Диагноз компартмент-синдрома установлен на основании клиники: выраженный болевой синдром, "каменистой плотности" бедро, неврологический дефицит в виде гипестезии в 1 межпальцевом промежутке; и изменения внутрифутлярного давления.
Стойкое повышение давления в компартментах выше 30 или разница диастолического давления и давления в компартментах соответсвенно 30 и ниже позволяет поставить диагноз компартмент-синдрома. Ваши данные пока не очень понятны.
2. На момент измерения шока не было.
3. доставлен спустя 1ч20мин после травмы, помощь (блокада, скелетное вытяжение) оказана сразу при
поступлении; настороженность возникла при повторном осмотре,что и побудило измерить давление.
4.5. В мыслях не было составить конкуренцию учебникам по оперативной хирургии, но полностью с Вами согласен: рассечена кожа, подкожная жировая клетчатка, собственная фасция бедра.
6. Алексей, перед операцией не было НИКАКИХ признаков повреждения магистральных сосудов конечности. Ангиография выполнена интраоперционно для определения зоны/доступа для дальнейшей ревизии. При этом на ангиограммах не было повреждений магистральных сосудов. О плече-лодыжечном индексе нам известно: книжки читаем, статьи переводим, конференции посещаем.
Таким образом, само ЛИ лечение компартмент синдрома несет опасность? - Думаю что несет и немалую.
Спасибо за участие.
|
[
Ответить ]
|
|
Re: К вопросу о фасциотомии
Alexandr Artemiev 14 Март 2012, 23:18
|
Здравствуйте.
Пожалуй, присоединюсь ко мнению всех, ответивших уже на эту тему.
Называя вещи своими именами, Вы своевременно не диагностировали основное угрожающее жизни повреждение - разрыв крупного сосуда.
Это привело к задержке оказания помощи, а Ваши лечебные действия пошли по ложному пути, мягко говоря.
Компартмент-синдром в данном случае - дым от огня...
Не его надо было лечить...
Дальше ждите ДВС, т.н. полиорганной недостаточности и пр...
По своему опыту вынужден признать, что ни разу не выполнял фасциотомию по поводу компартмент-синдрома при переломе.
Если бы не мнение уважаемого мною Джолдаса, я бы считал это шарлатанством...
При синдроме сдавления - другое дело. Хотя в подавляющем количестве случаев - с запозданием.
При повреждении артерий сосудистые хирурги ставят показания к фасциотомии довольно часто. И вполне оправданно.
Данный случай именно таков. Только начинать нужно с ревизии сосуда все-таки.
Ангиография - вполне адекватный метод диагностики повреждения сосудов.
Хотя Вам достаточно было заподозрить повреждение артерии уже по механизму травмы, пригласить сосудистого хирурга и согласовать действия.
Алгоритм действий:
- ангиография
- репозиция на ортопедическом столе,
- ревизия сосудов стандартным доступом, остановка кровотечения
- внешняя фиксация.
Если тема останется актуальной - выложу фото аналогичного случая при оказании помощи в ЦРБ.
С уважением Александр Артемьев
|
[
Ответить ]
|
Re: К вопросу о фасциотомии
Отправитель: Иван 16 Март 2012, 01:31
|
Здравствуйте,Александр.
Называя вещи своими именами, Вы своевременно не диагностировали основное угрожающее жизни повреждение - разрыв крупного сосуда.
- Да не диагносцировали, но только потому, что не было разрыва крупного сосуда. А повреждение мышечной ветви, как правило, не угрожает жизни, если не "лечить компартмент".
- При повреждении артерий сосудистые хирурги ставят показания к фасциотомии довольно часто. И вполне оправданно.
Данный случай именно таков. Только начинать нужно с ревизии сосуда все-таки.
- Да вовсе нет. Признаков повреждения магистральных сосудов не было, что и подтверждено ангиографией. А то внутритканевое кровотечение, которое было с успехом бы остановилось, если бы его не перевели в разряд наружного.
Алгоритм действий:
- ангиография
- репозиция на ортопедическом столе,
- ревизия сосудов стандартным доступом, остановка кровотечения
- внешняя фиксация.
Сегодня я бы действовал по-другому:
- нет признаков ишемии дистальных отделов, отчетливая пульсация на артериаях стопы - нет ангиографии.
- нет репозиции на столе - да скелетное вытяжение
- нет ревизии сосудов - да динамический контроль кровотока
- нет внешней фиксации
- БИОС в плановом порядке обычного закрытого перелома.
Спасибо за участие! С уважением, Иван
|
[
Ответить ]
|
|
Re: К вопросу о фасциотомии
Djoldas Kuldjanov 17 Март 2012, 09:14
|
Ну не вижу я таких компартмент-синдромов, как показывал на форуме Джолдас Кульджанов

Как говорят, "Not so fast!". С такими темпами развития капитализма в России он скоро придет не только как заболевание, а в виде судебных издержек за пропущенный синдром. А пока радуйтесь, что не встречается такой "таинственный синдром". Потом, не надо отрицать, а наоборот, взять на вооружение! Соблюдайте бдительность!
Патофизиология синдрома широко освещена как в зарубежной, так и местной литературе, т.е ни у кого нет сомнения о существованим компартамент-синдрома. Просто надо подумать, все ли мы диагностируем, не пропускаем ли? Мне, кто смог работать “там и здесь”, ретроспективно вспоминаются случаи, когда беспричинный “эквинус стопы” и отек обьясняли повреждением, полученным во время травмы или межмышечной гематомой.
А вот почему редко в клиниках России - это уже другая тема, возможно, связано с бытом, или особенностями организма, но я уверяю, что компартмент синдром никуда не уходил, встречается везде, и много случаев не диагностируется. Так что синдром не придуманные происки “запада”, а коварный синдром, так что надо соблюдать осторожность, когда имеете сложных, особенно без сознания, больных.
Клиника нарастающего отека и боли, плотность мягких тканей над переломом, гипестезия являются первыми признаками компартамент-синдрома. В первую очередь на давление реагируют чувствительные окончания нервов, и поэтому появляется парестезия в дистальной части конечности. Под давлением страдает оксигенация мышц, которая после 6 часов переходит в необратимую стадию!
По нашим данным, компартамент-синдром встречается больше всего в голени, особенно у больных с переломом тибиал плато, а на втором месте верхней конечности: предплечья и кисти. На третьем месте, меньше чем 5%, встречается в области бедра.
Системная гипотензия, коагулопатия, васкулярные проблемы и даже интрамедуллярный остеосинтез могут привести к повышению давления в компартменте. Чтобы не повторять все причины КС, здесь линк к лекциям: Margaret M. McQueen, MD из благополучной Англии http://www.hwbf.org/ota/bfc/mmmq2/exp.htm и вторая от самого Thomas E. Whitesides, MD http://www.hwbf.org/ota/bfc/wside/exp.htm.
У нас в течение 7 лет с компартмент-синдромам голени прошли 164 больных, из них 18 с вовлечением всех 4 компартментов и 30 раз с вовлечением только переднего компартмента. Из-за сравнительно большого обьема бедра, где можно расмести до 1.5 литров крови при переломе бедра, компартмент-синдром редкое явление. Наши случаи в большинстве после сосудистых операций или после переломов костей таза, и поэтому редко есть показания к фасциотомии при изолированных переломах бедренной кости.
После клинического и инструментального подтверждения КС надо делать фасциотомию. На бедре имеется три: передная, латеральная и медиальная. В переднем четерехглавая мышца, вена и артерия с феморальным нервом. Доступы надо начать с латерального, и через межмышечный септум одним разрезом можно вскрыть латеральный и передние компартменты. Затем повторно надо измерить медиальный компартмент. Обычно одного доступа бывает достаточно, чтобы снять давление во всех компартаментах.
В диагностике КС, кроме оценки клинических проявлений, важным является правильное измерение давление в компартменте. Чем ближе к фокусу травмы, тем выше давление, и надо измерять в наиболее отдаленной от перелома точке. Иглой прокалывается только фасция при подвешенном состоянии конечности. т.е. внешнее давление, гипсом или лонгеткой, может исказить данные исследования.
В вашем случае из-за отсутствия отдельных снимков трудно оценить правильность выбранной тактики. Но полученная травма тяжелым предметом это уже сигнал, и лучше сделать профилактическую фасциотомию, чем довести до необратимых процессов!
Раньше после фасциотомии рану покрывали обычной повязкой и раны часто осложнялись вторичным инфецированием. После разреза внутренное давление и отеки мышц приводит к увеличению раны в поперечнике, которую невозможно закрыт первичным швом. После многоразовых повязок закрытие раны заканчивались кожной пластикой.
Но с приходом Вакуума для покрытия ран уменьшился процент осложнении и раны с меньшим отеком закрывались намного легче. Среди всех ран после фасциотомии большой процент осложнения наблюдается на бедре и в нашем случае из 10 фасциотомии на бедре в 6 случаев закончились осложнением инфекцией.
По поводу фиксации, конечно интрамедулярный гвоздь стандарт для переломов бедра, но в этом случае это один из немногих вариантов, где фиксацию можно было проводить пластиной. Использовать доступ для фиксации пластиной и закончить операцию навсегда без рентгена.
Теперь надо ждать....
|
[
Ответить ]
|
Re: К вопросу о фасциотомии
Evgueny Tschekashkine 17 Март 2012, 14:54
|
Иван Приветствую,
грустная история с неправильным выводом. своевременная декомпрессия фасциальных футляров - профилактика миолиза и вытекающих осложнений, а не угроза жизни больного.
И если есть сомнения, то лучше сделать декомпрессию, чем ходить кругами, а потом кусать локти, что не сделал вовремя, но поезд уже не вернуть....
Позвольте моё мнение по вашему случаю с самого начала:
блокада места перелома - анахронизм: не стоит закрытый перелом пунктировать и вводить анастетик, который обеспечит сомнительную временную *анестезию*, но создает при этом риск инфицирования перелома.
Появление парестезий в стопе при нарастающем отёке бедра - достаточно ясный сигнал о запредельном повышении внутрифасциального давления и ждать чудес, что само пройдёт и как-то станет лучше, не стоит, не стоит терять
время и заниматься самоутешением или самообманом - лучше опередить развитие *сварения* мышц, открыв компартменты и на 3-4 сутки начинать постепенно закрывать раны резиновыми тягами.
очевидно, что поиск источника кровотечения затянулся, что усугубило и состояние больного( не известно *догонял *ли кровопотерю переливаемыми объёмами или нет) - найти повреждённую перфорантную артерию и вену среди
напряженных, выбухающих в рану мышцах, да в глубине - дело практически безнадежное. Почему ваш сосудистый хирург не стал выполнять ревизию бедренной артерии из своего сосудистого стандартного доступа( заодно и футляр приводящих мышц открыли бы) - проще было бы найти и не стоило бы таких усилий.
так понимаю, что поиски источника кровотечения велись на нефиксированном переломе и только по окончании безуспешного мероприятия вы стабилизировали перелом аппаратом, потому как состояние больного уже не позволяло выполнить полноценную фиксацию( в данном случае -штифтование). Тщетные попытки найти источник кровотечения в глубине раны были сопряжены с манипуляциями костных фрагментов, что само по себе не добавляло здоровья больному и увеличивало
кровопотерю.
Я бы предложил другой сценарий - больной был гемодинамически стабилен и не обескровлен в начале вмешательства, поэтому первоначально бы заштифтовал
перелом, сделав фасциотомии из латерального разреза, потом занялся бы ревизией бедренной артерии из передне-медиального доступа - тем более, что выполненная ангиограмма показывает уровень источника кровотечения.
Не понятна последняя фотография : аппарат на месте и рана ушита - вы ушили рану сразу или через несколько дней, если сразу, то наверное проведенная декомпрессия сомнительна по эффекту. ( не проверяли внутрифасциальное давление после вмешательства?)
Главное, чтобы больной поправился
Успехов в нелёгком труде,
Евгений Чекашкин
|
[
Ответить ]
|
Re: К вопросу о фасциотомии
Антон Бехтерев 17 Март 2012, 16:18
|
"Всякий мнит себя стратегом, видя бой со стороны". Это я про себя. Не хотел бы оказаться на Вашем месте в тот момент. Поверьте, у нас разброс мнений вплоть до агрессивного "у нас вообще нет компартмент синдромов". В лучшем случае можно увидеть скептическую снисходительную ухмылку типа "ну-ну": "в наше время такого не было". Но есть и круг коллег, которые "в теме" и понимают, что делать с пациентом дальше. Фасциотомия должна быть звеном в ряду лечебных мероприятий. Тогда вы сможете планировать тактику, аргументировать ее изменения, но не идти на поводу у болезни. Тогда и страха не будет. Сомнения должны оставаться всегда. Хватит лирики, в общем.
Спасибо за представленный случай - Ваш опыт и разбррс мнений позволит и мне сориентироваться в случае чего. Тьфу-тьфу, не буду зарекаться. Антон Бехтерев.
|
[
Ответить ]
|
Re: К вопросу о фасциотомии
Мацукатов Феодор 17 Март 2012, 21:18
|
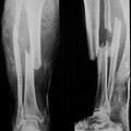
Компартмент-синдром - это как снежный человек - много разговоров, но мало кто видел. Но этот "снежный человек" однозначно существует. Я лично тоже не видел. Хотя имел полный шанс созерцать его.Но этому "шансу" не дал реализоваться. Мы придерживаемся своей тактики профилактики данного грозного осложнения: 1. Минимально травматичная, максимально точная и быстрая репозиция костных отломков, а также максимально стабильная их фиксация; 2. Интра- и послеоперационное дренирование гематомы; 3. максимальный покой конечности. В приведенном случае течение компартмент-синдрома усугубилось травматичностью оперативных вмешательств и продолжающимся кровотечением как одного из факторов повышения внутритканевого давления за счет внутри- и межфасциальных гематом. К тому же отсутствует вторая проекция рентгенограмм. Но даже на имеющейся репозиция оставляет желать лучшего. Атравматичная, точная и быстрая репозиция расчитана на закрытие костной раны и, соответственно препятствует образованию гематом. Дренирование уже имеющихся гематом также является немаловажным фактором. Спицевые отверстия в мягких тканях являются неплохими дренажами. Иногда в местах наиболее эффективного дренирования гематомы мы вводим и оставляем на несколько дней торчащие из тканей отрезки спиц. Как правило, этих мероприятий достаточно, чтобы не дать развиться этому грозному осложнению.

В подтверждение привожу снимки пациента И., 66 лет, поступившего с тяжелой сочетанной травмой через 3 суток после получения травмы. Объективно при поступлении - огромный, болезненный, напряженный отек голени, парестезии и ослабление пульсации на стопе. Прооперирован в день поступления. Все сделано так, как было описано выше. В послеоперационном периоде все признаки синдрома быстро пошли на спад. Начал приступать на конечность через 3 суток после операции, через две недели давал умеренную нагрузку, а через месяц мог ходить без дополнительных средств опоры.
|
[
Ответить ]
|
Re: К вопросу о фасциотомии
Отправитель: Alexander Chelnokov 17 Март 2012, 21:50
|
Как правило, этих мероприятий достаточно, чтобы не дать развиться этому грозному осложнению.
До сих пор практически на всей территории xUSSR "не дают развиться этому грозному осложнению" - кто бы что когда ни делал. Разве что в отдельноых урчждениях откуда-то мониторчики страйкеровские появятся - вот там и КС появляется иногда.
Представленное единичное наблюдение вряд ли что-то подвтерждает или опровергает. Был там КС или не был - кто знает, ведь про измерение подфасциального давления даже не упомянуто.
|
[
Ответить ]
|
Re: К вопросу о фасциотомии
Отправитель: Мацукатов Феодор 17 Март 2012, 22:29
|
Уважаемый Александ Николаевич! Ничего подтверждать или опровергать своим "единичным" случаем я не намеревался. Всего лишь привел случай,где были все клинические признаки синдрома. Имеете полное право не верить и т.п. Да, внутрифасциальное давление не измеряли. А что, в упомянутых Вами лечебных учреждениях КС появился одновременно с чудодейственными страйкеровскими приборами? А как быть врачам в простых городских больницах или ЦРБ? Запретим им без страйкеровских приборов ставить такой диагноз? Это именно тот случай, где гипердиагностика более полезна, чем обратное.
|
[
Ответить ]
|
Re: К вопросу о фасциотомии
Отправитель: Alexander Chelnokov 17 Март 2012, 23:48
|
Если диагноз КС установлен, общепринятое лечение - формальная фасциотомия. Не подкожная, и тем более не точечная (спицами).
Да, КС появляется пока, увы, только с этими самыми приборчиками. Именно при тех повреждениях, про которые упомянул Джолдас, типа закрытых переломов tibial плато, практически никогда его в наших краях не диагностировали, и фасциотомии не делали. Ни в ЦРБ, ни в НИИ.
|
[
Ответить ]
|
Re: К вопросу о фасциотомии
Отправитель: Мацукатов Феодор 18 Март 2012, 00:50
|
Любой врач имеет право и даже должен ставить диагноз компартмент-синдрома на основании только клинических признаков. И соответственно лечить. На то ему и дана шероховатость мозга, чтобы не уповать только на магические приборчики. А вот что касаемо его степени тяжести - согласен, только по их показаниям. Давление в 39 мм и выше свидетельствует о тяжелой степени и является показанием к фасциотомии. А вот при легкой и средней степени тяжести сомневаюсь,что такое необходимо. Хотя могу и ошибаться, проблемой узко не занимался. Но делать фасциотомию спицами я не предлагал. Я о другом, прочитайте еще раз.
|
[
Ответить ]
|
Re: К вопросу о фасциотомии
Отправитель: Anton Bekhterev 18 Март 2012, 23:05
|
Уважаемый Феодор, подскажите пожалуйста, где Вы встретили классификацию компертмент-синдрома по степеням тяжести? Насколько мне известно, в зависимости от результатов измерения (либо абсолютные показатели, либо разница диастолического и внутрифасциального давлений) фасциотомия выполняется (есть острый компертмент-синдром) или нет. Хотя, признаюсь, такая жесткая градация по принципу "все или ничего" не всегда себя оправдывает. Были случаи, когда при 41 мм рт. ст. в компапртменте на скелетном вытяжении консервативными мероприятиями бесследно (?, так как не могу похвастаться отдаленными наблюдениями) купировался процесс. И, наоборот, при 28-29 мм рт. ст. и выполненной в поздние сроки фасциотомии, у больной в отдаленные сроки сохранялись функциональные нарушения. Еще одна сторона проблемы: как учитывать погрешность измерения. Известно, что конфигурация среза, диаметр иглы влияют на показатели. Не определены стандартные точки измерения, глубина погружения иглы. Как можно определить точное субфасциальное расположение кончика иглы? По ощущениям прокола? Но в Stryker pressure monitor игла имеет два отверстия: торцевое и боковое. Насколько дальше от места перелома проводить измерение?
Поэтому ведущим измерительным прибором остается голова доктора. И нужно исходить из утверждения: острый компартмент-синдром существует! Если Вы поставили такой диагноз, то выполняйте фасциотомию. Если, по Вашему мнению, ситуация обратима (то есть вы можете предотвратить развитие острого компартмент-синдрома, но не занимаетесь лечением отека конечности) - проводите консервативное лечение, по результатм которого будет приниматься решение. Иначе ваш фотоархив будет пополнятся таким:

С уважением, Бехтерев Антон.
|
[
Ответить ]
|
|
Re: К вопросу о фасциотомии
Батал Шушания 18 Март 2012, 00:14
|
Коллеги, я бы на сказал что здесь имелась гипердиагностика, имеется прибор, который объективно показывает давление в компартменте!! Не верить аппарату- это дело каждого..благо за это пока не наказывают. Я поделюсь своим опытом: в 2003 году в отделение поступает мужчина 45 лет с переломом тибиального плато. Перелом получил падая с эскалатора в метро. Доставила, уложили, наладили систему скелетного вытяжения. На следующий. Был конец рабочего дня, мы ушли домой, назначив обезболивающие. Все было хорошо до 19-00ч, далее начались ничем не купирующие боли по все голени, вызывалась дежурная бригада, которая не диагностировала компартмент синдром на голени. Утром мы видим отсутствие пульсации на сосудах стоп, конечность отечная почти каменной плотности. Мы берем в операционную, делаем фасциотомию.....собираем перелом тибиального плато, не зашиваем рану. через неделю видим омертвение всей передней группы мышц голени, которую состригали каждый день, потом и зашили рану.Через два года, после это травмы приходил на консультацию с эквинусной деформацией стопы, конечность неопорная, гипотрофичная!!! Наступила инвалидизация.... Вот вам и компартмент синдром, можете отрицать наличие такого синдрома, но тогда будут такие осложнения. Они могут быть очень редкими осложнениями, но они могут быть. Поверьте, это очень неприятно, смотреть молодому человеку в лицо который потерял работу, инвалидизирован. И все благодаря злосчастному компартмент синдрому, который не был диагностирован вовремя:(((
|
[
Ответить ]
|
Re: К вопросу о фасциотомии
Мацукатов Феодор 19 Март 2012, 00:07
|
ЭТО ТО, ЧТО Я НАШЕЛ В СВОИХ КОНСПЕКТАХ
Компартмент-синдром – симптомокомплекс, включающий в себя различные случаи нарушения кровообращения органов и тканей в замкнутых пространствах. Частота его развития при закрытых переломах костей голени достигает 35% (MoehringH.D., VoigtlanderJ.P., 1995; Гиршин С.Г., 2004).
Повышение давления в мышце вследствие травматического поврнждения костной ткани приводит к повышению давления в межперегородочном пространстве, которое приводит к гипоксии тканей, последующему отеку и компрессии расположенных в них сосудистых и нервных структур, что в свою очередь, еще более усиливает их анемизацию и ускоряет гибель. Нарушение функции и замедленная консолидация в большинстве с лучаев обусловлены КС (Анкин н.л., 2002, Гиршин С.Г., 2004, EchtermeyerV. und HorstP., 1998).
Наиболее частыми клиническими признаками КС являются: быстро нарастающий напряженный отек с образованием множественных фликтен, боль при сдавлении и растяжении мышц в области пораженного сегмента с усилением ее при движених стопой, парезы стопы и нередко нарушения чувствительности.
Внутритканевое давление 19-31 мм рт. ст. соответствует КС легкой и средней тяжести, 38-70 – тяжелой степени (Иванов В.И.,Татьянченко К.К.,2001). У всех больных выявляется увеличение объема м/тканей преимущественно за счет увеличения толщины мышц. Доплерография исключает острый тромбоз глубоких вен. Лечение заключается в компенсации острых циркуляторных нарушений.
Говоря о том, что я не видел КС, я имел ввиду его тяжелое течение. В приведенном мной случае все-таки имел место некроз мягких тканей на участке диаметром около 6 см. Есть веские основания подозревать, что большинство переломов с некрозом мягких тканей, если не замешана травма самих сосудов, являются следствием КС. А так КС при переломах костей голени, которая характеризуется мощными фасциальными футлярами, встречаются сплошь и рядом. Но не думаю,что всех надо вскрывать.
|
[
Ответить ]
|
Re: К вопросу о фасциотомии
Владимир 08 Июль 2012, 22:18
|
Интраоперационная ангиограмма на фото в низком разрешении, но очень похоже на дефект повехностной бедренной артерии в месте перелома,"эктравазат",заполнение дистальной части ПБА.По снимку и по описанию случая -классика повреждения ПБА костными отломками с невосстановленным магистральным кровотоком (только коллатеральное заполнеие дистального сосудистого русла).Естественно - ишемия стопы и голени,ишемический отек мышц, без восстановления циркуляции - контрактура мышц голени, анурия - ампутация по линии перелома.Иногда декомпрессия мышц даже при невосстановленном кровотоке приводит к сохранению конечности, но с неврологическим дефицитом (как правило, "падающая стопа").Не видя данного случая вживую, могу ошибаться, извините.
|
[
Ответить ]
|
( Ответить )
|
|